JavaScript is disabled in your browser. Please enable JavaScript to view this website.
AB213678

Anti-TSPAN12 antibody

Be the first to review this product! Submit a review

|

(1 Publication)

Rabbit Polyclonal TSPAN12 antibody. Suitable for IHC-P and reacts with Rat samples. Cited in 1 publication. Immunogen corresponding to Synthetic Peptide within Human TSPAN12 aa 1-50 conjugated to Keyhole Limpet Haemocyanin.

View Alternative Names

NET2, TM4SF12, UNQ774/PRO1568, TSPAN12, Tetraspanin-12, Tspan-12, Tetraspan NET-2, Transmembrane 4 superfamily member 12

1 Images
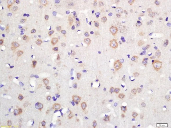
Immunohistochemistry (Formalin/PFA-fixed paraffin-embedded sections) - Anti-TSPAN12 antibody (AB213678)
  • IHC-P

Supplier Data

Immunohistochemistry (Formalin/PFA-fixed paraffin-embedded sections) - Anti-TSPAN12 antibody (AB213678)

Immunohistochemical analysis of formalin-fixed, paraffin-embedded rat brain tissue labeling TSPAN12 with ab213678 at a 1/200 dilution, followed by conjugation to the secondary antibody and DAB staining.

Key facts

Host species

Rabbit

Clonality

Polyclonal

Isotype

IgG

Carrier free

No

Reacts with

Rat

Applications

IHC-P

applications

Immunogen

Synthetic Peptide within Human TSPAN12 aa 1-50 conjugated to Keyhole Limpet Haemocyanin. The exact immunogen used to generate this antibody is proprietary information.

O95859

Reactivity data

{ "title": "Reactivity Data", "filters": { "stats": ["", "Species", "Dilution Info", "Notes"], "tabs": { "all-applications": {"fullname" : "All Applications", "shortname": "All Applications"}, "IHCP" : {"fullname" : "Immunohistochemistry (Formalin/PFA-fixed paraffin-embedded sections)", "shortname":"IHC-P"} }, "product-promise": { "all": "all", "testedAndGuaranteed": "tested", "guaranteed": "expected", "predicted": "predicted", "notRecommended": "not-recommended" } }, "values": { "Human": { "IHCP-species-checked": "predicted", "IHCP-species-dilution-info": "", "IHCP-species-notes": "" }, "Mouse": { "IHCP-species-checked": "predicted", "IHCP-species-dilution-info": "", "IHCP-species-notes": "" }, "Rat": { "IHCP-species-checked": "testedAndGuaranteed", "IHCP-species-dilution-info": "1/100 - 1/500", "IHCP-species-notes": "<p></p> Perform heat-mediated antigen retrieval with citrate buffer pH 6 before commencing with IHC staining protocol." } } }

Properties and storage information

Form
Liquid
Purification technique
Affinity purification Protein A
Storage buffer
pH: 7.4 Preservative: 0.02% Proclin 300 Constituents: 50% Glycerol (glycerin, glycerine), 48.98% TBS, 1X, 1% BSA
Shipped at conditions
Blue Ice
Appropriate short-term storage duration
1-2 weeks
Appropriate short-term storage conditions
+4°C
Appropriate long-term storage conditions
-20°C
Aliquoting information
Upon delivery aliquot
Storage information
Avoid freeze / thaw cycle

Supplementary information

This supplementary information is collated from multiple sources and compiled automatically.

TSPAN12 also known as Tetraspanin-12 is a protein with a molecular weight of approximately 30 kDa. It functions mechanically as a cell surface glycoprotein involved in signal transduction. TSPAN12 belongs to the tetraspanin family characterized by four transmembrane domains. It is highly expressed in vascular endothelial cells particularly in the central nervous system and retina where it plays a role in cellular interactions and communication.
Biological function summary

TSPAN12 influences cellular processes such as angiogenesis and neurovascular development. It acts as a part of the tetraspanin-enriched microdomain (TEM) complexes which facilitate interactions between cell surface proteins and organize them into functional signaling clusters. TSPAN12 modulates the activity of the Frizzled-4 receptor important in the Wnt/β-catenin signaling pathway thereby affecting cell proliferation and migration.

Pathways

TSPAN12 contributes to the regulation of the Wnt signaling and VEGF signaling pathways. Within the Wnt signaling pathway TSPAN12 interacts with Frizzled-4 playing an essential role in maintaining vascular health and development. In the VEGF signaling pathway TSPAN12 influences endothelial cell behavior working alongside proteins like VEGFR-2 and Norrin essential for angiogenic processes and vascular stability.

Mutations in TSPAN12 are linked to familial exudative vitreoretinopathy (FEVR) a genetic disorder affecting retinal vascular development. TSPAN12 mutations disrupt the Wnt signaling pathway often in conjunction with mutations in proteins like Norrin and Frizzled-4 leading to an aberrant vascular structure in the retina. TSPAN12's dysfunction is also connected to retinal degenerative diseases highlighting its role as a potential target for therapeutic intervention.

Product protocols

For this product, it's our understanding that no specific protocols are required. You can visit:

Target data

Regulator of cell surface receptor signal transduction. Plays a central role in retinal vascularization by regulating norrin (NDP) signal transduction. Acts in concert with norrin (NDP) to promote FZD4 multimerization and subsequent activation of FZD4, leading to promote accumulation of beta-catenin (CTNNB1) and stimulate LEF/TCF-mediated transcriptional programs. Suprisingly, it only activates the norrin (NDP)-dependent activation of FZD4, while it does not activate the Wnt-dependent activation of FZD4, suggesting the existence of a Wnt-independent signaling that also promote accumulation the beta-catenin (CTNNB1) (By similarity). Acts as a regulator of membrane proteinases such as ADAM10 and MMP14/MT1-MMP. Activates ADAM10-dependent cleavage activity of amyloid precursor protein (APP). Activates MMP14/MT1-MMP-dependent cleavage activity.
See full target information TSPAN12

Publications (1)

Recent publications for all applications. Explore the full list and refine your search

International journal of molecular medicine 56: PubMed40709382

2025

Dulaglutide markedly prevents peritoneal fibrosis in a rodent model of chronic kidney disease: Insights into the pathogenesis.

Applications

Unspecified application

Species

Unspecified reactive species

Chih-Chao Yang,Ya Yue,Yi-Ting Wang,John Y Chiang,Ben-Chung Cheng,Tsuen-Wei Hsu,Yi-Ling Chen,Yi-Chen Li,Hon-Kan Yip
View all publications

Product promise

We are committed to supporting your work with high-quality reagents, and we're here for you every step of the way. In the unlikely event that one of our products does not perform as expected, you're protected by our Product Promise.
For full details, please see our Terms & Conditions

Please note: All products are 'FOR RESEARCH USE ONLY. NOT FOR USE IN DIAGNOSTIC OR THERAPEUTIC PROCEDURES'.

For licensing inquiries, please contact partnerships@abcam.com