JavaScript is disabled in your browser. Please enable JavaScript to view this website.
AB200996

Anti-Trypsin antibody [EPR19497]

Be the first to review this product! Submit a review

|

(4 Publications)

Rabbit Recombinant Monoclonal Trypsin antibody. Suitable for WB, IHC-P and reacts with Human samples. Cited in 4 publications.

View Alternative Names

TRP1, TRY1, TRYP1, PRSS1, Serine protease 1, Anionic trypsin I, Anionic trypsin-I, Beta-trypsin, Cationic trypsinogen, Pretrypsinogen I, Trypsin I, Trypsin-1

5 Images
Immunohistochemistry (Formalin/PFA-fixed paraffin-embedded sections) - Anti-Trypsin antibody [EPR19497] (AB200996)
  • IHC-P

Supplier Data

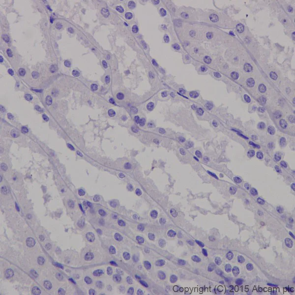
Immunohistochemistry (Formalin/PFA-fixed paraffin-embedded sections) - Anti-Trypsin antibody [EPR19497] (AB200996)

Immunohistochemical analysis of paraffin-embedded Human kidney tissue labeling PRSS1 with ab200996 at 1/8000 dilution followed by Goat Anti-Rabbit IgG H&L (HRP) (ab97051) at 1/500 dilution. Negative staining on Human kidney. Counter stained with Hematoxylin.

Secondary antibody only control : Used PBS instead of primary antibody secondary antibody is ab97051 at 1/500 dilution.

Perform heat mediated antigen retrieval with Tris/EDTA buffer pH 9.0 before commencing with IHC staining protocol.

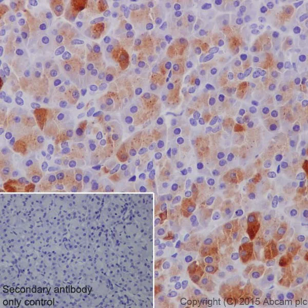
Immunohistochemistry (Formalin/PFA-fixed paraffin-embedded sections) - Anti-Trypsin antibody [EPR19497] (AB200996)
  • IHC-P

Supplier Data

Immunohistochemistry (Formalin/PFA-fixed paraffin-embedded sections) - Anti-Trypsin antibody [EPR19497] (AB200996)

Immunohistochemical analysis of paraffin-embedded Human pancreas tissue labeling PRSS1 with ab200996 at 1/8000 dilution followed by Goat Anti-Rabbit IgG H&L (HRP) (ab97051) at 1/500 dilution. Cytoplasm staining on acinar cells Human pancreas is observed. Counter stained with Hematoxylin.

Secondary antibody only control : Used PBS instead of primary antibody secondary antibody is Goat Anti-Rabbit IgG H&L (HRP) (ab97051) at 1/500 dilution.

Perform heat mediated antigen retrieval with Tris/EDTA buffer pH 9.0 before commencing with IHC staining protocol.

Western blot - Anti-Trypsin antibody [EPR19497] (AB200996)
  • WB

Supplier Data

Western blot - Anti-Trypsin antibody [EPR19497] (AB200996)

Blocking/Dilution buffer : 5% NFDM/TBST.

Trypsin 1, encoded by the PRSS1 gene, is synthesized in the pancreas. The expression profile observed is consistent with what has been described in the literatures (PMID : 3011602, 7945238, 24722290).

All lanes:

Western blot - Anti-Trypsin antibody [EPR19497] (ab200996) at 1/5000 dilution

Lane 1:

Human pancreas lysate at 10 µg

Lane 2:

Human fetal liver tissue lysate at 10 µg

Lane 3:

Human fetal heart tissue lysate at 10 µg

Lane 4:

Human fetal kidney tissue lysate at 10 µg

Lane 5:

Human fetal spleen tissue lysate at 10 µg

Lane 6:

Human fetal lung tissue lysate at 10 µg

Lane 7:

BxPC-3 (Human pancreas adenocarcinoma cell line) whole cell lysate at 10 µg

Lane 8:

THP-1 (Human monocytic leukemia cell line) whole cell lysate at 10 µg

Lane 9:

HT-29 (Human colorectal adenocarcinoma cell line) whole cell lysate at 10 µg

Secondary

All lanes:

Goat Anti-Rabbit IgG Peroxidase Conjugate, specific to the non-reduced form of IgG at 1/10000 dilution

Predicted band size: 27 kDa

Observed band size: 27 kDa

false

Exposure time: 3min

Western blot - Anti-Trypsin antibody [EPR19497] (AB200996)
  • WB

Supplier Data

Western blot - Anti-Trypsin antibody [EPR19497] (AB200996)

Blocking/Dilution buffer : 5% NFDM/TBST.

Exposure time : Lane 1 : 1 second; Lane 2 and 3 : 3 minutes.

Human PRSS1 fragment recombinant protein contains aa24-122 with a His-Tag®. Human TRY3 full length recombinant protein contains aa1-304 with a His-Tag®. Human TRY6 full length recombinant protein contains aa1-247 with a His-Tag®. These three recombinant proteins were made in-house.

All lanes:

Western blot - Anti-Trypsin antibody [EPR19497] (ab200996) at 1/1000 dilution

Lane 1:

Human PRSS1 fragment recombinant protein at 0.01 µg

Lane 2:

Human TRY3 full length recombinant protein at 0.01 µg

Lane 3:

Human TRY6 full length recombinant protein at 0.01 µg

Secondary

All lanes:

Western blot - Goat Anti-Rabbit IgG H&L (HRP) (<a href='/en-us/products/secondary-antibodies/goat-rabbit-igg-h-l-hrp-ab97051'>ab97051</a>) at 1/100000 dilution

Predicted band size: 27 kDa

false

Western blot - Anti-Trypsin antibody [EPR19497] (AB200996)
  • WB

Supplier Data

Western blot - Anti-Trypsin antibody [EPR19497] (AB200996)

Blocking/Dilution buffer : 5% NFDM/TBST.

Human TRY2 full length recombinant protein contains aa1-247 with a GST-Tag. It was made in-house.

All lanes:

Western blot - Anti-Trypsin antibody [EPR19497] (ab200996) at 1/1000 dilution

All lanes:

Human TRY2 full length recombinant protein at 0.01 µg

Secondary

All lanes:

Western blot - Goat Anti-Rabbit IgG H&L (HRP) (<a href='/en-us/products/secondary-antibodies/goat-rabbit-igg-h-l-hrp-ab97051'>ab97051</a>) at 1/100000 dilution

Predicted band size: 27 kDa

false

Exposure time: 3min

  • Carrier free

    Anti-Trypsin antibody [EPR19497] - BSA and Azide free

Key facts

Host species

Rabbit

Clonality

Monoclonal

Clone number

EPR19497

Isotype

IgG

Carrier free

No

Reacts with

Human

Applications

IHC-P, WB

applications

Immunogen

The exact immunogen used to generate this antibody is proprietary information.

Reactivity data

{ "title": "Reactivity Data", "filters": { "stats": ["", "Species", "Dilution Info", "Notes"], "tabs": { "all-applications": {"fullname" : "All Applications", "shortname": "All Applications"}, "WB" : {"fullname" : "Western blot", "shortname":"WB"}, "IHCP" : {"fullname" : "Immunohistochemistry (Formalin/PFA-fixed paraffin-embedded sections)", "shortname":"IHC-P"} }, "product-promise": { "all": "all", "testedAndGuaranteed": "tested", "guaranteed": "expected", "predicted": "predicted", "notRecommended": "not-recommended" } }, "values": { "Human": { "WB-species-checked": "testedAndGuaranteed", "WB-species-dilution-info": "1/5000", "WB-species-notes": "<p></p>", "IHCP-species-checked": "testedAndGuaranteed", "IHCP-species-dilution-info": "1/8000", "IHCP-species-notes": "<p></p>" } } }

Product details

Patented technology
Our RabMAb® technology is a patented hybridoma-based technology for making rabbit monoclonal antibodies. For details on our patents, please refer to RabMAb® patents.

What are the advantages of a recombinant monoclonal antibody?
This product is a recombinant monoclonal antibody, which offers several advantages including:

  • - High batch-to-batch consistency and reproducibility
  • - Improved sensitivity and specificity
  • - Long-term security of supply
  • - Animal-free batch production

For more information, read more on recombinant antibodies.

Properties and storage information

Form
Liquid
Purification technique
Affinity purification Protein A
Storage buffer
pH: 7.2 - 7.4 Preservative: 0.01% Sodium azide Constituents: PBS, 40% Glycerol (glycerin, glycerine), 0.05% BSA
Shipped at conditions
Blue Ice
Appropriate short-term storage duration
1-2 weeks
Appropriate short-term storage conditions
+4°C
Appropriate long-term storage conditions
-20°C
Aliquoting information
Upon delivery aliquot
Storage information
Avoid freeze / thaw cycle

Supplementary information

This supplementary information is collated from multiple sources and compiled automatically.

Trypsin is a serine protease enzyme with a molecular mass around 24 kDa. Known also as "bovine trypsin" or "pancreatic trypsin" it functions primarily in the digestive system. Trypsin hydrolyzes peptide bonds specifically at the carboxyl side of the amino acids lysine and arginine. The enzyme is produced in the pancreas as an inactive precursor trypsinogen which converts to active trypsin in the small intestine.
Biological function summary

Trypsin breaks down proteins into smaller peptides facilitating digestion. It is not part of a complex but interacts with other pancreatic enzymes like chymotrypsin and elastase. Trypsin also plays a regulatory role in activating other zymogens like procarboxypeptidase and chymotrypsinogen essential in the complete protein digestion process.

Pathways

The catalytic actions of trypsin are integral to the digestive pathway in the gastrointestinal tract. It ensures the efficient breakdown and absorption of nutrients. In the trypsin activation pathway it activates other proteases which are significant for protein catabolism. This enzyme collaborates closely with anti-trypsin inhibitors that regulate its activity preventing autodigestion and maintaining homeostasis.

Trypsin relates closely to pancreatitis and cystic fibrosis. Unregulated activation of trypsinogen within the pancreas causes pancreatitis a condition characterized by inflammation and damage to pancreatic cells. Alpha-1 anti-trypsin an important inhibitor of trypsin connects to conditions like emphysema and liver disease due to its dysfunctional regulation indicating a broader implication of trypsin in maintaining cellular health.

Product protocols

For this product, it's our understanding that no specific protocols are required. You can visit:

Target data

Has activity against the synthetic substrates Boc-Phe-Ser-Arg-Mec, Boc-Leu-Thr-Arg-Mec, Boc-Gln-Ala-Arg-Mec and Boc-Val-Pro-Arg-Mec. The single-chain form is more active than the two-chain form against all of these substrates.
See full target information PRSS1

Publications (4)

Recent publications for all applications. Explore the full list and refine your search

Nature communications 15:4216 PubMed38760394

2024

Mycobacterium tuberculosis suppresses host antimicrobial peptides by dehydrogenating L-alanine.

Applications

Unspecified application

Species

Unspecified reactive species

Cheng Peng,Yuanna Cheng,Mingtong Ma,Qiu Chen,Yongjia Duan,Shanshan Liu,Hongyu Cheng,Hua Yang,Jingping Huang,Wenyi Bu,Chenyue Shi,Xiangyang Wu,Jianxia Chen,Ruijuan Zheng,Zhonghua Liu,Zhe Ji,Jie Wang,Xiaochen Huang,Peng Wang,Wei Sha,Baoxue Ge,Lin Wang

Signal transduction and targeted therapy 9:98 PubMed38609366

2024

Infection with SARS-CoV-2 can cause pancreatic impairment.

Applications

Unspecified application

Species

Unspecified reactive species

Wei Deng,Linlin Bao,Zhiqi Song,Ling Zhang,Pin Yu,Yanfeng Xu,Jue Wang,Wenjie Zhao,Xiuqin Zhang,Yunlin Han,Yanhong Li,Jiangning Liu,Qi Lv,Xujian Liang,Fengdi Li,Feifei Qi,Ran Deng,Siyuan Wang,Yibai Xiong,Ruiping Xiao,Hongyang Wang,Chuan Qin

International journal of biological sciences 17:957-971 PubMed33867821

2021

Silencing PRSS1 suppresses the growth and proliferation of gastric carcinoma cells via the ERK pathway.

Applications

Unspecified application

Species

Unspecified reactive species

Dongmei Ye,Yuxuan Li,Heliang Zhang,Zhiwei Zhou,Yujie Tang,Peng Wu,Qiang Zhao,Zhiwei Zhang

Molecules (Basel, Switzerland) 22: PubMed28858244

2017

Andrographolide Suppresses MV4-11 Cell Proliferation through the Inhibition of FLT3 Signaling, Fatty Acid Synthesis and Cellular Iron Uptake.

Applications

Unspecified application

Species

Unspecified reactive species

Xiao Chen,Jianbin Zhang,Lixia Yuan,Yifei Lay,Yin Kwan Wong,Teck Kwang Lim,Chye Sun Ong,Qingsong Lin,Jigang Wang,Zichun Hua
View all publications

Product promise

We are committed to supporting your work with high-quality reagents, and we're here for you every step of the way. In the unlikely event that one of our products does not perform as expected, you're protected by our Product Promise.
For full details, please see our Terms & Conditions

Please note: All products are 'FOR RESEARCH USE ONLY. NOT FOR USE IN DIAGNOSTIC OR THERAPEUTIC PROCEDURES'.

For licensing inquiries, please contact partnerships@abcam.com