JavaScript is disabled in your browser. Please enable JavaScript to view this website.
AB238107

Anti-TRPV6 antibody

Be the first to review this product! Submit a review

|

(2 Publications)

Rabbit Polyclonal TRPV6 antibody. Suitable for IHC-P and reacts with Human samples. Cited in 2 publications. Immunogen corresponding to Recombinant Fragment Protein within Human TRPV6 aa 600 to C-terminus.

View Alternative Names

ECAC2, TRPV6, Transient receptor potential cation channel subfamily V member 6, TrpV6, CaT-like, Calcium transport protein 1, Epithelial calcium channel 2, CaT-L, CaT1, ECaC2

1 Images
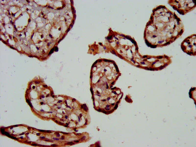
Immunohistochemistry (Formalin/PFA-fixed paraffin-embedded sections) - Anti-TRPV6 antibody (AB238107)
  • IHC-P

Supplier Data

Immunohistochemistry (Formalin/PFA-fixed paraffin-embedded sections) - Anti-TRPV6 antibody (AB238107)

Paraffin-embedded human placenta tissue stained for TRPV6 using ab238107 at 1/300 dilution in immunohistochemical analysis.

After dewaxing and hydration, antigen retrieval was mediated by high pressure in a citrate buffer (pH 6.0). Section was blocked with 10% normal goat serum for 30 minutes at room temperature. Then primary antibody (1% BSA) was incubated at 4°C overnight. The primary is detected by a biotinylated secondary antibody and visualized using an HRP conjugated SP system.

Key facts

Host species

Rabbit

Clonality

Polyclonal

Isotype

IgG

Carrier free

No

Reacts with

Human

Applications

IHC-P

applications

Immunogen

Recombinant Fragment Protein within Human TRPV6 aa 600 to C-terminus. The exact immunogen used to generate this antibody is proprietary information.

Q9H1D0

Reactivity data

{ "title": "Reactivity Data", "filters": { "stats": ["", "Species", "Dilution Info", "Notes"], "tabs": { "all-applications": {"fullname" : "All Applications", "shortname": "All Applications"}, "IHCP" : {"fullname" : "Immunohistochemistry (Formalin/PFA-fixed paraffin-embedded sections)", "shortname":"IHC-P"} }, "product-promise": { "all": "all", "testedAndGuaranteed": "tested", "guaranteed": "expected", "predicted": "predicted", "notRecommended": "not-recommended" } }, "values": { "Human": { "IHCP-species-checked": "testedAndGuaranteed", "IHCP-species-dilution-info": "1/200 - 1/500", "IHCP-species-notes": "<p></p>" } } }

Properties and storage information

Form
Liquid
Purification technique
Affinity purification Protein G
Purification notes
Purity greater than 95%.
Storage buffer
pH: 7.4 Preservative: 0.03% Proclin 300 Constituents: PBS, 50% Glycerol (glycerin, glycerine)
Shipped at conditions
Blue Ice
Appropriate short-term storage duration
1-2 weeks
Appropriate short-term storage conditions
+4°C
Appropriate long-term storage conditions
-20°C
Aliquoting information
Upon delivery aliquot
Storage information
Avoid freeze / thaw cycle

Supplementary information

This supplementary information is collated from multiple sources and compiled automatically.

TRPV6 also known as transient receptor potential cation channel subfamily V member 6 is a calcium-selective channel with a mass of approximately 89 kDa. This channel plays an important role in mediating calcium entry across epithelial tissues. TRPV6 is expressed largely in epithelial cells of organs like the intestine kidney and placenta. The channel's main function is to regulate calcium absorption by epithelial cells enabling fine control of intracellular calcium levels.
Biological function summary

TRPV6 allows the transport of calcium ions into the cells influencing cellular calcium balance. It can be considered a part of the epithelial calcium channel complex together with TRPV5. By facilitating calcium absorption in the intestine and reabsorption in the kidney TRPV6 contributes significantly to maintaining calcium homeostasis in the body. This regulation of calcium is essential for various cellular processes including muscle contraction and bone health.

Pathways

Calcium homeostasis and cellular signaling are major areas where TRPV6 has an impact. Key pathways involving this channel include the calcium signaling pathway and mineral absorption pathway. Through these pathways TRPV6 interacts with proteins like caltubin which modulates calcium transport and PMCA which is responsible for pumping calcium ions out of cells. These interactions illustrate how TRPV6 helps balance calcium levels contributing to critical physiological processes.

TRPV6 has been linked with conditions like hypercalciuria which involves excessive calcium excretion in urine and certain cancers owing to the dysregulation of calcium balance. Abnormal TRPV6 expression may contribute to calcium-related disorders by disrupting proper cellular functions. For example in some cancers upregulated TRPV6 might enhance cellular invasion by altering calcium-driven signals. This connection positions TRPV6 alongside other proteins like calmodulin which also interact with calcium ion dynamics and influence disease pathophysiology.

Product protocols

For this product, it's our understanding that no specific protocols are required. You can visit:

Target data

Calcium selective cation channel that mediates Ca(2+) uptake in various tissues, including the intestine (PubMed : 11097838, PubMed : 11248124, PubMed : 11278579, PubMed : 15184369, PubMed : 23612980, PubMed : 29258289). Important for normal Ca(2+) ion homeostasis in the body, including bone and skin (By similarity). The channel is activated by low internal calcium level, probably including intracellular calcium store depletion, and the current exhibits an inward rectification (PubMed : 15184369). Inactivation includes both a rapid Ca(2+)-dependent and a slower Ca(2+)-calmodulin-dependent mechanism; the latter may be regulated by phosphorylation. In vitro, is slowly inhibited by Mg(2+) in a voltage-independent manner. Heteromeric assembly with TRPV5 seems to modify channel properties. TRPV5-TRPV6 heteromultimeric concatemers exhibit voltage-dependent gating.
See full target information TRPV6

Publications (2)

Recent publications for all applications. Explore the full list and refine your search

Cardiovascular therapeutics 2024:7053116 PubMed39742020

2025

Overexpression of TRPV6 Inhibits Coronary Atherosclerosis-Related Inflammatory Response and Cell Apoptosis via the PKA/UCP2 Pathway.

Applications

Unspecified application

Species

Unspecified reactive species

Lei Zheng,Huiying Zhang,Xuewen Li

BMC cancer 24:1151 PubMed39289658

2024

Neuroblastoma with high ASPM reveals pronounced heterogeneity and poor prognosis.

Applications

Unspecified application

Species

Unspecified reactive species

Chao Li,Xueyuan Lu,Fengxian Zhang,Shuo Huang,Lin Ding,Hui Wang,Suyun Chen
View all publications

Product promise

We are committed to supporting your work with high-quality reagents, and we're here for you every step of the way. In the unlikely event that one of our products does not perform as expected, you're protected by our Product Promise.
For full details, please see our Terms & Conditions

Please note: All products are 'FOR RESEARCH USE ONLY. NOT FOR USE IN DIAGNOSTIC OR THERAPEUTIC PROCEDURES'.

For licensing inquiries, please contact partnerships@abcam.com