JavaScript is disabled in your browser. Please enable JavaScript to view this website.
AB251326

Anti-Trypsin antibody [EPR19498-43] - BSA and Azide free

Be the first to review this product! Submit a review

|

(1 Publication)

Rabbit Recombinant Monoclonal Trypsin antibody. Carrier free. Suitable for WB, IHC-P and reacts with Human samples. Cited in 1 publication.

View Alternative Names

TRP1, TRY1, TRYP1, PRSS1, Serine protease 1, Anionic trypsin I, Anionic trypsin-I, Beta-trypsin, Cationic trypsinogen, Pretrypsinogen I, Trypsin I, Trypsin-1

7 Images
Immunohistochemistry (Formalin/PFA-fixed paraffin-embedded sections) - Anti-Trypsin antibody [EPR19498-43] - BSA and Azide free (AB251326)
  • IHC-P

Supplier Data

Immunohistochemistry (Formalin/PFA-fixed paraffin-embedded sections) - Anti-Trypsin antibody [EPR19498-43] - BSA and Azide free (AB251326)

This data was developed using ab200997, the same antibody clone in a different buffer formulation.

Immunohistochemical analysis of paraffin-embedded Human colon tissue labeling Trypsin with ab200997 at 1/2000 dilution, followed by Goat Anti-Rabbit IgG H&L (HRP) (ab97051) at 1/500 dilution. Negative staining on Human colon. Counter stained with Hematoxylin.

Perform heat mediated antigen retrieval with Tris/EDTA buffer pH 9.0 before commencing with IHC staining protocol.

Immunohistochemistry (Formalin/PFA-fixed paraffin-embedded sections) - Anti-Trypsin antibody [EPR19498-43] - BSA and Azide free (AB251326)
  • IHC-P

Supplier Data

Immunohistochemistry (Formalin/PFA-fixed paraffin-embedded sections) - Anti-Trypsin antibody [EPR19498-43] - BSA and Azide free (AB251326)

This data was developed using ab200997, the same antibody clone in a different buffer formulation.

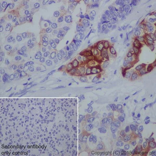
Immunohistochemical analysis of paraffin-embedded Human pancreas cancer tissue labeling Trypsin with ab200997 at 1/2000 dilution, followed by Goat Anti-Rabbit IgG H&L (HRP) (ab97051) at 1/500 dilution. Cytoplasm staining on Human pancreas cancer is observed. Counter stained with Hematoxylin.

Secondary antibody only control : Used PBS instead of primary antibody, secondary antibody is Goat Anti-Rabbit IgG H&L (HRP) (ab97051) at 1/500 dilution.

Perform heat mediated antigen retrieval with Tris/EDTA buffer pH 9.0 before commencing with IHC staining protocol.

Immunohistochemistry (Formalin/PFA-fixed paraffin-embedded sections) - Anti-Trypsin antibody [EPR19498-43] - BSA and Azide free (AB251326)
  • IHC-P

Supplier Data

Immunohistochemistry (Formalin/PFA-fixed paraffin-embedded sections) - Anti-Trypsin antibody [EPR19498-43] - BSA and Azide free (AB251326)

This data was developed using ab200997, the same antibody clone in a different buffer formulation.

Immunohistochemical analysis of paraffin-embedded Human cerebrum tissue labeling Trypsin with ab200997 at 1/2000 dilution, followed by Goat Anti-Rabbit IgG H&L (HRP) (ab97051) at 1/500 dilution. Cytoplasm staining on Human cerebrum is observed. Counter stained with Hematoxylin.

Secondary antibody only control : Used PBS instead of primary antibody, secondary antibody is Goat Anti-Rabbit IgG H&L (HRP) (ab97051) at 1/500 dilution.

Perform heat mediated antigen retrieval with Tris/EDTA buffer pH 9.0 before commencing with IHC staining protocol.

Immunohistochemistry (Formalin/PFA-fixed paraffin-embedded sections) - Anti-Trypsin antibody [EPR19498-43] - BSA and Azide free (AB251326)
  • IHC-P

Supplier Data

Immunohistochemistry (Formalin/PFA-fixed paraffin-embedded sections) - Anti-Trypsin antibody [EPR19498-43] - BSA and Azide free (AB251326)

This data was developed using ab200997, the same antibody clone in a different buffer formulation.

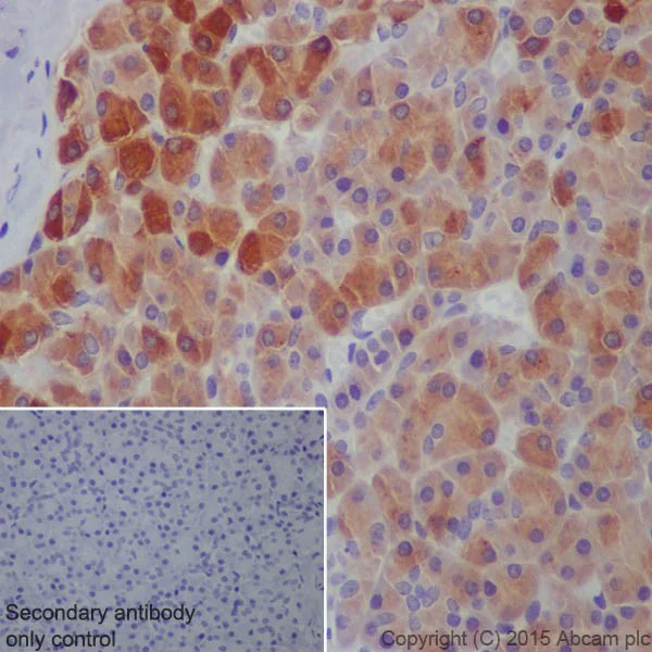
Immunohistochemical analysis of paraffin-embedded Human pancreas tissue labeling Trypsin with ab200997 at 1/2000 dilution, followed by Goat Anti-Rabbit IgG H&L (HRP) (ab97051) at 1/500 dilution. Cytoplasm staining on acinar cells of Human pancreas is observed. Counter stained with Hematoxylin.

Secondary antibody only control : Used PBS instead of primary antibody, secondary antibody is Goat Anti-Rabbit IgG H&L (HRP) (ab97051) at 1/500 dilution.

Perform heat mediated antigen retrieval with Tris/EDTA buffer pH 9.0 before commencing with IHC staining protocol.

Western blot - Anti-Trypsin antibody [EPR19498-43] - BSA and Azide free (AB251326)
  • WB

Supplier Data

Western blot - Anti-Trypsin antibody [EPR19498-43] - BSA and Azide free (AB251326)

This data was developed using ab200997, the same antibody clone in a different buffer formulation.

Blocking and dilution buffer : 5% NFDM/TBST.

Exposure times : Lane 1 : 1 second; Lane 2 : 3 minutes.

Human PRSS1 fragment recombinant protein contains aa123-247 with a GST-Tag; Human PRSS2 full length recombinant protein contains aa1-247 with a GST-Tag. These two recombinant proteins were made in-house.

All lanes:

Western blot - Anti-Trypsin antibody [EPR19498-43] (<a href='/en-us/products/primary-antibodies/trypsin-antibody-epr19498-43-ab200997'>ab200997</a>) at 1/1000 dilution

Lane 1:

Human PRSS1 fragment recombinant protein at 0.01 µg

Lane 2:

Human PRSS2 full length recombinant protein at 0.01 µg

Secondary

All lanes:

Western blot - Goat Anti-Rabbit IgG H&L (HRP) (<a href='/en-us/products/secondary-antibodies/goat-rabbit-igg-h-l-hrp-ab97051'>ab97051</a>) at 1/100000 dilution

Predicted band size: 27 kDa

false

Western blot - Anti-Trypsin antibody [EPR19498-43] - BSA and Azide free (AB251326)
  • WB

Supplier Data

Western blot - Anti-Trypsin antibody [EPR19498-43] - BSA and Azide free (AB251326)

This data was developed using ab200997, the same antibody clone in a different buffer formulation.

Blocking and dilution buffer : 5% NFDM/TBST.

Trypsinogens I (PRSS1), Trypsinogens II (PRSS2), and mesotrypsinogen (PRSS3) are the major trypsinogen genes in the human pancreas. Trypsinogens I and II are the principal forms of trypsin that are secreted in pancreatic juice, while mesotrypsinogen is a minor trypsinogen in human pancreatic juice (PMID : 14726524, 3011602, 6698368, and 9099703). This product recognizes PRSS1, and shows some cross-reactivity with PRSS3 and PRSS3P2 proteins.

All lanes:

Western blot - Anti-Trypsin antibody [EPR19498-43] (<a href='/en-us/products/primary-antibodies/trypsin-antibody-epr19498-43-ab200997'>ab200997</a>) at 1/2000 dilution

Lane 1:

Human pancreas tissue lysate at 10 µg

Lane 2:

Human fetal liver tissue lysate at 10 µg

Lane 3:

Human fetal heart tissue lysate at 10 µg

Lane 4:

Human fetal kidney tissue lysate at 10 µg

Lane 5:

Human fetal spleen tissue lysate at 10 µg

Lane 6:

Human fetal lung tissue lysate at 10 µg

Lane 7:

BxPC-3 (Human pancreas adenocarcinoma cell line) whole cell lysate at 10 µg

Lane 8:

THP-1 (Human monocytic leukemia cell line) whole cell lysate at 10 µg

Lane 9:

HT-29 (Human colorectal adenocarcinoma cell line) whole cell lysate at 10 µg

Secondary

All lanes:

Goat Anti-Rabbit IgG Peroxidase Conjugate, specific to the non-reduced form of IgG at 1/10000 dilution

Predicted band size: 27 kDa

Observed band size: 27 kDa

false

Exposure time: 3min

Western blot - Anti-Trypsin antibody [EPR19498-43] - BSA and Azide free (AB251326)
  • WB

Supplier Data

Western blot - Anti-Trypsin antibody [EPR19498-43] - BSA and Azide free (AB251326)

This data was developed using ab200997, the same antibody clone in a different buffer formulation.

Blocking and dilution buffer : 5% NFDM/TBST.

Human PRSS3 full length recombinant protein contains aa1-304 with a His-Tag®. Human PRSS3P2 full length recombinant protein contains aa1-247 with a His-Tag®. These two recombinant proteins were made in-house.

All lanes:

Western blot - Anti-Trypsin antibody [EPR19498-43] (<a href='/en-us/products/primary-antibodies/trypsin-antibody-epr19498-43-ab200997'>ab200997</a>) at 1/1000 dilution

Lane 1:

Human PRSS3 full length recombinant protein at 0.01 µg

Lane 2:

Human PRSS3P2 full length recombinant protein at 0.01 µg

Secondary

All lanes:

Western blot - Goat Anti-Rabbit IgG H&L (HRP) (<a href='/en-us/products/secondary-antibodies/goat-rabbit-igg-h-l-hrp-ab97051'>ab97051</a>) at 1/100000 dilution

Predicted band size: 27 kDa

Observed band size: 27 kDa

false

Exposure time: 3min

Key facts

Host species

Rabbit

Clonality

Monoclonal

Clone number

EPR19498-43

Isotype

IgG

Carrier free

Yes

Reacts with

Human

Applications

IHC-P, WB

applications

Immunogen

The exact immunogen used to generate this antibody is proprietary information.

Specificity

This product reacts with human Trypsin 1, Trypsin 3 and Putative trypsin 6 but not with Trypsin 2. However, it might cross react with other family members and isoforms.

Reactivity data

{ "title": "Reactivity Data", "filters": { "stats": ["", "Species", "Dilution Info", "Notes"], "tabs": { "all-applications": {"fullname" : "All Applications", "shortname": "All Applications"}, "WB" : {"fullname" : "Western blot", "shortname":"WB"}, "IHCP" : {"fullname" : "Immunohistochemistry (Formalin/PFA-fixed paraffin-embedded sections)", "shortname":"IHC-P"} }, "product-promise": { "all": "all", "testedAndGuaranteed": "tested", "guaranteed": "expected", "predicted": "predicted", "notRecommended": "not-recommended" } }, "values": { "Human": { "WB-species-checked": "testedAndGuaranteed", "WB-species-dilution-info": "", "WB-species-notes": "<p></p>", "IHCP-species-checked": "testedAndGuaranteed", "IHCP-species-dilution-info": "", "IHCP-species-notes": "<p></p>" } } }

Product details

ab251326 is the carrier-free version of ab200997.

Patented technology
Our RabMAb® technology is a patented hybridoma-based technology for making rabbit monoclonal antibodies. For details on our patents, please refer to RabMAb® patents.

What are the advantages of a recombinant monoclonal antibody?
This product is a recombinant monoclonal antibody, which offers several advantages including:

  • - High batch-to-batch consistency and reproducibility
  • - Improved sensitivity and specificity
  • - Long-term security of supply
  • - Animal-free batch production

For more information, read more on recombinant antibodies.

Conjugation ready
Our carrier-free antibodies are typically supplied in a PBS-only formulation, purified and free of BSA, sodium azide and glycerol. This conjugation-ready format is designed for use with fluorochromes, metal isotopes, oligonucleotides, and enzymes, which makes them ideal for antibody labelling, functional and cell-based assays, flow-based assays (e.g. mass cytometry) and Multiplex Imaging applications.

Use our conjugation kits for antibody conjugates that are ready-to-use in as little as 20 minutes with 1 minute hands-on-time and 100% antibody recovery: available for fluorescent dyes, HRP, biotin and gold.

Compatibility
This product is compatible with the Maxpar® Antibody Labeling Kit from Fluidigm, without the need for antibody preparation. Maxpar® is a trademark of Fluidigm Canada Inc.

Properties and storage information

Form
Liquid
Storage buffer
pH: 7.2 - 7.4 Constituents: PBS
Shipped at conditions
Blue Ice
Appropriate short-term storage conditions
+4°C
Appropriate long-term storage conditions
+4°C
Storage information
Do Not Freeze

Supplementary information

This supplementary information is collated from multiple sources and compiled automatically.

Trypsin is a serine protease enzyme with a molecular mass around 24 kDa. Known also as "bovine trypsin" or "pancreatic trypsin" it functions primarily in the digestive system. Trypsin hydrolyzes peptide bonds specifically at the carboxyl side of the amino acids lysine and arginine. The enzyme is produced in the pancreas as an inactive precursor trypsinogen which converts to active trypsin in the small intestine.
Biological function summary

Trypsin breaks down proteins into smaller peptides facilitating digestion. It is not part of a complex but interacts with other pancreatic enzymes like chymotrypsin and elastase. Trypsin also plays a regulatory role in activating other zymogens like procarboxypeptidase and chymotrypsinogen essential in the complete protein digestion process.

Pathways

The catalytic actions of trypsin are integral to the digestive pathway in the gastrointestinal tract. It ensures the efficient breakdown and absorption of nutrients. In the trypsin activation pathway it activates other proteases which are significant for protein catabolism. This enzyme collaborates closely with anti-trypsin inhibitors that regulate its activity preventing autodigestion and maintaining homeostasis.

Trypsin relates closely to pancreatitis and cystic fibrosis. Unregulated activation of trypsinogen within the pancreas causes pancreatitis a condition characterized by inflammation and damage to pancreatic cells. Alpha-1 anti-trypsin an important inhibitor of trypsin connects to conditions like emphysema and liver disease due to its dysfunctional regulation indicating a broader implication of trypsin in maintaining cellular health.

Product protocols

For this product, it's our understanding that no specific protocols are required. You can visit:

Target data

Has activity against the synthetic substrates Boc-Phe-Ser-Arg-Mec, Boc-Leu-Thr-Arg-Mec, Boc-Gln-Ala-Arg-Mec and Boc-Val-Pro-Arg-Mec. The single-chain form is more active than the two-chain form against all of these substrates.
See full target information PRSS1

Publications (1)

Recent publications for all applications. Explore the full list and refine your search

Journal of nanobiotechnology 22:800 PubMed39731111

2024

Role of PCBP2 in regulating nanovesicles loaded with curcumin to mitigate neuroferroptosis in neural damage caused by heat stroke.

Applications

Unspecified application

Species

Unspecified reactive species

Fei Guo,Yizhan Wu,Guangjun Wang,Jiangwei Liu
View all publications

Product promise

We are committed to supporting your work with high-quality reagents, and we're here for you every step of the way. In the unlikely event that one of our products does not perform as expected, you're protected by our Product Promise.
For full details, please see our Terms & Conditions

Please note: All products are 'FOR RESEARCH USE ONLY. NOT FOR USE IN DIAGNOSTIC OR THERAPEUTIC PROCEDURES'.

For licensing inquiries, please contact partnerships@abcam.com