JavaScript is disabled in your browser. Please enable JavaScript to view this website.
AB259361

Anti-TRPV4 antibody [EPR23846-44]

  • BOND RX™ Validated
  • 20ul selling size
  • RabMAb
  • Recombinant
  • What is this?

Be the first to review this product! Submit a review

|

(2 Publications)

Rabbit Recombinant Monoclonal TRPV4 antibody. Suitable for IHC-Fr, IHC-P and reacts with Mouse, Rat samples. Cited in 2 publications.

View Alternative Names

Vroac, Trpv4, Transient receptor potential cation channel subfamily V member 4, TrpV4, Osm-9-like TRP channel 4, Vanilloid receptor-related osmotically-activated channel, OTRPC4, VR-OAC

8 Images
Immunohistochemistry (Formalin/PFA-fixed paraffin-embedded sections) - Anti-TRPV4 antibody [EPR23846-44] (AB259361)
  • IHC-P

Supplier Data

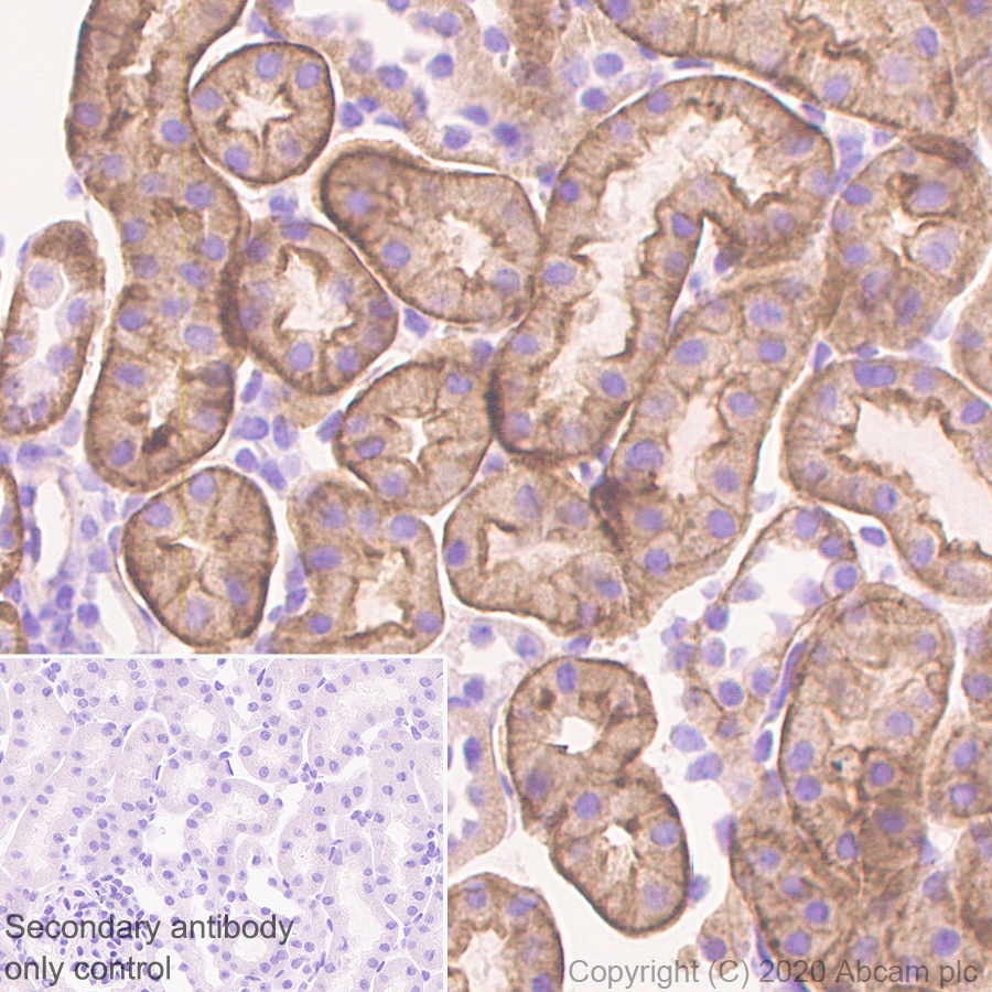
Immunohistochemistry (Formalin/PFA-fixed paraffin-embedded sections) - Anti-TRPV4 antibody [EPR23846-44] (AB259361)

Immunohistochemical analysis of paraffin-embedded Mouse kidney tissue labeling TRPV4 with ab259361 at 1/500 (1.008 ug/ml) followed by a ready to use Rabbit specific IHC polymer detection kit HRP/DAB (ab209101). Positive staining in mouse kidney. The section was incubated with ab259361 for 30 mins at room temperature. The immunostaining was performed on a Leica Biosystems BOND® RX instrument Counterstained with Hematoxylin.

Secondary antibody only control : Secondary antibody is a ready to use Rabbit specific IHC polymer detection kit HRP/DAB (ab209101).

Heat mediated antigen retrieval with Tris-EDTA buffer (pH 9.0, epitope retrieval solution2) for 20 mins

Immunohistochemistry (Frozen sections) - Anti-TRPV4 antibody [EPR23846-44] (AB259361)
  • IHC-Fr

Supplier Data

Immunohistochemistry (Frozen sections) - Anti-TRPV4 antibody [EPR23846-44] (AB259361)

Immunohistochemical analysis of 4% PFA-fixed, 0.2% Triton X-100 permeabilized frozen Rat cerebrum (fresh) tissue labeling TRPV4 with ab259361 at 1/100 (5.04 ug/ml) dilution followed by ab150081 Goat Anti-Rabbit IgG H&L (Alexa Fluor® 488) preadsorbed at 1/1000 dilution (Green). Cytoplasmic staining on choroid plexus of rat cerebrum is observed. The nuclear counterstain was DAPI (Blue).

Secondary antibody control : Secondary antibody is ab150081 Goat Anti-Rabbit IgG H&L (Alexa Fluor® 488) preadsorbedat 1/1000 dilution.

Immunohistochemistry (Frozen sections) - Anti-TRPV4 antibody [EPR23846-44] (AB259361)
  • IHC-Fr

Supplier Data

Immunohistochemistry (Frozen sections) - Anti-TRPV4 antibody [EPR23846-44] (AB259361)

Immunohistochemical analysis of 4% PFA-fixed, 0.2% Triton X-100 permeabilized frozen Mouse cerebrum(fresh) tissue labeling TRPV4 with ab259361 at 1/100 (5.04 ug/ml) dilution followed by ab150081 Goat Anti-Rabbit IgG H&L (Alexa Fluor® 488) preadsorbed at 1/1000 dilution (Green). Cytoplasmic staining on choroid plexus of mouse cerebrum is observed. The nuclear counterstain was DAPI (Blue).

Secondary antibody control : Secondary antibody is ab150081 Goat Anti-Rabbit IgG H&L (Alexa Fluor® 488) preadsorbedat 1/1000 dilution.

Immunohistochemistry (Frozen sections) - Anti-TRPV4 antibody [EPR23846-44] (AB259361)
  • IHC-Fr

Supplier Data

Immunohistochemistry (Frozen sections) - Anti-TRPV4 antibody [EPR23846-44] (AB259361)

Immunohistochemical analysis of 4% PFA-fixed, 0.2% Triton X-100 permeabilized frozen Rat kidney (fresh) tissue labeling TRPV4 with ab259361 at 1/100 (5.04 ug/ml) dilution followed by ab150081 Goat Anti-Rabbit IgG H&L (Alexa Fluor® 488) preadsorbed at 1/1000 dilution (Green). Cytoplasmic staining on rat kidney is observed. The nuclear counterstain was DAPI (Blue).

Secondary antibody control : Secondary antibody is ab150081 Goat Anti-Rabbit IgG H&L (Alexa Fluor® 488) preadsorbedat 1/1000 dilution.

Immunohistochemistry (Formalin/PFA-fixed paraffin-embedded sections) - Anti-TRPV4 antibody [EPR23846-44] (AB259361)
  • IHC-P

Supplier Data

Immunohistochemistry (Formalin/PFA-fixed paraffin-embedded sections) - Anti-TRPV4 antibody [EPR23846-44] (AB259361)

Immunohistochemical analysis of paraffin-embedded Mouse cerebrum tissue labeling TRPV4 with ab259361 at 1/500 (1.008 ug/ml) followed by a ready to use Rabbit specific IHC polymer detection kit HRP/DAB (ab209101). Positive staining in choroid plexus of mouse cerebrum. The section was incubated with ab259361 for 30 mins at room temperature. The immunostaining was performed on a Leica Biosystems BOND® RX instrument Counterstained with Hematoxylin.

Secondary antibody only control : Secondary antibody is a ready to use Rabbit specific IHC polymer detection kit HRP/DAB (ab209101).

Heat mediated antigen retrieval with Tris-EDTA buffer (pH 9.0, epitope retrieval solution2) for 20 mins

Immunohistochemistry (Formalin/PFA-fixed paraffin-embedded sections) - Anti-TRPV4 antibody [EPR23846-44] (AB259361)
  • IHC-P

Supplier Data

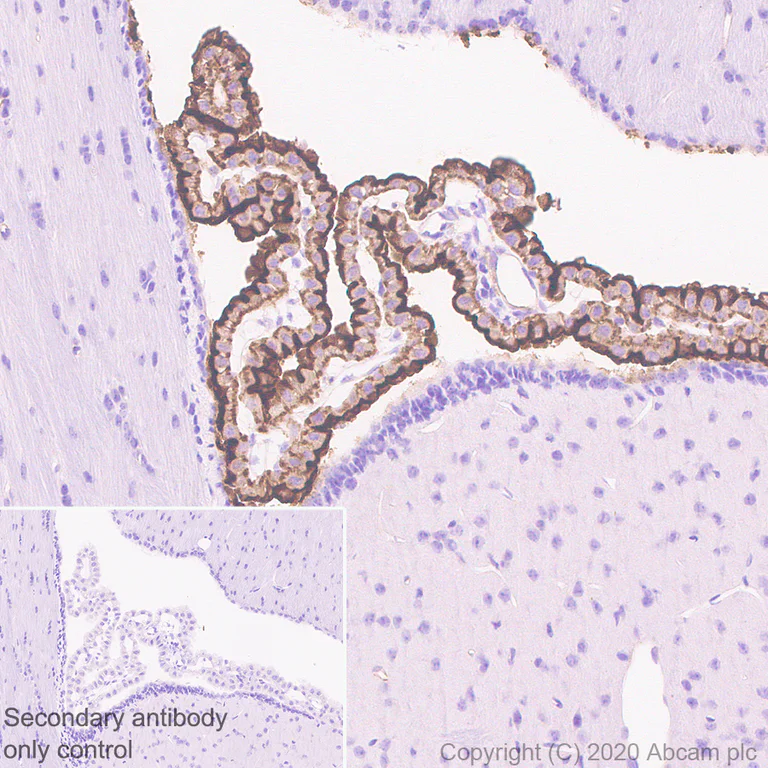
Immunohistochemistry (Formalin/PFA-fixed paraffin-embedded sections) - Anti-TRPV4 antibody [EPR23846-44] (AB259361)

Immunohistochemical analysis of paraffin-embedded Rat cerebrum tissue labeling TRPV4 with ab259361 at 1/500 (1.008 ug/ml) followed by a ready to use Rabbit specific IHC polymer detection kit HRP/DAB (ab209101). Positive staining in choroid plexus of rat cerebrum (PMID : 18499744). The section was incubated with ab259361 for 30 mins at room temperature. The immunostaining was performed on a Leica Biosystems BOND® RX instrument Counterstained with Hematoxylin.

Secondary antibody only control : Secondary antibody is a ready to use Rabbit specific IHC polymer detection kit HRP/DAB (ab209101).

Heat mediated antigen retrieval with Tris-EDTA buffer (pH 9.0, epitope retrieval solution2) for 20 mins

Immunohistochemistry (Formalin/PFA-fixed paraffin-embedded sections) - Anti-TRPV4 antibody [EPR23846-44] (AB259361)
  • IHC-P

Supplier Data

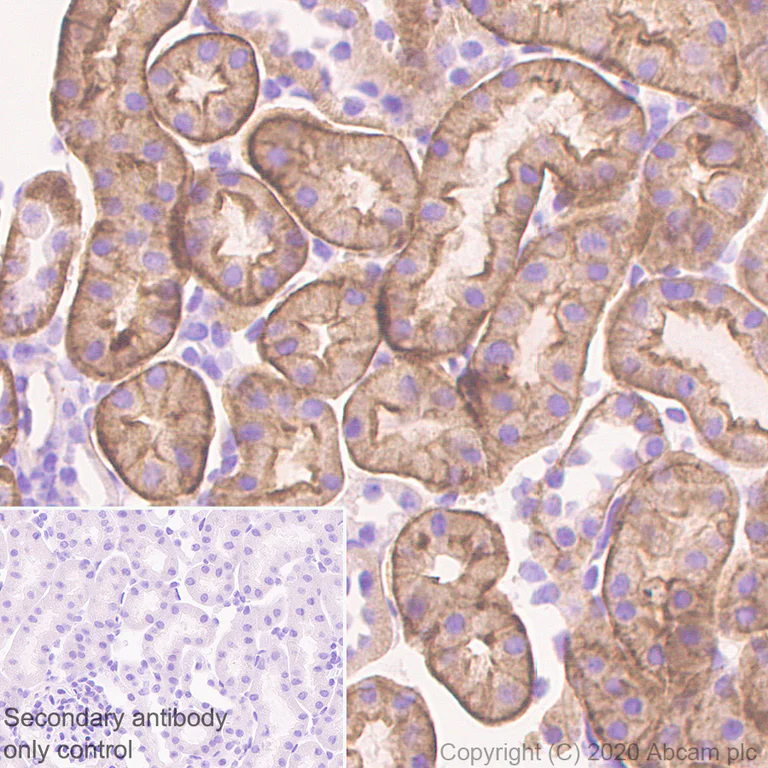
Immunohistochemistry (Formalin/PFA-fixed paraffin-embedded sections) - Anti-TRPV4 antibody [EPR23846-44] (AB259361)

Immunohistochemical analysis of paraffin-embedded Rat kidney tissue labeling TRPV4 with ab259361 at 1/500 (1.008 ug/ml) followed by a ready to use Rabbit specific IHC polymer detection kit HRP/DAB (ab209101). Positive staining in rat kidney (PMID : 18499744). The section was incubated with ab259361 for 30 mins at room temperature. The immunostaining was performed on a Leica Biosystems BOND® RX instrument Counterstained with Hematoxylin.

Secondary antibody only control : Secondary antibody is a ready to use Rabbit specific IHC polymer detection kit HRP/DAB (ab209101).

Heat mediated antigen retrieval with Tris-EDTA buffer (pH 9.0, epitope retrieval solution2) for 20 mins

Immunohistochemistry (Frozen sections) - Anti-TRPV4 antibody [EPR23846-44] (AB259361)
  • IHC-Fr

Supplier Data

Immunohistochemistry (Frozen sections) - Anti-TRPV4 antibody [EPR23846-44] (AB259361)

Immunohistochemical analysis of 4% PFA-fixed, 0.2% Triton X-100 permeabilized frozen Mouse kidney (fresh) tissue labeling TRPV4 with ab259361 at 1/100 (5.04 ug/ml) dilution followed by ab150081 Goat Anti-Rabbit IgG H&L (Alexa Fluor® 488) preadsorbed at 1/1000 dilution (Green). Cytoplasmic staining on mouse kidney is observed. The nuclear counterstain was DAPI (Blue).

Secondary antibody control : Secondary antibody is ab150081 Goat Anti-Rabbit IgG H&L (Alexa Fluor® 488) preadsorbedat 1/1000 dilution.

Key facts

Host species

Rabbit

Clonality

Monoclonal

Clone number

EPR23846-44

Isotype

IgG

Carrier free

No

Reacts with

Mouse, Rat

Applications

IHC-Fr, IHC-P

applications

Immunogen

The exact immunogen used to generate this antibody is proprietary information.

Reactivity data

{ "title": "Reactivity Data", "filters": { "stats": ["", "Species", "Dilution Info", "Notes"], "tabs": { "all-applications": {"fullname" : "All Applications", "shortname": "All Applications"}, "ICCIF" : {"fullname" : "Immunocytochemistry/ Immunofluorescence", "shortname":"ICC/IF"}, "IP" : {"fullname" : "Immunoprecipitation", "shortname":"IP"}, "FlowCyt" : {"fullname" : "Flow Cytometry", "shortname":"Flow Cyt"}, "IHCFr" : {"fullname" : "Immunohistochemistry (Frozen sections)", "shortname":"IHC-Fr"}, "IHCP" : {"fullname" : "Immunohistochemistry (Formalin/PFA-fixed paraffin-embedded sections)", "shortname":"IHC-P"}, "WB" : {"fullname" : "Western blot", "shortname":"WB"} }, "product-promise": { "all": "all", "testedAndGuaranteed": "tested", "guaranteed": "expected", "predicted": "predicted", "notRecommended": "not-recommended" } }, "values": { "Human": { "ICCIF-species-checked": "notRecommended", "ICCIF-species-dilution-info": "", "ICCIF-species-notes": "<p></p>", "IP-species-checked": "notRecommended", "IP-species-dilution-info": "", "IP-species-notes": "", "FlowCyt-species-checked": "notRecommended", "FlowCyt-species-dilution-info": "", "FlowCyt-species-notes": "", "IHCFr-species-checked": "notRecommended", "IHCFr-species-dilution-info": "", "IHCFr-species-notes": "", "IHCP-species-checked": "notRecommended", "IHCP-species-dilution-info": "1/500", "IHCP-species-notes": "<p></p>", "WB-species-checked": "notRecommended", "WB-species-dilution-info": "", "WB-species-notes": "<p></p>" }, "Mouse": { "ICCIF-species-checked": "notRecommended", "ICCIF-species-dilution-info": "", "ICCIF-species-notes": "<p></p>", "IP-species-checked": "notRecommended", "IP-species-dilution-info": "", "IP-species-notes": "<p></p>", "FlowCyt-species-checked": "notRecommended", "FlowCyt-species-dilution-info": "", "FlowCyt-species-notes": "<p></p>", "IHCFr-species-checked": "testedAndGuaranteed", "IHCFr-species-dilution-info": "1/100", "IHCFr-species-notes": "<p></p>", "IHCP-species-checked": "testedAndGuaranteed", "IHCP-species-dilution-info": "1/500", "IHCP-species-notes": "<p></p>", "WB-species-checked": "notRecommended", "WB-species-dilution-info": "", "WB-species-notes": "" }, "Rat": { "ICCIF-species-checked": "notRecommended", "ICCIF-species-dilution-info": "", "ICCIF-species-notes": "<p></p>", "IP-species-checked": "notRecommended", "IP-species-dilution-info": "", "IP-species-notes": "<p></p>", "FlowCyt-species-checked": "notRecommended", "FlowCyt-species-dilution-info": "", "FlowCyt-species-notes": "<p></p>", "IHCFr-species-checked": "testedAndGuaranteed", "IHCFr-species-dilution-info": "1/100", "IHCFr-species-notes": "<p></p>", "IHCP-species-checked": "testedAndGuaranteed", "IHCP-species-dilution-info": "1/500", "IHCP-species-notes": "<p></p>", "WB-species-checked": "notRecommended", "WB-species-dilution-info": "", "WB-species-notes": "" } } }

Product details

Patented technology
Our RabMAb® technology is a patented hybridoma-based technology for making rabbit monoclonal antibodies. For details on our patents, please refer to RabMAb® patents.

What are the advantages of a recombinant monoclonal antibody?
This product is a recombinant monoclonal antibody, which offers several advantages including:

  • - High batch-to-batch consistency and reproducibility
  • - Improved sensitivity and specificity
  • - Long-term security of supply
  • - Animal-free batch production

For more information, read more on recombinant antibodies.

Properties and storage information

Form
Liquid
Purification technique
Affinity purification Protein A
Storage buffer
pH: 7.2 - 7.4 Preservative: 0.01% Sodium azide Constituents: PBS, 40% Glycerol (glycerin, glycerine), 0.05% BSA
Shipped at conditions
Blue Ice
Appropriate short-term storage duration
1-2 weeks
Appropriate short-term storage conditions
+4°C
Appropriate long-term storage conditions
-20°C
Aliquoting information
Upon delivery aliquot
Storage information
Avoid freeze / thaw cycle

Supplementary information

This supplementary information is collated from multiple sources and compiled automatically.

TRPV4 also known as transient receptor potential vanilloid 4 is an ion channel protein that plays a mechanical role in the human body. This protein with a mass of approximately 98 kDa is sensitive to osmotic pressure mechanical forces and temperature changes. It acts as a calcium-permeable non-selective cation channel. TRPV4 is widely expressed in various tissues including the choroid plexus as well as in the epithelial cells endothelium and certain neurons. The expression pattern suggests its involvement in various physiological processes.
Biological function summary

TRPV4 serves functions essential for osmoregulation mechanosensation and thermosensation. It often forms a complex with other proteins to modulate calcium influx which influences cellular responses. TRPV4 impacts various biological processes such as maintaining cell volume and adapting to temperature changes. Its role in regulating fluid movement across barriers like those in the choroid plexus demonstrates its involvement in maintaining homeostasis. These interactions highlight the protein's widespread influence on various cellular functions.

Pathways

TRPV4 integrates into critical signal transduction pathways that include the mechanotransduction and osmoregulation pathways. It is closely related to other TRP family members such as TRPV1 and TRPC1 within these pathways. The mechanotransduction pathway allows it to convey mechanical stimuli into electrochemical activity impacting various systems throughout the body. The osmoregulation pathway highlights its ability to sense and respond to osmotic shifts maintaining cellular and systemic equilibrium.

TRPV4 has significant links to a range of pathologies such as skeletal dysplasias and neuropathies. Mutations in TRPV4 can lead to altered channel function contributing to conditions like Charcot-Marie-Tooth disease and congenital distal spinal muscular atrophy. These associations often involve the misregulation of calcium homeostasis where TRPV4's interaction with proteins like TRPV1 leads to a disruption of normal cellular processes highlighting the importance of maintaining TRPV4's proper function to prevent those diseases.

Product protocols

For this product, it's our understanding that no specific protocols are required. You can visit:

Target data

Non-selective calcium permeant cation channel involved in osmotic sensitivity and mechanosensitivity (PubMed : 11081638). Activation by exposure to hypotonicity within the physiological range exhibits an outward rectification (PubMed : 11081638). Also activated by heat, low pH, citrate and phorbol esters (By similarity). Increase of intracellular Ca(2+) potentiates currents (By similarity). Channel activity seems to be regulated by a calmodulin-dependent mechanism with a negative feedback mechanism (By similarity). Acts as a regulator of intracellular Ca(2+) in synoviocytes (By similarity). Plays an obligatory role as a molecular component in the nonselective cation channel activation induced by 4-alpha-phorbol 12,13-didecanoate and hypotonic stimulation in synoviocytes and also regulates production of IL-8 (By similarity). Together with PKD2, forms mechano- and thermosensitive channels in cilium (By similarity). Promotes cell-cell junction formation in skin keratinocytes and plays an important role in the formation and/or maintenance of functional intercellular barriers (By similarity). Negatively regulates expression of PPARGC1A, UCP1, oxidative metabolism and respiration in adipocytes (By similarity). Regulates expression of chemokines and cytokines related to pro-inflammatory pathway in adipocytes (By similarity). Together with AQP5, controls regulatory volume decrease in salivary epithelial cells (By similarity). Required for normal development and maintenance of bone and cartilage (By similarity). In its inactive state, may sequester DDX3X at the plasma membrane. When activated, the interaction between both proteins is affected and DDX3X relocalizes to the nucleus (By similarity). In neurons of the central nervous system, could play a role in triggering voluntary water intake in response to increased sodium concentration in body fluid (By similarity).
See full target information Trpv4

Publications (2)

Recent publications for all applications. Explore the full list and refine your search

Frontiers in cellular neuroscience 17:1149793 PubMed36909278

2023

Pharmacological activation of transient receptor potential vanilloid 4 promotes triggering of the swallowing reflex in rats.

Applications

IHC-Fr, IHC

Species

Rat, Mouse

Mohammad Zakir Hossain,Hiroshi Ando,Shumpei Unno,Rita Rani Roy,Junichi Kitagawa

Frontiers in physiology 13:927078 PubMed36160854

2022

Activation of TRPV4 by lactate as a critical mediator of renal fibrosis in spontaneously hypertensive rats after moderate- and high-intensity exercise.

Applications

IHC-P

Species

Rat

Binyi Zhao,Yanping Xu,Yunlin Chen,Ying Cai,Zhiyan Gong,Dan Li,Hongyu Kuang,Xiaozhu Liu,Hao Zhou,Guochun Liu,Yuehui Yin
View all publications

Product promise

We are committed to supporting your work with high-quality reagents, and we're here for you every step of the way. In the unlikely event that one of our products does not perform as expected, you're protected by our Product Promise.
For full details, please see our Terms & Conditions

Please note: All products are 'FOR RESEARCH USE ONLY. NOT FOR USE IN DIAGNOSTIC OR THERAPEUTIC PROCEDURES'.

For licensing inquiries, please contact partnerships@abcam.com