JavaScript is disabled in your browser. Please enable JavaScript to view this website.
AB64378

Anti-TSH antibody

Be the first to review this product! Submit a review

|

(3 Publications)

Rabbit Polyclonal GLHA antibody. Suitable for IHC-P and reacts with Human samples. Cited in 3 publications.

View Alternative Names

Glycoprotein hormones alpha chain, Anterior pituitary glycoprotein hormones common subunit alpha, Choriogonadotropin alpha chain, Chorionic gonadotrophin subunit alpha, Follicle-stimulating hormone alpha chain, Follitropin alpha chain, Luteinizing hormone alpha chain, Lutropin alpha chain, Thyroid-stimulating hormone alpha chain, Thyrotropin alpha chain, CG-alpha, FSH-alpha, LSH-alpha, TSH-alpha, CGA, CG-ALPHA, CGA, Chorionic gonadotropin alpha polypeptide, FSH A, GPHA 1, Glycoprotein hormones alpha polypeptide, TSH beta, TSHA, Thyroid stimulating hormone beta subunit, Thyrotropin beta subunit

1 Images
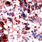
Immunohistochemistry (Formalin/PFA-fixed paraffin-embedded sections) - Anti-TSH antibody (AB64378)
  • IHC-P

Unknown

Immunohistochemistry (Formalin/PFA-fixed paraffin-embedded sections) - Anti-TSH antibody (AB64378)

ab64378, at a dilution of 1/200, staining TSH in formalin fixed, paraffin embedded human anterior pituitary tissue by Immunohistochemistry.

Key facts

Host species

Rabbit

Clonality

Polyclonal

Isotype

IgG

Carrier free

No

Reacts with

Human

Applications

IHC-P

applications

Immunogen

The exact immunogen used to generate this antibody is proprietary information.

Reactivity data

{ "title": "Reactivity Data", "filters": { "stats": ["", "Species", "Dilution Info", "Notes"], "tabs": { "all-applications": {"fullname" : "All Applications", "shortname": "All Applications"}, "IHCP" : {"fullname" : "Immunohistochemistry (Formalin/PFA-fixed paraffin-embedded sections)", "shortname":"IHC-P"} }, "product-promise": { "all": "all", "testedAndGuaranteed": "tested", "guaranteed": "expected", "predicted": "predicted", "notRecommended": "not-recommended" } }, "values": { "Human": { "IHCP-species-checked": "testedAndGuaranteed", "IHCP-species-dilution-info": "1/200", "IHCP-species-notes": "<p></p>" } } }

Product details

Cytoplasmic staining pattern

Properties and storage information

Form
Liquid
Purification technique
Affinity purification Immunogen
Storage buffer
pH: 7.6 Preservative: 0.1% Sodium azide Constituents: PBS, 1% BSA
Shipped at conditions
Blue Ice
Appropriate short-term storage conditions
+4°C
Appropriate long-term storage conditions
-20°C
Aliquoting information
Upon delivery aliquot
Storage information
Avoid freeze / thaw cycle

Supplementary information

This supplementary information is collated from multiple sources and compiled automatically.

TSH also known as thyrotropin or thyroid-stimulating hormone is a glycoprotein hormone with a molecular mass around 28 kDa. It is produced and secreted by the anterior pituitary gland. TSH plays a central role in the endocrine system by stimulating the thyroid gland to release thyroid hormones. These hormones are important for maintaining the body's metabolism growth and development.
Biological function summary

Thyroid-stimulating hormone acts by binding to receptors on the surface of thyroid follicular cells. This binding stimulates synthesis and secretion of thyroxine (T4) and triiodothyronine (T3). TSH is part of the hypothalamic-pituitary-thyroid axis a feedback loop that involves the hypothalamus and pituitary gland to regulate thyroid hormone levels. This axis is vital for maintaining metabolic stability in the body.

Pathways

Thyroid-stimulating hormone plays a significant role in the hypothalamic-pituitary-thyroid (HPT) axis. This pathway regulates the synthesis and release of thyroid hormones involving three main components: thyrotropin-releasing hormone (TRH) from the hypothalamus TSH from the pituitary and thyroid hormones from the thyroid gland. These components work together to ensure proper metabolic homeostasis. Additionally TSH impacts the JAK-STAT signaling pathway influencing cell proliferation and immunity response.

Thyroid-stimulating hormone is closely associated with conditions like Hashimoto's thyroiditis and Graves' disease. In Hashimoto's an autoimmune disorder antibodies attack the thyroid often leading to elevated TSH levels as the body attempts to stimulate the underactive thyroid. In contrast Graves' disease shows reduced TSH levels due to the thyroid being overactive. TSH measurement helps in diagnosing these conditions and understanding the dysregulation of thyroid hormones in these patients.

Product protocols

For this product, it's our understanding that no specific protocols are required. You can visit:

Target data

Shared alpha chain of the active heterodimeric glycoprotein hormones thyrotropin/thyroid stimulating hormone/TSH, lutropin/luteinizing hormone/LH, follitropin/follicle stimulating hormone/FSH and choriogonadotropin/CG. These hormones bind specific receptors on target cells that in turn activate downstream signaling pathways.
See full target information CGA

Additional targets

TSH

Publications (3)

Recent publications for all applications. Explore the full list and refine your search

Endocrine-related cancer 31: PubMed37870923

2023

Сytotoxic T lymphocyte-associated protein 4 (CTLA4) is overexpressed in a subset of prolactin- and growth hormone-secreting pituitary adenomas.

Applications

Unspecified application

Species

Unspecified reactive species

Elena Sabini,Amna Khan,Patrizio Caturegli

Cell reports 40:111223 PubMed36001971

2022

Pituitary adenomas evade apoptosis via noxa deregulation in Cushing's disease.

Applications

Unspecified application

Species

Unspecified reactive species

David T Asuzu,Reinier Alvarez,Patrick A Fletcher,Debjani Mandal,Kory Johnson,Weiwei Wu,Abdel Elkahloun,Paul Clavijo,Clint Allen,Dragan Maric,Abhik Ray-Chaudhury,Sharika Rajan,Zied Abdullaev,Diana Nwokoye,Kenneth Aldape,Lynnette K Nieman,Constantine Stratakis,Stanko S Stojilkovic,Prashant Chittiboina

Pituitary 18:31-41 PubMed24402129

2014

Expression of the pituitary stem/progenitor marker GFRα2 in human pituitary adenomas and normal pituitary.

Applications

Unspecified application

Species

Unspecified reactive species

Nestoras Mathioudakis,Ram Sundaresh,Alexandra Larsen,William Ruff,Jennifer Schiller,Hugo Guerrero-Cázares,Peter Burger,Roberto Salvatori,Alfredo Quiñones-Hinojosa
View all publications

Product promise

We are committed to supporting your work with high-quality reagents, and we're here for you every step of the way. In the unlikely event that one of our products does not perform as expected, you're protected by our Product Promise.
For full details, please see our Terms & Conditions

Please note: All products are 'FOR RESEARCH USE ONLY. NOT FOR USE IN DIAGNOSTIC OR THERAPEUTIC PROCEDURES'.

For licensing inquiries, please contact partnerships@abcam.com