JavaScript is disabled in your browser. Please enable JavaScript to view this website.
AB248776

Anti-TRPV5 antibody [EPR8875] - BSA and Azide free

Be the first to review this product! Submit a review

|

(0 Publication)

Rabbit Recombinant Monoclonal TRPV5 antibody. Carrier free. Suitable for IHC-P, WB and reacts with Human, Mouse, Rat samples.

View Alternative Names

ECAC1, TRPV5, Transient receptor potential cation channel subfamily V member 5, TrpV5, Calcium transport protein 2, Epithelial calcium channel 1, Osm-9-like TRP channel 3, CaT2, ECaC, ECaC1, OTRPC3

1 Images
Immunohistochemistry (Formalin/PFA-fixed paraffin-embedded sections) - Anti-TRPV5 antibody [EPR8875] - BSA and Azide free (AB248776)
  • IHC-P

Unknown

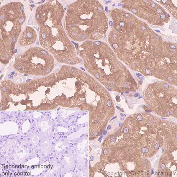
Immunohistochemistry (Formalin/PFA-fixed paraffin-embedded sections) - Anti-TRPV5 antibody [EPR8875] - BSA and Azide free (AB248776)

Immunohistochemistry (Formalin/PFA-fixed paraffin-embedded sections) analysis of human kidney tissue sections labeling TRPV5 with purified ab137028 at 1 : 300 dilution (0.95 µg/ml). Heat mediated antigen retrieval was performed using Bond ™ Epitope Retrieval Solution 1 (pH 6.0). Rabbit specific IHC polymer detection kit HRP/DAB (ab209101) was used as the secondary antibody. Negative control : PBS instead of the primary antibody. Hematoxylin was used as a counterstain.
This data was developed using the same antibody clone in a different buffer formulation containing PBS, BSA, glycerol, and sodium azide (ab137028)

Key facts

Host species

Rabbit

Clonality

Monoclonal

Clone number

EPR8875

Isotype

IgG

Carrier free

Yes

Reacts with

Mouse, Rat, Human

Applications

WB, IHC-P

applications

Immunogen

The exact immunogen used to generate this antibody is proprietary information.

Specificity

The mouse and rat recommendation is based on the WB results. We do not guarantee IHC-P for mouse and rat.

Reactivity data

{ "title": "Reactivity Data", "filters": { "stats": ["", "Species", "Dilution Info", "Notes"], "tabs": { "all-applications": {"fullname" : "All Applications", "shortname": "All Applications"}, "IHCP" : {"fullname" : "Immunohistochemistry (Formalin/PFA-fixed paraffin-embedded sections)", "shortname":"IHC-P"}, "WB" : {"fullname" : "Western blot", "shortname":"WB"}, "ICCIF" : {"fullname" : "Immunocytochemistry/ Immunofluorescence", "shortname":"ICC/IF"} }, "product-promise": { "all": "all", "testedAndGuaranteed": "tested", "guaranteed": "expected", "predicted": "predicted", "notRecommended": "not-recommended" } }, "values": { "Human": { "IHCP-species-checked": "testedAndGuaranteed", "IHCP-species-dilution-info": "", "IHCP-species-notes": "<p>The mouse and rat recommendation is based on the WB results. We do not guarantee IHC-P for mouse and rat.</p> Perform heat-mediated antigen retrieval with citrate buffer pH 6 before commencing with IHC staining protocol.", "WB-species-checked": "guaranteed", "WB-species-dilution-info": "", "WB-species-notes": "<p></p>", "ICCIF-species-checked": "notRecommended", "ICCIF-species-dilution-info": "", "ICCIF-species-notes": "<p></p>" }, "Mouse": { "IHCP-species-checked": "predicted", "IHCP-species-dilution-info": "", "IHCP-species-notes": "", "WB-species-checked": "guaranteed", "WB-species-dilution-info": "", "WB-species-notes": "<p></p>", "ICCIF-species-checked": "notRecommended", "ICCIF-species-dilution-info": "", "ICCIF-species-notes": "<p></p>" }, "Rat": { "IHCP-species-checked": "predicted", "IHCP-species-dilution-info": "", "IHCP-species-notes": "", "WB-species-checked": "guaranteed", "WB-species-dilution-info": "", "WB-species-notes": "<p></p>", "ICCIF-species-checked": "notRecommended", "ICCIF-species-dilution-info": "", "ICCIF-species-notes": "<p></p>" } } }

Product details

ab248776 is the carrier-free version of ab137028.

Patented technology
Our RabMAb® technology is a patented hybridoma-based technology for making rabbit monoclonal antibodies. For details on our patents, please refer to RabMAb® patents.

What are the advantages of a recombinant monoclonal antibody?
This product is a recombinant monoclonal antibody, which offers several advantages including:

  • - High batch-to-batch consistency and reproducibility
  • - Improved sensitivity and specificity
  • - Long-term security of supply
  • - Animal-free batch production

For more information, read more on recombinant antibodies.

Conjugation ready
Our carrier-free antibodies are typically supplied in a PBS-only formulation, purified and free of BSA, sodium azide and glycerol. This conjugation-ready format is designed for use with fluorochromes, metal isotopes, oligonucleotides, and enzymes, which makes them ideal for antibody labelling, functional and cell-based assays, flow-based assays (e.g. mass cytometry) and Multiplex Imaging applications.

Use our conjugation kits for antibody conjugates that are ready-to-use in as little as 20 minutes with 1 minute hands-on-time and 100% antibody recovery: available for fluorescent dyes, HRP, biotin and gold.

Compatibility
This product is compatible with the Maxpar® Antibody Labeling Kit from Fluidigm, without the need for antibody preparation. Maxpar® is a trademark of Fluidigm Canada Inc.

Properties and storage information

Form
Liquid
Purification technique
Affinity purification Protein A
Storage buffer
pH: 7.2 - 7.4 Constituents: PBS
Shipped at conditions
Blue Ice
Appropriate short-term storage conditions
+4°C
Appropriate long-term storage conditions
+4°C
Storage information
Do Not Freeze

Supplementary information

This supplementary information is collated from multiple sources and compiled automatically.

TRPV5 also known as ECaC1 is a member of the transient receptor potential (TRP) channel family. This protein functions mechanically as a calcium-selective ion channel playing a role in calcium reabsorption in the kidneys. TRPV5 has a molecular mass of approximately 98 kDa. It is expressed mainly in the epithelial cells of the distal convoluted tubules and connecting tubules of the kidney where it facilitates the passage of calcium ions across cell membranes.
Biological function summary

TRPV5 operates as a critical component in the regulation of calcium homeostasis. It exists as a monomer but often forms functional complexes with other calcium-transporting proteins to fulfill its role. TRPV5 modulates the amount of calcium that is reabsorbed from urine back into the bloodstream a process essential for maintaining proper levels of calcium in the body and supporting various physiological functions including muscle contraction and nerve conduction.

Pathways

TRPV5 plays a significant role in the renal calcium reabsorption pathway. By facilitating the entry of calcium ions into kidney epithelial cells TRPV5 works in conjunction with calbindin-D28K a calcium-binding protein which buffers intracellular calcium levels. Another important pathway involving TRPV5 is vitamin D-mediated regulation of calcium balance where vitamin D enhances the expression of TRPV5 in response to calcium requirements in the body.

Decreased function or expression of TRPV5 can be linked to disorders such as hypercalciuria characterized by excessive urinary calcium excretion and nephrolithiasis commonly known as kidney stones. Mutations or dysregulation in TRPV5 may interact with TRPV6 another TRP channel member which also influences calcium transport in epithelial tissues. Studying TRPV5's involvement in these conditions may provide insights into novel therapeutic strategies for managing calcium-related disorders.

Product protocols

For this product, it's our understanding that no specific protocols are required. You can visit:

Target data

Constitutively active calcium selective cation channel thought to be involved in Ca(2+) reabsorption in kidney and intestine (PubMed : 11549322, PubMed : 18768590). Required for normal Ca(2+) reabsorption in the kidney distal convoluted tubules (By similarity). The channel is activated by low internal calcium level and the current exhibits an inward rectification (PubMed : 11549322, PubMed : 18768590). A Ca(2+)-dependent feedback regulation includes fast channel inactivation and slow current decay (By similarity). Heteromeric assembly with TRPV6 seems to modify channel properties. TRPV5-TRPV6 heteromultimeric concatemers exhibit voltage-dependent gating (By similarity).
See full target information TRPV5

Product promise

We are committed to supporting your work with high-quality reagents, and we're here for you every step of the way. In the unlikely event that one of our products does not perform as expected, you're protected by our Product Promise.
For full details, please see our Terms & Conditions

Please note: All products are 'FOR RESEARCH USE ONLY. NOT FOR USE IN DIAGNOSTIC OR THERAPEUTIC PROCEDURES'.

For licensing inquiries, please contact partnerships@abcam.com