JavaScript is disabled in your browser. Please enable JavaScript to view this website.
AB217328

Anti-TSC-1 antibody

Be the first to review this product! Submit a review

|

(7 Publications)

Rabbit Polyclonal TSC-1 antibody. Suitable for IHC-P, WB and reacts with Human samples. Cited in 7 publications. Immunogen corresponding to Recombinant Full Length Protein corresponding to Human CCL26.

View Alternative Names

SCYA26, UNQ216/PRO242, CCL26, C-C motif chemokine 26, CC chemokine IMAC, Eotaxin-3, Macrophage inflammatory protein 4-alpha, Small-inducible cytokine A26, Thymic stroma chemokine-1, MIP-4-alpha, TSC-1

3 Images
Immunohistochemistry (Formalin/PFA-fixed paraffin-embedded sections) - Anti-TSC-1 antibody (AB217328)
  • IHC-P

Supplier Data

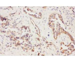
Immunohistochemistry (Formalin/PFA-fixed paraffin-embedded sections) - Anti-TSC-1 antibody (AB217328)

Immunohistochemical analysis of paraffin-embedded human lung cancer tissue labeling TSC-1 with ab217328 at 1 μg/mL.

Immunohistochemistry (Formalin/PFA-fixed paraffin-embedded sections) - Anti-TSC-1 antibody (AB217328)
  • IHC-P

Supplier Data

Immunohistochemistry (Formalin/PFA-fixed paraffin-embedded sections) - Anti-TSC-1 antibody (AB217328)

Immunohistochemical analysis of paraffin-embedded human mammary cancer tissue labeling TSC-1 with ab217328 at 1 μg/mL.

Western blot - Anti-TSC-1 antibody (AB217328)
  • WB

Supplier Data

Western blot - Anti-TSC-1 antibody (AB217328)

All lanes:

Western blot - Anti-TSC-1 antibody (ab217328) at 0.5 µg/mL

Lane 1:

Colo320 whole cell lysate at 40 µg

Lane 2:

A549 whole cell lysate at 40 µg

Lane 3:

HT1080 whole cell lysate at 40 µg

Predicted band size: 11 kDa

false

Key facts

Host species

Rabbit

Clonality

Polyclonal

Isotype

IgG

Carrier free

No

Reacts with

Human

Applications

IHC-P, WB

applications

Immunogen

Recombinant Full Length Protein corresponding to Human CCL26.

Q9Y258

Reactivity data

{ "title": "Reactivity Data", "filters": { "stats": ["", "Species", "Dilution Info", "Notes"], "tabs": { "all-applications": {"fullname" : "All Applications", "shortname": "All Applications"}, "IHCP" : {"fullname" : "Immunohistochemistry (Formalin/PFA-fixed paraffin-embedded sections)", "shortname":"IHC-P"}, "WB" : {"fullname" : "Western blot", "shortname":"WB"} }, "product-promise": { "all": "all", "testedAndGuaranteed": "tested", "guaranteed": "expected", "predicted": "predicted", "notRecommended": "not-recommended" } }, "values": { "Human": { "IHCP-species-checked": "testedAndGuaranteed", "IHCP-species-dilution-info": "0.5-1 µg/mL", "IHCP-species-notes": "<p></p> Perform heat-mediated antigen retrieval with citrate buffer pH 6 before commencing with IHC staining protocol.", "WB-species-checked": "testedAndGuaranteed", "WB-species-dilution-info": "0.1-0.5 µg/mL", "WB-species-notes": "<p>The detection limit for Eotaxin 3 is approximately 0.25 ng/lane under reducing conditions.</p>" } } }

Properties and storage information

Form
Liquid
Purification technique
Affinity purification Immunogen
Storage buffer
Preservative: 0.025% Sodium azide Constituents: 2.5% BSA, 0.45% Sodium chloride, 0.1% Disodium hydrogenorthophosphate
Shipped at conditions
Blue Ice
Appropriate short-term storage duration
1-2 weeks
Appropriate short-term storage conditions
+4°C
Appropriate long-term storage conditions
-20°C
Aliquoting information
Upon delivery aliquot
Storage information
Avoid freeze / thaw cycle

Supplementary information

This supplementary information is collated from multiple sources and compiled automatically.

Tuberous Sclerosis Complex 1 (TSC-1) also known as hamartin is a protein with a molecular mass of approximately 130 kDa. It plays a direct role in cellular signaling and regulatory functions. TSC-1 is expressed broadly across tissues which suggests its importance in maintaining normal cellular physiology. It interfaces with various signaling molecules and directly interacts with TSC-2 to form a protein complex.
Biological function summary

TSC-1 plays a regulatory role in cell growth and proliferation. It forms a complex with TSC-2 also known as tuberin which is important for its function. This complex acts as a GAP (GTPase-activating protein) toward Rheb a small GTPase inhibiting the mTOR signaling pathway. The proper regulation of this pathway ensures controlled cell size and growth emphasizing the importance of the TSC-1/TSC-2 complex in cellular regulation.

Pathways

TSC-1 operates within the mTOR signaling pathway to influence cellular processes like autophagy and protein synthesis. It also relates to the PI3K/AKT pathway one that is involved in the regulation of cell survival and metabolism. By interacting with TSC-2 in these pathways TSC-1 modulates the inhibition of mTORC1 thereby impacting cellular homeostasis and growth.

Defects in TSC-1 can lead to tuberous sclerosis complex a condition characterized by benign tumors in multiple organs. Mutations in TSC-1 and its partner TSC-2 disrupt normal cellular functions leading to this disease. Additionally aberrations in the mTOR pathway influenced by TSC-1 malfunction have associations with certain cancers highlighting the importance of TSC-1 in maintaining cell proliferation and signaling balance.

Product protocols

For this product, it's our understanding that no specific protocols are required. You can visit:

Target data

Chemoattractant for eosinophils and basophils (PubMed : 10415065, PubMed : 10488147). Acts as a ligand for C-C chemokine receptor CCR3 which triggers Ca(2+) mobilization in eosinophils (PubMed : 10415065, PubMed : 10488147, PubMed : 11425309). Also acts as a ligand for CX3C chemokine receptor CX3CR1, inducing cell chemotaxis (PubMed : 20974991).
See full target information CCL26

Publications (7)

Recent publications for all applications. Explore the full list and refine your search

Frontiers in cell and developmental biology 13:1502073 PubMed39931245

2025

The immunological landscape of CCL26 invasive oral squamous cell carcinoma.

Applications

Unspecified application

Species

Unspecified reactive species

Lingyun Liu,Shuo Guan,Yizhuo Xue,Yijia He,Liang Ding,Yong Fu,Sheng Chen,Zhiyong Wang,Yi Wang

iScience 27:111255 PubMed39620128

2024

activates SLFN4MDSCs to accelerate gastric intestinal metaplasia.

Applications

Unspecified application

Species

Unspecified reactive species

Zhihong Zhao,Rui Liu,Ye Peng,Cun Li,Qian Li

3 Biotech 14:125 PubMed38577417

2024

LncRNA MRPL39 inhibits cell proliferation and migration by regulating miR-130/TSC1 axis in non-small cell lung cancer.

Applications

Unspecified application

Species

Unspecified reactive species

Qinghao Fan,Xianrong Bao,Han Zhao,Sichen Li

Acta dermato-venereologica 104:adv35401 PubMed38348729

2024

Lesional Infiltration of Eosinophils, Basophils, and M2 Macrophages Expressing Eotaxin-1 and Eotaxin-3 in Granuloma Faciale, but not in Erythema Elevatum Diutinum.

Applications

Unspecified application

Species

Unspecified reactive species

Nozomi Akai,Takashi Hashimoto,Manami Okuzawa,Satoshi Okuno,Takahiro Satoh

Acta biochimica et biophysica Sinica 53:612-619 PubMed33764366

2021

CCL26 is upregulated by nab-paclitaxel in pancreatic cancer-associated fibroblasts and promotes PDAC invasiveness through activation of the PI3K/AKT/mTOR pathway.

Applications

Unspecified application

Species

Unspecified reactive species

Xuemin Chen,Yong An,Yue Zhang,Dong Xu,Tongbing Chen,Yue Yang,Weibo Chen,Di Wu,Xiaoying Zhang

Journal of cellular and molecular medicine 25:3898-3911 PubMed33626208

2021

Construction of a robust prognostic model for adult adrenocortical carcinoma: Results from bioinformatics and real-world data.

Applications

Unspecified application

Species

Unspecified reactive species

Xi Tian,Wen-Hao Xu,Aihetaimujiang Anwaier,Hong-Kai Wang,Fang-Ning Wan,Da-Long Cao,Wen-Jie Luo,Guo-Hai Shi,Yuan-Yuan Qu,Hai-Liang Zhang,Ding-Wei Ye

Molecular medicine reports 17:952-960 PubMed29115630

2017

TIPE2 governs macrophage polarization via negative regulation of mTORC1.

Applications

Unspecified application

Species

Unspecified reactive species

Yuan Jiang,Qiang Li,Yuanyuan Zhang,Yuzhi Gao,Libing Jiang,Zhimin Chen
View all publications

Product promise

We are committed to supporting your work with high-quality reagents, and we're here for you every step of the way. In the unlikely event that one of our products does not perform as expected, you're protected by our Product Promise.
For full details, please see our Terms & Conditions

Please note: All products are 'FOR RESEARCH USE ONLY. NOT FOR USE IN DIAGNOSTIC OR THERAPEUTIC PROCEDURES'.

For licensing inquiries, please contact partnerships@abcam.com