JavaScript is disabled in your browser. Please enable JavaScript to view this website.
AB180601

Anti-TSPAN17 antibody [EPR9855(2)]

Be the first to review this product! Submit a review

|

(2 Publications)

Rabbit Recombinant Monoclonal TSPAN17 antibody. Suitable for IP, WB, IHC-P and reacts with Human samples. Cited in 2 publications.

View Alternative Names

FBXO23, TM4SF17, TSPAN17, Tetraspanin-17, Tspan-17, F-box only protein 23, Tetraspan protein SB134, Transmembrane 4 superfamily member 17

3 Images
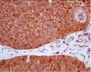
Immunohistochemistry (Formalin/PFA-fixed paraffin-embedded sections) - Anti-TSPAN17 antibody [EPR9855(2)] (AB180601)
  • IHC-P

Supplier Data

Immunohistochemistry (Formalin/PFA-fixed paraffin-embedded sections) - Anti-TSPAN17 antibody [EPR9855(2)] (AB180601)

Immunohistochemical analysis of paraffin-embedded Human Transitional cell bladder carcinoma tissue labeling TSPAN17 with ab180601 at 1/100 dilution followed by ImmunoHistoprobe (Ready to use) HRP Polymer for Rabbit IgG. Counter stained with Hematoxylin.

Immunoprecipitation - Anti-TSPAN17 antibody [EPR9855(2)] (AB180601)
  • IP

Unknown

Immunoprecipitation - Anti-TSPAN17 antibody [EPR9855(2)] (AB180601)

Western blot analysis of Jurkat cell lysate immuoprecipitated with ab180601 at 1/60 dilution. Goat Anti-Rabbit IgG, (H+L) peroxidase conjugated secondary antibody used at 1/1000 dilution.

All lanes:

Immunoprecipitation - Anti-TSPAN17 antibody [EPR9855(2)] (ab180601)

Predicted band size: 30 kDa

false

Western blot - Anti-TSPAN17 antibody [EPR9855(2)] (AB180601)
  • WB

Supplier Data

Western blot - Anti-TSPAN17 antibody [EPR9855(2)] (AB180601)

All lanes:

Western blot - Anti-TSPAN17 antibody [EPR9855(2)] (ab180601) at 1/20000 dilution

Lane 1:

HepG2 cell lysate at 20 µg

Lane 2:

Jurkat cell lysate at 20 µg

Lane 3:

Caco-2 cell lysate at 20 µg

Lane 4:

SW480 cell lysate at 20 µg

Secondary

All lanes:

Goat Anti-Rabbit IgG, (H+L), Peroxidase conjugate at 1/1000 dilution

Predicted band size: 30 kDa

Observed band size: 36 kDa

false

  • Carrier free

    Anti-TSPAN17 antibody [EPR9855(2)] - BSA and Azide free

Key facts

Host species

Rabbit

Clonality

Monoclonal

Clone number

EPR9855(2)

Isotype

IgG

Carrier free

No

Reacts with

Human

Applications

IP, IHC-P, WB

applications

Immunogen

The exact immunogen used to generate this antibody is proprietary information.

Reactivity data

{ "title": "Reactivity Data", "filters": { "stats": ["", "Species", "Dilution Info", "Notes"], "tabs": { "all-applications": {"fullname" : "All Applications", "shortname": "All Applications"}, "IP" : {"fullname" : "Immunoprecipitation", "shortname":"IP"}, "WB" : {"fullname" : "Western blot", "shortname":"WB"}, "IHCP" : {"fullname" : "Immunohistochemistry (Formalin/PFA-fixed paraffin-embedded sections)", "shortname":"IHC-P"} }, "product-promise": { "all": "all", "testedAndGuaranteed": "tested", "guaranteed": "expected", "predicted": "predicted", "notRecommended": "not-recommended" } }, "values": { "Human": { "IP-species-checked": "testedAndGuaranteed", "IP-species-dilution-info": "1/60", "IP-species-notes": "<p></p>", "WB-species-checked": "testedAndGuaranteed", "WB-species-dilution-info": "1/10000 - 1/50000", "WB-species-notes": "<p></p>", "IHCP-species-checked": "testedAndGuaranteed", "IHCP-species-dilution-info": "1/50 - 1/100", "IHCP-species-notes": "<p></p>" }, "Mouse": { "IP-species-checked": "predicted", "IP-species-dilution-info": "", "IP-species-notes": "", "WB-species-checked": "predicted", "WB-species-dilution-info": "", "WB-species-notes": "", "IHCP-species-checked": "predicted", "IHCP-species-dilution-info": "", "IHCP-species-notes": "" }, "Rat": { "IP-species-checked": "predicted", "IP-species-dilution-info": "", "IP-species-notes": "", "WB-species-checked": "predicted", "WB-species-dilution-info": "", "WB-species-notes": "", "IHCP-species-checked": "predicted", "IHCP-species-dilution-info": "", "IHCP-species-notes": "" } } }

Product details

Patented technology
Our RabMAb® technology is a patented hybridoma-based technology for making rabbit monoclonal antibodies. For details on our patents, please refer to RabMAb® patents.

What are the advantages of a recombinant monoclonal antibody?
This product is a recombinant monoclonal antibody, which offers several advantages including:

  • - High batch-to-batch consistency and reproducibility
  • - Improved sensitivity and specificity
  • - Long-term security of supply
  • - Animal-free batch production

For more information, read more on recombinant antibodies.

Properties and storage information

Form
Liquid
Purification technique
Affinity purification Protein A
Storage buffer
Preservative: 0.01% Sodium azide Constituents: 59% PBS, 40% Glycerol (glycerin, glycerine), 0.05% BSA
Shipped at conditions
Blue Ice
Appropriate short-term storage duration
1-2 weeks
Appropriate short-term storage conditions
+4°C
Appropriate long-term storage conditions
-20°C
Aliquoting information
Upon delivery aliquot
Storage information
Avoid freeze / thaw cycle

Supplementary information

This supplementary information is collated from multiple sources and compiled automatically.

TSPAN17 also known as tetraspanin-17 is a member of the tetraspanin family of proteins. It functions mechanically as a membrane-associated protein with four transmembrane domains. The protein has a molecular weight of approximately 25 kDa. Expression of TSPAN17 occurs broadly in various tissues with a notable presence in the central nervous system and immune cells. This protein plays a role in cell signaling by forming complexes with other cell surface receptors.
Biological function summary

TSPAN17 contributes to the orchestration of cell motility and interaction processes. It is a part of the tetraspanin-enriched microdomain which facilitates the lateral organization of distinct protein complexes at the cell membrane. These complexes support processes like cell adhesion and migration suggesting TSPAN17 participation in cellular communication and signaling pathways. The involvement in these processes highlights its role in maintaining cellular dynamics and response to external stimuli.

Pathways

TSPAN17 integrates into pathways governing cell adhesion and immune response. It interacts with proteins within the integrin signaling pathway important for facilitating cell-matrix interactions and coordinating immune system activity. Through its association with integrins TSPAN17 aids in linking extracellular matrix signals to intracellular cascades like those involving phosphatidylinositol 3-kinase (PI3K) affecting cellular responses to environmental changes.

Research links TSPAN17 to neurological disorders and cancer. Alterations in its expression levels have emerged in studies of neurodegenerative diseases where abnormal activity affects cellular signaling. In cancer TSPAN17's interaction with tissue-invasive proteins such as matrix metalloproteinases (MMPs) links it to tumor progression and metastasis. Understanding TSPAN17's role provides insights into its potential as a therapeutic target in these complex diseases.

Product protocols

For this product, it's our understanding that no specific protocols are required. You can visit:

Target data

Part of TspanC8 subgroup, composed of 6 members that interact with the transmembrane metalloprotease ADAM10. This interaction is required for ADAM10 exit from the endoplasmic reticulum and for enzymatic maturation and trafficking to the cell surface as well as substrate specificity. Different TspanC8/ADAM10 complexes have distinct substrates (PubMed : 28600292, PubMed : 37516108). Seems to regulate VE-cadherin expression in endothelial cells probably through interaction with ADAM10, promoting leukocyte transmigration (PubMed : 28600292).
See full target information TSPAN17

Publications (2)

Recent publications for all applications. Explore the full list and refine your search

Cell death & disease 15:399 PubMed38849335

2024

DDAH-1 maintains endoplasmic reticulum-mitochondria contacts and protects dopaminergic neurons in Parkinson's disease.

Applications

Unspecified application

Species

Unspecified reactive species

Yichen Zhao,Weiwei Shen,Minjie Zhang,Min Guo,Yunxiao Dou,Sida Han,Jintai Yu,Mei Cui,Yanxin Zhao

Pharmaceuticals (Basel, Switzerland) 16: PubMed37765033

2023

Effect of Repeated Administration of ɣ-Valerolactone (GVL) and GHB in the Mouse: Neuroadaptive Changes of the GHB and GABAergic System.

Applications

Unspecified application

Species

Unspecified reactive species

Paolo Frisoni,Giorgia Corli,Sabrine Bilel,Micaela Tirri,Laura Camilla Gasparini,Letizia Alfieri,Margherita Neri,Fabio De-Giorgio,Matteo Marti
View all publications

Product promise

We are committed to supporting your work with high-quality reagents, and we're here for you every step of the way. In the unlikely event that one of our products does not perform as expected, you're protected by our Product Promise.
For full details, please see our Terms & Conditions

Please note: All products are 'FOR RESEARCH USE ONLY. NOT FOR USE IN DIAGNOSTIC OR THERAPEUTIC PROCEDURES'.

For licensing inquiries, please contact partnerships@abcam.com