JavaScript is disabled in your browser. Please enable JavaScript to view this website.
AB305178

Anti-TRPV1 antibody [N221/17]

Be the first to review this product! Submit a review

|

(2 Publications)

Mouse Recombinant Monoclonal TRPV1 antibody. Suitable for IHC-P, IHC-Fr and reacts with Human, Mouse, Rat samples. Cited in 2 publications.

View Alternative Names

VR1, TRPV1, Transient receptor potential cation channel subfamily V member 1, TrpV1, Capsaicin receptor, Osm-9-like TRP channel 1, Vanilloid receptor 1, OTRPC1

5 Images
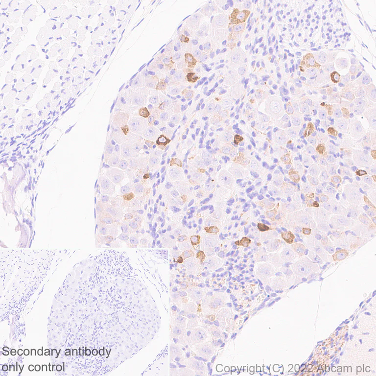
Immunohistochemistry (Formalin/PFA-fixed paraffin-embedded sections) - Anti-TRPV1 antibody [N221/17] (AB305178)
  • IHC-P

Supplier Data

Immunohistochemistry (Formalin/PFA-fixed paraffin-embedded sections) - Anti-TRPV1 antibody [N221/17] (AB305178)

Immunohistochemical analysis of paraffin-embedded human dorsal root ganglia tissue labeling TRPV1 with ab305178 at 1/100 dilution (9.85 µg/ml) followed by ready to use LeicaDS9800 (Bond® Polymer Refine Detection). Positive staining on human dorsal root ganglia. The section was incubated with ab305178 for 30 mins at room temperature, followed by anti-mouse IgG1 antibody (ab125913) for 8 mins during the LeicaDS9800 kit staining procedure. The immunostaining was performed on a Leica Biosystems BOND® RX instrument. Counterstained with Hematoxylin. Secondary antibody only control : Secondary antibody is ready to use LeicaDS9800 (Bond® Polymer Refine Detection). Heat mediated antigen retrieval with Tris-EDTA buffer (pH 9.0, epitope retrieval solution2) for 20 mins.

Immunohistochemistry (Formalin/PFA-fixed paraffin-embedded sections) - Anti-TRPV1 antibody [N221/17] (AB305178)
  • IHC-P

Supplier Data

Immunohistochemistry (Formalin/PFA-fixed paraffin-embedded sections) - Anti-TRPV1 antibody [N221/17] (AB305178)

Immunohistochemical analysis of paraffin-embedded rat cardiac muscle tissue labeling TRPV1 with ab305178 at 1/100 dilution (9.85 µg/ml) followed by ready to use LeicaDS9800 (Bond® Polymer Refine Detection). Negative control : no staining on rat cardiac muscle. The section was incubated with ab305178 for 30 mins at room temperature, followed by anti-mouse IgG1 antibody (ab125913) for 8 mins during the LeicaDS9800 kit staining procedure. The immunostaining was performed on a Leica Biosystems BOND® RX instrument. Counterstained with Hematoxylin. Secondary antibody only control : Secondary antibody is ready to use LeicaDS9800 (Bond® Polymer Refine Detection). Heat mediated antigen retrieval with Tris-EDTA buffer (pH 9.0, epitope retrieval solution2) for 20 mins.

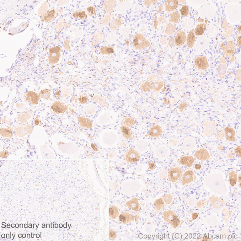
Immunohistochemistry (Formalin/PFA-fixed paraffin-embedded sections) - Anti-TRPV1 antibody [N221/17] (AB305178)
  • IHC-P

Supplier Data

Immunohistochemistry (Formalin/PFA-fixed paraffin-embedded sections) - Anti-TRPV1 antibody [N221/17] (AB305178)

Immunohistochemical analysis of paraffin-embedded rat dorsal root ganglia tissue labeling TRPV1 with ab305178 at 1/100 dilution (9.85 µg/ml) followed by ready to use LeicaDS9800 (Bond® Polymer Refine Detection). Positive staining on rat dorsal root ganglia. The section was incubated with ab305178 for 30 mins at room temperature, followed by anti-mouse IgG1 antibody (ab125913) for 8 mins during the LeicaDS9800 kit staining procedure. The immunostaining was performed on a Leica Biosystems BOND® RX instrument. Counterstained with Hematoxylin. Secondary antibody only control : Secondary antibody is ready to use LeicaDS9800 (Bond® Polymer Refine Detection). Heat mediated antigen retrieval with Tris-EDTA buffer (pH 9.0, epitope retrieval solution2) for 20 mins.

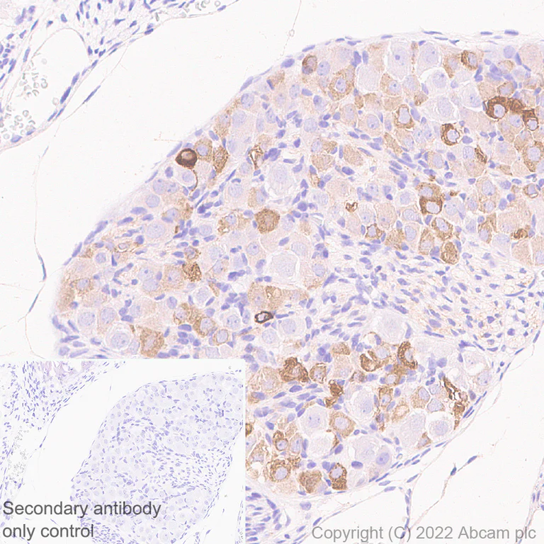
Immunohistochemistry (Formalin/PFA-fixed paraffin-embedded sections) - Anti-TRPV1 antibody [N221/17] (AB305178)
  • IHC-P

Supplier Data

Immunohistochemistry (Formalin/PFA-fixed paraffin-embedded sections) - Anti-TRPV1 antibody [N221/17] (AB305178)

Immunohistochemical analysis of paraffin-embedded mouse dorsal root ganglia tissue labeling TRPV1 with ab305178 at 1/100 dilution (9.85 µg/ml) followed by ready to use LeicaDS9800 (Bond® Polymer Refine Detection). Positive staining on mouse dorsal root ganglia. The section was incubated with ab305178 for 30 mins at room temperature, followed by anti-mouse IgG1 antibody (ab125913) for 8 mins during the LeicaDS9800 kit staining procedure. The immunostaining was performed on a Leica Biosystems BOND® RX instrument. Counterstained with Hematoxylin. Secondary antibody only control : Secondary antibody is ready to use LeicaDS9800 (Bond® Polymer Refine Detection). Heat mediated antigen retrieval with Tris-EDTA buffer (pH 9.0, epitope retrieval solution2) for 20 mins.

Immunohistochemistry (Frozen sections) - Anti-TRPV1 antibody [N221/17] (AB305178)
  • IHC-Fr

Supplier Data

Immunohistochemistry (Frozen sections) - Anti-TRPV1 antibody [N221/17] (AB305178)

Immunohistochemical analysis of 4% PFA-fixed, 0.2% Triton X-100 permeabilized frozen rat DRG (fresh) tissue labeling TRPV1 with ab305178 at 1/50 dilution followed by ab150117 Goat Anti-Mouse IgG H&L (Alexa Fluor® 488) preadsorbed at 1/1000 dilution (2 µg/mL) (Green). Confocal image showing positive staining on rat DRG. The section was incubated with ab305178 for 60 mins at room temperature. The section was then mounted using Fluoromount®. The immunostaining was performed on a Leica Biosystems BOND® RX instrument. Image was taken with a confocal microscope (Leica-Microsystems, TCS SP8). The nuclear counterstain was DAPI (Blue). Secondary antibody control : Secondary antibody is ab150117 Goat Anti-Mouse IgG H&L (Alexa Fluor® 488) preadsorbed at 1/1000 dilution (2 µg/mL).

  • Carrier free

    Anti-TRPV1 antibody [N221/17] - BSA and Azide free

Key facts

Host species

Mouse

Clonality

Monoclonal

Clone number

N221/17

Isotype

IgG1

Carrier free

No

Reacts with

Human, Mouse, Rat

Applications

IHC-P, IHC-Fr

applications

Immunogen

The exact immunogen used to generate this antibody is proprietary information.

Specificity

Not suitable for mouse IHC-Fr samples.

The presence of TRPV1 in the enteric nervous system (ENS) remains controversial. Antibody ab305178 detected signals only in dorsal root ganglion tissue.

Reactivity data

{ "title": "Reactivity Data", "filters": { "stats": ["", "Species", "Dilution Info", "Notes"], "tabs": { "all-applications": {"fullname" : "All Applications", "shortname": "All Applications"}, "WB" : {"fullname" : "Western blot", "shortname":"WB"}, "IHCP" : {"fullname" : "Immunohistochemistry (Formalin/PFA-fixed paraffin-embedded sections)", "shortname":"IHC-P"}, "IHCFr" : {"fullname" : "Immunohistochemistry (Frozen sections)", "shortname":"IHC-Fr"} }, "product-promise": { "all": "all", "testedAndGuaranteed": "tested", "guaranteed": "expected", "predicted": "predicted", "notRecommended": "not-recommended" } }, "values": { "Human": { "WB-species-checked": "notRecommended", "WB-species-dilution-info": "", "WB-species-notes": "<p></p>", "IHCP-species-checked": "testedAndGuaranteed", "IHCP-species-dilution-info": "1/100", "IHCP-species-notes": "<p></p> Perform heat-mediated antigen retrieval with Tris/EDTA buffer pH 9.0 before commencing with IHC staining protocol.", "IHCFr-species-checked": "guaranteed", "IHCFr-species-dilution-info": "", "IHCFr-species-notes": "" }, "Mouse": { "WB-species-checked": "notRecommended", "WB-species-dilution-info": "", "WB-species-notes": "<p></p>", "IHCP-species-checked": "testedAndGuaranteed", "IHCP-species-dilution-info": "1/100", "IHCP-species-notes": "<p></p> Perform heat-mediated antigen retrieval with Tris/EDTA buffer pH 9.0 before commencing with IHC staining protocol.", "IHCFr-species-checked": "notRecommended", "IHCFr-species-dilution-info": "1/50", "IHCFr-species-notes": "<p></p>" }, "Rat": { "WB-species-checked": "notRecommended", "WB-species-dilution-info": "", "WB-species-notes": "<p></p>", "IHCP-species-checked": "testedAndGuaranteed", "IHCP-species-dilution-info": "1/100", "IHCP-species-notes": "<p></p> Perform heat-mediated antigen retrieval with Tris/EDTA buffer pH 9.0 before commencing with IHC staining protocol.", "IHCFr-species-checked": "testedAndGuaranteed", "IHCFr-species-dilution-info": "1/50", "IHCFr-species-notes": "<p></p>" } } }

Product details

What are the advantages of a recombinant monoclonal antibody?
This product is a recombinant monoclonal antibody, which offers several advantages including:

  • - High batch-to-batch consistency and reproducibility
  • - Improved sensitivity and specificity
  • - Long-term security of supply
  • - Animal-free batch production

For more information, read more on recombinant antibodies.

Want a custom formulation?
This antibody clone is manufactured by Abcam. If you require a custom buffer formulation or conjugation for your experiments, please contact orders@abcam.com

Properties and storage information

Form
Liquid
Purification technique
Affinity purification Protein A
Storage buffer
pH: 7.2 - 7.4 Preservative: 0.01% Sodium azide Constituents: PBS, 40% Glycerol (glycerin, glycerine), 0.05% BSA
Shipped at conditions
Blue Ice
Appropriate short-term storage duration
1-2 weeks
Appropriate short-term storage conditions
+4°C
Appropriate long-term storage conditions
-20°C
Aliquoting information
Upon delivery aliquot
Storage information
Avoid freeze / thaw cycle

Supplementary information

This supplementary information is collated from multiple sources and compiled automatically.

TRPV1 also known as the transient receptor potential vanilloid 1 or capsaicin receptor is a non-selective cation channel with a molecular mass of approximately 95 kDa. It acts mechanically by allowing the influx of calcium and sodium ions upon activation. This receptor is expressed predominantly in sensory neurons specifically in dorsal root ganglia and trigeminal ganglia which are key regions involved in pain perception. TRPV1 can also be found in various non-neuronal tissues influencing a range of physiological responses.
Biological function summary

The role of TRPV1 extends beyond sensory perception. It is involved in detecting and regulating body temperature and is activated by heat acidic conditions and certain lipid metabolites. The receptor operates as part of a homotetrameric complex contributing to neural signaling. It is activated by chemical ligands such as capsaicin the compound responsible for the spicy sensation in chili peppers influencing pain and inflammation pathways.

Pathways

TRPV1 plays essential roles in pain and nociception pathways. It intersects with the inflammatory pathway where its activity is modulated by protein kinase C (PKC) and phospholipase C (PLC). These pathways involve calcium signaling and relate to proteins such as PKA and calcineurin which modulate TRPV1 activity through phosphorylation and dephosphorylation affecting the body's response to noxious stimuli.

TRPV1 is a critical player in pain management and inflammatory disorders. It has been linked to chronic pain conditions like neuropathic pain and is also involved in migraine pathophysiology. In these contexts TRPV1 interacts with proteins like CGRP and TRPA1 which are also implicated in pain signaling and migraine mechanisms. Antagonists such as capsazepine AMG 9810 and AMG-517 have been researched for therapeutic targeting of TRPV1 in these disorders.

Product protocols

For this product, it's our understanding that no specific protocols are required. You can visit:

Target data

Ligand-activated non-selective calcium permeant cation channel involved in detection of noxious chemical and thermal stimuli. Seems to mediate proton influx and may be involved in intracellular acidosis in nociceptive neurons. Involved in mediation of inflammatory pain and hyperalgesia. Sensitized by a phosphatidylinositol second messenger system activated by receptor tyrosine kinases, which involves PKC isozymes and PCL. Activation by vanilloids, like capsaicin, and temperatures higher than 42 degrees Celsius, exhibits a time- and Ca(2+)-dependent outward rectification, followed by a long-lasting refractory state. Mild extracellular acidic pH (6.5) potentiates channel activation by noxious heat and vanilloids, whereas acidic conditions (pH <6) directly activate the channel. Can be activated by endogenous compounds, including 12-hydroperoxytetraenoic acid and bradykinin. Acts as ionotropic endocannabinoid receptor with central neuromodulatory effects. Triggers a form of long-term depression (TRPV1-LTD) mediated by the endocannabinoid anandamine in the hippocampus and nucleus accumbens by affecting AMPA receptors endocytosis.
See full target information TRPV1

Publications (2)

Recent publications for all applications. Explore the full list and refine your search

Chinese medicine 20:112 PubMed40660305

2025

Acupuncture promotes muscle cells ATP metabolism in ST36 acupoint local exerting effect by activating TRPV1/CaMKII/AMPK/PGC1α signaling pathway.

Applications

Unspecified application

Species

Unspecified reactive species

Zhihan Chen,Kaifang Yao,Xinrui Wang,Yangyang Liu,Simin Du,Shenjun Wang,Yuxin Fang,Yuan Xu,Zhifang Xu,Xiaowei Lin,Yi Guo

International journal of molecular sciences 26: PubMed40362313

2025

Sensitivity of Various Indicators in a Mouse Sensitive Skin Model Treatment with 4-tert-Butylcyclohexanol and Pimecrolimus.

Applications

Unspecified application

Species

Unspecified reactive species

Xueting Tang,Xueer Wang,Yarui Zhang,Qimei Chen,Shan Zhao,Xunhong Xu,Xinyu Yang,Xiaoran Liu,Lin Zhang,Min Zhang
View all publications

Product promise

We are committed to supporting your work with high-quality reagents, and we're here for you every step of the way. In the unlikely event that one of our products does not perform as expected, you're protected by our Product Promise.
For full details, please see our Terms & Conditions

Please note: All products are 'FOR RESEARCH USE ONLY. NOT FOR USE IN DIAGNOSTIC OR THERAPEUTIC PROCEDURES'.

For licensing inquiries, please contact partnerships@abcam.com