JavaScript is disabled in your browser. Please enable JavaScript to view this website.
AB121262

Anti-Tspan-13 antibody

Be the first to review this product! Submit a review

|

(1 Publication)

Rabbit Polyclonal Tspan-13 antibody. Suitable for IHC-P and reacts with Human samples. Cited in 1 publication. Immunogen corresponding to Recombinant Fragment Protein within Human TSPAN13 aa 50-200.

View Alternative Names

NET6, TM4SF13, UNQ260/PRO296, TSPAN13, Tetraspanin-13, Tspan-13, Tetraspan NET-6, Transmembrane 4 superfamily member 13

2 Images
Immunohistochemistry (Formalin/PFA-fixed paraffin-embedded sections) - Anti-Tspan-13 antibody (AB121262)
  • IHC-P

Supplier Data

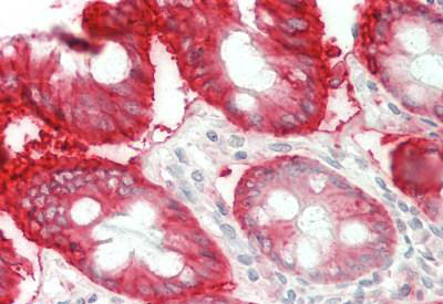
Immunohistochemistry (Formalin/PFA-fixed paraffin-embedded sections) - Anti-Tspan-13 antibody (AB121262)

Immunohistochemistry (Formalin/PFA-fixed paraffin-embedded sections) analysis of human small intestine labeling Tspan-13 with ab121262 at 1/50 dilution. Antigen retrieval was heat mediated with citrate buffer pH 6 before commencing with IHC staining protocol.

Immunohistochemistry (Formalin/PFA-fixed paraffin-embedded sections) - Anti-Tspan-13 antibody (AB121262)
  • IHC-P

Supplier Data

Immunohistochemistry (Formalin/PFA-fixed paraffin-embedded sections) - Anti-Tspan-13 antibody (AB121262)

Immunohistochemistry (Formalin/PFA-fixed paraffin-embedded sections) analysis of human placenta labeling Tspan-13 with ab121262 at 1/50 dilution. Antigen retrieval was heat mediated with citrate buffer pH 6 before commencing with IHC staining protocol.

Key facts

Host species

Rabbit

Clonality

Polyclonal

Isotype

IgG

Carrier free

No

Reacts with

Human

Applications

IHC-P

applications

Immunogen

Recombinant Fragment Protein within Human TSPAN13 aa 50-200. The exact immunogen used to generate this antibody is proprietary information.

O95857

Reactivity data

{ "title": "Reactivity Data", "filters": { "stats": ["", "Species", "Dilution Info", "Notes"], "tabs": { "all-applications": {"fullname" : "All Applications", "shortname": "All Applications"}, "IHCP" : {"fullname" : "Immunohistochemistry (Formalin/PFA-fixed paraffin-embedded sections)", "shortname":"IHC-P"} }, "product-promise": { "all": "all", "testedAndGuaranteed": "tested", "guaranteed": "expected", "predicted": "predicted", "notRecommended": "not-recommended" } }, "values": { "Human": { "IHCP-species-checked": "testedAndGuaranteed", "IHCP-species-dilution-info": "1/10 - 1/20", "IHCP-species-notes": "<p></p> Perform heat-mediated antigen retrieval with citrate buffer pH 6 before commencing with IHC staining protocol." } } }

Properties and storage information

Form
Liquid
Purification technique
Affinity purification Immunogen
Storage buffer
pH: 7.2 Preservative: 0.02% Sodium azide Constituents: PBS, 40% Glycerol (glycerin, glycerine)
Shipped at conditions
Blue Ice
Appropriate short-term storage conditions
+4°C
Appropriate long-term storage conditions
-20°C
Aliquoting information
Upon delivery aliquot
Storage information
Avoid freeze / thaw cycle

Supplementary information

This supplementary information is collated from multiple sources and compiled automatically.

Tspan-13 also known as Tetraspanin 13 is a member of the tetraspanin family which are small proteins characterized by four transmembrane domains. Tspan-13 has a molecular weight of around 26 kDa and consists of a short cytoplasmic N-terminal domain four hydrophobic transmembrane domains one small and one large extracellular loop and a cytoplasmic C-terminal tail. The large extracellular loop contains conserved CCG motifs typical of tetraspanins. Tspan-13 is expressed in various tissues including the immune system such as lymphoid organs and neural tissues suggesting diverse roles throughout the body.
Biological function summary

Tspan-13 influences cell development and immune response through its role in cellular signal transduction. This protein is not just a structural component; it participates in forming tetraspanin-enriched microdomains which facilitates interactions between other proteins such as integrins and growth factor receptors. Within these microdomains Tspan-13 can modulate cell adhesion migration and proliferation which are essential processes for immune function and tissue repair.

Pathways

Studies show Tspan-13 as being involved in the integrin signaling pathway and the epidermal growth factor receptor (EGFR) signaling pathway. These pathways are significant for cellular communication and adaptation to environmental changes. In the integrin signaling pathway Tspan-13 interacts with integrin β1 modulating cell adhesion and mobility. Within the EGFR pathway Tspan-13 impacts cell proliferation and survival. Both pathways highlight Tspan-13’s role in orchestrating key cellular functions that ensure tissue homeostasis.

Research links Tspan-13 to cancer and immune-related diseases. In cancer Tspan-13 expression influences tumor progression through its involvement in cell adhesion and migration affecting metastasis. Additionally irregularities in Tspan-13 interactions with integrins may contribute to autoimmune conditions where immune cells improperly attack healthy tissue. Understanding these associations can aid in developing therapeutic strategies targeting Tspan-13 to control disease progression.

Product protocols

For this product, it's our understanding that no specific protocols are required. You can visit:

Publications (1)

Recent publications for all applications. Explore the full list and refine your search

Cartilage 13:818S-828S PubMed32517548

2020

Altered Expression of Aggrecan, FAM20B, B3GALT6, and EXTL2 in Patients with Osteoarthritis and Kashin-Beck Disease.

Applications

Unspecified application

Species

Unspecified reactive species

Jian Lei,Huan Deng,Yan Ran,Yizhen Lv,Abebe Feyissa Amhare,Liyun Wang,Xiong Guo,Jing Han,Mikko J Lammi
View all publications

Product promise

We are committed to supporting your work with high-quality reagents, and we're here for you every step of the way. In the unlikely event that one of our products does not perform as expected, you're protected by our Product Promise.
For full details, please see our Terms & Conditions

Please note: All products are 'FOR RESEARCH USE ONLY. NOT FOR USE IN DIAGNOSTIC OR THERAPEUTIC PROCEDURES'.

For licensing inquiries, please contact partnerships@abcam.com