JavaScript is disabled in your browser. Please enable JavaScript to view this website.
AB236955

Anti-TRPV2 antibody

Be the first to review this product! Submit a review

|

(1 Publication)

Rabbit Polyclonal TRPV2 antibody. Suitable for IHC-P, ICC/IF and reacts with Human samples. Cited in 1 publication. Immunogen corresponding to Recombinant Fragment Protein within Human TRPV2 aa 1-150.

View Alternative Names

VRL, TRPV2, Transient receptor potential cation channel subfamily V member 2, TrpV2, Osm-9-like TRP channel 2, Vanilloid receptor-like protein 1, OTRPC2, VRL-1

2 Images
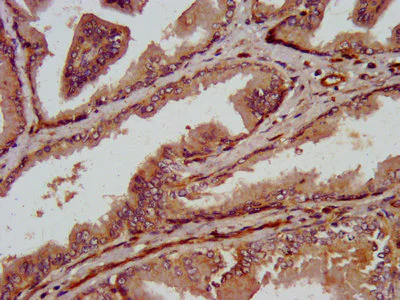
Immunohistochemistry (Formalin/PFA-fixed paraffin-embedded sections) - Anti-TRPV2 antibody (AB236955)
  • IHC-P

Supplier Data

Immunohistochemistry (Formalin/PFA-fixed paraffin-embedded sections) - Anti-TRPV2 antibody (AB236955)

Paraffin-embedded human prostate tissue stained for TRPV2 using ab236955 at 1/800 dilution in immunohistochemical analysis.

After dewaxing and hydration, antigen retrieval was mediated by high pressure in a citrate buffer (pH 6.0). Section was blocked with 10% normal goat serum for 30 minutes at RT. Then primary antibody (1% BSA) was incubated at 4°C overnight. The primary is detected by a biotinylated secondary antibody and visualized using a HRP conjugated SP system.

Immunocytochemistry/ Immunofluorescence - Anti-TRPV2 antibody (AB236955)
  • ICC/IF

Supplier Data

Immunocytochemistry/ Immunofluorescence - Anti-TRPV2 antibody (AB236955)

HepG2 (Human liver hepatocellular carcinoma cell line) cells stained for TRPV2 (green) using ab236955 at 1/266 dilution in ICC/IF, followed by an Alexa-Fluor®488-conjugated goat anti-rabbit IgG (H+L). Counterstained with DAPI (blue).

The cells were fixed in 4% formaldehyde, permeabilized using 0.2% Triton X-100 and blocked in 10% normal goat serum. The cells were then incubated with primary antibody overnight at 4°C.

Key facts

Host species

Rabbit

Clonality

Polyclonal

Isotype

IgG

Carrier free

No

Reacts with

Human

Applications

IHC-P, ICC/IF

applications

Immunogen

Recombinant Fragment Protein within Human TRPV2 aa 1-150. The exact immunogen used to generate this antibody is proprietary information.

Q9Y5S1

Reactivity data

{ "title": "Reactivity Data", "filters": { "stats": ["", "Species", "Dilution Info", "Notes"], "tabs": { "all-applications": {"fullname" : "All Applications", "shortname": "All Applications"}, "IHCP" : {"fullname" : "Immunohistochemistry (Formalin/PFA-fixed paraffin-embedded sections)", "shortname":"IHC-P"}, "ICCIF" : {"fullname" : "Immunocytochemistry/ Immunofluorescence", "shortname":"ICC/IF"} }, "product-promise": { "all": "all", "testedAndGuaranteed": "tested", "guaranteed": "expected", "predicted": "predicted", "notRecommended": "not-recommended" } }, "values": { "Human": { "IHCP-species-checked": "testedAndGuaranteed", "IHCP-species-dilution-info": "1/500 - 1/1000", "IHCP-species-notes": "<p></p>", "ICCIF-species-checked": "testedAndGuaranteed", "ICCIF-species-dilution-info": "1/200 - 1/500", "ICCIF-species-notes": "<p></p>" } } }

Properties and storage information

Form
Liquid
Purification technique
Affinity purification Protein G
Purification notes
Purity >95%
Storage buffer
pH: 7.4 Preservative: 0.03% Proclin 300 Constituents: PBS, 50% Glycerol (glycerin, glycerine)
Shipped at conditions
Blue Ice
Appropriate short-term storage duration
1-2 weeks
Appropriate short-term storage conditions
+4°C
Appropriate long-term storage conditions
-20°C
Aliquoting information
Upon delivery aliquot
Storage information
Avoid freeze / thaw cycle

Supplementary information

This supplementary information is collated from multiple sources and compiled automatically.

TRPV2 also known as transient receptor potential cation channel subfamily V member 2 is a non-selective cation channel with a molecular mass of around 85 kDa. Known for being heat-activated TRPV2 is sensitive to temperatures above 52°C. The protein is expressed in various tissues including heart lung spleen and brain. In neuronal and non-neuronal cells TRPV2 plays a role in calcium influx responding to potential mechanical stretch stimuli and cannabinoids like cannabidiol.
Biological function summary

TRPV2 acts as a sensor within cells and is vital for regulating calcium homeostasis affecting cellular responses in many types of cells. TRPV2 is not part of any multi-subunit complex but is often found located on the cell membrane where it modulates membrane potential and intracellular signaling. This protein contributes to tracking endogenous lipids for cellular signaling pathways necessary for various biological processes like muscle contraction and immune response.

Pathways

TRPV2 engages in cellular signaling pathways that modulate physiological responses. In particular it is part of the mechanotransduction and thermal sensing pathways where it interacts with proteins such as TRPV1 TRPV3 and TRPV4. These pathways are important for interpreting and reacting to mechanical and thermal stimuli influencing processes like inflammation and pain perception.

TRPV2 modulation impacts conditions such as cardiac hypertrophy and neurodegenerative disorders. TRPV2 interacts with proteins like calmodulin and various ion channels affecting cellular calcium dynamics that can lead to pathological states. Studies indicate that TRPV2 may play a part in the pathogenesis of heart diseases providing a link between mechanical stimuli and the development of cardiac-related conditions. Additionally aberrant regulation of TRPV2 has been implicated in muscular dystrophy highlighting its role in muscular maintenance and degradation processes.

Product protocols

For this product, it's our understanding that no specific protocols are required. You can visit:

Target data

Calcium-permeable, non-selective cation channel (PubMed : 10201375). Seems to be regulated, at least in part, by growth factors, such as IGF1, PDGF and morphogenetic neuropeptide/head activator. May transduce physical stimuli in mast cells (By similarity).
See full target information TRPV2

Publications (1)

Recent publications for all applications. Explore the full list and refine your search

Oncology reports 41:3347-3354 PubMed31002350

2019

Upregulated histamine receptor H3 promotes tumor growth and metastasis in hepatocellular carcinoma.

Applications

Unspecified application

Species

Unspecified reactive species

Deliang Yu,Jing Zhao,Yuhong Wang,Jing Hu,Qinchuan Zhao,Jibin Li,Jianjun Zhu
View all publications

Product promise

We are committed to supporting your work with high-quality reagents, and we're here for you every step of the way. In the unlikely event that one of our products does not perform as expected, you're protected by our Product Promise.
For full details, please see our Terms & Conditions

Please note: All products are 'FOR RESEARCH USE ONLY. NOT FOR USE IN DIAGNOSTIC OR THERAPEUTIC PROCEDURES'.

For licensing inquiries, please contact partnerships@abcam.com