JavaScript is disabled in your browser. Please enable JavaScript to view this website.
AB178696

Anti-TSEN54 antibody [EPR10062]

Be the first to review this product! Submit a review

|

(2 Publications)

Rabbit Recombinant Monoclonal TSEN54 antibody. Suitable for IHC-P, WB, ICC/IF and reacts with Human samples. Cited in 2 publications.

View Alternative Names

SEN54, TSEN54, tRNA-splicing endonuclease subunit Sen54, SEN54 homolog, tRNA-intron endonuclease Sen54, HsSEN54

3 Images
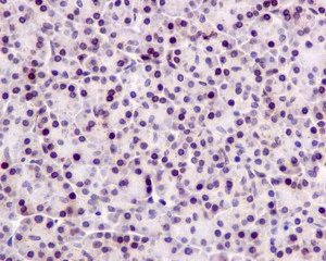
Immunohistochemistry (Formalin/PFA-fixed paraffin-embedded sections) - Anti-TSEN54 antibody [EPR10062] (AB178696)
  • IHC-P

Supplier Data

Immunohistochemistry (Formalin/PFA-fixed paraffin-embedded sections) - Anti-TSEN54 antibody [EPR10062] (AB178696)

Immunohistochemical analysis of paraffin-embedded Human pancreas tissue labeling TSEN54 with ab178696 at 1/50 dilution.

Perform heat mediated antigen retrieval with citrate buffer pH 6 before commencing with IHC staining protocol.

Immunocytochemistry/ Immunofluorescence - Anti-TSEN54 antibody [EPR10062] (AB178696)
  • ICC/IF

Supplier Data

Immunocytochemistry/ Immunofluorescence - Anti-TSEN54 antibody [EPR10062] (AB178696)

Immunofluorescent analysis of MCF7 cells labeling TSEN54 with ab178696 at 1/100 dilution.

Western blot - Anti-TSEN54 antibody [EPR10062] (AB178696)
  • WB

Supplier Data

Western blot - Anti-TSEN54 antibody [EPR10062] (AB178696)

All lanes:

Western blot - Anti-TSEN54 antibody [EPR10062] (ab178696) at 1/1000 dilution

Lane 1:

MCF7 cell lysate at 10 µg

Lane 2:

293T cell lysate at 10 µg

Lane 3:

Y79 cell lysate at 10 µg

Predicted band size: 59 kDa

false

  • Carrier free

    Anti-TSEN54 antibody [EPR10062] - BSA and Azide free

Key facts

Host species

Rabbit

Clonality

Monoclonal

Clone number

EPR10062

Isotype

IgG

Carrier free

No

Reacts with

Human

Applications

WB, IHC-P, ICC/IF

applications

Immunogen

The exact immunogen used to generate this antibody is proprietary information.

Reactivity data

{ "title": "Reactivity Data", "filters": { "stats": ["", "Species", "Dilution Info", "Notes"], "tabs": { "all-applications": {"fullname" : "All Applications", "shortname": "All Applications"}, "IHCP" : {"fullname" : "Immunohistochemistry (Formalin/PFA-fixed paraffin-embedded sections)", "shortname":"IHC-P"}, "IP" : {"fullname" : "Immunoprecipitation", "shortname":"IP"}, "FlowCyt" : {"fullname" : "Flow Cytometry", "shortname":"Flow Cyt"}, "WB" : {"fullname" : "Western blot", "shortname":"WB"}, "ICCIF" : {"fullname" : "Immunocytochemistry/ Immunofluorescence", "shortname":"ICC/IF"} }, "product-promise": { "all": "all", "testedAndGuaranteed": "tested", "guaranteed": "expected", "predicted": "predicted", "notRecommended": "not-recommended" } }, "values": { "Human": { "IHCP-species-checked": "testedAndGuaranteed", "IHCP-species-dilution-info": "1/50 - 1/100", "IHCP-species-notes": "<p></p>", "IP-species-checked": "notRecommended", "IP-species-dilution-info": "", "IP-species-notes": "<p></p>", "FlowCyt-species-checked": "notRecommended", "FlowCyt-species-dilution-info": "", "FlowCyt-species-notes": "<p></p>", "WB-species-checked": "testedAndGuaranteed", "WB-species-dilution-info": "1/1000 - 1/10000", "WB-species-notes": "<p></p>", "ICCIF-species-checked": "testedAndGuaranteed", "ICCIF-species-dilution-info": "1/100 - 1/250", "ICCIF-species-notes": "<p></p>" }, "Mouse": { "IHCP-species-checked": "predicted", "IHCP-species-dilution-info": "", "IHCP-species-notes": "", "IP-species-checked": "notRecommended", "IP-species-dilution-info": "", "IP-species-notes": "", "FlowCyt-species-checked": "notRecommended", "FlowCyt-species-dilution-info": "", "FlowCyt-species-notes": "", "WB-species-checked": "predicted", "WB-species-dilution-info": "", "WB-species-notes": "", "ICCIF-species-checked": "predicted", "ICCIF-species-dilution-info": "", "ICCIF-species-notes": "" }, "Rat": { "IHCP-species-checked": "predicted", "IHCP-species-dilution-info": "", "IHCP-species-notes": "", "IP-species-checked": "notRecommended", "IP-species-dilution-info": "", "IP-species-notes": "", "FlowCyt-species-checked": "notRecommended", "FlowCyt-species-dilution-info": "", "FlowCyt-species-notes": "", "WB-species-checked": "predicted", "WB-species-dilution-info": "", "WB-species-notes": "", "ICCIF-species-checked": "predicted", "ICCIF-species-dilution-info": "", "ICCIF-species-notes": "" } } }

Product details

Patented technology
Our RabMAb® technology is a patented hybridoma-based technology for making rabbit monoclonal antibodies. For details on our patents, please refer to RabMAb® patents.

What are the advantages of a recombinant monoclonal antibody?
This product is a recombinant monoclonal antibody, which offers several advantages including:

  • - High batch-to-batch consistency and reproducibility
  • - Improved sensitivity and specificity
  • - Long-term security of supply
  • - Animal-free batch production

For more information, read more on recombinant antibodies.

Properties and storage information

Form
Liquid
Purification technique
Affinity purification Protein A
Storage buffer
pH: 7.2 - 7.4 Preservative: 0.01% Sodium azide Constituents: PBS, 50% Tissue culture supernatant, 40% Glycerol (glycerin, glycerine), 0.05% BSA
Shipped at conditions
Blue Ice
Appropriate short-term storage duration
1-2 weeks
Appropriate short-term storage conditions
+4°C
Appropriate long-term storage conditions
-20°C
Aliquoting information
Upon delivery aliquot
Storage information
Avoid freeze / thaw cycle

Supplementary information

This supplementary information is collated from multiple sources and compiled automatically.

TSEN54 also known as tRNA splicing endonuclease subunit 54 is a protein involved in the processing of precursor tRNA molecules. It weighs approximately 58 kDa. TSEN54 is mainly expressed in various tissues throughout the body with notable expression in the central nervous system and the germline. It plays an essential role in the spliceosome where it participates in cleaving tRNA precursors to ensure the proper maturation and stability of tRNA molecules.
Biological function summary

TSEN54 functions as part of a multimeric complex known as the tRNA splicing endonuclease complex. This complex facilitates the excision of introns from precursor tRNA leading to the creation of fully functional tRNA molecules necessary for protein synthesis. TSEN54 is a core subunit of this complex working alongside other subunits like TSEN2 TSEN15 and TSEN34. These subunits coordinate to execute the precise nucleolytic activity required for this fundamental process.

Pathways

TSEN54 participates in critical RNA processing pathways such as the tRNA splicing pathway and RNA transport. These pathways ensure that tRNA molecules are correctly processed and exported from the nucleus to the cytoplasm allowing effective translation of genetic information. TSEN54 interacts with proteins involved in the tRNA modification and processing pathways such as CLP1 which is linked to the further processing and ligation of cleaved tRNA pieces.

TSEN54 has been closely associated with pontocerebellar hypoplasia particularly types 2A and 4 which are severe neurodegenerative disorders. Individuals with mutations in the TSEN54 gene exhibit significant neuronal development issues leading to symptoms like atrophy of the cerebellum and brainstem. These mutations are connected with alterations in related proteins such as TSEN2 and TSEN34 which also contribute to these disorders reflecting the interdependent nature of the tRNA splicing endonuclease complex in maintaining neural health.

Product protocols

For this product, it's our understanding that no specific protocols are required. You can visit:

Target data

Non-catalytic subunit of the tRNA-splicing endonuclease complex, a complex responsible for identification and cleavage of the splice sites in pre-tRNA. It cleaves pre-tRNA at the 5' and 3' splice sites to release the intron. The products are an intron and two tRNA half-molecules bearing 2',3' cyclic phosphate and 5'-OH termini. There are no conserved sequences at the splice sites, but the intron is invariably located at the same site in the gene, placing the splice sites an invariant distance from the constant structural features of the tRNA body. The tRNA splicing endonuclease is also involved in mRNA processing via its association with pre-mRNA 3'-end processing factors, establishing a link between pre-tRNA splicing and pre-mRNA 3'-end formation, suggesting that the endonuclease subunits function in multiple RNA-processing events.
See full target information TSEN54

Publications (2)

Recent publications for all applications. Explore the full list and refine your search

Genetics 224: PubMed36943791

2023

An unknown essential function of tRNA splicing endonuclease is linked to the integrated stress response and intron debranching.

Applications

Unspecified application

Species

Unspecified reactive species

Jennifer E Hurtig,Ambro van Hoof

American journal of human genetics 99:228-35 PubMed27392077

2016

Autosomal-Recessive Mutations in the tRNA Splicing Endonuclease Subunit TSEN15 Cause Pontocerebellar Hypoplasia and Progressive Microcephaly.

Applications

Unspecified application

Species

Unspecified reactive species

Martin W Breuss,Tipu Sultan,Kiely N James,Rasim O Rosti,Eric Scott,Damir Musaev,Bansri Furia,André Reis,Heinrich Sticht,Mohammed Al-Owain,Fowzan S Alkuraya,Miriam S Reuter,Rami Abou Jamra,Christopher R Trotta,Joseph G Gleeson
View all publications

Product promise

We are committed to supporting your work with high-quality reagents, and we're here for you every step of the way. In the unlikely event that one of our products does not perform as expected, you're protected by our Product Promise.
For full details, please see our Terms & Conditions

Please note: All products are 'FOR RESEARCH USE ONLY. NOT FOR USE IN DIAGNOSTIC OR THERAPEUTIC PROCEDURES'.

For licensing inquiries, please contact partnerships@abcam.com