JavaScript is disabled in your browser. Please enable JavaScript to view this website.
AB250922

Anti-TRRAP antibody [EPR14952-81] - BSA and Azide free

Be the first to review this product! Submit a review

|

(1 Publication)

Rabbit Recombinant Monoclonal TRRAP antibody. Carrier free. Suitable for ICC/IF, WB and reacts with Human samples. Cited in 1 publication.

View Alternative Names

PAF400, TRRAP, Transformation/transcription domain-associated protein, 350/400 kDa PCAF-associated factor, STAF40, Tra1 homolog, PAF350/400

2 Images
Immunocytochemistry/ Immunofluorescence - Anti-TRRAP antibody [EPR14952-81] - BSA and Azide free (AB250922)
  • ICC/IF

Supplier Data

Immunocytochemistry/ Immunofluorescence - Anti-TRRAP antibody [EPR14952-81] - BSA and Azide free (AB250922)

This data was developed using ab187166, the same antibody clone in a different buffer formulation.

Immunofluorescent analysis of 4% paraformaldehyde-fixed HeLa cells labeling TRRAP with ab187166 at 1/500 dilution followed by Goat anti rabbit IgG (Alexa Fluor®555) secondary antibody at 1/200 dilution. Counter stained with Dapi (blue).

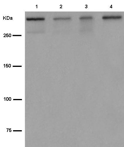
Western blot - Anti-TRRAP antibody [EPR14952-81] - BSA and Azide free (AB250922)
  • WB

Unknown

Western blot - Anti-TRRAP antibody [EPR14952-81] - BSA and Azide free (AB250922)

This data was developed using ab187166, the same antibody clone in a different buffer formulation.

All lanes:

Western blot - Anti-TRRAP antibody [EPR14952-81] (<a href='/en-us/products/primary-antibodies/trrap-antibody-epr14952-81-ab187166'>ab187166</a>) at 1/2000 dilution

Lane 1:

HeLa cell lysate at 20 µg

Lane 2:

Jurkat cell lysate at 20 µg

Lane 3:

Molt-4 cell lysate at 20 µg

Lane 4:

K562 cell lysate at 20 µg

Secondary

All lanes:

Goat Anti-Rabbit IgG, (H+L), Peroxidase conjugate at 1/1000 dilution

Predicted band size: 438 kDa

Observed band size: 438 kDa

false

Key facts

Host species

Rabbit

Clonality

Monoclonal

Clone number

EPR14952-81

Isotype

IgG

Carrier free

Yes

Reacts with

Human

Applications

ICC/IF, WB

applications

Immunogen

The exact immunogen used to generate this antibody is proprietary information.

Reactivity data

{ "title": "Reactivity Data", "filters": { "stats": ["", "Species", "Dilution Info", "Notes"], "tabs": { "all-applications": {"fullname" : "All Applications", "shortname": "All Applications"}, "ICCIF" : {"fullname" : "Immunocytochemistry/ Immunofluorescence", "shortname":"ICC/IF"}, "WB" : {"fullname" : "Western blot", "shortname":"WB"} }, "product-promise": { "all": "all", "testedAndGuaranteed": "tested", "guaranteed": "expected", "predicted": "predicted", "notRecommended": "not-recommended" } }, "values": { "Human": { "ICCIF-species-checked": "testedAndGuaranteed", "ICCIF-species-dilution-info": "", "ICCIF-species-notes": "<p></p>", "WB-species-checked": "testedAndGuaranteed", "WB-species-dilution-info": "", "WB-species-notes": "<p></p>" } } }

Product details

ab250922 is the carrier-free version of ab187166.

Patented technology
Our RabMAb® technology is a patented hybridoma-based technology for making rabbit monoclonal antibodies. For details on our patents, please refer to RabMAb® patents.

What are the advantages of a recombinant monoclonal antibody?
This product is a recombinant monoclonal antibody, which offers several advantages including:

  • - High batch-to-batch consistency and reproducibility
  • - Improved sensitivity and specificity
  • - Long-term security of supply
  • - Animal-free batch production

For more information, read more on recombinant antibodies.

Conjugation ready
Our carrier-free antibodies are typically supplied in a PBS-only formulation, purified and free of BSA, sodium azide and glycerol. This conjugation-ready format is designed for use with fluorochromes, metal isotopes, oligonucleotides, and enzymes, which makes them ideal for antibody labelling, functional and cell-based assays, flow-based assays (e.g. mass cytometry) and Multiplex Imaging applications.

Use our conjugation kits for antibody conjugates that are ready-to-use in as little as 20 minutes with 1 minute hands-on-time and 100% antibody recovery: available for fluorescent dyes, HRP, biotin and gold.

Compatibility
This product is compatible with the Maxpar® Antibody Labeling Kit from Fluidigm, without the need for antibody preparation. Maxpar® is a trademark of Fluidigm Canada Inc.

Properties and storage information

Form
Liquid
Storage buffer
pH: 7.2 - 7.4 Constituents: PBS
Shipped at conditions
Blue Ice
Appropriate short-term storage conditions
+4°C
Appropriate long-term storage conditions
+4°C
Storage information
Do Not Freeze

Supplementary information

This supplementary information is collated from multiple sources and compiled automatically.

The TRRAP (Transformation/Transcription Domain-Associated Protein) also known simply as TRAAP acts as an adaptor protein with a molecular weight of approximately 434 kDa. TRRAP is widely expressed across different tissue types playing a significant role in cellular processes. As part of a larger family of proteins linked to phosphoinositide 3-kinase-related kinases TRRAP does not perform any kinase activity despite having a structure similar to these kinases. Its primary function involves facilitating chromatin remodeling and histone acetylation.
Biological function summary

TRRAP functions as part of several multiprotein acetyltransferase complexes notably the Tip60 and SAGA complexes. These complexes modify chromatin structures affecting transcription by acetylating histone proteins which allows genes to be more accessible for transcription. This role is important for regulating gene expression making TRRAP important in cellular differentiation and proliferation. By interacting with specific compartments of the cell it participates in large chromatin-modifying machines that influence cellular outcomes.

Pathways

You will find TRRAP involved in pivotal biological routes such as the DNA damage response and Wnt signaling. In the DNA damage response pathway TRRAP interacts with Histone H4 and influences DNA repair mechanisms. TRRAP also collaborates with proteins like c-MYC in these signaling networks impacting both gene transcription and cell cycle progression. Through its associations with these pathways TRRAP assists in processes that maintain genome stability contributing to normal and pathological cellular states.

TRRAP demonstrates a notable connection to cancer and neurological disorders. Mutations and aberrations in TRRAP expression levels have associations with various cancers including breast and colorectal tumors likely due to its influence on cell proliferation and survival. In the context of neurological disorders deficient TRRAP activity might relate to problems in neural development further highlighting its interaction with c-MYC in maintaining proper cellular growth balance. Understanding TRRAP's function and interactions can offer valuable insights into its role in disease mechanisms.

Product protocols

For this product, it's our understanding that no specific protocols are required. You can visit:

Target data

Adapter protein, which is found in various multiprotein chromatin complexes with histone acetyltransferase activity (HAT), which gives a specific tag for epigenetic transcription activation. Component of the NuA4 histone acetyltransferase complex which is responsible for acetylation of nucleosomal histones H4 and H2A. Plays a central role in MYC transcription activation, and also participates in cell transformation by MYC. Required for p53/TP53-, E2F1- and E2F4-mediated transcription activation. Also involved in transcription activation mediated by the adenovirus E1A, a viral oncoprotein that deregulates transcription of key genes. Probably acts by linking transcription factors such as E1A, MYC or E2F1 to HAT complexes such as STAGA thereby allowing transcription activation. Probably not required in the steps following histone acetylation in processes of transcription activation. May be required for the mitotic checkpoint and normal cell cycle progression. Component of a SWR1-like complex that specifically mediates the removal of histone H2A.Z/H2AZ1 from the nucleosome. May play a role in the formation and maintenance of the auditory system (By similarity).
See full target information TRRAP

Publications (1)

Recent publications for all applications. Explore the full list and refine your search

Nature communications 14:3728 PubMed37349339

2023

NBEAL2 deficiency in humans leads to low CTLA-4 expression in activated conventional T cells.

Applications

Unspecified application

Species

Unspecified reactive species

Laure Delage,Francesco Carbone,Quentin Riller,Jean-Luc Zachayus,Erwan Kerbellec,Armelle Buzy,Marie-Claude Stolzenberg,Marine Luka,Camille de Cevins,Georges Kalouche,Rémi Favier,Alizée Michel,Sonia Meynier,Aurélien Corneau,Caroline Evrard,Nathalie Neveux,Sébastien Roudières,Brieuc P Pérot,Mathieu Fusaro,Christelle Lenoir,Olivier Pellé,Mélanie Parisot,Marc Bras,Sébastien Héritier,Guy Leverger,Anne-Sophie Korganow,Capucine Picard,Sylvain Latour,Bénédicte Collet,Alain Fischer,Bénédicte Neven,Aude Magérus,Mickaël Ménager,Benoit Pasquier,Frédéric Rieux-Laucat
View all publications

Product promise

We are committed to supporting your work with high-quality reagents, and we're here for you every step of the way. In the unlikely event that one of our products does not perform as expected, you're protected by our Product Promise.
For full details, please see our Terms & Conditions

Please note: All products are 'FOR RESEARCH USE ONLY. NOT FOR USE IN DIAGNOSTIC OR THERAPEUTIC PROCEDURES'.

For licensing inquiries, please contact partnerships@abcam.com