JavaScript is disabled in your browser. Please enable JavaScript to view this website.
AB200997

Anti-Trypsin antibody [EPR19498-43]

5

(2 Reviews)

|

(8 Publications)

Anti-Trypsin antibody [EPR19498-43] (ab200997) is a rabbit monoclonal antibody detecting Trypsin in Western Blot, IHC-P. Suitable for Human.

- Biophysical QC for unrivalled batch-batch consistency

View Alternative Names

TRP1, TRY1, TRYP1, PRSS1, Serine protease 1, Anionic trypsin I, Anionic trypsin-I, Beta-trypsin, Cationic trypsinogen, Pretrypsinogen I, Trypsin I, Trypsin-1

7 Images
Immunohistochemistry (Formalin/PFA-fixed paraffin-embedded sections) - Anti-Trypsin antibody [EPR19498-43] (AB200997)
  • IHC-P

Supplier Data

Immunohistochemistry (Formalin/PFA-fixed paraffin-embedded sections) - Anti-Trypsin antibody [EPR19498-43] (AB200997)

Immunohistochemical analysis of paraffin-embedded Human colon tissue labeling Trypsin with ab200997 at 1/2000 dilution followed by Goat Anti-Rabbit IgG H&L (HRP) (ab97051) at 1/500 dilution. Negative staining on Human colon. Counter stained with Hematoxylin.

Perform heat mediated antigen retrieval with Tris/EDTA buffer pH 9.0 before commencing with IHC staining protocol.

Immunohistochemistry (Formalin/PFA-fixed paraffin-embedded sections) - Anti-Trypsin antibody [EPR19498-43] (AB200997)
  • IHC-P

Supplier Data

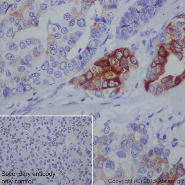
Immunohistochemistry (Formalin/PFA-fixed paraffin-embedded sections) - Anti-Trypsin antibody [EPR19498-43] (AB200997)

Immunohistochemical analysis of paraffin-embedded Human pancreas cancer tissue labeling Trypsin with ab200997 at 1/2000 dilution followed by Goat Anti-Rabbit IgG H&L (HRP) (ab97051) at 1/500 dilution. Cytoplasm staining on Human pancreas cancer is observed. Counter stained with Hematoxylin.

Secondary antibody only control : Used PBS instead of primary antibody secondary antibody is Goat Anti-Rabbit IgG H&L (HRP) (ab97051) at 1/500 dilution.

Perform heat mediated antigen retrieval with Tris/EDTA buffer pH 9.0 before commencing with IHC staining protocol.

Immunohistochemistry (Formalin/PFA-fixed paraffin-embedded sections) - Anti-Trypsin antibody [EPR19498-43] (AB200997)
  • IHC-P

Supplier Data

Immunohistochemistry (Formalin/PFA-fixed paraffin-embedded sections) - Anti-Trypsin antibody [EPR19498-43] (AB200997)

Immunohistochemical analysis of paraffin-embedded Human cerebrum tissue labeling Trypsin with ab200997 at 1/2000 dilution followed by Goat Anti-Rabbit IgG H&L (HRP) (ab97051) at 1/500 dilution. Cytoplasm staining on Human cerebrum is observed. Counter stained with Hematoxylin.

Secondary antibody only control : Used PBS instead of primary antibody secondary antibody is Goat Anti-Rabbit IgG H&L (HRP) (ab97051) at 1/500 dilution.

Perform heat mediated antigen retrieval with Tris/EDTA buffer pH 9.0 before commencing with IHC staining protocol.

Immunohistochemistry (Formalin/PFA-fixed paraffin-embedded sections) - Anti-Trypsin antibody [EPR19498-43] (AB200997)
  • IHC-P

Supplier Data

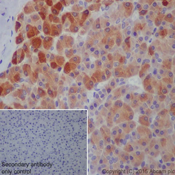
Immunohistochemistry (Formalin/PFA-fixed paraffin-embedded sections) - Anti-Trypsin antibody [EPR19498-43] (AB200997)

Immunohistochemical analysis of paraffin-embedded Human pancreas tissue labeling Trypsin with ab200997 at 1/2000 dilution followed by Goat Anti-Rabbit IgG H&L (HRP) (ab97051) at 1/500 dilution. Cytoplasm staining on acinar cells of Human pancreas is observed. Counter stained with Hematoxylin.

Secondary antibody only control : Used PBS instead of primary antibody secondary antibody is Goat Anti-Rabbit IgG H&L (HRP) (ab97051) at 1/500 dilution.

Perform heat mediated antigen retrieval with Tris/EDTA buffer pH 9.0 before commencing with IHC staining protocol.

Western blot - Anti-Trypsin antibody [EPR19498-43] (AB200997)
  • WB

Supplier Data

Western blot - Anti-Trypsin antibody [EPR19498-43] (AB200997)

Blocking/Dilution buffer : 5% NFDM/TBST.

Exposure time : Lane 1 : 1 second; Lane 2 : 3 minutes.

Human PRSS1 fragment recombinant protein contains aa123-247 with a GST-Tag; Human PRSS2 full length recombinant protein contains aa1-247 with a GST-Tag. These two recombinant proteins were made in-house.

All lanes:

Western blot - Anti-Trypsin antibody [EPR19498-43] (ab200997) at 1/1000 dilution

Lane 1:

Human PRSS1 fragment recombinant protein at 0.01 µg

Lane 2:

Human PRSS2 full length recombinant protein at 0.01 µg

Secondary

All lanes:

Western blot - Goat Anti-Rabbit IgG H&L (HRP) (<a href='/en-us/products/secondary-antibodies/goat-rabbit-igg-h-l-hrp-ab97051'>ab97051</a>) at 1/100000 dilution

Predicted band size: 27 kDa

false

Western blot - Anti-Trypsin antibody [EPR19498-43] (AB200997)
  • WB

Supplier Data

Western blot - Anti-Trypsin antibody [EPR19498-43] (AB200997)

Blocking/Dilution buffer : 5% NFDM/TBST.

Trypsinogens I (PRSS1), Trypsinogens II (PRSS2), and mesotrypsinogen (PRSS3) are the major trypsinogen genes in the human pancreas. Trypsinogens I and II are the principal forms of trypsin that are secreted in pancreatic juice, while mesotrypsinogen is a minor trypsinogen in human pancreatic juice [PMID : 14726524, 3011602, 6698368, and 9099703]. This product recognizes PRSS1, and shows some cross-reactivity with PRSS3 and PRSS3P2 proteins.

All lanes:

Western blot - Anti-Trypsin antibody [EPR19498-43] (ab200997) at 1/2000 dilution

Lane 1:

Human pancreas tissue lysate at 10 µg

Lane 2:

Human fetal liver tissue lysate at 10 µg

Lane 3:

Human fetal heart tissue lysate at 10 µg

Lane 4:

Human fetal kidney tissue lysate at 10 µg

Lane 5:

Human fetal spleen tissue lysate at 10 µg

Lane 6:

Human fetal lung tissue lysate at 10 µg

Lane 7:

BxPC-3 (Human pancreas adenocarcinoma cell line) whole cell lysate at 10 µg

Lane 8:

THP-1 (Human monocytic leukemia cell line) whole cell lysate at 10 µg

Lane 9:

HT-29 (Human colorectal adenocarcinoma cell line) whole cell lysate at 10 µg

Secondary

All lanes:

Goat Anti-Rabbit IgG Peroxidase Conjugate, specific to the non-reduced form of IgG at 1/10000 dilution

Predicted band size: 27 kDa

Observed band size: 27 kDa

false

Exposure time: 3min

Western blot - Anti-Trypsin antibody [EPR19498-43] (AB200997)
  • WB

Supplier Data

Western blot - Anti-Trypsin antibody [EPR19498-43] (AB200997)

Blocking/Dilution buffer : 5% NFDM/TBST.

Human PRSS3 full length recombinant protein contains aa1-304 with a His-Tag®. Human PRSS3P2 full length recombinant protein contains aa1-247 with a His-Tag®. These two recombinant proteins were made in-house.

All lanes:

Western blot - Anti-Trypsin antibody [EPR19498-43] (ab200997) at 1/1000 dilution

Lane 1:

Human PRSS3 full length recombinant protein at 0.01 µg

Lane 2:

Human PRSS3P2 full length recombinant protein at 0.01 µg

Secondary

All lanes:

Western blot - Goat Anti-Rabbit IgG H&L (HRP) (<a href='/en-us/products/secondary-antibodies/goat-rabbit-igg-h-l-hrp-ab97051'>ab97051</a>) at 1/100000 dilution

Predicted band size: 27 kDa

Observed band size: 27 kDa

false

Exposure time: 3min

  • Carrier free

    Anti-Trypsin antibody [EPR19498-43] - BSA and Azide free

  • 519 Alexa Fluor® 488

    Alexa Fluor® 488 Anti-Trypsin antibody [EPR19498-43]

Key facts

Host species

Rabbit

Clonality

Monoclonal

Clone number

EPR19498-43

Isotype

IgG

Carrier free

No

Reacts with

Human

Applications

WB, IHC-P

applications

Immunogen

The exact immunogen used to generate this antibody is proprietary information.

Specificity

This product reacts with human Trypsin 1, Trypsin 3 and Putative trypsin 6 but not with Trypsin 2. However, it might cross react with other family members and isoforms.

Reactivity data

{ "title": "Reactivity Data", "filters": { "stats": ["", "Species", "Dilution Info", "Notes"], "tabs": { "all-applications": {"fullname" : "All Applications", "shortname": "All Applications"}, "WB" : {"fullname" : "Western blot", "shortname":"WB"}, "IHCP" : {"fullname" : "Immunohistochemistry (Formalin/PFA-fixed paraffin-embedded sections)", "shortname":"IHC-P"} }, "product-promise": { "all": "all", "testedAndGuaranteed": "tested", "guaranteed": "expected", "predicted": "predicted", "notRecommended": "not-recommended" } }, "values": { "Human": { "WB-species-checked": "testedAndGuaranteed", "WB-species-dilution-info": "1/1000", "WB-species-notes": "<p></p>", "IHCP-species-checked": "testedAndGuaranteed", "IHCP-species-dilution-info": "1/2000", "IHCP-species-notes": "<p></p>" } } }

Product details

What is this antibody validated in?
Anti-Trypsin antibody [EPR19498-43] (ab200997) is a rabbit recombinant monoclonal antibody and is validated for use in Western Blot (WB), Immunohistochemistry (IHC-P) in Human samples.

What is the molecular weight of Trypsin?
Anti-Trypsin [EPR19498-43] (ab200997) specifically detects a band for Trypsin (UniProt: P07477) at a molecular weight of 27, 33kDa.

Trial sizes available!
Test your antibody or perform pre-screening before committing to a larger quantity. Sold in 10µl. Discover our selection of trial-size antibodies.

Other related products
We have a range of other formats of antibody clone [EPR19498-43] also available for your convenience: ab200997, Carrier free - ab251326, Alexa Fluor® 488 - ab319011

Patented technology
Our RabMAb® technology is a patented hybridoma-based technology for making rabbit monoclonal antibodies. For details on our patents, please refer to RabMAb® patents.

What are the advantages of a recombinant monoclonal antibody?
This product is a recombinant monoclonal antibody, which offers several advantages including:

  • - High batch-to-batch consistency and reproducibility
  • - Improved sensitivity and specificity
  • - Long-term security of supply
  • - Animal-free batch production

For more information, read more on recombinant antibodies.

Properties and storage information

Form
Liquid
Purification technique
Affinity purification Protein A
Storage buffer
pH: 7.2 - 7.4 Preservative: 0.01% Sodium azide Constituents: PBS, 40% Glycerol (glycerin, glycerine), 0.05% BSA
Shipped at conditions
Blue Ice
Appropriate short-term storage duration
1-2 weeks
Appropriate short-term storage conditions
+4°C
Appropriate long-term storage conditions
-20°C
Aliquoting information
Upon delivery aliquot
Storage information
Avoid freeze / thaw cycle

Supplementary information

This supplementary information is collated from multiple sources and compiled automatically.

Trypsin is a serine protease enzyme with a molecular mass around 24 kDa. Known also as "bovine trypsin" or "pancreatic trypsin" it functions primarily in the digestive system. Trypsin hydrolyzes peptide bonds specifically at the carboxyl side of the amino acids lysine and arginine. The enzyme is produced in the pancreas as an inactive precursor trypsinogen which converts to active trypsin in the small intestine.
Biological function summary

Trypsin breaks down proteins into smaller peptides facilitating digestion. It is not part of a complex but interacts with other pancreatic enzymes like chymotrypsin and elastase. Trypsin also plays a regulatory role in activating other zymogens like procarboxypeptidase and chymotrypsinogen essential in the complete protein digestion process.

Pathways

The catalytic actions of trypsin are integral to the digestive pathway in the gastrointestinal tract. It ensures the efficient breakdown and absorption of nutrients. In the trypsin activation pathway it activates other proteases which are significant for protein catabolism. This enzyme collaborates closely with anti-trypsin inhibitors that regulate its activity preventing autodigestion and maintaining homeostasis.

Trypsin relates closely to pancreatitis and cystic fibrosis. Unregulated activation of trypsinogen within the pancreas causes pancreatitis a condition characterized by inflammation and damage to pancreatic cells. Alpha-1 anti-trypsin an important inhibitor of trypsin connects to conditions like emphysema and liver disease due to its dysfunctional regulation indicating a broader implication of trypsin in maintaining cellular health.

Product protocols

For this product, it's our understanding that no specific protocols are required. You can visit:

Target data

Has activity against the synthetic substrates Boc-Phe-Ser-Arg-Mec, Boc-Leu-Thr-Arg-Mec, Boc-Gln-Ala-Arg-Mec and Boc-Val-Pro-Arg-Mec. The single-chain form is more active than the two-chain form against all of these substrates.
See full target information PRSS1

Publications (8)

Recent publications for all applications. Explore the full list and refine your search

Discover oncology 16:489 PubMed40198509

2025

Acinar cells modulate the tumor microenvironment through the promotion of M1 macrophage polarization via macrophage endocytosis in pancreatic cancer.

Applications

Unspecified application

Species

Unspecified reactive species

Congjia Ma,Wenbo Zhu,Xiulin Hu,Deli Wu,Xintong Zhao,Yiqi Du,Xiangyu Kong

Nature communications 15:4216 PubMed38760394

2024

Mycobacterium tuberculosis suppresses host antimicrobial peptides by dehydrogenating L-alanine.

Applications

Unspecified application

Species

Unspecified reactive species

Cheng Peng,Yuanna Cheng,Mingtong Ma,Qiu Chen,Yongjia Duan,Shanshan Liu,Hongyu Cheng,Hua Yang,Jingping Huang,Wenyi Bu,Chenyue Shi,Xiangyang Wu,Jianxia Chen,Ruijuan Zheng,Zhonghua Liu,Zhe Ji,Jie Wang,Xiaochen Huang,Peng Wang,Wei Sha,Baoxue Ge,Lin Wang

Nature communications 14:1936 PubMed37024459

2023

Factor Xa cleaves SARS-CoV-2 spike protein to block viral entry and infection.

Applications

Unspecified application

Species

Unspecified reactive species

Wenjuan Dong,Jing Wang,Lei Tian,Jianying Zhang,Erik W Settles,Chao Qin,Daniel R Steinken-Kollath,Ashley N Itogawa,Kimberly R Celona,Jinhee Yi,Mitchell Bryant,Heather Mead,Sierra A Jaramillo,Hongjia Lu,Aimin Li,Ross E Zumwalt,Sanjeet Dadwal,Pinghui Feng,Weiming Yuan,Sean P J Whelan,Paul S Keim,Bridget Marie Barker,Michael A Caligiuri,Jianhua Yu

iScience 25:105366 PubMed36339258

2022

Single-cell RNA-seq transcriptomic landscape of human and mouse islets and pathological alterations of diabetes.

Applications

Unspecified application

Species

Unspecified reactive species

Kai Chen,Junqing Zhang,Youyuan Huang,Xiaodong Tian,Yinmo Yang,Aimei Dong

Diabetes 71:1579-1590 PubMed35499468

2022

Indirect and Direct Effects of SARS-CoV-2 on Human Pancreatic Islets.

Applications

Unspecified application

Species

Unspecified reactive species

Moufida Ben Nasr,Francesca D'Addio,Laura Montefusco,Vera Usuelli,Cristian Loretelli,Antonio Rossi,Ida Pastore,Ahmed Abdelsalam,Anna Maestroni,Marco Dell'Acqua,Elio Ippolito,Emma Assi,Andy Joe Seelam,Roberta Maria Fiorina,Enrica Chebat,Paola Morpurgo,Maria Elena Lunati,Andrea Mario Bolla,Reza Abdi,Joseph V Bonventre,Stefano Rusconi,Agostino Riva,Domenico Corradi,Pierachille Santus,Pamela Clark,Manuela Nebuloni,Gabriella Baldi,Giovanna Finzi,Franco Folli,Gian Vincenzo Zuccotti,Massimo Galli,Kevan C Herold,Paolo Fiorina

Cellular and molecular bioengineering 14:583-596 PubMed34900012

2021

Digestive Enzyme Activity and Protein Degradation in Plasma of Heart Failure Patients.

Applications

Unspecified application

Species

Unspecified reactive species

Vasiliki Courelli,Alla Ahmad,Majid Ghassemian,Chris Pruitt,Paul J Mills,Geert W Schmid-Schönbein

bioRxiv : the preprint server for biology : PubMed34127969

2021

FXa cleaves the SARS-CoV-2 spike protein and blocks cell entry to protect against infection with inferior effects in B.1.1.7 variant.

Applications

Unspecified application

Species

Unspecified reactive species

Wenjuan Dong,Jing Wang,Lei Tian,Jianying Zhang,Heather Mead,Sierra A Jaramillo,Aimin Li,Ross E Zumwalt,Sean P J Whelan,Erik W Settles,Paul S Keim,Bridget Marie Barker,Michael A Caligiuri,Jianhua Yu

Anatomical record (Hoboken, N.J. : 2007) 302:973-982 PubMed30378275

2018

Ghrelin and NUCB2/Nesfatin-1 Co-Localization With Digestive Enzymes in the Intestine of Pejerrey (Odontesthes bonariensis).

Applications

Unspecified application

Species

Unspecified reactive species

Juan Ignacio Bertucci,Ayelén Melisa Blanco,Aida Sánchez-Bretaño,Suraj Unniappan,Luis Fabián Canosa
View all publications

Product promise

We are committed to supporting your work with high-quality reagents, and we're here for you every step of the way. In the unlikely event that one of our products does not perform as expected, you're protected by our Product Promise.
For full details, please see our Terms & Conditions

Please note: All products are 'FOR RESEARCH USE ONLY. NOT FOR USE IN DIAGNOSTIC OR THERAPEUTIC PROCEDURES'.

For licensing inquiries, please contact partnerships@abcam.com