JavaScript is disabled in your browser. Please enable JavaScript to view this website.
AB305299

Anti-TRPV1 antibody [EPR25057-67]

  • BOND RX™ Validated
  • 20ul selling size
  • RabMAb
  • Recombinant
  • What is this?

Be the first to review this product! Submit a review

|

(13 Publications)

Anti-TRPV1 antibody [EPR25057-67] (ab305299) is a rabbit monoclonal antibody detecting TRPV1 in Western Blot, IP, IHC-P, IHC-Fr. Suitable for Human, Mouse, Rat.

- Biophysical QC for unrivalled batch-batch consistency

View Alternative Names

VR1, TRPV1, Transient receptor potential cation channel subfamily V member 1, TrpV1, Capsaicin receptor, Osm-9-like TRP channel 1, Vanilloid receptor 1, OTRPC1

12 Images
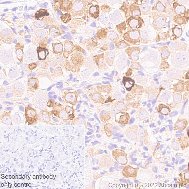
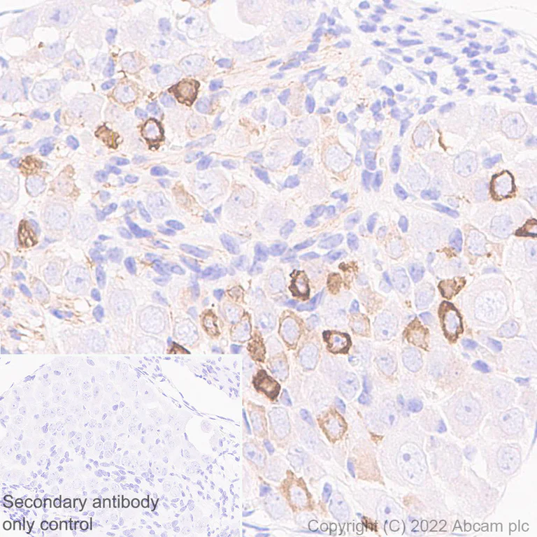
Immunohistochemistry (Formalin/PFA-fixed paraffin-embedded sections) - Anti-TRPV1 antibody [EPR25057-67] (AB305299)
  • IHC-P

Supplier Data

Immunohistochemistry (Formalin/PFA-fixed paraffin-embedded sections) - Anti-TRPV1 antibody [EPR25057-67] (AB305299)

Immunohistochemical analysis of paraffin-embedded (A) HEK-293T (human tissue labeling TRPV1 with ab305299 at 1/100 (5.14 µg/ml) followed by a LeicaDS9800 (Bond™ Polymer Refine Detection) was used at Ready to use dilution. Positive staining on (A) HEK-293T transfected with a TRVP1 His tag construct, no staining on (B) HEK-293T transfected with empty plasmid. The section was incubated with aab305299 for 30 mins at room temperature. The immunostaining was performed on a Leica Biosystems BOND® RX instrument Counterstained with Hematoxylin. Secondary antibody only control : Secondary antibody is LeicaDS9800 (Bond™ Polymer Refine Detection) was used at Ready to use dilution. Heat mediated antigen retrieval was performed with Tris-EDTA buffer (pH 9.0, Epitope Retrieval Solution2) for 20 mins

Immunocytochemistry/ Immunofluorescence - Anti-TRPV1 antibody [EPR25057-67] (AB305299)
  • ICC/IF

Lab

Immunocytochemistry/ Immunofluorescence - Anti-TRPV1 antibody [EPR25057-67] (AB305299)

Immunofluorescent analysis of 4% Paraformaldehyde fixed mouse DRG primary neurons permeabilized using 0.1% Triton X-100 labelling TRPV1 with ab305299 (green) followed by ab150081 AlexaFluor®488 preadsorbed Goat anti-Rabbit secondary. ab78078 anti-beta III Tubulin (mouse mAb) was used as counterstain (magenta) with ab150120 AlexaFluor®594 Goat anti-Mouse as secondary. Nuclear DNA was labelled with DAPI (shown in blue). Image showing cytoplasmic staining in mouse DRG primary neurons was taken with a confocal microscope (Leica-Microsystems, TCS SP8).

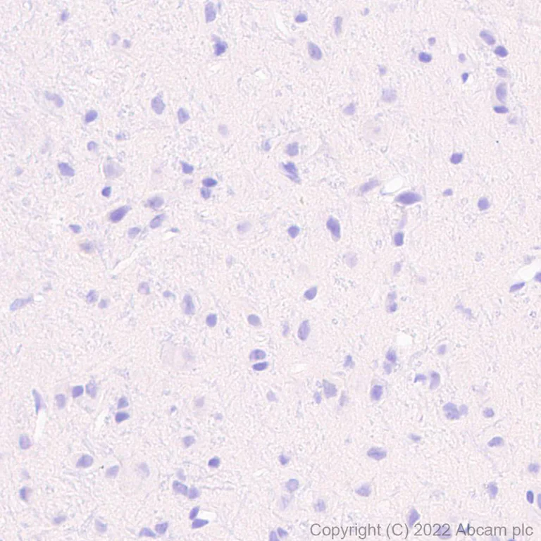
Immunohistochemistry (Formalin/PFA-fixed paraffin-embedded sections) - Anti-TRPV1 antibody [EPR25057-67] (AB305299)
  • IHC-P

Supplier Data

Immunohistochemistry (Formalin/PFA-fixed paraffin-embedded sections) - Anti-TRPV1 antibody [EPR25057-67] (AB305299)

Immunohistochemical analysis of paraffin-embedded Mouse cerebrum tissue labeling TRPV1 with ab305299 at 1/100 (5.14 µg/ml) followed by a LeicaDS9800 (Bond™ Polymer Refine Detection) was used at Ready to use dilution. Negative control : no staining on mouse cerebrum (PMID : 21451044).The section was incubated with ab305299 for 30 mins at room temperature. The immunostaining was performed on a Leica Biosystems BOND® RX instrument Counterstained with Hematoxylin. Secondary antibody only control : Secondary antibody is LeicaDS9800 (Bond™ Polymer Refine Detection) was used at Ready to use dilution. Heat mediated antigen retrieval was performed with Tris-EDTA buffer (pH 9.0, Epitope Retrieval Solution2) for 20 mins

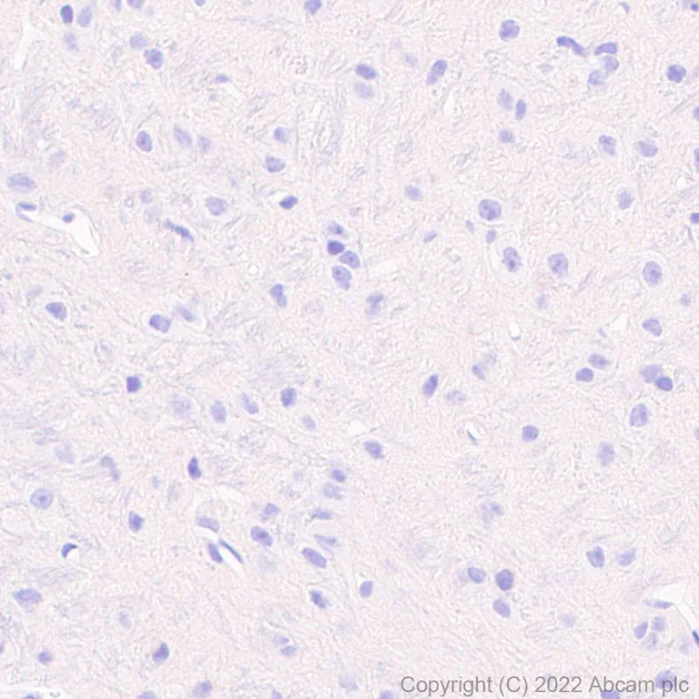
Immunohistochemistry (Formalin/PFA-fixed paraffin-embedded sections) - Anti-TRPV1 antibody [EPR25057-67] (AB305299)
  • IHC-P

Supplier Data

Immunohistochemistry (Formalin/PFA-fixed paraffin-embedded sections) - Anti-TRPV1 antibody [EPR25057-67] (AB305299)

Immunohistochemical analysis of paraffin-embedded Rat cerebrum tissue labeling TRPV1 with ab305299 at 1/100 (5.14 µg/ml) followed by a LeicaDS9800 (Bond™ Polymer Refine Detection) was used at Ready to use dilution. Negative control : no staining on rat cerebrum (PMID : 21451044).The section was incubated with ab305299 for 30 mins at room temperature. The immunostaining was performed on a Leica Biosystems BOND® RX instrument Counterstained with Hematoxylin. Secondary antibody only control : Secondary antibody is LeicaDS9800 (Bond™ Polymer Refine Detection) was used at Ready to use dilution. Heat mediated antigen retrieval was performed with Tris-EDTA buffer (pH 9.0, Epitope Retrieval Solution2) for 20 mins

Immunohistochemistry (Frozen sections) - Anti-TRPV1 antibody [EPR25057-67] (AB305299)
  • IHC-Fr

Supplier Data

Immunohistochemistry (Frozen sections) - Anti-TRPV1 antibody [EPR25057-67] (AB305299)

Immunohistochemical analysis of 4% PFA-fixed, 0.2% Triton X-100 permeabilized frozen Rat spleen (fresh) tissue labeling TRPV1 with ab305299 at 1/500 (1.028 µg/ml) dilution followed by ab150081 Goat Anti-Rabbit IgG H&L (Alexa Fluor® 488) preadsorbed at 1/1000 dilution (Green). Low expression : confocal image showing no staining on rat spleen (PMID : 25409824). The nuclear counterstain was DAPI (Blue). The section was incubated with ab305299 for 60 mins at room temperature. The section was then mounted using Fluoromount®.The immunostaining was performed on a Leica Biosystems BOND® RX instrument. Image was taken with a confocal microscope (Leica-Microsystems, TCS SP8). The nuclear counterstain was DAPI (Blue). Secondary antibody control : Secondary antibody is ab150081 Goat Anti-Rabbit IgG H&L (Alexa Fluor® 488) preadsorbed at 1/1000 dilution.

Immunohistochemistry (Formalin/PFA-fixed paraffin-embedded sections) - Anti-TRPV1 antibody [EPR25057-67] (AB305299)
  • IHC-P

Supplier Data

Immunohistochemistry (Formalin/PFA-fixed paraffin-embedded sections) - Anti-TRPV1 antibody [EPR25057-67] (AB305299)

Immunohistochemical analysis of paraffin-embedded Mouse dorsal root ganglia tissue labeling TRPV1 with ab305299 at 1/100 (5.14 µg/ml) followed by a LeicaDS9800 (Bond™ Polymer Refine Detection) was used at Ready to use dilution. Positive staining on mouse dorsal root ganglia (PMID : 21451044).The section was incubated with ab305299 for 30 mins at room temperature. The immunostaining was performed on a Leica Biosystems BOND® RX instrument Counterstained with Hematoxylin. Secondary antibody only control : Secondary antibody is LeicaDS9800 (Bond™ Polymer Refine Detection) was used at Ready to use dilution. Heat mediated antigen retrieval was performed with Tris-EDTA buffer (pH 9.0, Epitope Retrieval Solution2) for 20 mins

Immunohistochemistry (Formalin/PFA-fixed paraffin-embedded sections) - Anti-TRPV1 antibody [EPR25057-67] (AB305299)
  • IHC-P

Supplier Data

Immunohistochemistry (Formalin/PFA-fixed paraffin-embedded sections) - Anti-TRPV1 antibody [EPR25057-67] (AB305299)

Immunohistochemical analysis of paraffin-embedded Rat dorsal root ganglia tissue labeling TRPV1 with ab305299 at 1/100 (5.14 µg/ml) followed by a LeicaDS9800 (Bond™ Polymer Refine Detection) was used at Ready to use dilution. Positive staining on Rat dorsal root ganglia (PMID : 28627595).The section was incubated with ab305299 for 30 mins at room temperature. The immunostaining was performed on a Leica Biosystems BOND® RX instrument Counterstained with Hematoxylin. Secondary antibody only control : Secondary antibody is LeicaDS9800 (Bond™ Polymer Refine Detection) was used at Ready to use dilution. Heat mediated antigen retrieval was performed with Tris-EDTA buffer (pH 9.0, Epitope Retrieval Solution2) for 20 mins

Immunohistochemistry (Frozen sections) - Anti-TRPV1 antibody [EPR25057-67] (AB305299)
  • IHC-Fr

Supplier Data

Immunohistochemistry (Frozen sections) - Anti-TRPV1 antibody [EPR25057-67] (AB305299)

Immunohistochemical analysis of 4% PFA-fixed, 0.2% Triton X-100 permeabilized frozen Rat dorsal ganglion (fresh) tissue labeling TRPV1 with ab305299 at 1/500 (1.028 µg/ml) dilution followed by ab150081 Goat Anti-Rabbit IgG H&L (Alexa Fluor® 488) preadsorbed at 1/1000 dilution (Green). Confocal image showing positive staining on rat dorsal ganglion. The nuclear counterstain was DAPI (Blue). The section was incubated with ab305299 for 60 mins at room temperature. The section was then mounted using Fluoromount®.The immunostaining was performed on a Leica Biosystems BOND® RX instrument. Image was taken with a confocal microscope (Leica-Microsystems, TCS SP8). is observed. The nuclear counterstain was DAPI (Blue). Secondary antibody control : Secondary antibody is ab150081 Goat Anti-Rabbit IgG H&L (Alexa Fluor® 488) preadsorbed at 1/1000 dilution.

Immunocytochemistry/ Immunofluorescence - Anti-TRPV1 antibody [EPR25057-67] (AB305299)
  • ICC/IF

Lab

Immunocytochemistry/ Immunofluorescence - Anti-TRPV1 antibody [EPR25057-67] (AB305299)

Immunofluorescent analysis of 4% Paraformaldehyde fixed rat DRG primary neurons permeabilized using 0.1% Triton X-100 labelling TRPV1 with ab305299 (green) followed by ab150081 AlexaFluor®488 preadsorbed Goat anti-Rabbit secondary. ab78078 anti-beta III Tubulin (mouse mAb) was used as counterstain (magenta) with ab150120 AlexaFluor®594 Goat anti-Mouse as secondary. Nuclear DNA was labelled with DAPI (shown in blue). Image showing cytoplasmic staining in rat DRG primary neurons was taken with a confocal microscope (Leica-Microsystems, TCS SP8).

Immunoprecipitation - Anti-TRPV1 antibody [EPR25057-67] (AB305299)
  • IP

Supplier Data

Immunoprecipitation - Anti-TRPV1 antibody [EPR25057-67] (AB305299)

TRPV1 was immunoprecipitated from 0.35 mg Rat dorsal ganglion tissue lysate 10 μg with ab305299 at 1/30 dilution (2μg in 0.35mg lysates). Western blot was performed on the immunoprecipitate using ab305299. VeriBlot for IP secondary antibody(HRP)(ab131366) was used at 1/5000 dilution.

Lane 1 : Rat dorsal ganglion tissue lysate 10 μg

Lane 2 : ab305299 at 1/30 IP in Rat dorsal ganglion tissue lysate

Lane 3 : Rabbit monoclonal IgG (ab172730) instead of ab305299 in Rat dorsal ganglion tissue lysate

Blocking and dilution buffer and concentration : 5% NFDM/TBST

This blot was developed using a high sensitivity ECL substrate. The high-sensitivity ECL substrate used allows for the detection of proteins in the mid-femtogram range.

All lanes:

Immunoprecipitation - Anti-TRPV1 antibody [EPR25057-67] (ab305299) at 1/1000 dilution

Lane 1:

Rat dorsal ganglion tissue at 10 µg

Lane 2:

ab305299 at 1/30 IP in rat dorsal ganglion tissue lysate at 10 µg

Secondary

All lanes:

Immunoprecipitation - VeriBlot for IP Detection Reagent (HRP) (<a href='/en-us/products/reagents/veriblot-for-ip-detection-reagent-hrp-ab131366'>ab131366</a>) at 1/5000 dilution

Observed band size: 95 kDa

true

Exposure time: 3min

Western blot - Anti-TRPV1 antibody [EPR25057-67] (AB305299)
  • WB

Supplier Data

Western blot - Anti-TRPV1 antibody [EPR25057-67] (AB305299)

Blocking and diluting buffer and concentration : 5% NFDM/TBST The molecular weight is consistent to what has been described in literature (PMID : 25395667) Negative control : brain, cerebellum (PMID : 11243859) Samples are non-boiled as boiling may cause protein aggregation. Exposure time : 114 seconds

All lanes:

Western blot - Anti-TRPV1 antibody [EPR25057-67] (ab305299) at 1/1000 dilution

Lane 1:

Rat dorsal galion tissue lysate at 20 µg

Lane 2:

Rat brain tissue lysate at 40 µg

Lane 3:

Human spinal cord at 20 µg

Lane 4:

Human cerebellum at 20 µg

Secondary

All lanes:

Western blot - Goat Anti-Rabbit IgG H&L (HRP) (<a href='/en-us/products/secondary-antibodies/goat-rabbit-igg-h-l-hrp-ab97051'>ab97051</a>) at 1/20000 dilution

Observed band size: 95 kDa

false

Exposure time: 114s

Western blot - Anti-TRPV1 antibody [EPR25057-67] (AB305299)
  • WB

Lab

Western blot - Anti-TRPV1 antibody [EPR25057-67] (AB305299)

Blocking and diluting buffer and concentration : 5% NFDM/TBST.

For Lane1, to minimize protein degradation, cell was lysed immediately after harvest and then applied to a gel and transfer membrane for Western blotting as soon as possible.
Samples are non-boiled as boiling may cause protein aggregation.

All lanes:

Western blot - Anti-TRPV1 antibody [EPR25057-67] (ab305299) at 1/1000 dilution

Lane 1:

Rat fresh dorsal ganglion tissue lysate at 40 µg

Lane 2:

Rat dorsal ganglion tissue lysate at 40 µg

Secondary

All lanes:

Western blot - Goat Anti-Rabbit IgG H&L (HRP) (<a href='/en-us/products/secondary-antibodies/goat-rabbit-igg-h-l-hrp-ab97051'>ab97051</a>) at 1/20000 dilution

Observed band size: 75 kDa,95 kDa

false

Exposure time: 180s

Key facts

Host species

Rabbit

Clonality

Monoclonal

Clone number

EPR25057-67

Isotype

IgG

Carrier free

No

Reacts with

Human, Mouse, Rat

Applications

WB, IHC-P, IP, ICC/IF, IHC-Fr

applications

Immunogen

The exact immunogen used to generate this antibody is proprietary information.

Specificity

We do not guarantee WB, IP, or IHC-Fr for mouse.

The presence of TRPV1 in the enteric nervous system (ENS) remains controversial. Antibody ab305299 detected signals only in dorsal root ganglion tissue.

Reactivity data

{ "title": "Reactivity Data", "filters": { "stats": ["", "Species", "Dilution Info", "Notes"], "tabs": { "all-applications": {"fullname" : "All Applications", "shortname": "All Applications"}, "WB" : {"fullname" : "Western blot", "shortname":"WB"}, "IHCP" : {"fullname" : "Immunohistochemistry (Formalin/PFA-fixed paraffin-embedded sections)", "shortname":"IHC-P"}, "IHCFr" : {"fullname" : "Immunohistochemistry (Frozen sections)", "shortname":"IHC-Fr"}, "IP" : {"fullname" : "Immunoprecipitation", "shortname":"IP"}, "ICCIF" : {"fullname" : "Immunocytochemistry/ Immunofluorescence", "shortname":"ICC/IF"} }, "product-promise": { "all": "all", "testedAndGuaranteed": "tested", "guaranteed": "expected", "predicted": "predicted", "notRecommended": "not-recommended" } }, "values": { "Human": { "WB-species-checked": "testedAndGuaranteed", "WB-species-dilution-info": "1/1000", "WB-species-notes": "<p></p>", "IHCP-species-checked": "guaranteed", "IHCP-species-dilution-info": "", "IHCP-species-notes": "", "IHCFr-species-checked": "guaranteed", "IHCFr-species-dilution-info": "", "IHCFr-species-notes": "", "IP-species-checked": "guaranteed", "IP-species-dilution-info": "", "IP-species-notes": "", "ICCIF-species-checked": "guaranteed", "ICCIF-species-dilution-info": "", "ICCIF-species-notes": "" }, "Mouse": { "WB-species-checked": "notRecommended", "WB-species-dilution-info": "1/1000", "WB-species-notes": "<p></p>", "IHCP-species-checked": "testedAndGuaranteed", "IHCP-species-dilution-info": "1/100", "IHCP-species-notes": "<p></p> Perform heat-mediated antigen retrieval with Tris/EDTA buffer pH 9.0 before commencing with IHC staining protocol.", "IHCFr-species-checked": "notRecommended", "IHCFr-species-dilution-info": "1/500", "IHCFr-species-notes": "<p></p>", "IP-species-checked": "notRecommended", "IP-species-dilution-info": "", "IP-species-notes": "<p></p>", "ICCIF-species-checked": "testedAndGuaranteed", "ICCIF-species-dilution-info": "", "ICCIF-species-notes": "<p></p>" }, "Rat": { "WB-species-checked": "testedAndGuaranteed", "WB-species-dilution-info": "1/1000", "WB-species-notes": "<p></p>", "IHCP-species-checked": "testedAndGuaranteed", "IHCP-species-dilution-info": "1/100", "IHCP-species-notes": "<p></p> Perform heat-mediated antigen retrieval with Tris/EDTA buffer pH 9.0 before commencing with IHC staining protocol.", "IHCFr-species-checked": "testedAndGuaranteed", "IHCFr-species-dilution-info": "1/500", "IHCFr-species-notes": "<p></p>", "IP-species-checked": "testedAndGuaranteed", "IP-species-dilution-info": "1/30", "IP-species-notes": "<p></p>", "ICCIF-species-checked": "testedAndGuaranteed", "ICCIF-species-dilution-info": "", "ICCIF-species-notes": "<p></p>" } } }

Product details

What is this antibody validated in?
Anti-TRPV1 antibody [EPR25057-67] (ab305299) is a rabbit recombinant monoclonal antibody and is validated for use in Western Blot (WB), Immunoprecipitation (IP), Immunohistochemistry (IHC-P), Immunohistochemistry (IHC-Fr) in Human, Mouse, Rat samples.

Trial sizes available!
Test your antibody or perform pre-screening before committing to a larger quantity. Sold in 10µl. Discover our selection of trial-size antibodies.

Other related products
We have a range of other formats of antibody clone [EPR25057-67] also available for your convenience: ab305299, Carrier free - ab305300, Alexa Fluor® 647 - ab313673

Patented technology
Our RabMAb® technology is a patented hybridoma-based technology for making rabbit monoclonal antibodies. For details on our patents, please refer to RabMAb® patents.

What are the advantages of a recombinant monoclonal antibody?
This product is a recombinant monoclonal antibody, which offers several advantages including:

  • - High batch-to-batch consistency and reproducibility
  • - Improved sensitivity and specificity
  • - Long-term security of supply
  • - Animal-free batch production

For more information, read more on recombinant antibodies.

Properties and storage information

Form
Liquid
Purification technique
Affinity purification Protein A
Storage buffer
pH: 7.2 - 7.4 Preservative: 0.01% Sodium azide Constituents: PBS, 40% Glycerol (glycerin, glycerine), 0.05% BSA
Shipped at conditions
Blue Ice
Appropriate short-term storage duration
1-2 weeks
Appropriate short-term storage conditions
+4°C
Appropriate long-term storage conditions
-20°C
Aliquoting information
Upon delivery aliquot
Storage information
Avoid freeze / thaw cycle

Supplementary information

This supplementary information is collated from multiple sources and compiled automatically.

TRPV1 also known as the transient receptor potential vanilloid 1 or capsaicin receptor is a non-selective cation channel with a molecular mass of approximately 95 kDa. It acts mechanically by allowing the influx of calcium and sodium ions upon activation. This receptor is expressed predominantly in sensory neurons specifically in dorsal root ganglia and trigeminal ganglia which are key regions involved in pain perception. TRPV1 can also be found in various non-neuronal tissues influencing a range of physiological responses.
Biological function summary

The role of TRPV1 extends beyond sensory perception. It is involved in detecting and regulating body temperature and is activated by heat acidic conditions and certain lipid metabolites. The receptor operates as part of a homotetrameric complex contributing to neural signaling. It is activated by chemical ligands such as capsaicin the compound responsible for the spicy sensation in chili peppers influencing pain and inflammation pathways.

Pathways

TRPV1 plays essential roles in pain and nociception pathways. It intersects with the inflammatory pathway where its activity is modulated by protein kinase C (PKC) and phospholipase C (PLC). These pathways involve calcium signaling and relate to proteins such as PKA and calcineurin which modulate TRPV1 activity through phosphorylation and dephosphorylation affecting the body's response to noxious stimuli.

TRPV1 is a critical player in pain management and inflammatory disorders. It has been linked to chronic pain conditions like neuropathic pain and is also involved in migraine pathophysiology. In these contexts TRPV1 interacts with proteins like CGRP and TRPA1 which are also implicated in pain signaling and migraine mechanisms. Antagonists such as capsazepine AMG 9810 and AMG-517 have been researched for therapeutic targeting of TRPV1 in these disorders.

Product protocols

For this product, it's our understanding that no specific protocols are required. You can visit:

Target data

Non-selective calcium permeant cation channel involved in detection of noxious chemical and thermal stimuli (PubMed : 11050376, PubMed : 11243859, PubMed : 11226139, PubMed : 12077606). Seems to mediate proton influx and may be involved in intracellular acidosis in nociceptive neurons. Involved in mediation of inflammatory pain and hyperalgesia. Sensitized by a phosphatidylinositol second messenger system activated by receptor tyrosine kinases, which involves PKC isozymes and PCL. Activated by vanilloids, like capsaicin, and temperatures higher than 42 degrees Celsius (PubMed : 37117175). Upon activation, exhibits a time- and Ca(2+)-dependent outward rectification, followed by a long-lasting refractory state. Mild extracellular acidic pH (6.5) potentiates channel activation by noxious heat and vanilloids, whereas acidic conditions (pH <6) directly activate the channel. Can be activated by endogenous compounds, including 12-hydroperoxytetraenoic acid and bradykinin. Acts as ionotropic endocannabinoid receptor with central neuromodulatory effects. Triggers a form of long-term depression (TRPV1-LTD) mediated by the endocannabinoid anandamine in the hippocampus and nucleus accumbens by affecting AMPA receptors endocytosis.
See full target information TRPV1

Publications (13)

Recent publications for all applications. Explore the full list and refine your search

Cancer cell international 25:328 PubMed41044542

2025

Tetrahydropalmatine has analgesic role in mouse model of bone cancer pain by inactivating the TNF-α/uPA/PAR2/TRPV1 pathway in dorsal root ganglia.

Applications

Unspecified application

Species

Unspecified reactive species

Guangda Zheng,Linghan Meng,Lu Shang,Juanxia Ren,Dongtao Li,Yanju Bao

Purinergic signalling 21:565-576 PubMed40560521

2025

Electroacupuncture alleviates capsaicin-induced rectal visceral pain in rats via inhibiting TRPV1 expression by blocking the P2X4R-activated p38 pathway.

Applications

Unspecified application

Species

Unspecified reactive species

Yahong Xue,Qinbing Zhu,Jing Zhang,Xiaofeng Wang

Brain sciences 15: PubMed40309794

2025

Association of TRPV1 and the SIRT3/SOD2 Signaling Pathway in Mononuclear Cells and Astrocyte-Derived Extracellular Vesicles in Patients with Schizophrenia.

Applications

Unspecified application

Species

Unspecified reactive species

Rui Xu,Hao Liu,Chang Shu,Yuan Li,Shijing Wang,Ying Xiong,Fashuai Chen,Xiaowei Wang,Huan Huang,Zhongchun Liu,Gaohua Wang,Huiling Wang

Antioxidants (Basel, Switzerland) 14: PubMed40227409

2025

Effects of Integrated Extracts of and on Hot Flash-like Symptoms in Ovariectomized Rats.

Applications

Unspecified application

Species

Unspecified reactive species

Fusun Erten,Besir Er,Ramazan Ozmen,Muhammed Tokmak,Ebru Gokdere,Cemal Orhan,Abhijeet A Morde,Muralidhara Padigaru,Kazim Sahin

iScience 27:111274 PubMed39640595

2024

Lysophosphatidylcholine induced by fat transplantation regulates hyperalgesia by affecting the dysfunction of ACC perineuronal nets.

Applications

Unspecified application

Species

Unspecified reactive species

Juan Li,Zhen Li,Yanbo Liu,Yijing Li,Yanqiong Wu,Anne Manyande,Zhixiao Li,Hongbing Xiang

Scientific reports 14:21759 PubMed39294294

2024

Cell-free adipose tissue extracts as a novel treatment for rosacea by downregulating TRPV1.

Applications

Unspecified application

Species

Unspecified reactive species

Liuyi Zhou,Lulu Chen,Ting Li,Lu Wang,Shiqi Lin,Ye Zhao,Sufan Wu,Tingting Jin

Chinese medicine 19:104 PubMed39107849

2024

The analgesic effects of Yu-Xue-Bi tablet (YXB) on mice with inflammatory pain by regulating LXA4-FPR2-TRPA1 pathway.

Applications

Unspecified application

Species

Unspecified reactive species

Ying Liu,Guoxin Zhang,Chunyan Zhu,Xuemin Yao,Wenli Wang,Li Shen,Haiping Wang,Na Lin

iScience 27:110245 PubMed39055939

2024

Blockade of mesenteric and omental adipose tissue sensory neurons improves cardiac remodeling through sympathetic pathway.

Applications

Unspecified application

Species

Unspecified reactive species

Jiaxing Huang,Xinyu Liu,Qinfang Qiu,Wuping Tan,Rui Li,Haosong Xi,Chen Peng,Liping Zhou,Xiaoya Zhou,Yueyi Wang,Hong Jiang

Immunity, inflammation and disease 12:e1345 PubMed39023405

2024

Silencing of FTO inhibits oxidative stress to relieve neuropathic pain by m6A modification of GPR177.

Applications

Unspecified application

Species

Unspecified reactive species

Li Liu,Mei Liu,Zhiping Song,Huaigen Zhang

Heliyon 10:e33050 PubMed38994087

2024

"Niclosamide: A potential antipruritic agent by modulating serotonin pathway through metabotropic glutamate receptors (mGluRs)".

Applications

Unspecified application

Species

Unspecified reactive species

Zahra Ebrahim Soltani,Mohammad Elahi,Maziyar Askari Rad,Sara Farsio,Ahmad Reza Dehpour
View all publications

Product promise

We are committed to supporting your work with high-quality reagents, and we're here for you every step of the way. In the unlikely event that one of our products does not perform as expected, you're protected by our Product Promise.
For full details, please see our Terms & Conditions

Please note: All products are 'FOR RESEARCH USE ONLY. NOT FOR USE IN DIAGNOSTIC OR THERAPEUTIC PROCEDURES'.

For licensing inquiries, please contact partnerships@abcam.com