JavaScript is disabled in your browser. Please enable JavaScript to view this website.
AB227845

Anti-Tryptophan Hydroxylase/TPH antibody [EP1311Y] - BSA and Azide free

Be the first to review this product! Submit a review

|

(9 Publications)

Rabbit Recombinant Monoclonal Tryptophan Hydroxylase/TPH antibody. Carrier free. Suitable for IHC-P, WB and reacts with Human, Recombinant fragment - Human, Recombinant fragment - Mouse, Mouse samples. Cited in 9 publications.

View Alternative Names

TPH, TPRH, TRPH, TPH1, Tryptophan 5-hydroxylase 1, Tryptophan 5-monooxygenase 1

2 Images
Immunohistochemistry (Formalin/PFA-fixed paraffin-embedded sections) - Anti-Tryptophan Hydroxylase/TPH antibody [EP1311Y] - BSA and Azide free (AB227845)
  • IHC-P

Supplier Data

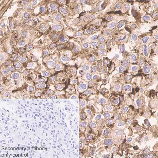
Immunohistochemistry (Formalin/PFA-fixed paraffin-embedded sections) - Anti-Tryptophan Hydroxylase/TPH antibody [EP1311Y] - BSA and Azide free (AB227845)

This data was developed using ab52954, the same antibody clone in a different buffer formulation.
Immunohistochemistry (Formalin/PFA-fixed paraffin-embedded sections) analysis of human bladder carcinoma tissue sections labeling Tryptophan Hydroxylase/TPH with Purified ab52954 at 1 : 2000 dilution (1.191 µg/mL). Heat mediated antigen retrieval was performed using Perform heat mediated antigen retrieval using ab93684 (Tris/EDTA buffer, pH 9.0). Tissue was counterstained with Hematoxylin. ImmunoHistoProbe one step HRP Polymer (ready to use) secondary antibody was used. PBS instead of the primary antibody was used as the negative control.

Western blot - Anti-Tryptophan Hydroxylase/TPH antibody [EP1311Y] - BSA and Azide free (AB227845)
  • WB

Lab

Western blot - Anti-Tryptophan Hydroxylase/TPH antibody [EP1311Y] - BSA and Azide free (AB227845)

Blocking and diluting buffer and concentration : 5% NFDM/TBST

This data was developed using ab52954, the same antibody clone in a different buffer formulation.

All lanes:

Western blot - Anti-Tryptophan Hydroxylase/TPH antibody [EP1311Y] (<a href='/en-us/products/primary-antibodies/tryptophan-hydroxylase-tph-antibody-ep1311y-ab52954'>ab52954</a>) at 1/1000 dilution

All lanes:

N-His tagged human Tryptophan Hydroxylase/TPH (aa 105 to 420) recombinant protein at 0.01 µg

Secondary

All lanes:

Western blot - Goat Anti-Rabbit IgG H&L (HRP) (<a href='/en-us/products/secondary-antibodies/goat-rabbit-igg-h-l-hrp-ab97051'>ab97051</a>) at 1/20000 dilution

Predicted band size: 51 kDa

Observed band size: 35 kDa

false

Exposure time: 3s

  • Unconjugated

    Anti-Tryptophan Hydroxylase/TPH antibody [EP1311Y]

  • 519 Alexa Fluor® 488

    Alexa Fluor® 488 Anti-Tryptophan Hydroxylase/TPH antibody [EP1311Y]

  • 578 PE

    PE Anti-Tryptophan Hydroxylase/TPH antibody [EP1311Y]

  • 665 Alexa Fluor® 647

    Alexa Fluor® 647 Anti-Tryptophan Hydroxylase/TPH antibody [EP1311Y]

  • 565 Alexa Fluor® 555

    Alexa Fluor® 555 Anti-Tryptophan Hydroxylase/TPH antibody [EP1311Y]

  • 617 Alexa Fluor® 594

    Alexa Fluor® 594 Anti-Tryptophan Hydroxylase/TPH antibody [EP1311Y]

  • 660 APC

    APC Anti-Tryptophan Hydroxylase/TPH antibody [EP1311Y]

  • 775 Alexa Fluor® 750

    Alexa Fluor® 750 Anti-Tryptophan Hydroxylase/TPH antibody [EP1311Y]

  • HRP

    HRP Anti-Tryptophan Hydroxylase/TPH antibody [EP1311Y]

Key facts

Host species

Rabbit

Clonality

Monoclonal

Clone number

EP1311Y

Isotype

IgG

Carrier free

Yes

Reacts with

Human, Mouse

Applications

IHC-P, WB

applications

Immunogen

The exact immunogen used to generate this antibody is proprietary information.

Reactivity data

{ "title": "Reactivity Data", "filters": { "stats": ["", "Species", "Dilution Info", "Notes"], "tabs": { "all-applications": {"fullname" : "All Applications", "shortname": "All Applications"}, "IHCP" : {"fullname" : "Immunohistochemistry (Formalin/PFA-fixed paraffin-embedded sections)", "shortname":"IHC-P"}, "WB" : {"fullname" : "Western blot", "shortname":"WB"} }, "product-promise": { "all": "all", "testedAndGuaranteed": "tested", "guaranteed": "expected", "predicted": "predicted", "notRecommended": "not-recommended" } }, "values": { "Human": { "IHCP-species-checked": "testedAndGuaranteed", "IHCP-species-dilution-info": "", "IHCP-species-notes": "<p></p>", "WB-species-checked": "testedAndGuaranteed", "WB-species-dilution-info": "", "WB-species-notes": "<p></p>" }, "Mouse": { "IHCP-species-checked": "notRecommended", "IHCP-species-dilution-info": "", "IHCP-species-notes": "<p></p>", "WB-species-checked": "testedAndGuaranteed", "WB-species-dilution-info": "", "WB-species-notes": "<p></p>" }, "Recombinant fragment - Human": { "IHCP-species-checked": "notRecommended", "IHCP-species-dilution-info": "", "IHCP-species-notes": "", "WB-species-checked": "testedAndGuaranteed", "WB-species-dilution-info": "", "WB-species-notes": "<p></p>" }, "Recombinant fragment - Mouse": { "IHCP-species-checked": "notRecommended", "IHCP-species-dilution-info": "", "IHCP-species-notes": "", "WB-species-checked": "testedAndGuaranteed", "WB-species-dilution-info": "", "WB-species-notes": "<p></p>" } } }

Product details

ab227845 is the carrier-free version of ab52954.

Conjugation ready
Our carrier-free antibodies are typically supplied in a PBS-only formulation, purified and free of BSA, sodium azide and glycerol. This conjugation-ready format is designed for use with fluorochromes, metal isotopes, oligonucleotides, and enzymes, which makes them ideal for antibody labelling, functional and cell-based assays, flow-based assays (e.g. mass cytometry) and Multiplex Imaging applications.

Use our conjugation kits for antibody conjugates that are ready-to-use in as little as 20 minutes with 1 minute hands-on-time and 100% antibody recovery: available for fluorescent dyes, HRP, biotin and gold.

Compatibility
This product is compatible with the Maxpar® Antibody Labeling Kit from Fluidigm, without the need for antibody preparation. Maxpar® is a trademark of Fluidigm Canada Inc.

Properties and storage information

Form
Liquid
Purification technique
Affinity purification Protein A
Storage buffer
pH: 7.2 - 7.4 Constituents: PBS
Shipped at conditions
Blue Ice
Appropriate short-term storage conditions
+4°C
Appropriate long-term storage conditions
+4°C
Storage information
Do Not Freeze

Supplementary information

This supplementary information is collated from multiple sources and compiled automatically.

Tryptophan Hydroxylase (TPH) is an enzyme that plays a critical mechanical role in the body. It is sometimes known as TPH or anti TPH. The enzyme catalyzes the conversion of tryptophan to 5-hydroxytryptophan the first and rate-limiting step in the biosynthesis of serotonin. The molecular mass of TPH is approximately 55 kDa. TPH has two isoforms TPH1 and TPH2 which are expressed in different tissues. TPH1 is mainly found in peripheral tissues such as the gut pineal gland and thymus while TPH2 is expressed in the central nervous system particularly in the raphe nuclei of the brainstem.
Biological function summary

Tryptophan hydroxylase serves an important role in serotonin production which impacts mood regulation sleep and other functions. TPH operates primarily as a homotetramer and requires biopterin oxygen and iron for its activity. Serotonin synthesized as a result acts as a neurotransmitter and hormone influencing various physiological processes. The differential expression of TPH1 and TPH2 allows for compartmentalized regulation of serotonin synthesis addressing both peripheral and central nervous system needs.

Pathways

TPH is central in the serotonin biosynthetic pathway a critical pathway for neuromodulation. It converts tryptophan into 5-hydroxytryptophan which is then decarboxylated to serotonin. TPH's function connects closely with other proteins in these pathways such as Aromatic L-amino acid decarboxylase which further processes 5-hydroxytryptophan into serotonin. This integration within the serotonin pathway highlights its importance in maintaining serotonin levels and consequently normal neurological function.

Tryptophan hydroxylase has associations with mood disorders and irritable bowel syndrome (IBS). Altered TPH activity may lead to disruptions in serotonin levels influencing development and progression of these conditions. Studies often link TPH2 with depression and anxiety due to its central neural expression and role in serotonin synthesis. Meanwhile TPH1 expressed in peripheral tissues has connections to IBS where serotonin significantly affects gut motility and sensitivity. The relationship between these disorders and TPH offers insights into therapeutic targets to modulate serotonin levels for treatment strategies.

Product protocols

For this product, it's our understanding that no specific protocols are required. You can visit:

Target data

Oxidizes L-tryptophan to 5-hydroxy-l-tryptophan in the rate-determining step of serotonin biosynthesis.
See full target information TPH1

Publications (9)

Recent publications for all applications. Explore the full list and refine your search

Amino acids 48:2411-21 PubMed27084713

2016

A novel role for antizyme inhibitor 2 as a regulator of serotonin and histamine biosynthesis and content in mouse mast cells.

Applications

Unspecified application

Species

Unspecified reactive species

Carlos Acosta-Andrade,Ana Lambertos,José L Urdiales,Francisca Sánchez-Jiménez,Rafael Peñafiel,Ignacio Fajardo

Physiological reports 3: PubMed25948822

2015

Effect of daytime-restricted feeding in the daily variations of liver metabolism and blood transport of serotonin in rat.

Applications

WB, IHC

Species

Unspecified reactive species, Unspecified reactive species

Marlen Valdés-Fuentes,Gabriela Vera-Rivera,Dalia De Ita-Pérez,Isabel Méndez,María Isabel Miranda,Mauricio Díaz-Muñoz

Molecular biology reports 42:1295-307 PubMed25861735

2015

Functional constituents of a local serotonergic system, intrinsic to the human coronary artery smooth muscle cells.

Applications

Unspecified application

Species

Unspecified reactive species

Kannan Baskar,Swastika Sur,Vithyalakshmi Selvaraj,Devendra K Agrawal

PloS one 9:e88507 PubMed24523905

2014

Quiescent and proliferative fibroblasts exhibit differential p300 HAT activation through control of 5-methoxytryptophan production.

Applications

WB

Species

Human

Huei-Hsuan Cheng,Kai-Hsuan Wang,Ling-yun Chu,Tzu-Ching Chang,Cheng-Chin Kuo,Kenneth K Wu

Cardiovascular research 99:24-34 PubMed23519266

2013

Dexfenfluramine and the oestrogen-metabolizing enzyme CYP1B1 in the development of pulmonary arterial hypertension.

Applications

WB

Species

Human

Yvonne Dempsie,Neil A MacRitchie,Kevin White,Ian Morecroft,Audrey F Wright,Margaret Nilsen,Lynn Loughlin,Kirsty M Mair,Margaret R MacLean

Cardiovascular research 96:109-19 PubMed22843703

2012

Developmental basis for filamin-A-associated myxomatous mitral valve disease.

Applications

Unspecified application

Species

Mouse

Kimberly Sauls,Annemarieke de Vlaming,Brett S Harris,Katherine Williams,Andy Wessels,Robert A Levine,Susan A Slaugenhaupt,Richard L Goodwin,Luigi Michele Pavone,Jean Merot,Jean-Jacques Schott,Thierry Le Tourneau,Thomas Dix,Sean Jesinkey,Yuanyi Feng,Christopher Walsh,Bin Zhou,Scott Baldwin,Roger R Markwald,Russell A Norris

FASEB journal : official publication of the Federa 26:2457-70 PubMed22415302

2012

Blunted epidermal L-tryptophan metabolism in vitiligo affects immune response and ROS scavenging by Fenton chemistry, part 1: Epidermal H2O2/ONOO(-)-mediated stress abrogates tryptophan hydroxylase and dopa decarboxylase activities, leading to low serotonin and melatonin levels.

Applications

ICC/IF

Species

Human

Karin U Schallreuter,Mohamed A E L Salem,Nick C J Gibbons,Aurora Martinez,Radomir Slominski,Jürgen Lüdemann,Hartmut Rokos

Anticancer research 31:1153-60 PubMed21508359

2011

The effect of PTEN on serotonin synthesis and secretion from the carcinoid cell line BON.

Applications

WB

Species

Human

Scott R Silva,Yekaterina Y Zaytseva,Lindsey N Jackson,Eun Y Lee,Heidi L Weiss,Kanika A Bowen,Courtney M Townsend,B Mark Evers

Muscle & nerve 39:634-41 PubMed19229966

2009

Expression of synemin in the mouse spinal cord.

Applications

IHC-P

Species

Mouse

Yuji Mizuno,Jeffrey R Guyon,Koichi Okamoto,Louis M Kunkel
View all publications

Product promise

We are committed to supporting your work with high-quality reagents, and we're here for you every step of the way. In the unlikely event that one of our products does not perform as expected, you're protected by our Product Promise.
For full details, please see our Terms & Conditions

Please note: All products are 'FOR RESEARCH USE ONLY. NOT FOR USE IN DIAGNOSTIC OR THERAPEUTIC PROCEDURES'.

For licensing inquiries, please contact partnerships@abcam.com