JavaScript is disabled in your browser. Please enable JavaScript to view this website.
AB27974

Anti-TSH Receptor/TSH-R antibody [4C1]

Be the first to review this product! Submit a review

|

(6 Publications)

Mouse Monoclonal TSH Receptor/TSH-R antibody. Suitable for IHC-P and reacts with Human samples. Cited in 6 publications.

View Alternative Names

LGR3, TSHR, Thyrotropin receptor, Thyroid-stimulating hormone receptor, TSH-R

1 Images
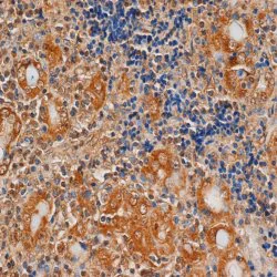
Immunohistochemistry (Formalin/PFA-fixed paraffin-embedded sections) - Anti-TSH Receptor/TSH-R antibody [4C1] (AB27974)
  • IHC-P

Unknown

Immunohistochemistry (Formalin/PFA-fixed paraffin-embedded sections) - Anti-TSH Receptor/TSH-R antibody [4C1] (AB27974)

ab27974 staining TSH Receptor/TSH-R in Human thyroid tissue by Immunohistochemistry (Formalin/PFA-fixed paraffin-embedded sections).

Key facts

Host species

Mouse

Clonality

Monoclonal

Clone number

4C1

Isotype

IgG2a

Carrier free

No

Reacts with

Human

Applications

IHC-P

applications

Immunogen

The exact immunogen used to generate this antibody is proprietary information.

Epitope

Ab27974 reacts with an epitope located in the extracellular region of TSH receptor.

Reactivity data

{ "title": "Reactivity Data", "filters": { "stats": ["", "Species", "Dilution Info", "Notes"], "tabs": { "all-applications": {"fullname" : "All Applications", "shortname": "All Applications"}, "ELISA" : {"fullname" : "ELISA", "shortname":"ELISA"}, "IHCP" : {"fullname" : "Immunohistochemistry (Formalin/PFA-fixed paraffin-embedded sections)", "shortname":"IHC-P"} }, "product-promise": { "all": "all", "testedAndGuaranteed": "tested", "guaranteed": "expected", "predicted": "predicted", "notRecommended": "not-recommended" } }, "values": { "Human": { "ELISA-species-checked": "notRecommended", "ELISA-species-dilution-info": "", "ELISA-species-notes": "<p></p>", "IHCP-species-checked": "testedAndGuaranteed", "IHCP-species-dilution-info": "", "IHCP-species-notes": "<p>Antigen retrieval is not required.</p>" } } }

Have you thought about this alternative?

AB218108

Anti-TSH Receptor/TSH-R antibody [EPR19751]

0
0 Reviews
View product

We’re constantly upgrading our range to offer the highest quality products. We have selected this alternative product for your review because it gives improved performance, is easier and more convenient to use, or is available faster.

Properties and storage information

Form
Liquid
Purification technique
Affinity purification Protein G
Purification notes
Ab27974 was purified by affinity chromatography, from tissue culture supernatant.
Storage buffer
pH: 7.4 Preservative: 0.09% Sodium azide Constituents: PBS
Shipped at conditions
Blue Ice
Appropriate short-term storage duration
1-2 weeks
Appropriate short-term storage conditions
+4°C
Appropriate long-term storage conditions
-20°C
Aliquoting information
Upon delivery aliquot

Supplementary information

This supplementary information is collated from multiple sources and compiled automatically.

The TSH Receptor (TSH-R) also known as thyrotropin receptor is an important protein in the regulation of the thyroid gland. Its molecular mass is approximately 84 kDa. TSH-R is predominantly expressed on the surface of thyroid follicular cells. This receptor functions mechanically by binding thyroid-stimulating hormone (TSH) initiating a cascade that increases the production and release of thyroid hormones such as thyroxine (T4) and triiodothyronine (T3). This receptor is critical in maintaining proper thyroid function.
Biological function summary

TSH-R plays an important role in the regulation of metabolic processes. As part of the endocrine system the TSH-R interacts with TSH secreted by the anterior pituitary modulating signaling pathways that contribute to cell growth differentiation and hormone production in the thyroid gland. TSH-R is a component of the G protein-coupled receptor family sharing structural similarities with other receptors in this group. Additionally its activation influences the synthesis of both T4 and T3 which are essential for normal development metabolism and thermoregulation.

Pathways

The TSH-R is important in the cyclic AMP (cAMP) signaling pathway. Upon TSH binding the receptor activates adenylate cyclase via the Gs protein resulting in cAMP production. This activation influences several downstream processes that promote thyroid hormone synthesis and secretion. Furthermore TSH-R engages in cross-talk with other pathways related to cell proliferation and survival. The receptor is linked with proteins like G proteins that mediate its signaling effects integrating into the broader network of hormonal regulation.

TSH-R is strongly associated with autoimmune thyroid diseases particularly Graves' disease and Hashimoto's thyroiditis. In Graves’ disease stimulating antibodies known as thyroid-stimulating immunoglobulins (TSI) mimic TSH and activate the TSH-R causing overproduction of thyroid hormones and leading to hyperthyroidism. In Hashimoto's thyroiditis TSH-R participates indirectly as autoantibodies can lead to receptor destruction and subsequent hypothyroidism. These conditions often involve interactions with additional immune-related proteins such as T cells and cytokines affecting overall immune tolerance in the thyroid gland.

Product protocols

For this product, it's our understanding that no specific protocols are required. You can visit:

Target data

Receptor for the thyroid-stimulating hormone (TSH) or thyrotropin (PubMed : 11847099, PubMed : 12045258). Also acts as a receptor for the heterodimeric glycoprotein hormone (GPHA2 : GPHB5) or thyrostimulin (PubMed : 12045258). The activity of this receptor is mediated by G proteins which activate adenylate cyclase (PubMed : 11847099). Plays a central role in controlling thyroid cell metabolism (By similarity).
See full target information TSHR

Publications (6)

Recent publications for all applications. Explore the full list and refine your search

International journal of molecular sciences 22: PubMed34071318

2021

The Amino Acid Transporter Mct10/Tat1 Is Important to Maintain the TSH Receptor at Its Canonical Basolateral Localization and Assures Regular Turnover of Thyroid Follicle Cells in Male Mice.

Applications

Unspecified application

Species

Unspecified reactive species

Vaishnavi Venugopalan,Alaa Al-Hashimi,Jonas Weber,Maren Rehders,Maria Qatato,Eva K Wirth,Ulrich Schweizer,Heike Heuer,François Verrey,Klaudia Brix

Oncology letters 14:7506-7512 PubMed29344196

2017

Downregulated expression of TSHR is associated with distant metastasis in thyroid cancer.

Applications

Unspecified application

Species

Unspecified reactive species

Tianrun Liu,Qianqian Men,Xuan Su,Weichao Chen,Lan Zou,Qiuli Li,Ming Song,Dian Ouyang,Yanfeng Chen,Zhaoqu Li,Xiaoyan Fu,Ankui Yang

Molecular and clinical oncology 7:315-321 PubMed28781809

2017

A novel protein expression signature differentiates benign lipomas from well-differentiated liposarcomas.

Applications

Unspecified application

Species

Unspecified reactive species

Quang Mather,Jonathon Priego,Kristi Ward,Verma Kundan,Dat Tran,Alok Dwivedi,Brad A Bryan

Oncology letters 12:585-590 PubMed27347184

2016

Isolated double adrenocorticotropic hormone-secreting pituitary adenomas: A case report and review of the literature.

Applications

IHC-P

Species

Human

Jiujun Pu,Zhiming Wang,Hui Zhou,Ailing Zhong,Kai Jin,Lunliang Ruan,Gang Yang

Proteomics 12:3580-9 PubMed23071080

2012

Proteomic analysis of the maternal protein restriction rat model for schizophrenia: identification of translational changes in hormonal signaling pathways and glutamate neurotransmission.

Applications

Unspecified application

Species

Unspecified reactive species

Paul C Guest,Sebastian Urday,Dan Ma,Viktoria Stelzhammer,Laura W Harris,Bob Amess,Sandra Pietsch,Christin Oheim,Susan E Ozanne,Sabine Bahn

The American journal of pathology 161:195-206 PubMed12107104

2002

Expression of IP-10/CXCL10 and MIG/CXCL9 in the thyroid and increased levels of IP-10/CXCL10 in the serum of patients with recent-onset Graves' disease.

Applications

Unspecified application

Species

Unspecified reactive species

Paola Romagnani,Mario Rotondi,Elena Lazzeri,Laura Lasagni,Michela Francalanci,Andrea Buonamano,Stefano Milani,Paolo Vitti,Luca Chiovato,Massimo Tonacchera,Antonio Bellastella,Mario Serio
View all publications

Product promise

We are committed to supporting your work with high-quality reagents, and we're here for you every step of the way. In the unlikely event that one of our products does not perform as expected, you're protected by our Product Promise.
For full details, please see our Terms & Conditions

Associated Products

Select an associated product type
Alternative Product
Primary Antibodies

AB218329

Anti-TSH Receptor/TSH-R antibody [SPM222]

primary-antibodies

tsh-receptor-tsh-r-antibody-spm222-ab218329

0

(0 reviews)

Alternative Product
Primary Antibodies

AB202960

Anti-TSH Receptor/TSH-R antibody

primary-antibodies

tsh-receptor-tsh-r-antibody-ab202960

0

(0 reviews)

Alternative Product
Primary Antibodies

AB188902

Anti-TSH Receptor/TSH-R antibody - C-terminal

primary-antibodies

tsh-receptor-tsh-r-antibody-c-terminal-ab188902

4

(1 reviews)

Alternative Product
Primary Antibodies

AB218328

Anti-TSH Receptor/TSH-R antibody [SPM223]

primary-antibodies

tsh-receptor-tsh-r-antibody-spm223-ab218328

0

(0 reviews)

Please note: All products are 'FOR RESEARCH USE ONLY. NOT FOR USE IN DIAGNOSTIC OR THERAPEUTIC PROCEDURES'.

For licensing inquiries, please contact partnerships@abcam.com