JavaScript is disabled in your browser. Please enable JavaScript to view this website.
AB307445

Anti-TRPV4 antibody [EPR27068-39] - BSA and Azide free

Be the first to review this product! Submit a review

|

(0 Publication)

Rabbit Recombinant Monoclonal TRPV4 antibody. Carrier free. Suitable for IP, IHC-Fr, IHC-P, WB and reacts with Human, Mouse samples.

View Alternative Names

VRL2, VROAC, TRPV4, Transient receptor potential cation channel subfamily V member 4, TrpV4, Osm-9-like TRP channel 4, Transient receptor potential protein 12, Vanilloid receptor-like channel 2, Vanilloid receptor-like protein 2, Vanilloid receptor-related osmotically-activated channel, OTRPC4, TRP12, VRL-2, VR-OAC

9 Images
Immunohistochemistry (Formalin/PFA-fixed paraffin-embedded sections) - Anti-TRPV4 antibody [EPR27068-39] - BSA and Azide free (AB307445)
  • IHC-P

Supplier Data

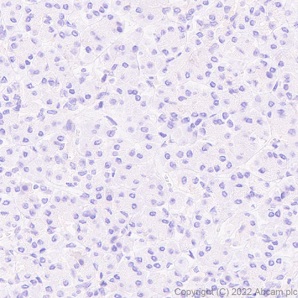
Immunohistochemistry (Formalin/PFA-fixed paraffin-embedded sections) - Anti-TRPV4 antibody [EPR27068-39] - BSA and Azide free (AB307445)

This data was developed using ab307444, the same antibody clone in a different buffer formulation. Immunohistochemical analysis of paraffin-embedded Human pancreas tissue labeling TRPV4 with ab307444 at 1/50 (9.64 ug/ml) followed by a ready to use Goat Anti-Rabbit IgG H&L (HRP polymer). Negative control : no staining on human pancreas. The section was incubated with ab307444 at 4ЎгC overnight. Counterstained with Hematoxylin. Secondary antibody only control : Secondary antibody is a ready to use Goat Anti-Rabbit IgG H&L (HRP polymer). Heat mediated antigen retrieval was performed with Tris-EDTA buffer (pH 9.0, Epitope Retrieval Solution2) for 20 mins

Immunohistochemistry (Formalin/PFA-fixed paraffin-embedded sections) - Anti-TRPV4 antibody [EPR27068-39] - BSA and Azide free (AB307445)
  • IHC-P

Supplier Data

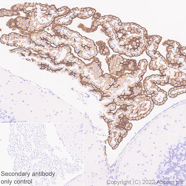
Immunohistochemistry (Formalin/PFA-fixed paraffin-embedded sections) - Anti-TRPV4 antibody [EPR27068-39] - BSA and Azide free (AB307445)

This data was developed using ab307444, the same antibody clone in a different buffer formulation. Immunohistochemical analysis of paraffin-embedded Human kidney tissue labeling TRPV4 with ab307444 at 1/50 (9.64 ug/ml) followed by a ready to use Goat Anti-Rabbit IgG H&L (HRP polymer). Positive staining on human kidney. The section was incubated with ab307444 at 4ЎгC overnight. Counterstained with Hematoxylin. Secondary antibody only control : Secondary antibody is a ready to use Goat Anti-Rabbit IgG H&L (HRP polymer). Heat mediated antigen retrieval was performed with Tris-EDTA buffer (pH 9.0, Epitope Retrieval Solution2) for 20 mins

Immunoprecipitation - Anti-TRPV4 antibody [EPR27068-39] - BSA and Azide free (AB307445)
  • IP

Supplier Data

Immunoprecipitation - Anti-TRPV4 antibody [EPR27068-39] - BSA and Azide free (AB307445)

TRPV4 was immunoprecipitated from 0.35 mg A375 (human malignant melanoma epithelial cell) whole cell lysate 10 ug with ab307444 at 1/30 dilution (2ug in 0.35mg lysates). Western blot was performed on the immunoprecipitate using ab307444 at 1/1000 dilution. VeriBlot for IP secondary antibody (HRP) (ab131366) was used at 1/5000 dilution.

Lane 1 : A375 (human malignant melanoma epithelial cell) whole cell lysate 10 ug
Lane 2 : ab307444 IP in A375 whole cell lysate
Lane 3 : Rabbit monoclonal IgG (ab172730) instead of ab307444 in A375 whole cell lysate

Blocking and dilution buffer and concentration : 5% NFDM/TBST.

Exposure time : 84 seconds

All lanes:

Immunoprecipitation - Anti-TRPV4 antibody [EPR27068-39] (<a href='/en-us/products/primary-antibodies/trpv4-antibody-epr27068-39-ab307444'>ab307444</a>) at 1/1000 dilution

Lane 1:

A375 (human malignant melanoma epithelial cell) whole cell lysate 10 μg

Lane 2:

A375 whole cell lysate

Secondary

All lanes:

Immunoprecipitation - VeriBlot for IP Detection Reagent (HRP) (<a href='/en-us/products/reagents/veriblot-for-ip-detection-reagent-hrp-ab131366'>ab131366</a>) at 1/5000 dilution

Observed band size: 100 kDa

false

Exposure time: 84s

Immunohistochemistry (Formalin/PFA-fixed paraffin-embedded sections) - Anti-TRPV4 antibody [EPR27068-39] - BSA and Azide free (AB307445)
  • IHC-P

Supplier Data

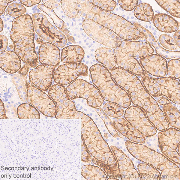
Immunohistochemistry (Formalin/PFA-fixed paraffin-embedded sections) - Anti-TRPV4 antibody [EPR27068-39] - BSA and Azide free (AB307445)

This data was developed using ab307444, the same antibody clone in a different buffer formulation. Immunohistochemical analysis of paraffin-embedded Mouse kidney tissue labeling TRPV4 with ab307444 at 1/1000 (0.482 ug/ml) followed by a ready to use LeicaDS9800 (Bond? Polymer Refine Detection) was used. Positive staining on mouse kidney. The section was incubated with ab307444 for 30 mins at room temperature.The immunostaining was performed on a Leica Biosystems BOND? RX instrument Counterstained with Hematoxylin. Secondary antibody only control : Secondary antibody is a ready to use LeicaDS9800 (Bond? Polymer Refine Detection) was used. Heat mediated antigen retrieval was performed with Tris-EDTA buffer (pH 9.0, Epitope Retrieval Solution2) for 20 mins

Immunohistochemistry (Formalin/PFA-fixed paraffin-embedded sections) - Anti-TRPV4 antibody [EPR27068-39] - BSA and Azide free (AB307445)
  • IHC-P

Supplier Data

Immunohistochemistry (Formalin/PFA-fixed paraffin-embedded sections) - Anti-TRPV4 antibody [EPR27068-39] - BSA and Azide free (AB307445)

This data was developed using ab307444, the same antibody clone in a different buffer formulation. Immunohistochemical analysis of paraffin-embedded Mouse cerebrum tissue labeling TRPV4 with ab307444 at 1/1000 (0.482 ug/ml) followed by a ready to use LeicaDS9800 (Bond? Polymer Refine Detection) was used. Positive staining on choroid plexus of mouse cerebrum. The section was incubated with ab307444 for 30 mins at room temperature.The immunostaining was performed on a Leica Biosystems BOND? RX instrument Counterstained with Hematoxylin. Secondary antibody only control : Secondary antibody is a ready to use LeicaDS9800 (Bond? Polymer Refine Detection) was used. Heat mediated antigen retrieval was performed with Tris-EDTA buffer (pH 9.0, Epitope Retrieval Solution2) for 20 mins

Immunohistochemistry (Frozen sections) - Anti-TRPV4 antibody [EPR27068-39] - BSA and Azide free (AB307445)
  • IHC-Fr

Supplier Data

Immunohistochemistry (Frozen sections) - Anti-TRPV4 antibody [EPR27068-39] - BSA and Azide free (AB307445)

This data was developed using ab307444, the same antibody clone in a different buffer formulation. Immunohistochemical analysis of 4% PFA-fixed, 0.2% Triton X-100 permeABilized frozen Mouse pancreas (fresh) tissue lABeling TRPV4 with ab307444 at 1/100 (4.82 ug/ml) dilution followed by ab150081 Goat Anti-RABbit IgG H&L (Alexa Fluor? 488) preadsorbed at 1/1000 2 ug/mL dilution (Green). Low expression : confocal image showing no staining on mouse pancreas. The nuclear counterstain was DAPI (Blue). The section was incubated with ab307444 for 60 mins at room temperature. The section was then mounted using Fluoromount?.The immunostaining was performed on a Leica Biosystems BOND? RX instrument. Image was taken with a confocal microscope (Leica-Microsystems, TCS SP8). is observed. The nuclear counterstain was DAPI (Blue). Secondary antibody control : Secondary antibody is ab150081 Goat Anti-RABbit IgG H&L (Alexa Fluor? 488) preadsorbedat 1/1000 2 ug/mL dilution.

Immunohistochemistry (Frozen sections) - Anti-TRPV4 antibody [EPR27068-39] - BSA and Azide free (AB307445)
  • IHC-Fr

Supplier Data

Immunohistochemistry (Frozen sections) - Anti-TRPV4 antibody [EPR27068-39] - BSA and Azide free (AB307445)

This data was developed using ab307444, the same antibody clone in a different buffer formulation. Immunohistochemical analysis of 4% PFA-fixed, 0.2% Triton X-100 permeABilized frozen Mouse kidney (fresh) tissue lABeling TRPV4 with ab307444 at 1/100 (4.82 ug/ml) dilution followed by ab150081 Goat Anti-RABbit IgG H&L (Alexa Fluor? 488) preadsorbed at 1/1000 2 ug/mL dilution (Green). Panel A : merged staining of anti-TRPV4 (ab307444, green) and anti-Nestin (ab306599, red) on mouse kidney.Panel B : anti-TRPV4 stained in the renal tubular system.Panel C : anti-Nestin stained in the glomeruli of kidney.The section was incubated in two rounds of staining : in the order of ab307444 and ab306599 for 1 hr at room temperature. The section was then mounted using Fluoromount?.The immunostaining was performed on a Leica Biosystems BOND? RX instrument. Image was taken with a confocal microscope (Leica-Microsystems, TCS SP8). is observed. The nuclear counterstain was DAPI (Blue). Secondary antibody control : Secondary antibody is ab150081 Goat Anti-RABbit IgG H&L (Alexa Fluor? 488) preadsorbedat 1/1000 2 ug/mL dilution.

Western blot - Anti-TRPV4 antibody [EPR27068-39] - BSA and Azide free (AB307445)
  • WB

Supplier Data

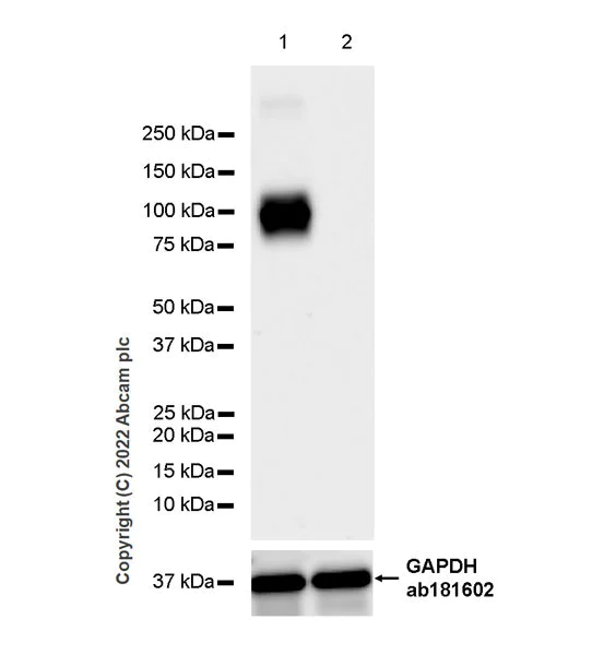
Western blot - Anti-TRPV4 antibody [EPR27068-39] - BSA and Azide free (AB307445)

This data was developed using 307444, the same antibody clone in a different buffer formulation. Blocking and diluting buffer and concentration : Negative control : 293T (PMID : 29433476) Positive control : A375 (PMID : 30881453) 70 seconds Exposure time :

All lanes:

Western blot - Anti-TRPV4 antibody [EPR27068-39] (<a href='/en-us/products/primary-antibodies/trpv4-antibody-epr27068-39-ab307444'>ab307444</a>) at 1/1000 dilution

Lane 1:

A375 (human malignant melanoma epithelial cell) whole cell lysate 20 μg

Lane 2:

293T (human embryonic kidney epithelial cell) whole cell lysate 20 μg

Secondary

All lanes:

Western blot - Goat Anti-Rabbit IgG H&L (HRP) (<a href='/en-us/products/secondary-antibodies/goat-rabbit-igg-h-l-hrp-ab97051'>ab97051</a>) at 1/100000 dilution

Observed band size: 100 kDa

false

Exposure time: 70s

Western blot - Anti-TRPV4 antibody [EPR27068-39] - BSA and Azide free (AB307445)
  • WB

Supplier Data

Western blot - Anti-TRPV4 antibody [EPR27068-39] - BSA and Azide free (AB307445)

This data was developed using 307444, the same antibody clone in a different buffer formulation.

Blocking and diluting buffer and concentration : 5% NFDM/TBST.

Negative control : pancreas (PMID : 14517216)

The MW is consistent to what has been described in the literature (PMID : 30881453)

Samples are non-boiled as boiling may cause protein aggregation.

This blot was developed using a high sensitivity ECL substrate. The high-sensitivity ECL substrate used allows for the detection of proteins in the mid-femtogram range.

All lanes:

Western blot - Anti-TRPV4 antibody [EPR27068-39] (<a href='/en-us/products/primary-antibodies/trpv4-antibody-epr27068-39-ab307444'>ab307444</a>) at 1/1000 dilution

Lane 1:

Human kidney tissue lysate at 20 µg

Lane 2:

Human pancreas tissue lysate at 20 µg

Lane 3:

Mouse kidney tissue lysate at 20 µg

Lane 4:

Mouse pancreas tissue lysate at 20 µg

Secondary

All lanes:

Western blot - Goat Anti-Rabbit IgG H&L (HRP) (<a href='/en-us/products/secondary-antibodies/goat-rabbit-igg-h-l-hrp-ab97051'>ab97051</a>) at 1/100000 dilution

Observed band size: 100 kDa

true

Exposure time: 180s

Key facts

Host species

Rabbit

Clonality

Monoclonal

Clone number

EPR27068-39

Isotype

IgG

Carrier free

Yes

Reacts with

Human, Mouse

Applications

IP, IHC-Fr, IHC-P, WB

applications

Immunogen

The exact immunogen used to generate this antibody is proprietary information.

Reactivity data

{ "title": "Reactivity Data", "filters": { "stats": ["", "Species", "Dilution Info", "Notes"], "tabs": { "all-applications": {"fullname" : "All Applications", "shortname": "All Applications"}, "IP" : {"fullname" : "Immunoprecipitation", "shortname":"IP"}, "FlowCytIntra" : {"fullname" : "Flow Cytometry (Intracellular)", "shortname":"Flow Cyt (Intra)"}, "ICCIF" : {"fullname" : "Immunocytochemistry/ Immunofluorescence", "shortname":"ICC/IF"}, "IHCFr" : {"fullname" : "Immunohistochemistry (Frozen sections)", "shortname":"IHC-Fr"}, "IHCP" : {"fullname" : "Immunohistochemistry (Formalin/PFA-fixed paraffin-embedded sections)", "shortname":"IHC-P"}, "WB" : {"fullname" : "Western blot", "shortname":"WB"} }, "product-promise": { "all": "all", "testedAndGuaranteed": "tested", "guaranteed": "expected", "predicted": "predicted", "notRecommended": "not-recommended" } }, "values": { "Human": { "IP-species-checked": "testedAndGuaranteed", "IP-species-dilution-info": "", "IP-species-notes": "<p></p>", "FlowCytIntra-species-checked": "notRecommended", "FlowCytIntra-species-dilution-info": "", "FlowCytIntra-species-notes": "<p></p>", "ICCIF-species-checked": "notRecommended", "ICCIF-species-dilution-info": "", "ICCIF-species-notes": "<p></p>", "IHCFr-species-checked": "guaranteed", "IHCFr-species-dilution-info": "", "IHCFr-species-notes": "<p></p>", "IHCP-species-checked": "testedAndGuaranteed", "IHCP-species-dilution-info": "", "IHCP-species-notes": "<p></p>", "WB-species-checked": "testedAndGuaranteed", "WB-species-dilution-info": "", "WB-species-notes": "<p></p>" }, "Mouse": { "IP-species-checked": "notRecommended", "IP-species-dilution-info": "", "IP-species-notes": "<p></p>", "FlowCytIntra-species-checked": "notRecommended", "FlowCytIntra-species-dilution-info": "", "FlowCytIntra-species-notes": "<p></p>", "ICCIF-species-checked": "notRecommended", "ICCIF-species-dilution-info": "", "ICCIF-species-notes": "", "IHCFr-species-checked": "testedAndGuaranteed", "IHCFr-species-dilution-info": "", "IHCFr-species-notes": "<p></p>", "IHCP-species-checked": "testedAndGuaranteed", "IHCP-species-dilution-info": "", "IHCP-species-notes": "<p></p>", "WB-species-checked": "testedAndGuaranteed", "WB-species-dilution-info": "", "WB-species-notes": "<p></p>" }, "Rat": { "IP-species-checked": "notRecommended", "IP-species-dilution-info": "", "IP-species-notes": "<p></p>", "FlowCytIntra-species-checked": "notRecommended", "FlowCytIntra-species-dilution-info": "", "FlowCytIntra-species-notes": "", "ICCIF-species-checked": "notRecommended", "ICCIF-species-dilution-info": "", "ICCIF-species-notes": "", "IHCFr-species-checked": "notRecommended", "IHCFr-species-dilution-info": "", "IHCFr-species-notes": "<p></p>", "IHCP-species-checked": "notRecommended", "IHCP-species-dilution-info": "", "IHCP-species-notes": "<p></p>", "WB-species-checked": "notRecommended", "WB-species-dilution-info": "", "WB-species-notes": "<p></p>" } } }

Product details

Patented technology
Our RabMAb® technology is a patented hybridoma-based technology for making rabbit monoclonal antibodies. For details on our patents, please refer to RabMAb® patents.

What are the advantages of a recombinant monoclonal antibody?
This product is a recombinant monoclonal antibody, which offers several advantages including:

  • - High batch-to-batch consistency and reproducibility
  • - Improved sensitivity and specificity
  • - Long-term security of supply
  • - Animal-free batch production

For more information, read more on recombinant antibodies.

Conjugation ready
Our carrier-free antibodies are typically supplied in a PBS-only formulation, purified and free of BSA, sodium azide and glycerol. This conjugation-ready format is designed for use with fluorochromes, metal isotopes, oligonucleotides, and enzymes, which makes them ideal for antibody labelling, functional and cell-based assays, flow-based assays (e.g. mass cytometry) and Multiplex Imaging applications.

Use our conjugation kits for antibody conjugates that are ready-to-use in as little as 20 minutes with 1 minute hands-on-time and 100% antibody recovery: available for fluorescent dyes, HRP, biotin and gold.

Compatibility
This product is compatible with the Maxpar® Antibody Labeling Kit from Fluidigm, without the need for antibody preparation. Maxpar® is a trademark of Fluidigm Canada Inc.

Properties and storage information

Form
Liquid
Purification technique
Affinity purification Protein A
Storage buffer
pH: 7.2 - 7.4 Constituents: PBS
Shipped at conditions
Blue Ice
Appropriate short-term storage conditions
+4°C
Appropriate long-term storage conditions
+4°C

Supplementary information

This supplementary information is collated from multiple sources and compiled automatically.

TRPV4 also known as transient receptor potential vanilloid 4 is an ion channel protein that plays a mechanical role in the human body. This protein with a mass of approximately 98 kDa is sensitive to osmotic pressure mechanical forces and temperature changes. It acts as a calcium-permeable non-selective cation channel. TRPV4 is widely expressed in various tissues including the choroid plexus as well as in the epithelial cells endothelium and certain neurons. The expression pattern suggests its involvement in various physiological processes.
Biological function summary

TRPV4 serves functions essential for osmoregulation mechanosensation and thermosensation. It often forms a complex with other proteins to modulate calcium influx which influences cellular responses. TRPV4 impacts various biological processes such as maintaining cell volume and adapting to temperature changes. Its role in regulating fluid movement across barriers like those in the choroid plexus demonstrates its involvement in maintaining homeostasis. These interactions highlight the protein's widespread influence on various cellular functions.

Pathways

TRPV4 integrates into critical signal transduction pathways that include the mechanotransduction and osmoregulation pathways. It is closely related to other TRP family members such as TRPV1 and TRPC1 within these pathways. The mechanotransduction pathway allows it to convey mechanical stimuli into electrochemical activity impacting various systems throughout the body. The osmoregulation pathway highlights its ability to sense and respond to osmotic shifts maintaining cellular and systemic equilibrium.

TRPV4 has significant links to a range of pathologies such as skeletal dysplasias and neuropathies. Mutations in TRPV4 can lead to altered channel function contributing to conditions like Charcot-Marie-Tooth disease and congenital distal spinal muscular atrophy. These associations often involve the misregulation of calcium homeostasis where TRPV4's interaction with proteins like TRPV1 leads to a disruption of normal cellular processes highlighting the importance of maintaining TRPV4's proper function to prevent those diseases.

Product protocols

For this product, it's our understanding that no specific protocols are required. You can visit:

Target data

Non-selective calcium permeant cation channel involved in osmotic sensitivity and mechanosensitivity (PubMed : 16293632, PubMed : 18695040, PubMed : 18826956, PubMed : 22526352, PubMed : 23136043, PubMed : 29899501). Activation by exposure to hypotonicity within the physiological range exhibits an outward rectification (PubMed : 18695040, PubMed : 18826956, PubMed : 29899501). Also activated by heat, low pH, citrate and phorbol esters (PubMed : 16293632, PubMed : 18695040, PubMed : 18826956, PubMed : 20037586, PubMed : 21964574, PubMed : 25256292). Increase of intracellular Ca(2+) potentiates currents. Channel activity seems to be regulated by a calmodulin-dependent mechanism with a negative feedback mechanism (PubMed : 12724311, PubMed : 18826956). Promotes cell-cell junction formation in skin keratinocytes and plays an important role in the formation and/or maintenance of functional intercellular barriers (By similarity). Acts as a regulator of intracellular Ca(2+) in synoviocytes (PubMed : 19759329). Plays an obligatory role as a molecular component in the nonselective cation channel activation induced by 4-alpha-phorbol 12,13-didecanoate and hypotonic stimulation in synoviocytes and also regulates production of IL-8 (PubMed : 19759329). Together with PKD2, forms mechano- and thermosensitive channels in cilium (PubMed : 18695040). Negatively regulates expression of PPARGC1A, UCP1, oxidative metabolism and respiration in adipocytes (By similarity). Regulates expression of chemokines and cytokines related to pro-inflammatory pathway in adipocytes (By similarity). Together with AQP5, controls regulatory volume decrease in salivary epithelial cells (By similarity). Required for normal development and maintenance of bone and cartilage (PubMed : 26249260). In its inactive state, may sequester DDX3X at the plasma membrane. When activated, the interaction between both proteins is affected and DDX3X relocalizes to the nucleus (PubMed : 29899501). In neurons of the central nervous system, could play a role in triggering voluntary water intake in response to increased sodium concentration in body fluid (By similarity).. Isoform 1. Non-selective calcium permeant cation channel involved in osmotic sensitivity and mechanosensitivity. Activation by exposure to hypotonicity within the physiological range exhibits an outward rectification. Also activated by phorbol esters. Has the same channel activity as isoform 1, and is activated by the same stimuli.. Isoform 5. Non-selective calcium permeant cation channel involved in osmotic sensitivity and mechanosensitivity. Activation by exposure to hypotonicity within the physiological range exhibits an outward rectification. Also activated by phorbol esters. Has the same channel activity as isoform 1, and is activated by the same stimuli.. Isoform 2. Lacks channel activity, due to impaired oligomerization and intracellular retention.. Isoform 4. Lacks channel activity, due to impaired oligomerization and intracellular retention.. Isoform 6. Lacks channel activity, due to impaired oligomerization and intracellular retention.. (Microbial infection) Facilitates hepatitis C virus (HCV) replication, possibly through its action on DDX3X.. (Microbial infection) Facilitates Dengue virus (DENV) replication, possibly through its action on DDX3X.. (Microbial infection) Facilitates Zika virus (ZIKV) replication, possibly through its action on DDX3X.
See full target information TRPV4

Product promise

We are committed to supporting your work with high-quality reagents, and we're here for you every step of the way. In the unlikely event that one of our products does not perform as expected, you're protected by our Product Promise.
For full details, please see our Terms & Conditions

Please note: All products are 'FOR RESEARCH USE ONLY. NOT FOR USE IN DIAGNOSTIC OR THERAPEUTIC PROCEDURES'.

For licensing inquiries, please contact partnerships@abcam.com