JavaScript is disabled in your browser. Please enable JavaScript to view this website.
AB250070

Anti-TSEN54 antibody [EPR10062] - BSA and Azide free

Be the first to review this product! Submit a review

|

(1 Publication)

Rabbit Recombinant Monoclonal TSEN54 antibody. Carrier free. Suitable for IHC-P, ICC/IF, WB and reacts with Human samples. Cited in 1 publication.

View Alternative Names

SEN54, TSEN54, tRNA-splicing endonuclease subunit Sen54, SEN54 homolog, tRNA-intron endonuclease Sen54, HsSEN54

3 Images
Immunocytochemistry/ Immunofluorescence - Anti-TSEN54 antibody [EPR10062] - BSA and Azide free (AB250070)
  • ICC/IF

Supplier Data

Immunocytochemistry/ Immunofluorescence - Anti-TSEN54 antibody [EPR10062] - BSA and Azide free (AB250070)

This data was developed using ab178696, the same antibody clone in a different buffer formulation.

Immunofluorescent analysis of MCF7 cells labeling TSEN54 with ab178696 at 1/100 dilution.

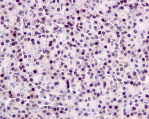
Immunohistochemistry (Formalin/PFA-fixed paraffin-embedded sections) - Anti-TSEN54 antibody [EPR10062] - BSA and Azide free (AB250070)
  • IHC-P

Supplier Data

Immunohistochemistry (Formalin/PFA-fixed paraffin-embedded sections) - Anti-TSEN54 antibody [EPR10062] - BSA and Azide free (AB250070)

This data was developed using ab178696, the same antibody clone in a different buffer formulation.

Immunohistochemical analysis of paraffin-embedded Human pancreas tissue labeling TSEN54 with ab178696 at 1/50 dilution.

Perform heat mediated antigen retrieval with citrate buffer pH 6 before commencing with IHC staining protocol.

Western blot - Anti-TSEN54 antibody [EPR10062] - BSA and Azide free (AB250070)
  • WB

Supplier Data

Western blot - Anti-TSEN54 antibody [EPR10062] - BSA and Azide free (AB250070)

This data was developed using ab178696, the same antibody clone in a different buffer formulation.

All lanes:

Western blot - Anti-TSEN54 antibody [EPR10062] (<a href='/en-us/products/primary-antibodies/tsen54-antibody-epr10062-ab178696'>ab178696</a>) at 1/1000 dilution

Lane 1:

MCF7 cell lysate at 10 µg

Lane 2:

293T cell lysate at 10 µg

Lane 3:

Y79 cell lysate at 10 µg

Predicted band size: 59 kDa

false

Key facts

Host species

Rabbit

Clonality

Monoclonal

Clone number

EPR10062

Isotype

IgG

Carrier free

Yes

Reacts with

Human

Applications

ICC/IF, WB, IHC-P

applications

Immunogen

The exact immunogen used to generate this antibody is proprietary information.

Reactivity data

{ "title": "Reactivity Data", "filters": { "stats": ["", "Species", "Dilution Info", "Notes"], "tabs": { "all-applications": {"fullname" : "All Applications", "shortname": "All Applications"}, "IHCP" : {"fullname" : "Immunohistochemistry (Formalin/PFA-fixed paraffin-embedded sections)", "shortname":"IHC-P"}, "ICCIF" : {"fullname" : "Immunocytochemistry/ Immunofluorescence", "shortname":"ICC/IF"}, "IP" : {"fullname" : "Immunoprecipitation", "shortname":"IP"}, "FlowCyt" : {"fullname" : "Flow Cytometry", "shortname":"Flow Cyt"}, "WB" : {"fullname" : "Western blot", "shortname":"WB"} }, "product-promise": { "all": "all", "testedAndGuaranteed": "tested", "guaranteed": "expected", "predicted": "predicted", "notRecommended": "not-recommended" } }, "values": { "Human": { "IHCP-species-checked": "testedAndGuaranteed", "IHCP-species-dilution-info": "", "IHCP-species-notes": "<p></p>", "ICCIF-species-checked": "testedAndGuaranteed", "ICCIF-species-dilution-info": "", "ICCIF-species-notes": "<p></p>", "IP-species-checked": "notRecommended", "IP-species-dilution-info": "", "IP-species-notes": "<p></p>", "FlowCyt-species-checked": "notRecommended", "FlowCyt-species-dilution-info": "", "FlowCyt-species-notes": "<p></p>", "WB-species-checked": "testedAndGuaranteed", "WB-species-dilution-info": "", "WB-species-notes": "<p></p>" }, "Mouse": { "IHCP-species-checked": "predicted", "IHCP-species-dilution-info": "", "IHCP-species-notes": "", "ICCIF-species-checked": "predicted", "ICCIF-species-dilution-info": "", "ICCIF-species-notes": "", "IP-species-checked": "notRecommended", "IP-species-dilution-info": "", "IP-species-notes": "", "FlowCyt-species-checked": "notRecommended", "FlowCyt-species-dilution-info": "", "FlowCyt-species-notes": "", "WB-species-checked": "predicted", "WB-species-dilution-info": "", "WB-species-notes": "" }, "Rat": { "IHCP-species-checked": "predicted", "IHCP-species-dilution-info": "", "IHCP-species-notes": "", "ICCIF-species-checked": "predicted", "ICCIF-species-dilution-info": "", "ICCIF-species-notes": "", "IP-species-checked": "notRecommended", "IP-species-dilution-info": "", "IP-species-notes": "", "FlowCyt-species-checked": "notRecommended", "FlowCyt-species-dilution-info": "", "FlowCyt-species-notes": "", "WB-species-checked": "predicted", "WB-species-dilution-info": "", "WB-species-notes": "" } } }

Product details

ab250070 is the carrier-free version of ab178696.

Patented technology
Our RabMAb® technology is a patented hybridoma-based technology for making rabbit monoclonal antibodies. For details on our patents, please refer to RabMAb® patents.

What are the advantages of a recombinant monoclonal antibody?
This product is a recombinant monoclonal antibody, which offers several advantages including:

  • - High batch-to-batch consistency and reproducibility
  • - Improved sensitivity and specificity
  • - Long-term security of supply
  • - Animal-free batch production

For more information, read more on recombinant antibodies.

Conjugation ready
Our carrier-free antibodies are typically supplied in a PBS-only formulation, purified and free of BSA, sodium azide and glycerol. This conjugation-ready format is designed for use with fluorochromes, metal isotopes, oligonucleotides, and enzymes, which makes them ideal for antibody labelling, functional and cell-based assays, flow-based assays (e.g. mass cytometry) and Multiplex Imaging applications.

Use our conjugation kits for antibody conjugates that are ready-to-use in as little as 20 minutes with 1 minute hands-on-time and 100% antibody recovery: available for fluorescent dyes, HRP, biotin and gold.

Compatibility
This product is compatible with the Maxpar® Antibody Labeling Kit from Fluidigm, without the need for antibody preparation. Maxpar® is a trademark of Fluidigm Canada Inc.

Properties and storage information

Form
Liquid
Purification technique
Affinity purification Protein A
Storage buffer
pH: 7.2 - 7.4 Constituents: PBS
Shipped at conditions
Blue Ice
Appropriate short-term storage conditions
+4°C
Appropriate long-term storage conditions
+4°C
Storage information
Do Not Freeze

Supplementary information

This supplementary information is collated from multiple sources and compiled automatically.

TSEN54 also known as tRNA splicing endonuclease subunit 54 is a protein involved in the processing of precursor tRNA molecules. It weighs approximately 58 kDa. TSEN54 is mainly expressed in various tissues throughout the body with notable expression in the central nervous system and the germline. It plays an essential role in the spliceosome where it participates in cleaving tRNA precursors to ensure the proper maturation and stability of tRNA molecules.
Biological function summary

TSEN54 functions as part of a multimeric complex known as the tRNA splicing endonuclease complex. This complex facilitates the excision of introns from precursor tRNA leading to the creation of fully functional tRNA molecules necessary for protein synthesis. TSEN54 is a core subunit of this complex working alongside other subunits like TSEN2 TSEN15 and TSEN34. These subunits coordinate to execute the precise nucleolytic activity required for this fundamental process.

Pathways

TSEN54 participates in critical RNA processing pathways such as the tRNA splicing pathway and RNA transport. These pathways ensure that tRNA molecules are correctly processed and exported from the nucleus to the cytoplasm allowing effective translation of genetic information. TSEN54 interacts with proteins involved in the tRNA modification and processing pathways such as CLP1 which is linked to the further processing and ligation of cleaved tRNA pieces.

TSEN54 has been closely associated with pontocerebellar hypoplasia particularly types 2A and 4 which are severe neurodegenerative disorders. Individuals with mutations in the TSEN54 gene exhibit significant neuronal development issues leading to symptoms like atrophy of the cerebellum and brainstem. These mutations are connected with alterations in related proteins such as TSEN2 and TSEN34 which also contribute to these disorders reflecting the interdependent nature of the tRNA splicing endonuclease complex in maintaining neural health.

Product protocols

For this product, it's our understanding that no specific protocols are required. You can visit:

Target data

Non-catalytic subunit of the tRNA-splicing endonuclease complex, a complex responsible for identification and cleavage of the splice sites in pre-tRNA. It cleaves pre-tRNA at the 5' and 3' splice sites to release the intron. The products are an intron and two tRNA half-molecules bearing 2',3' cyclic phosphate and 5'-OH termini. There are no conserved sequences at the splice sites, but the intron is invariably located at the same site in the gene, placing the splice sites an invariant distance from the constant structural features of the tRNA body. The tRNA splicing endonuclease is also involved in mRNA processing via its association with pre-mRNA 3'-end processing factors, establishing a link between pre-tRNA splicing and pre-mRNA 3'-end formation, suggesting that the endonuclease subunits function in multiple RNA-processing events.
See full target information TSEN54

Publications (1)

Recent publications for all applications. Explore the full list and refine your search

Journal of extracellular vesicles 3: PubMed25206958

2014

Recovery of extracellular vesicles from human breast milk is influenced by sample collection and vesicle isolation procedures.

Applications

Unspecified application

Species

Unspecified reactive species

Marijke I Zonneveld,Alain R Brisson,Martijn J C van Herwijnen,Sisareuth Tan,Chris H A van de Lest,Frank A Redegeld,Johan Garssen,Marca H M Wauben,Esther N M Nolte-'t Hoen
View all publications

Product promise

We are committed to supporting your work with high-quality reagents, and we're here for you every step of the way. In the unlikely event that one of our products does not perform as expected, you're protected by our Product Promise.
For full details, please see our Terms & Conditions

Please note: All products are 'FOR RESEARCH USE ONLY. NOT FOR USE IN DIAGNOSTIC OR THERAPEUTIC PROCEDURES'.

For licensing inquiries, please contact partnerships@abcam.com