JavaScript is disabled in your browser. Please enable JavaScript to view this website.
AB251559

Anti-TSH Receptor/TSH-R antibody [EPR19751] - BSA and Azide free

Be the first to review this product! Submit a review

|

(1 Publication)

Rabbit Recombinant Monoclonal TSH Receptor/TSH-R antibody. Carrier free. Suitable for IHC-P and reacts with Human samples. Cited in 1 publication.

View Alternative Names

LGR3, TSHR, Thyrotropin receptor, Thyroid-stimulating hormone receptor, TSH-R

5 Images
Immunohistochemistry (Formalin/PFA-fixed paraffin-embedded sections) - Anti-TSH Receptor/TSH-R antibody [EPR19751] - BSA and Azide free (AB251559)
  • IHC-P

Supplier Data

Immunohistochemistry (Formalin/PFA-fixed paraffin-embedded sections) - Anti-TSH Receptor/TSH-R antibody [EPR19751] - BSA and Azide free (AB251559)

This data was developed using ab218108, the same antibody clone in a different buffer formulation.

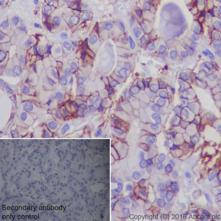
Immunohistochemical analysis of paraffin-embedded human follicular thyroid adenocarcinoma tissue labeling TSH Receptor/TSH-R with ab218108 at 1/1000 dilution, followed by Goat Anti-Rabbit IgG H&L (HRP) Ready to use.

Membranous staining on follicular thyroid adenocarcinoma is observed.

Counter stained with Hematoxylin.

Secondary antibody only control : Used PBS instead of primary antibody, secondary antibody is Goat Anti-Rabbit IgG H&L (HRP) Ready to use.

Perform heat mediated antigen retrieval with Tris/EDTA buffer pH 9.0 before commencing with IHC staining protocol.

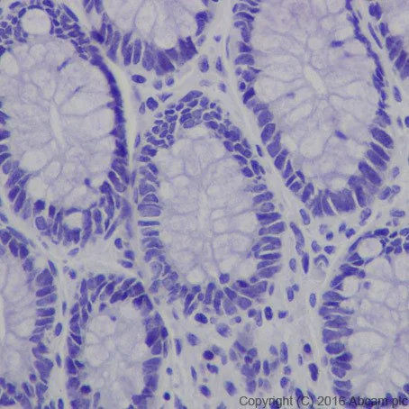
Immunohistochemistry (Formalin/PFA-fixed paraffin-embedded sections) - Anti-TSH Receptor/TSH-R antibody [EPR19751] - BSA and Azide free (AB251559)
  • IHC-P

Supplier Data

Immunohistochemistry (Formalin/PFA-fixed paraffin-embedded sections) - Anti-TSH Receptor/TSH-R antibody [EPR19751] - BSA and Azide free (AB251559)

This data was developed using ab218108, the same antibody clone in a different buffer formulation.

Immunohistochemical analysis of paraffin-embedded human colon tissue labeling TSH Receptor/TSH-R with ab218108 at 1/1000 dilution, followed by Goat Anti-Rabbit IgG H&L (HRP) Ready to use.

Negative staining on human normal colon [PMID : 22289392].

Counter stained with Hematoxylin.

Perform heat mediated antigen retrieval with Tris/EDTA buffer pH 9.0 before commencing with IHC staining protocol.

Immunohistochemistry (Formalin/PFA-fixed paraffin-embedded sections) - Anti-TSH Receptor/TSH-R antibody [EPR19751] - BSA and Azide free (AB251559)
  • IHC-P

Supplier Data

Immunohistochemistry (Formalin/PFA-fixed paraffin-embedded sections) - Anti-TSH Receptor/TSH-R antibody [EPR19751] - BSA and Azide free (AB251559)

This data was developed using ab218108, the same antibody clone in a different buffer formulation.

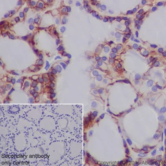
Immunohistochemical analysis of paraffin-embedded human thyroid tissue labeling TSH Receptor/TSH-R with ab218108 at 1/1000 dilution, followed by Goat Anti-Rabbit IgG H&L (HRP) Ready to use.

Membranous staining on human normal thyroid is observed.

Counter stained with Hematoxylin.

Secondary antibody only control : Used PBS instead of primary antibody, secondary antibody is Goat Anti-Rabbit IgG H&L (HRP) Ready to use.

Perform heat mediated antigen retrieval with Tris/EDTA buffer pH 9.0 before commencing with IHC staining protocol.

Immunohistochemistry (Formalin/PFA-fixed paraffin-embedded sections) - Anti-TSH Receptor/TSH-R antibody [EPR19751] - BSA and Azide free (AB251559)
  • IHC-P

Supplier Data

Immunohistochemistry (Formalin/PFA-fixed paraffin-embedded sections) - Anti-TSH Receptor/TSH-R antibody [EPR19751] - BSA and Azide free (AB251559)

This data was developed using ab218108, the same antibody clone in a different buffer formulation.

Immunohistochemical analysis of paraffin-embedded human gastric cancer tissue labeling TSH Receptor/TSH-R with ab218108 at 1/1000 dilution, followed by Goat Anti-Rabbit IgG H&L (HRP) Ready to use.

Negative staining on gastric cancer.

Counter stained with Hematoxylin.

Perform heat mediated antigen retrieval with Tris/EDTA buffer pH 9.0 before commencing with IHC staining protocol.

Immunohistochemistry (Formalin/PFA-fixed paraffin-embedded sections) - Anti-TSH Receptor/TSH-R antibody [EPR19751] - BSA and Azide free (AB251559)
  • IHC-P

Supplier Data

Immunohistochemistry (Formalin/PFA-fixed paraffin-embedded sections) - Anti-TSH Receptor/TSH-R antibody [EPR19751] - BSA and Azide free (AB251559)

This data was developed using ab218108, the same antibody clone in a different buffer formulation.

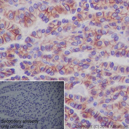
Immunohistochemical analysis of paraffin-embedded human papillary thyroid adenocarcinoma tissue labeling TSH Receptor/TSH-R with ab218108 at 1/1000 dilution, followed by Goat Anti-Rabbit IgG H&L (HRP) Ready to use.

Membranous staining on papillary thyroid carcinoma is observed.

Counter stained with Hematoxylin.

Secondary antibody only control : Used PBS instead of primary antibody, secondary antibody is Goat Anti-Rabbit IgG H&L (HRP) Ready to use.

Perform heat mediated antigen retrieval with Tris/EDTA buffer pH 9.0 before commencing with IHC staining protocol.

Key facts

Host species

Rabbit

Clonality

Monoclonal

Clone number

EPR19751

Isotype

IgG

Carrier free

Yes

Reacts with

Human

Applications

IHC-P

applications

Immunogen

The exact immunogen used to generate this antibody is proprietary information.

Reactivity data

{ "title": "Reactivity Data", "filters": { "stats": ["", "Species", "Dilution Info", "Notes"], "tabs": { "all-applications": {"fullname" : "All Applications", "shortname": "All Applications"}, "IHCP" : {"fullname" : "Immunohistochemistry (Formalin/PFA-fixed paraffin-embedded sections)", "shortname":"IHC-P"} }, "product-promise": { "all": "all", "testedAndGuaranteed": "tested", "guaranteed": "expected", "predicted": "predicted", "notRecommended": "not-recommended" } }, "values": { "Human": { "IHCP-species-checked": "testedAndGuaranteed", "IHCP-species-dilution-info": "", "IHCP-species-notes": "<p></p>" } } }

Product details

ab251559 is the carrier-free version of ab218108.

Patented technology
Our RabMAb® technology is a patented hybridoma-based technology for making rabbit monoclonal antibodies. For details on our patents, please refer to RabMAb® patents.

What are the advantages of a recombinant monoclonal antibody?
This product is a recombinant monoclonal antibody, which offers several advantages including:

  • - High batch-to-batch consistency and reproducibility
  • - Improved sensitivity and specificity
  • - Long-term security of supply
  • - Animal-free batch production

For more information, read more on recombinant antibodies.

Conjugation ready
Our carrier-free antibodies are typically supplied in a PBS-only formulation, purified and free of BSA, sodium azide and glycerol. This conjugation-ready format is designed for use with fluorochromes, metal isotopes, oligonucleotides, and enzymes, which makes them ideal for antibody labelling, functional and cell-based assays, flow-based assays (e.g. mass cytometry) and Multiplex Imaging applications.

Use our conjugation kits for antibody conjugates that are ready-to-use in as little as 20 minutes with 1 minute hands-on-time and 100% antibody recovery: available for fluorescent dyes, HRP, biotin and gold.

Compatibility
This product is compatible with the Maxpar® Antibody Labeling Kit from Fluidigm, without the need for antibody preparation. Maxpar® is a trademark of Fluidigm Canada Inc.

Properties and storage information

Form
Liquid
Purification technique
Affinity purification Protein A
Storage buffer
pH: 7.2 - 7.4 Constituents: PBS
Shipped at conditions
Blue Ice
Appropriate short-term storage conditions
+4°C
Appropriate long-term storage conditions
+4°C
Storage information
Do Not Freeze

Supplementary information

This supplementary information is collated from multiple sources and compiled automatically.

The TSH Receptor (TSH-R) also known as thyrotropin receptor is an important protein in the regulation of the thyroid gland. Its molecular mass is approximately 84 kDa. TSH-R is predominantly expressed on the surface of thyroid follicular cells. This receptor functions mechanically by binding thyroid-stimulating hormone (TSH) initiating a cascade that increases the production and release of thyroid hormones such as thyroxine (T4) and triiodothyronine (T3). This receptor is critical in maintaining proper thyroid function.
Biological function summary

TSH-R plays an important role in the regulation of metabolic processes. As part of the endocrine system the TSH-R interacts with TSH secreted by the anterior pituitary modulating signaling pathways that contribute to cell growth differentiation and hormone production in the thyroid gland. TSH-R is a component of the G protein-coupled receptor family sharing structural similarities with other receptors in this group. Additionally its activation influences the synthesis of both T4 and T3 which are essential for normal development metabolism and thermoregulation.

Pathways

The TSH-R is important in the cyclic AMP (cAMP) signaling pathway. Upon TSH binding the receptor activates adenylate cyclase via the Gs protein resulting in cAMP production. This activation influences several downstream processes that promote thyroid hormone synthesis and secretion. Furthermore TSH-R engages in cross-talk with other pathways related to cell proliferation and survival. The receptor is linked with proteins like G proteins that mediate its signaling effects integrating into the broader network of hormonal regulation.

TSH-R is strongly associated with autoimmune thyroid diseases particularly Graves' disease and Hashimoto's thyroiditis. In Graves’ disease stimulating antibodies known as thyroid-stimulating immunoglobulins (TSI) mimic TSH and activate the TSH-R causing overproduction of thyroid hormones and leading to hyperthyroidism. In Hashimoto's thyroiditis TSH-R participates indirectly as autoantibodies can lead to receptor destruction and subsequent hypothyroidism. These conditions often involve interactions with additional immune-related proteins such as T cells and cytokines affecting overall immune tolerance in the thyroid gland.

Product protocols

For this product, it's our understanding that no specific protocols are required. You can visit:

Target data

Receptor for the thyroid-stimulating hormone (TSH) or thyrotropin (PubMed : 11847099, PubMed : 12045258). Also acts as a receptor for the heterodimeric glycoprotein hormone (GPHA2 : GPHB5) or thyrostimulin (PubMed : 12045258). The activity of this receptor is mediated by G proteins which activate adenylate cyclase (PubMed : 11847099). Plays a central role in controlling thyroid cell metabolism (By similarity).
See full target information TSHR

Publications (1)

Recent publications for all applications. Explore the full list and refine your search

Cancer cell 39:1479-1496.e18 PubMed34653364

2021

Signatures of plasticity, metastasis, and immunosuppression in an atlas of human small cell lung cancer.

Applications

Unspecified application

Species

Unspecified reactive species

Joseph M Chan,Álvaro Quintanal-Villalonga,Vianne Ran Gao,Yubin Xie,Viola Allaj,Ojasvi Chaudhary,Ignas Masilionis,Jacklynn Egger,Andrew Chow,Thomas Walle,Marissa Mattar,Dig V K Yarlagadda,James L Wang,Fathema Uddin,Michael Offin,Metamia Ciampricotti,Besnik Qeriqi,Amber Bahr,Elisa de Stanchina,Umesh K Bhanot,W Victoria Lai,Matthew J Bott,David R Jones,Arvin Ruiz,Marina K Baine,Yanyun Li,Natasha Rekhtman,John T Poirier,Tal Nawy,Triparna Sen,Linas Mazutis,Travis J Hollmann,Dana Pe'er,Charles M Rudin
View all publications

Product promise

We are committed to supporting your work with high-quality reagents, and we're here for you every step of the way. In the unlikely event that one of our products does not perform as expected, you're protected by our Product Promise.
For full details, please see our Terms & Conditions

Please note: All products are 'FOR RESEARCH USE ONLY. NOT FOR USE IN DIAGNOSTIC OR THERAPEUTIC PROCEDURES'.

For licensing inquiries, please contact partnerships@abcam.com