JavaScript is disabled in your browser. Please enable JavaScript to view this website.
AB137028

Anti-TRPV5 antibody [EPR8875]

Be the first to review this product! Submit a review

|

(5 Publications)

Rabbit Recombinant Monoclonal TRPV5 antibody. Suitable for IHC-P, WB and reacts with Human, Rat, Mouse samples. Cited in 5 publications.

View Alternative Names

ECAC1, TRPV5, Transient receptor potential cation channel subfamily V member 5, TrpV5, Calcium transport protein 2, Epithelial calcium channel 1, Osm-9-like TRP channel 3, CaT2, ECaC, ECaC1, OTRPC3

6 Images
Western blot - Anti-TRPV5 antibody [EPR8875] (AB137028)
  • WB

Unknown

Western blot - Anti-TRPV5 antibody [EPR8875] (AB137028)

All lanes:

Western blot - Anti-TRPV5 antibody [EPR8875] (ab137028) at 1/10000 dilution

Lane 1:

Fetal kidney lysate at 10 µg

Lane 2:

Human small intestine lysate at 10 µg

Lane 3:

293T cell lysate at 10 µg

Lane 4:

HepG2 cell lysate at 10 µg

Lane 5:

Saos-2 cell lysate at 10 µg

Secondary

All lanes:

HRP labelled goat anti-rabbit at 1/2000 dilution

Predicted band size: 83 kDa

false

Immunohistochemistry (Formalin/PFA-fixed paraffin-embedded sections) - Anti-TRPV5 antibody [EPR8875] (AB137028)
  • IHC-P

Unknown

Immunohistochemistry (Formalin/PFA-fixed paraffin-embedded sections) - Anti-TRPV5 antibody [EPR8875] (AB137028)

Immunohistochemical analysis of paraffin-embedded Human breast tissue labelling TRPV5 with unpurified ab137028 at 1/100 dilution.

Perform heat mediated antigen retrieval with citrate buffer pH 6 before commencing with IHC staining protocol.

Immunohistochemistry (Formalin/PFA-fixed paraffin-embedded sections) - Anti-TRPV5 antibody [EPR8875] (AB137028)
  • IHC-P

Unknown

Immunohistochemistry (Formalin/PFA-fixed paraffin-embedded sections) - Anti-TRPV5 antibody [EPR8875] (AB137028)

Immunohistochemistry (Formalin/PFA-fixed paraffin-embedded sections) analysis of human kidney tissue sections labeling TRPV5 with purified ab137028 at 1 : 300 dilution (0.95 µg/ml). Heat mediated antigen retrieval was performed using Bond ™ Epitope Retrieval Solution 1 (pH 6.0). Rabbit specific IHC polymer detection kit HRP/DAB (ab209101) was used as the secondary antibody. Negative control : PBS instead of the primary antibody. Hematoxylin was used as a counterstain.

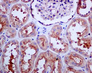
Immunohistochemistry (Formalin/PFA-fixed paraffin-embedded sections) - Anti-TRPV5 antibody [EPR8875] (AB137028)
  • IHC-P

Unknown

Immunohistochemistry (Formalin/PFA-fixed paraffin-embedded sections) - Anti-TRPV5 antibody [EPR8875] (AB137028)

Immunohistochemical analysis of paraffin-embedded Human kidney tissue labelling TRPV5 with unpurified ab137028 at 1/100 dilution.

Perform heat mediated antigen retrieval with citrate buffer pH 6 before commencing with IHC staining protocol.

Western blot - Anti-TRPV5 antibody [EPR8875] (AB137028)
  • WB

Lab

Western blot - Anti-TRPV5 antibody [EPR8875] (AB137028)

All lanes:

Western blot - Anti-TRPV5 antibody [EPR8875] (ab137028) at 1/10000 dilution

Lane 1:

Human fetal kidney lysates at 20 µg

Lane 2:

HepG2 (Human hepatocellular carcinoma epithelial cell) whole cell lysates at 20 µg

Lane 3:

Mouse heart lysates at 20 µg

Lane 4:

Rat heart lysates at 20 µg

Secondary

All lanes:

Goat Anti-Rabbit IgG (HRP) with minimal cross-reactivity with human IgG at 1/2000 dilution

Predicted band size: 83 kDa

Observed band size: 90 kDa

false

OI-RD Scanning - Anti-TRPV5 antibody [EPR8875] (AB137028)
  • OI-RD Scanning

Unknown

OI-RD Scanning - Anti-TRPV5 antibody [EPR8875] (AB137028)

We have systematically measured KD (the equilibrium dissociation constant between the antibody and its antigen), of more than 840 recombinant antibodies to assess not only their individual KD values but also to see the average affinity of antibody. Based on the comparison with published literature values for mouse monoclonal antibodies, Recombinant antibodies appear to be on average 1-2 order of magnitude higher affinity.

  • Carrier free

    Anti-TRPV5 antibody [EPR8875] - BSA and Azide free

Key facts

Host species

Rabbit

Clonality

Monoclonal

Clone number

EPR8875

Isotype

IgG

Carrier free

No

Reacts with

Mouse, Rat, Human

Applications

WB, IHC-P

applications

Immunogen

The exact immunogen used to generate this antibody is proprietary information.

Specificity

The mouse and rat recommendation is based on the WB results. We do not guarantee IHC-P for mouse and rat.

Reactivity data

{ "title": "Reactivity Data", "filters": { "stats": ["", "Species", "Dilution Info", "Notes"], "tabs": { "all-applications": {"fullname" : "All Applications", "shortname": "All Applications"}, "IHCP" : {"fullname" : "Immunohistochemistry (Formalin/PFA-fixed paraffin-embedded sections)", "shortname":"IHC-P"}, "WB" : {"fullname" : "Western blot", "shortname":"WB"}, "ICCIF" : {"fullname" : "Immunocytochemistry/ Immunofluorescence", "shortname":"ICC/IF"} }, "product-promise": { "all": "all", "testedAndGuaranteed": "tested", "guaranteed": "expected", "predicted": "predicted", "notRecommended": "not-recommended" } }, "values": { "Human": { "IHCP-species-checked": "testedAndGuaranteed", "IHCP-species-dilution-info": "1/100 - 1/300", "IHCP-species-notes": "<p>The mouse and rat recommendation is based on the WB results. We do not guarantee IHC-P for mouse and rat.</p> Perform heat-mediated antigen retrieval with citrate buffer pH 6 before commencing with IHC staining protocol.", "WB-species-checked": "testedAndGuaranteed", "WB-species-dilution-info": "1/10000 - 1/50000", "WB-species-notes": "<p></p>", "ICCIF-species-checked": "notRecommended", "ICCIF-species-dilution-info": "", "ICCIF-species-notes": "<p></p>" }, "Mouse": { "IHCP-species-checked": "guaranteed", "IHCP-species-dilution-info": "", "IHCP-species-notes": "", "WB-species-checked": "testedAndGuaranteed", "WB-species-dilution-info": "1/10000 - 1/50000", "WB-species-notes": "<p></p>", "ICCIF-species-checked": "notRecommended", "ICCIF-species-dilution-info": "", "ICCIF-species-notes": "<p></p>" }, "Rat": { "IHCP-species-checked": "guaranteed", "IHCP-species-dilution-info": "", "IHCP-species-notes": "", "WB-species-checked": "testedAndGuaranteed", "WB-species-dilution-info": "1/10000 - 1/50000", "WB-species-notes": "<p></p>", "ICCIF-species-checked": "notRecommended", "ICCIF-species-dilution-info": "", "ICCIF-species-notes": "<p></p>" } } }

Product details

Patented technology
Our RabMAb® technology is a patented hybridoma-based technology for making rabbit monoclonal antibodies. For details on our patents, please refer to RabMAb® patents.

What are the advantages of a recombinant monoclonal antibody?
This product is a recombinant monoclonal antibody, which offers several advantages including:

  • - High batch-to-batch consistency and reproducibility
  • - Improved sensitivity and specificity
  • - Long-term security of supply
  • - Animal-free batch production

For more information, read more on recombinant antibodies.

Properties and storage information

Form
Liquid
Purification technique
Affinity purification Protein A
Storage buffer
pH: 7.2 - 7.4 Preservative: 0.01% Sodium azide Constituents: 59% PBS, 40% Glycerol (glycerin, glycerine), 0.05% BSA
Shipped at conditions
Blue Ice
Appropriate short-term storage conditions
+4°C
Appropriate long-term storage conditions
-20°C

Supplementary information

This supplementary information is collated from multiple sources and compiled automatically.

TRPV5 also known as ECaC1 is a member of the transient receptor potential (TRP) channel family. This protein functions mechanically as a calcium-selective ion channel playing a role in calcium reabsorption in the kidneys. TRPV5 has a molecular mass of approximately 98 kDa. It is expressed mainly in the epithelial cells of the distal convoluted tubules and connecting tubules of the kidney where it facilitates the passage of calcium ions across cell membranes.
Biological function summary

TRPV5 operates as a critical component in the regulation of calcium homeostasis. It exists as a monomer but often forms functional complexes with other calcium-transporting proteins to fulfill its role. TRPV5 modulates the amount of calcium that is reabsorbed from urine back into the bloodstream a process essential for maintaining proper levels of calcium in the body and supporting various physiological functions including muscle contraction and nerve conduction.

Pathways

TRPV5 plays a significant role in the renal calcium reabsorption pathway. By facilitating the entry of calcium ions into kidney epithelial cells TRPV5 works in conjunction with calbindin-D28K a calcium-binding protein which buffers intracellular calcium levels. Another important pathway involving TRPV5 is vitamin D-mediated regulation of calcium balance where vitamin D enhances the expression of TRPV5 in response to calcium requirements in the body.

Decreased function or expression of TRPV5 can be linked to disorders such as hypercalciuria characterized by excessive urinary calcium excretion and nephrolithiasis commonly known as kidney stones. Mutations or dysregulation in TRPV5 may interact with TRPV6 another TRP channel member which also influences calcium transport in epithelial tissues. Studying TRPV5's involvement in these conditions may provide insights into novel therapeutic strategies for managing calcium-related disorders.

Product protocols

For this product, it's our understanding that no specific protocols are required. You can visit:

Target data

Constitutively active calcium selective cation channel thought to be involved in Ca(2+) reabsorption in kidney and intestine (PubMed : 11549322, PubMed : 18768590). Required for normal Ca(2+) reabsorption in the kidney distal convoluted tubules (By similarity). The channel is activated by low internal calcium level and the current exhibits an inward rectification (PubMed : 11549322, PubMed : 18768590). A Ca(2+)-dependent feedback regulation includes fast channel inactivation and slow current decay (By similarity). Heteromeric assembly with TRPV6 seems to modify channel properties. TRPV5-TRPV6 heteromultimeric concatemers exhibit voltage-dependent gating (By similarity).
See full target information TRPV5

Publications (5)

Recent publications for all applications. Explore the full list and refine your search

Cells 11: PubMed35456008

2022

Calreticulin Shortage Results in Disturbance of Calcium Storage, Mitochondrial Disease, and Kidney Injury.

Applications

Unspecified application

Species

Unspecified reactive species

Asima Tayyeb,Gry H Dihazi,Björn Tampe,Michael Zeisberg,Desiree Tampe,Samy Hakroush,Charlotte Bührig,Jenny Frese,Nazli Serin,Marwa Eltoweissy,Gerhard A Müller,Hassan Dihazi

Disease markers 2022:2602717 PubMed35251369

2022

miR-103a-3p Silencing Ameliorates Calcium Oxalate Deposition in Rat Kidney by Activating the UMOD/TRPV5 Axis.

Applications

Unspecified application

Species

Unspecified reactive species

Zenglin Cui,Yuwei Li,Gaorui Liu,Yanmeng Jiang

Neuron 105:506-521.e7 PubMed31813652

2019

Usp9X Controls Ankyrin-Repeat Domain Protein Homeostasis during Dendritic Spine Development.

Applications

Unspecified application

Species

Unspecified reactive species

Sehyoun Yoon,Euan Parnell,Maria Kasherman,Marc P Forrest,Kristoffer Myczek,Susitha Premarathne,Michelle C Sanchez Vega,Michael Piper,Thomas H J Burne,Lachlan A Jolly,Stephen A Wood,Peter Penzes

Kidney international 90:348-362 PubMed27292223

2016

In vivo evidence for a limited role of proximal tubular Klotho in renal phosphate handling.

Applications

Unspecified application

Species

Unspecified reactive species

Noriko Ide,Hannes Olauson,Tadatoshi Sato,Michael Joseph Densmore,Hao Wang,Jun-Ichi Hanai,Tobias E Larsson,Beate Lanske

Life sciences 114:70-6 PubMed25139832

2014

Induction of TRPV5 expression by small activating RNA targeting gene promoter as a novel approach to regulate cellular calcium transportation.

Applications

Unspecified application

Species

Unspecified reactive species

Bicheng Yang,Xiaolu Duan,Wenzheng Wu,Weidong Ji,Wenqi Wu,Wen Zhong,Zhijian Zhao,Shujue Li,Yang Liu,Guohua Zeng
View all publications

Product promise

We are committed to supporting your work with high-quality reagents, and we're here for you every step of the way. In the unlikely event that one of our products does not perform as expected, you're protected by our Product Promise.
For full details, please see our Terms & Conditions

Please note: All products are 'FOR RESEARCH USE ONLY. NOT FOR USE IN DIAGNOSTIC OR THERAPEUTIC PROCEDURES'.

For licensing inquiries, please contact partnerships@abcam.com