JavaScript is disabled in your browser. Please enable JavaScript to view this website.
AB209664

Anti-TRPS1 antibody [EPR16171]

Be the first to review this product! Submit a review

|

(6 Publications)

Anti-TRPS1 antibody [EPR16171] (ab209664) is a rabbit monoclonal antibody detecting TRPS1 in IHC-P. Suitable for Human.

- Biophysical QC for unrivalled batch-batch consistency

View Alternative Names

Zinc finger transcription factor Trps1, Tricho-rhino-phalangeal syndrome type I protein, Zinc finger protein GC79, TRPS1

6 Images
Immunohistochemistry (Formalin/PFA-fixed paraffin-embedded sections) - Anti-TRPS1 antibody [EPR16171] (AB209664)
  • IHC-P

Supplier Data

Immunohistochemistry (Formalin/PFA-fixed paraffin-embedded sections) - Anti-TRPS1 antibody [EPR16171] (AB209664)

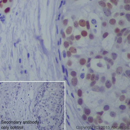
Immunohistochemical analysis of paraffin-embedded human breast cancer (stage II left ; stage III right) tissue labeling TRPS1 with ab209664 at 1/8000 dilution followed by Goat Anti-Rabbit IgG H&L (HRP) (ab97051) at 1/500 dilution.

(Left) : Nucleus staining in the cancer cells of breast cancer stage II clinical case; (Right) : Negative staining in the breast cancer stage III clinical case; The high expression of TRPS1 may facilitate improved survival of this breast cancer stage II case.

Counter stained with Hematoxylin.

Secondary antibody only control : Used PBS instead of primary antibody secondary antibody is Goat Anti-Rabbit IgG H&L (HRP) (ab97051) at 1/500 dilution.

Perform heat mediated antigen retrieval with Tris/EDTA buffer pH 9.0 before commencing with IHC staining protocol.

Immunohistochemistry (Formalin/PFA-fixed paraffin-embedded sections) - Anti-TRPS1 antibody [EPR16171] (AB209664)
  • IHC-P

Supplier Data

Immunohistochemistry (Formalin/PFA-fixed paraffin-embedded sections) - Anti-TRPS1 antibody [EPR16171] (AB209664)

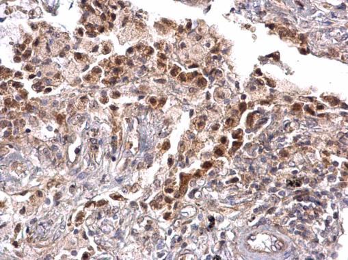
Immunohistochemical analysis of paraffin-embedded human breast cancer tissue labeling TRPS1 with ab209664 at 1/8000 dilution followed by Goat Anti-Rabbit IgG H&L (HRP) (ab97051) at 1/500 dilution. Nuclear staining on human breast cancer is observed. Counter stained with Hematoxylin.

Secondary antibody only control : Used PBS instead of primary antibody secondary antibody is Goat Anti-Rabbit IgG H&L (HRP) (ab97051) at 1/500 dilution.

Perform heat mediated antigen retrieval with Tris/EDTA buffer pH 9.0 before commencing with IHC staining protocol.

Immunohistochemistry (Formalin/PFA-fixed paraffin-embedded sections) - Anti-TRPS1 antibody [EPR16171] (AB209664)
  • IHC-P

Supplier Data

Immunohistochemistry (Formalin/PFA-fixed paraffin-embedded sections) - Anti-TRPS1 antibody [EPR16171] (AB209664)

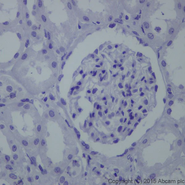
Immunohistochemical analysis of paraffin-embedded human kidney tissue labeling TRPS1 with ab209664 at 1/8000 dilution followed by Goat Anti-Rabbit IgG H&L (HRP) (ab97051) at 1/500 dilution. Negative staining on the human kidney. Counter stained with Hematoxylin.

Perform heat mediated antigen retrieval with Tris/EDTA buffer pH 9.0 before commencing with IHC staining protocol.

Immunohistochemistry (Formalin/PFA-fixed paraffin-embedded sections) - Anti-TRPS1 antibody [EPR16171] (AB209664)
  • IHC-P

Supplier Data

Immunohistochemistry (Formalin/PFA-fixed paraffin-embedded sections) - Anti-TRPS1 antibody [EPR16171] (AB209664)

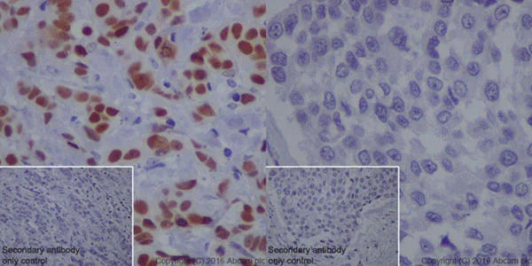
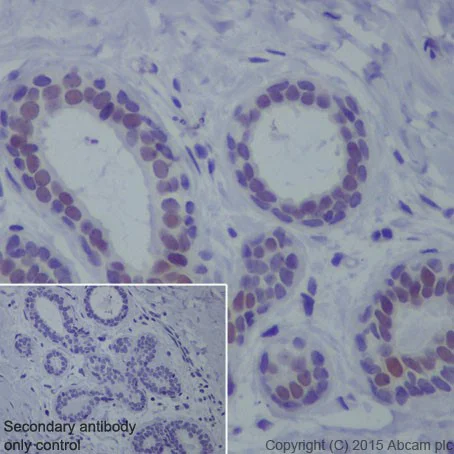
Immunohistochemical analysis of paraffin-embedded human breast tissue labeling TRPS1 with ab209664 at 1/8000 dilution followed by Goat Anti-Rabbit IgG H&L (HRP) (ab97051) at 1/500 dilution. Nuclear staining on epithelium of human breast is observed. Counter stained with Hematoxylin.

Secondary antibody only control : Used PBS instead of primary antibody secondary antibody is Goat Anti-Rabbit IgG H&L (HRP) (ab97051) at 1/500 dilution.

Perform heat mediated antigen retrieval with Tris/EDTA buffer pH 9.0 before commencing with IHC staining protocol.

Immunohistochemistry (Formalin/PFA-fixed paraffin-embedded sections) - Anti-TRPS1 antibody [EPR16171] (AB209664)
  • IHC-P

Supplier Data

Immunohistochemistry (Formalin/PFA-fixed paraffin-embedded sections) - Anti-TRPS1 antibody [EPR16171] (AB209664)

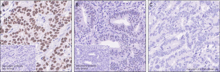
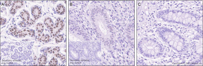
Immunohistochemical analysis of Paraffin-embedded sections human breast (A), endometrium (B) and colon (C) tissue labelling TRPS1 with ab209664 at 1/18000 dilution, followed by a ready to use secondary Rabbit specific IHC polymer detection kit HRP/DAB (ab209101). Counter stained with Haematoxylin. Secondary antibody only control : Used PBS instead of primary antibody. Heat mediated antigen retrieval was performed with Tris-EDTA buffer (pH 9.0, Epitope Retrieval Solution2) for 20 mins. Positive staining on (A) human breast; weak staining on (B) human endometrium; no staining on (C) human colon. The section was incubated with ab209664 for 30 mins at room temperature. The immunostaining was performed on a Leica Biosystems BOND® RX instrument.

Immunohistochemistry (Formalin/PFA-fixed paraffin-embedded sections) - Anti-TRPS1 antibody [EPR16171] (AB209664)
  • IHC-P

Supplier Data

Immunohistochemistry (Formalin/PFA-fixed paraffin-embedded sections) - Anti-TRPS1 antibody [EPR16171] (AB209664)

Immunohistochemical analysis of Paraffin-embedded sections human breast cancer (A), endometrium cancer(B) and colon caner (C) tissue labelling TRPS1 with ab209664 at 1/18000 dilution, followed by a ready to use secondary Rabbit specific IHC polymer detection kit HRP/DAB (ab209101). Counter stained with Haematoxylin. Secondary antibody only control : Used PBS instead of primary antibody. Heat mediated antigen retrieval was performed with Tris-EDTA buffer (pH 9.0, Epitope Retrieval Solution2) for 20 mins. Positive staining on (A) human breast cancer; weak staining on (B) human endometrial cancer; no staining on (C) human colon cancer. The section was incubated with ab209664 for 30 mins at room temperature. The immunostaining was performed on a Leica Biosystems BOND® RX instrument.

  • Carrier free

    Anti-TRPS1 antibody [EPR16171] - BSA and Azide free

Key facts

Host species

Rabbit

Clonality

Monoclonal

Clone number

EPR16171

Isotype

IgG

Carrier free

No

Reacts with

Human

Applications

IHC-P

applications

Immunogen

The exact immunogen used to generate this antibody is proprietary information.

Reactivity data

{ "title": "Reactivity Data", "filters": { "stats": ["", "Species", "Dilution Info", "Notes"], "tabs": { "all-applications": {"fullname" : "All Applications", "shortname": "All Applications"}, "IHCP" : {"fullname" : "Immunohistochemistry (Formalin/PFA-fixed paraffin-embedded sections)", "shortname":"IHC-P"} }, "product-promise": { "all": "all", "testedAndGuaranteed": "tested", "guaranteed": "expected", "predicted": "predicted", "notRecommended": "not-recommended" } }, "values": { "Human": { "IHCP-species-checked": "testedAndGuaranteed", "IHCP-species-dilution-info": "1/8000", "IHCP-species-notes": "<p></p>" } } }

Product details

What is this antibody validated in?
Anti-TRPS1 antibody [EPR16171] (ab209664) is a rabbit recombinant monoclonal antibody and is validated for use in Immunohistochemistry (IHC-P) in Human samples.

Trial sizes available!
Test your antibody or perform pre-screening before committing to a larger quantity. Sold in 10µl. Discover our selection of trial-size antibodies.

Other related products
We have a range of other formats of antibody clone [EPR16171] also available for your convenience: ab209664, Carrier free - ab251509

Patented technology
Our RabMAb® technology is a patented hybridoma-based technology for making rabbit monoclonal antibodies. For details on our patents, please refer to RabMAb® patents.

What are the advantages of a recombinant monoclonal antibody?
This product is a recombinant monoclonal antibody, which offers several advantages including:

  • - High batch-to-batch consistency and reproducibility
  • - Improved sensitivity and specificity
  • - Long-term security of supply
  • - Animal-free batch production

For more information, read more on recombinant antibodies.

Properties and storage information

Form
Liquid
Purification technique
Affinity purification Protein A
Storage buffer
pH: 7.2 - 7.4 Preservative: 0.01% Sodium azide Constituents: PBS, 40% Glycerol (glycerin, glycerine), 0.05% BSA
Shipped at conditions
Blue Ice
Appropriate short-term storage duration
1-2 weeks
Appropriate short-term storage conditions
+4°C
Appropriate long-term storage conditions
-20°C
Aliquoting information
Upon delivery aliquot
Storage information
Avoid freeze / thaw cycle

Supplementary information

This supplementary information is collated from multiple sources and compiled automatically.

TRPS1 also known as Trichorhinophalangeal syndrome type I protein is a transcriptional regulator with a molecular weight of approximately 141 kDa. It is expressed in a variety of tissues including bone cartilage and hair follicles. Mechanically TRPS1 functions by binding to specific DNA sequences and regulating the transcription of target genes. This gene encodes a protein that contains GATA-type zinc finger domains which facilitate its role in DNA binding and transcription regulation.
Biological function summary

The TRPS1 protein plays a significant role in the development of bone and cartilage as well as the differentiation of hair follicles. It acts independently and does not commonly form a stable complex with other proteins. By influencing the expression of genes involved in these developmental processes TRPS1 contributes to various aspects of skeletal and hair follicle formation. The regulation by TRPS1 is important for the proper growth and maintenance of these tissues.

Pathways

The protein TRPS1 is notably involved in bone morphogenesis and development pathways. It interacts with signaling proteins like BMPs (Bone Morphogenetic Proteins) within the bone development pathway to regulate bone and cartilage growth. TRPS1 also communicates with signaling pathways that include proteins such as RUNX2 which are critical for bone formation and regulate the transcriptional activity that drives these processes.

Dysregulation or mutation of the TRPS1 gene is closely linked to Trichorhinophalangeal Syndrome a condition characterized by distinctive craniofacial and skeletal abnormalities. This association involves altered gene expression impacting bone and cartilage tied to TRPS1's regulation of signaling networks with proteins like BMPR1A. The TRPS1 gene is also linked to certain forms of cancer where its altered function may contribute to tumorigenesis through pathways shared with cancer-related proteins such as SMAD4 influencing cell proliferation and apoptosis.

Product protocols

For this product, it's our understanding that no specific protocols are required. You can visit:

Target data

Transcriptional repressor. Binds specifically to GATA sequences and represses expression of GATA-regulated genes at selected sites and stages in vertebrate development. Regulates chondrocyte proliferation and differentiation. Executes multiple functions in proliferating chondrocytes, expanding the region of distal chondrocytes, activating proliferation in columnar cells and supporting the differentiation of columnar into hypertrophic chondrocytes.
See full target information Zinc finger transcription factor Trps1

Publications (6)

Recent publications for all applications. Explore the full list and refine your search

The American journal of surgical pathology 48:637-651 PubMed38647255

2024

TRPS1 is a Highly Sensitive Marker for Breast Cancer: A Tissue Microarray Study Evaluating More Than 19,000 Tumors From 152 Different Tumor Entities.

Applications

Unspecified application

Species

Unspecified reactive species

Maximilian Lennartz,Neele Löhr,Doris Höflmayer,Sebastian Dwertmann Rico,Clara von Bargen,Simon Kind,Viktor Reiswich,Florian Viehweger,Florian Lutz,Veit Bertram,Christoph Fraune,Natalia Gorbokon,Sören Weidemann,Niclas C Blessin,Claudia Hube-Magg,Anne Menz,Ria Schlichter,Till Krech,Andrea Hinsch,Eike Burandt,Guido Sauter,Ronald Simon,Martina Kluth,Andreas H Marx,Patrick Lebok,David Dum,Sarah Minner,Frank Jacobsen,Till S Clauditz,Christian Bernreuther,Stefan Steurer

Molecular therapy : the journal of the American Society of Gene Therapy 31:2612-2632 PubMed37452493

2023

A dysfunctional miR-1-TRPS1-MYOG axis drives ERMS by suppressing terminal myogenic differentiation.

Applications

Unspecified application

Species

Unspecified reactive species

Sören S Hüttner,Henriette Henze,Dana Elster,Philipp Koch,Ursula Anderer,Björn von Eyss,Julia von Maltzahn

Cancer cytopathology 130:930-938 PubMed35790088

2022

A pilot study: Comparison of TRPS1 and GATA3 immunoperoxidase staining using cytologic smears in entities reportedly positive for GATA3.

Applications

Unspecified application

Species

Unspecified reactive species

Prih Rohra,Cady Ding,Esther C Yoon,Qiong Gan

Cell communication and signaling : CCS 20:92 PubMed35715860

2022

Tumor-associated macrophages promote epithelial-mesenchymal transition and the cancer stem cell properties in triple-negative breast cancer through CCL2/AKT/β-catenin signaling.

Applications

Unspecified application

Species

Unspecified reactive species

Xiangzhou Chen,Mingqiang Yang,Jiang Yin,Pan Li,Shanshan Zeng,Guopei Zheng,Zhimin He,Hao Liu,Qian Wang,Fan Zhang,Danyang Chen

Scientific reports 12:1617 PubMed35102149

2022

Five hypoxia and immunity related genes as potential biomarkers for the prognosis of osteosarcoma.

Applications

Unspecified application

Species

Unspecified reactive species

Dachang Liu,Ziwei Hu,Jie Jiang,Junlei Zhang,Chunlong Hu,Jian Huang,Qingjun Wei

Nature communications 9:3115 PubMed30082728

2018

TRPS1 shapes YAP/TEAD-dependent transcription in breast cancer cells.

Applications

Unspecified application

Species

Unspecified reactive species

Dana Elster,Marie Tollot,Karin Schlegelmilch,Alessandro Ori,Andreas Rosenwald,Erik Sahai,Björn von Eyss
View all publications

Product promise

We are committed to supporting your work with high-quality reagents, and we're here for you every step of the way. In the unlikely event that one of our products does not perform as expected, you're protected by our Product Promise.
For full details, please see our Terms & Conditions

Please note: All products are 'FOR RESEARCH USE ONLY. NOT FOR USE IN DIAGNOSTIC OR THERAPEUTIC PROCEDURES'.

For licensing inquiries, please contact partnerships@abcam.com