JavaScript is disabled in your browser. Please enable JavaScript to view this website.
AB207567

Anti-TSG101 antibody [EPR7130(B)] - BSA and Azide free

Be the first to review this product! Submit a review

|

(1 Publication)

Rabbit Recombinant Monoclonal TSG101 antibody. Carrier free. Suitable for WB, IHC-P, ICC/IF, Flow Cyt (Intra) and reacts with Mouse, Rat, Human samples. Cited in 1 publication.

View Alternative Names

Tumor susceptibility gene 101 protein, ESCRT-I complex subunit TSG101, TSG101

9 Images
Immunohistochemistry (Formalin/PFA-fixed paraffin-embedded sections) - Anti-TSG101 antibody [EPR7130(B)] - BSA and Azide free (AB207567)
  • IHC-P

Supplier Data

Immunohistochemistry (Formalin/PFA-fixed paraffin-embedded sections) - Anti-TSG101 antibody [EPR7130(B)] - BSA and Azide free (AB207567)

This data was developed using ab125011, the same antibody clone in a different buffer formulation.
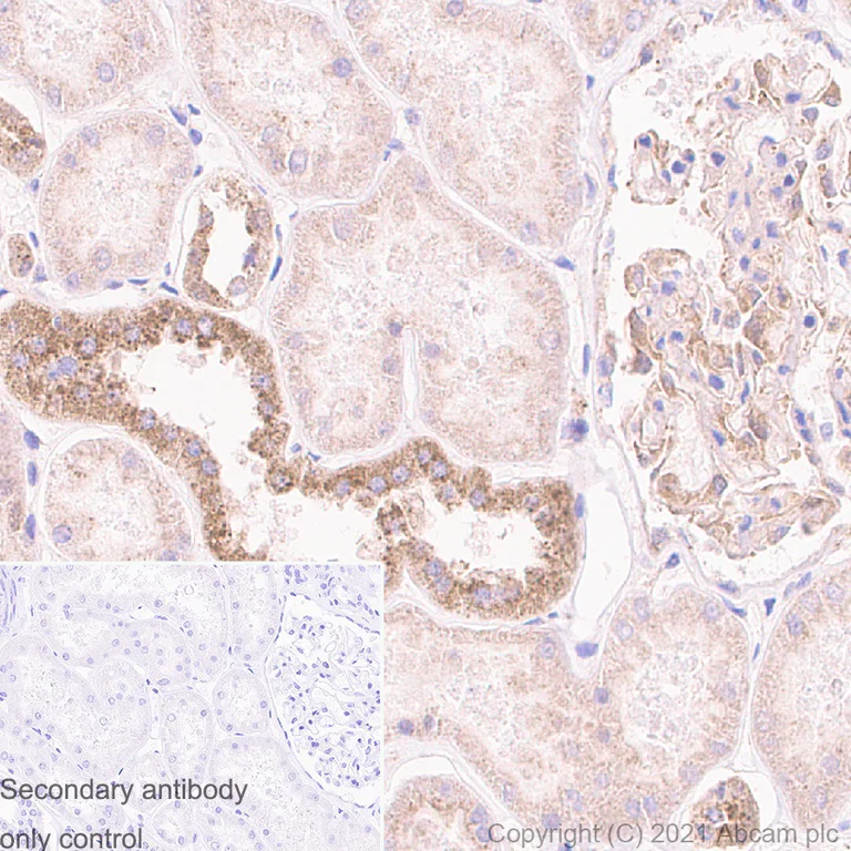
Immunohistochemistry (Formalin/PFA-fixed paraffin-embedded sections) analysis of human kidney tissue sections labeling TSG101 with Purified ab125011 at 1 : 300 dilution (0.73 µg/ml). Heat mediated antigen retrieval was performed using Heat mediated antigen retrieval using Bond™ Epitope Retrieval Solution 2 (pH 9.0) . Tissue was counterstained with Hematoxylin. Rabbit specific IHC polymer detection kit HRP/DAB (ab209101) secondary antibody was used. PBS instead of the primary antibody was used as the negative control.

Immunocytochemistry/ Immunofluorescence - Anti-TSG101 antibody [EPR7130(B)] - BSA and Azide free (AB207567)
  • ICC/IF

Lab

Immunocytochemistry/ Immunofluorescence - Anti-TSG101 antibody [EPR7130(B)] - BSA and Azide free (AB207567)

ab125011 staining TSG101 in HeLa cells. The cells were fixed with 100% methanol (5 min), permeabilised with 0.1% Triton x-100 for 5 minutes and then blocked with 1% BSA/10% normal goat serum/0.3M glycine in 0.1% PBS-Tween for 1h. The cells were then incubated overnight at +4°C with ab125011 at 1 μg/ml and ab7291, Mouse monoclonal [DM1A] to alpha Tubulin at 0.5 μg/ml. Cells were then incubated with ab150081, Goat polyclonal Secondary Antibody to Rabbit IgG - H&L (Alexa Fluor® 488), pre-adsorbed at 1/1000 dilution (shown in green) and ab150119, Goat polyclonal Secondary Antibody to Mouse IgG - H&L (Alexa Fluor® 647), pre-adsorbed at 1/1000 dilution (shown in red). Nuclear DNA was labelled with DAPI (shown in blue).Image was acquired with a high-content analyser (Operetta CLS, Perkin Elmer) and a maximum intensity projection of confocal sections is shown. This data was developed using ab125011, the same antibody clone in a different buffer formulation.

Immunohistochemistry (Formalin/PFA-fixed paraffin-embedded sections) - Anti-TSG101 antibody [EPR7130(B)] - BSA and Azide free (AB207567)
  • IHC-P

Supplier Data

Immunohistochemistry (Formalin/PFA-fixed paraffin-embedded sections) - Anti-TSG101 antibody [EPR7130(B)] - BSA and Azide free (AB207567)

This data was developed using ab125011, the same antibody clone in a different buffer formulation.
Immunohistochemistry (Formalin/PFA-fixed paraffin-embedded sections) analysis of human thyroid cancer tissue sections labeling TSG101 with Purified ab125011 at 1 : 300 dilution (0.73 µg/ml). Heat mediated antigen retrieval was performed using Heat mediated antigen retrieval using Bond™ Epitope Retrieval Solution 2 (pH 9.0) . Tissue was counterstained with Hematoxylin. Rabbit specific IHC polymer detection kit HRP/DAB (ab209101) secondary antibody was used. PBS instead of the primary antibody was used as the negative control.

Immunocytochemistry/ Immunofluorescence - Anti-TSG101 antibody [EPR7130(B)] - BSA and Azide free (AB207567)
  • ICC/IF

Supplier Data

Immunocytochemistry/ Immunofluorescence - Anti-TSG101 antibody [EPR7130(B)] - BSA and Azide free (AB207567)

This data was developed using ab125011, the same antibody clone in a different buffer formulation.
Immunocytochemistry analysis of Jurkat (Human T cell leukemia T lymphocyte) cells labeling TSG101 with Purified ab125011 at 1 : 50 dilution (4.5 µg/ml). Cells were fixed in 100% Methanol and permeabilized with 0.1% tritonX-100. Cells were counterstained with ab195889 Anti-alpha Tubulin antibody [DM1A] - Microtubule Marker (Alexa Fluor® 594) 1 : 200 (2.5 µg/ml). Goat anti rabbit IgG (Alexa Fluor® 488, ab150077) was used as the secondary antibody at 1 : 1000 (2 µg/ml) dilution. DAPI (blue) was used as nuclear counterstain. PBS instead of the primary antibody was used as the secondary antibody only control.

Flow Cytometry (Intracellular) - Anti-TSG101 antibody [EPR7130(B)] - BSA and Azide free (AB207567)
  • Flow Cyt (Intra)

Supplier Data

Flow Cytometry (Intracellular) - Anti-TSG101 antibody [EPR7130(B)] - BSA and Azide free (AB207567)

This data was developed using ab125011, the same antibody clone in a different buffer formulation.
Flow Cytometry analysis of HeLa (Human cervix adenocarcinoma epithelial cell) cells labelling TSG101 with Purified ab125011 at 1 : 20 dilution (10 µg/ml) (Red). Cells were fixed with 4% Paraformaldehyde and permeabilised with 90% Methanol. A Goat anti rabbit IgG (Alexa Fluor® 488, ab150077) secondary antibody was used at 1 : 2000. Isotype control - Rabbit monoclonal IgG (Black). Unlabelled control - Cell without incubation with primary antibody and secondary antibody (Blue).

Immunohistochemistry (Formalin/PFA-fixed paraffin-embedded sections) - Anti-TSG101 antibody [EPR7130(B)] - BSA and Azide free (AB207567)
  • IHC-P

Supplier Data

Immunohistochemistry (Formalin/PFA-fixed paraffin-embedded sections) - Anti-TSG101 antibody [EPR7130(B)] - BSA and Azide free (AB207567)

This data was developed using ab125011, the same antibody clone in a different buffer formulation.
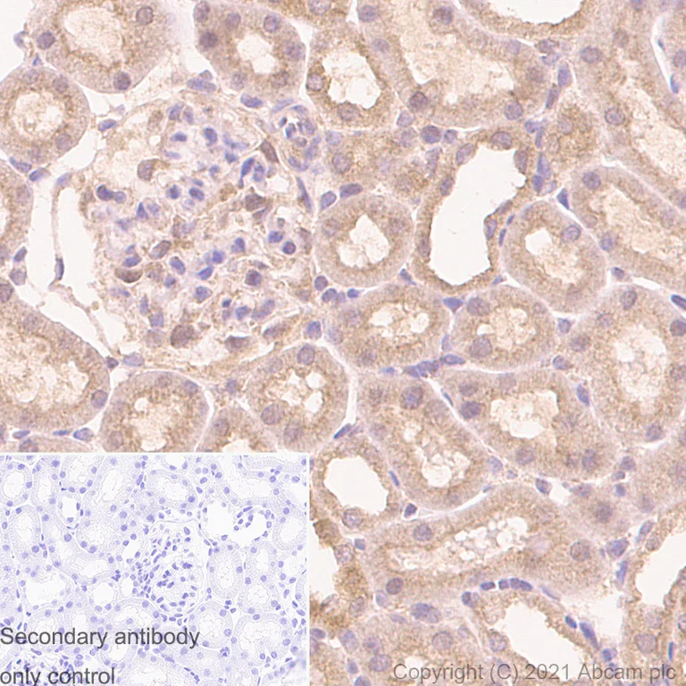
Immunohistochemistry (Formalin/PFA-fixed paraffin-embedded sections) analysis of rat kidney tissue sections labeling TSG101 with Purified ab125011 at 1 : 300 dilution (0.73 µg/ml). Heat mediated antigen retrieval was performed using Heat mediated antigen retrieval using Bond™ Epitope Retrieval Solution 2 (pH 9.0) . Tissue was counterstained with Hematoxylin. Rabbit specific IHC polymer detection kit HRP/DAB (ab209101) secondary antibody was used. PBS instead of the primary antibody was used as the negative control.

Immunohistochemistry (Formalin/PFA-fixed paraffin-embedded sections) - Anti-TSG101 antibody [EPR7130(B)] - BSA and Azide free (AB207567)
  • IHC-P

Supplier Data

Immunohistochemistry (Formalin/PFA-fixed paraffin-embedded sections) - Anti-TSG101 antibody [EPR7130(B)] - BSA and Azide free (AB207567)

This data was developed using ab125011, the same antibody clone in a different buffer formulation.
Immunohistochemistry (Formalin/PFA-fixed paraffin-embedded sections) analysis of mouse kidney tissue sections labeling TSG101 with Purified ab125011 at 1 : 300 dilution (0.73 µg/ml). Heat mediated antigen retrieval was performed using Heat mediated antigen retrieval using Bond™ Epitope Retrieval Solution 2 (pH 9.0) . Tissue was counterstained with Hematoxylin. Rabbit specific IHC polymer detection kit HRP/DAB (ab209101) secondary antibody was used. PBS instead of the primary antibody was used as the negative control.

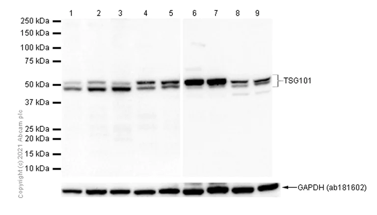
Western blot - Anti-TSG101 antibody [EPR7130(B)] - BSA and Azide free (AB207567)
  • WB

Lab

Western blot - Anti-TSG101 antibody [EPR7130(B)] - BSA and Azide free (AB207567)

This data was developed using ab125011, the same antibody clone in a different buffer formulation.

Blocking and dilution buffer : 5% NFDM/TBST.

The doublet are consistent with what have been described in the literature (PMID : 27882925, 31684046, 32932791, 11427703).

Image produced using the purified version.

All lanes:

Western blot - Anti-TSG101 antibody [EPR7130(B)] (<a href='/en-us/products/primary-antibodies/tsg101-antibody-epr7130b-ab125011'>ab125011</a>) at 1/1000 dilution

Lane 1:

K-562 (Human chronic myelogenous leukemia lymphoblast) whole cell lysate at 20 µg

Lane 2:

Jurkat (Human T cell leukemia T lymphocyte) whole cell lysate at 20 µg

Lane 3:

SH-SY5Y (Human neuroblastoma epithelial cell) whole cell lysate at 20 µg

Lane 4:

NIH/3T3 (Mouse embryonic fibroblast) whole cell lysate at 20 µg

Lane 5:

PC-12 (Rat adrenal gland pheochromocytoma) whole cell lysate at 20 µg

Lane 6:

Mouse heart lysate at 20 µg

Lane 7:

Rat heart lysate at 20 µg

Lane 8:

Mouse brain lysate at 20 µg

Lane 9:

Rat brain lysate at 20 µg

Secondary

All lanes:

Western blot - Goat Anti-Rabbit IgG H&L (HRP) (<a href='/en-us/products/secondary-antibodies/goat-rabbit-igg-h-l-hrp-ab97051'>ab97051</a>) at 1/20000 dilution

Predicted band size: 44 kDa

Observed band size: 47 kDa,52 kDa

false

Western blot - Anti-TSG101 antibody [EPR7130(B)] - BSA and Azide free (AB207567)
  • WB

Lab

Western blot - Anti-TSG101 antibody [EPR7130(B)] - BSA and Azide free (AB207567)

This data was developed using ab125011, the same antibody clone in a different buffer formulation. Different batches of ab125011 were tested on Mouse heart lysate at 1.0 μg/ml. 15 μg of lysate was loaded in each lane. Bands observed at 45 kDa.

This data was generarted using the unpurified format.

All lanes:

Western blot - Anti-TSG101 antibody [EPR7130(B)] (<a href='/en-us/products/primary-antibodies/tsg101-antibody-epr7130b-ab125011'>ab125011</a>)

Predicted band size: 44 kDa

false

  • Unconjugated

    Anti-TSG101 antibody [EPR7130(B)]

  • 660 APC

    APC Anti-TSG101 antibody [EPR7130(B)]

  • Carrier free

    Anti-TSG101 [EPR7130(B)] – Goat IgG (Chimeric) – BSA and Azide Free

  • 519 Alexa Fluor® 488

    Alexa Fluor® 488 Anti-TSG101 antibody [EPR7130(B)]

  • 578 PE

    PE Anti-TSG101 antibody [EPR7130(B)]

  • 665 Alexa Fluor® 647

    Alexa Fluor® 647 Anti-TSG101 antibody [EPR7130(B)]

  • 565 Alexa Fluor® 555

    Alexa Fluor® 555 Anti-TSG101 antibody [EPR7130(B)]

  • Carrier free

    Anti-TSG101 antibody [EPR7130(B)] - Low endotoxin, Azide free

Key facts

Host species

Rabbit

Clonality

Monoclonal

Clone number

EPR7130(B)

Isotype

IgG

Carrier free

Yes

Reacts with

Human, Mouse, Rat

Applications

Flow Cyt (Intra), WB, ICC/IF, IHC-P

applications

Immunogen

The exact immunogen used to generate this antibody is proprietary information.

Reactivity data

{ "title": "Reactivity Data", "filters": { "stats": ["", "Species", "Dilution Info", "Notes"], "tabs": { "all-applications": {"fullname" : "All Applications", "shortname": "All Applications"}, "WB" : {"fullname" : "Western blot", "shortname":"WB"}, "IHCP" : {"fullname" : "Immunohistochemistry (Formalin/PFA-fixed paraffin-embedded sections)", "shortname":"IHC-P"}, "ICCIF" : {"fullname" : "Immunocytochemistry/ Immunofluorescence", "shortname":"ICC/IF"}, "FlowCytIntra" : {"fullname" : "Flow Cytometry (Intracellular)", "shortname":"Flow Cyt (Intra)"} }, "product-promise": { "all": "all", "testedAndGuaranteed": "tested", "guaranteed": "expected", "predicted": "predicted", "notRecommended": "not-recommended" } }, "values": { "Human": { "WB-species-checked": "testedAndGuaranteed", "WB-species-dilution-info": "", "WB-species-notes": "<p></p>", "IHCP-species-checked": "testedAndGuaranteed", "IHCP-species-dilution-info": "", "IHCP-species-notes": "<p></p>", "ICCIF-species-checked": "testedAndGuaranteed", "ICCIF-species-dilution-info": "", "ICCIF-species-notes": "<p>This product gave a positive signal in HeLa fixed with 100% methanol (5 min).</p>", "FlowCytIntra-species-checked": "testedAndGuaranteed", "FlowCytIntra-species-dilution-info": "", "FlowCytIntra-species-notes": "<p></p>" }, "Mouse": { "WB-species-checked": "testedAndGuaranteed", "WB-species-dilution-info": "", "WB-species-notes": "<p></p>", "IHCP-species-checked": "guaranteed", "IHCP-species-dilution-info": "", "IHCP-species-notes": "", "ICCIF-species-checked": "guaranteed", "ICCIF-species-dilution-info": "", "ICCIF-species-notes": "", "FlowCytIntra-species-checked": "guaranteed", "FlowCytIntra-species-dilution-info": "", "FlowCytIntra-species-notes": "" }, "Rat": { "WB-species-checked": "testedAndGuaranteed", "WB-species-dilution-info": "", "WB-species-notes": "<p></p>", "IHCP-species-checked": "guaranteed", "IHCP-species-dilution-info": "", "IHCP-species-notes": "", "ICCIF-species-checked": "guaranteed", "ICCIF-species-dilution-info": "", "ICCIF-species-notes": "", "FlowCytIntra-species-checked": "guaranteed", "FlowCytIntra-species-dilution-info": "", "FlowCytIntra-species-notes": "" } } }

Product details

ab207567 is the carrier-free version of ab125011.

Patented technology
Our RabMAb® technology is a patented hybridoma-based technology for making rabbit monoclonal antibodies. For details on our patents, please refer to RabMAb® patents.

What are the advantages of a recombinant monoclonal antibody?
This product is a recombinant monoclonal antibody, which offers several advantages including:

  • - High batch-to-batch consistency and reproducibility
  • - Improved sensitivity and specificity
  • - Long-term security of supply
  • - Animal-free batch production

For more information, read more on recombinant antibodies.

Conjugation ready
Our carrier-free antibodies are typically supplied in a PBS-only formulation, purified and free of BSA, sodium azide and glycerol. This conjugation-ready format is designed for use with fluorochromes, metal isotopes, oligonucleotides, and enzymes, which makes them ideal for antibody labelling, functional and cell-based assays, flow-based assays (e.g. mass cytometry) and Multiplex Imaging applications.

Use our conjugation kits for antibody conjugates that are ready-to-use in as little as 20 minutes with 1 minute hands-on-time and 100% antibody recovery: available for fluorescent dyes, HRP, biotin and gold.

Compatibility
This product is compatible with the Maxpar® Antibody Labeling Kit from Fluidigm, without the need for antibody preparation. Maxpar® is a trademark of Fluidigm Canada Inc.

Properties and storage information

Form
Liquid
Purification technique
Affinity purification Protein A
Storage buffer
pH: 7.2 - 7.4 Constituents: PBS
Shipped at conditions
Blue Ice
Appropriate short-term storage conditions
+4°C
Appropriate long-term storage conditions
+4°C
Storage information
Do Not Freeze

Supplementary information

This supplementary information is collated from multiple sources and compiled automatically.

TSG101 also known as Tumor Susceptibility Gene 101 is a protein involved in intracellular trafficking specifically notable within the process of endosomal sorting. It is a component of the ESCRT-I (Endosomal Sorting Complex Required for Transport-I) complex. TSG101 is approximately 46 kDa and is expressed ubiquitously across various tissues. The mechanistic function of TSG101 involves the recognition and ubiquitination of cargo proteins an important step in the formation of multivesicular bodies.
Biological function summary

TSG101 plays a critical role in the sorting and trafficking of proteins destined for lysosomal degradation or recycling back to the plasma membrane. It is an essential part of the ESCRT machinery which also includes other components like VPS37 and VPS28. TSG101 interacts with specific domains and motifs on target proteins facilitating the recognition and recruitment of these proteins into vesicles. Its involvement in membrane budding and scission makes it important for maintaining cellular homeostasis and protein quality control.

Pathways

TSG101 is integrally involved in the ESCRT pathway and is associated with processes like viral budding and cytokinesis. Within these pathways it collaborates with proteins such as ALIX and the ESCRT-II component VPS25 to mediate vesicle formation and facilitate the trafficking of ubiquitinated cargo. The ESCRT pathway is vital in cellular responses such as membrane repair and is important for the life cycle of certain enveloped viruses which utilize host cell machinery for budding.

Defects or alterations in TSG101 expression have correlations with tumor progression and neurodegenerative diseases. Disruptions in the function of TSG101 can affect cellular processes potentially contributing to conditions like cancer and Alzheimer's disease. For example the aberrant activity of TSG101 may interact with proteins like Hrs and ubiquitin ligases Mdm2 in the context of oncogenic signaling pathways which can drive tumor growth and metastasis. Understanding these interactions is key to uncovering potential therapeutic targets within these diseases.

Product protocols

For this product, it's our understanding that no specific protocols are required. You can visit:

Target data

Component of the ESCRT-I complex, a regulator of vesicular trafficking process. Binds to ubiquitinated cargo proteins and is required for the sorting of endocytic ubiquitinated cargos into multivesicular bodies (MVBs). Mediates the association between the ESCRT-0 and ESCRT-I complex. Required for completion of cytokinesis; the function requires CEP55. May be involved in cell growth and differentiation. Acts as a negative growth regulator. Involved in the budding of many viruses through an interaction with viral proteins that contain a late-budding motif P-[ST]-A-P. This interaction is essential for viral particle budding of numerous retroviruses. Required for the exosomal release of SDCBP, CD63 and syndecan (PubMed : 22660413). It may also play a role in the extracellular release of microvesicles that differ from the exosomes (PubMed : 22315426).
See full target information Tumor susceptibility gene 101 protein

Publications (1)

Recent publications for all applications. Explore the full list and refine your search

Journal of clinical medicine 12: PubMed37445249

2023

Specific Features of Stromal Cells Isolated from the Two Layers of Subcutaneous Adipose Tissue: Roles of Their Secretion on Angiogenesis and Neurogenesis.

Applications

Unspecified application

Species

Unspecified reactive species

Jérôme Laloze,Marie Lacoste,Faris Marouf,Gilles Carpentier,Laetitia Vignaud,Benoit Chaput,Audrey Varin,Alexis Desmoulière,Amandine Rovini
View all publications

Product promise

We are committed to supporting your work with high-quality reagents, and we're here for you every step of the way. In the unlikely event that one of our products does not perform as expected, you're protected by our Product Promise.
For full details, please see our Terms & Conditions

Please note: All products are 'FOR RESEARCH USE ONLY. NOT FOR USE IN DIAGNOSTIC OR THERAPEUTIC PROCEDURES'.

For licensing inquiries, please contact partnerships@abcam.com