JavaScript is disabled in your browser. Please enable JavaScript to view this website.
AB192023

Anti-TSPEAR antibody [EPR15505]

Be the first to review this product! Submit a review

|

(1 Publication)

Rabbit Recombinant Monoclonal TSPEAR antibody. Suitable for WB, ICC/IF, IHC-P and reacts with Rat, Human, Mouse samples. Cited in 1 publication.

View Alternative Names

C21orf29, TSPEAR, Thrombospondin-type laminin G domain and EAR repeat-containing protein, TSP-EAR

6 Images
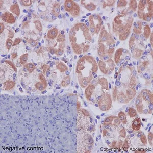
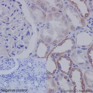
Immunohistochemistry (Formalin/PFA-fixed paraffin-embedded sections) - Anti-TSPEAR antibody [EPR15505] (AB192023)
  • IHC-P

Supplier Data

Immunohistochemistry (Formalin/PFA-fixed paraffin-embedded sections) - Anti-TSPEAR antibody [EPR15505] (AB192023)

Immunohistochemical analysis of paraffin embedded human kidney tissue sections labeling TSPEAR using ab192023 at a 1/200 dilution. A ready to use HRP Polymer for Rabbit IgG was used as the secondary. Hematoxylin counterstain. Negative control uses PBS instead of primary antibody.

Perform heat mediated antigen retrieval with Tris/EDTA buffer pH 9.0 before commencing with IHC staining protocol.

Immunocytochemistry/ Immunofluorescence - Anti-TSPEAR antibody [EPR15505] (AB192023)
  • ICC/IF

Supplier Data

Immunocytochemistry/ Immunofluorescence - Anti-TSPEAR antibody [EPR15505] (AB192023)

Immunofluorescent analysis of 4% paraformaldehyde fixed A549 cells labeling TSPEAR using ab192023 at a 1/100 dilution. A Goat anti rabbit IgG (Alexa Fluor®488) (ab150077) was used as the secondary at a 1/200 dilution. Counterstain : ab7291 and ab150120 both at 1/500 dilution. The negative controls : Primary ab concentration (anti-TSPEAR) is 1/100 dilution Secondary ab (Goat anti mouse IgG (Alexa Fluor®594)) is 1/500 dilution. Cells were permeabilized using 0.1% Triton X-100.

Immunohistochemistry (Formalin/PFA-fixed paraffin-embedded sections) - Anti-TSPEAR antibody [EPR15505] (AB192023)
  • IHC-P

Supplier Data

Immunohistochemistry (Formalin/PFA-fixed paraffin-embedded sections) - Anti-TSPEAR antibody [EPR15505] (AB192023)

Immunohistochemical analysis of paraffin embedded human stomach tissue sections labeling TSPEAR using ab192023 at a 1/200 dilution. A ready to use HRP Polymer for Rabbit IgG was used as the secondary. Hematoxylin counterstain. Negative control uses PBS instead of primary antibody.

Perform heat mediated antigen retrieval with Tris/EDTA buffer pH 9.0 before commencing with IHC staining protocol.

Western blot - Anti-TSPEAR antibody [EPR15505] (AB192023)
  • WB

Supplier Data

Western blot - Anti-TSPEAR antibody [EPR15505] (AB192023)

All lanes:

Western blot - Anti-TSPEAR antibody [EPR15505] (ab192023) at 1/5000 dilution

All lanes:

human testis tissue lysate at 1/10 dilution

Secondary

All lanes:

Goat Anti-Rabbit IgG, (H+L), Peroxidase conjugated at 1/1000 dilution

Predicted band size: 75 kDa

Observed band size: 80 kDa

false

Western blot - Anti-TSPEAR antibody [EPR15505] (AB192023)
  • WB

Supplier Data

Western blot - Anti-TSPEAR antibody [EPR15505] (AB192023)

All lanes:

Western blot - Anti-TSPEAR antibody [EPR15505] (ab192023) at 1/1000 dilution

Lane 1:

K562 cell lysate at 20 µg

Lane 2:

293 cell lysate at 20 µg

Secondary

All lanes:

Goat Anti-Rabbit IgG, (H+L), Peroxidase conjugated at 1/100 dilution

Predicted band size: 75 kDa

Observed band size: 80 kDa

false

Western blot - Anti-TSPEAR antibody [EPR15505] (AB192023)
  • WB

Supplier Data

Western blot - Anti-TSPEAR antibody [EPR15505] (AB192023)

All lanes:

Western blot - Anti-TSPEAR antibody [EPR15505] (ab192023) at 1/1000 dilution

Lane 1:

C6 cell lysate at 10 µg

Lane 2:

RAW264.7 cell lysate at 10 µg

Secondary

All lanes:

Goat Anti-Rabbit IgG, (H+L), Peroxidase conjugated at 1/1000 dilution

Predicted band size: 75 kDa

Observed band size: 80 kDa

false

  • Carrier free

    Anti-TSPEAR antibody [EPR15505] - BSA and Azide free

Key facts

Host species

Rabbit

Clonality

Monoclonal

Clone number

EPR15505

Isotype

IgG

Carrier free

No

Reacts with

Human, Mouse, Rat

Applications

WB, ICC/IF, IHC-P

applications

Immunogen

The exact immunogen used to generate this antibody is proprietary information.

Reactivity data

{ "title": "Reactivity Data", "filters": { "stats": ["", "Species", "Dilution Info", "Notes"], "tabs": { "all-applications": {"fullname" : "All Applications", "shortname": "All Applications"}, "WB" : {"fullname" : "Western blot", "shortname":"WB"}, "ICCIF" : {"fullname" : "Immunocytochemistry/ Immunofluorescence", "shortname":"ICC/IF"}, "IHCP" : {"fullname" : "Immunohistochemistry (Formalin/PFA-fixed paraffin-embedded sections)", "shortname":"IHC-P"} }, "product-promise": { "all": "all", "testedAndGuaranteed": "tested", "guaranteed": "expected", "predicted": "predicted", "notRecommended": "not-recommended" } }, "values": { "Human": { "WB-species-checked": "testedAndGuaranteed", "WB-species-dilution-info": "1/1000 - 1/2000", "WB-species-notes": "<p></p>", "ICCIF-species-checked": "testedAndGuaranteed", "ICCIF-species-dilution-info": "1/100", "ICCIF-species-notes": "<p></p>", "IHCP-species-checked": "testedAndGuaranteed", "IHCP-species-dilution-info": "1/100 - 1/200", "IHCP-species-notes": "<p></p>" }, "Mouse": { "WB-species-checked": "testedAndGuaranteed", "WB-species-dilution-info": "1/1000 - 1/2000", "WB-species-notes": "<p></p>", "ICCIF-species-checked": "guaranteed", "ICCIF-species-dilution-info": "1/100", "ICCIF-species-notes": "<p></p>", "IHCP-species-checked": "guaranteed", "IHCP-species-dilution-info": "1/100 - 1/200", "IHCP-species-notes": "<p></p>" }, "Rat": { "WB-species-checked": "testedAndGuaranteed", "WB-species-dilution-info": "1/1000 - 1/2000", "WB-species-notes": "<p></p>", "ICCIF-species-checked": "guaranteed", "ICCIF-species-dilution-info": "1/100", "ICCIF-species-notes": "<p></p>", "IHCP-species-checked": "guaranteed", "IHCP-species-dilution-info": "1/100 - 1/200", "IHCP-species-notes": "<p></p>" } } }

Product details

Patented technology
Our RabMAb® technology is a patented hybridoma-based technology for making rabbit monoclonal antibodies. For details on our patents, please refer to RabMAb® patents.

What are the advantages of a recombinant monoclonal antibody?
This product is a recombinant monoclonal antibody, which offers several advantages including:

  • - High batch-to-batch consistency and reproducibility
  • - Improved sensitivity and specificity
  • - Long-term security of supply
  • - Animal-free batch production

For more information, read more on recombinant antibodies.

Properties and storage information

Form
Liquid
Purification technique
Affinity purification Protein A
Storage buffer
pH: 7.2 - 7.4 Preservative: 0.01% Sodium azide Constituents: PBS, 40% Glycerol (glycerin, glycerine), 0.05% BSA
Shipped at conditions
Blue Ice
Appropriate short-term storage duration
1-2 weeks
Appropriate short-term storage conditions
+4°C
Appropriate long-term storage conditions
-20°C
Aliquoting information
Upon delivery aliquot
Storage information
Avoid freeze / thaw cycle

Supplementary information

This supplementary information is collated from multiple sources and compiled automatically.

TSPEAR also known as Thrombospondin Type S Serine Protease and ARM Repeat Containing is a protein with a molecular mass of approximately 92 kDa. It functions mechanically as a protein involved in cell adhesion and communication processes. Expression of TSPEAR occurs predominantly in epithelial tissues including the skin and the gastrointestinal tract. It contains a series of ARM repeats which contribute to its functional role within the cellular structure.
Biological function summary

It participates in essential signaling pathways that regulate cell proliferation and differentiation. TSPEAR often associates with other proteins forming a complex that mediates interactions between cells and the surrounding extracellular matrix. This function is important for maintaining the stability of tissue architecture and facilitating tissue development and repair processes.

Pathways

TSPEAR plays a role in processes like the Notch signaling and Wnt signaling pathways. In the Notch signaling pathway it interacts with proteins involved in cell fate determinations assisting in the regulation of cell differentiation. Within the Wnt pathway TSPEAR associates with other proteins to influence cell growth and development. Its interaction with these pathways implies a cooperative role with proteins such as Notch receptors and beta-catenin highlighting its involvement in critical cellular communication networks.

TSPEAR has been linked to conditions like Alagille syndrome and certain skin disorders. In Alagille syndrome it interacts with proteins such as JAG1 and NOTCH2 which are important for the proper signaling required in fetal development. Moreover its expression levels can alter in various dermatological conditions connecting TSPEAR to proteins involved in skin structure and repair. Understanding its role in these disorders may provide insights into therapeutic targets and interventions.

Product protocols

For this product, it's our understanding that no specific protocols are required. You can visit:

Target data

Plays a critical role in tooth and hair follicle morphogenesis through regulation of the Notch signaling pathway (PubMed : 27736875). May play a role in development or function of the auditory system (PubMed : 22678063).
See full target information TSPEAR

Publications (1)

Recent publications for all applications. Explore the full list and refine your search

PLoS genetics 12:e1006369 PubMed27736875

2016

Mutations in TSPEAR, Encoding a Regulator of Notch Signaling, Affect Tooth and Hair Follicle Morphogenesis.

Applications

ICC/IF

Species

Human

Alon Peled,Ofer Sarig,Liat Samuelov,Marta Bertolini,Limor Ziv,Daphna Weissglas-Volkov,Marina Eskin-Schwartz,Christopher A Adase,Natalia Malchin,Ron Bochner,Gilad Fainberg,Ilan Goldberg,Koji Sugawara,Avital Baniel,Daisuke Tsuruta,Chen Luxenburg,Noam Adir,Olivier Duverger,Maria Morasso,Stavit Shalev,Richard L Gallo,Noam Shomron,Ralf Paus,Eli Sprecher
View all publications

Product promise

We are committed to supporting your work with high-quality reagents, and we're here for you every step of the way. In the unlikely event that one of our products does not perform as expected, you're protected by our Product Promise.
For full details, please see our Terms & Conditions

Please note: All products are 'FOR RESEARCH USE ONLY. NOT FOR USE IN DIAGNOSTIC OR THERAPEUTIC PROCEDURES'.

For licensing inquiries, please contact partnerships@abcam.com