JavaScript is disabled in your browser. Please enable JavaScript to view this website.
AB203657

Anti-TSPYL5 antibody

Be the first to review this product! Submit a review

|

(4 Publications)

Rabbit Polyclonal TSPYL5 antibody. Suitable for IHC-P and reacts with Mouse samples. Cited in 4 publications. Immunogen corresponding to Synthetic Peptide within Human TSPYL5 aa 250-350 conjugated to Keyhole Limpet Haemocyanin.

View Alternative Names

KIAA1750, TSPYL5, Testis-specific Y-encoded-like protein 5, TSPY-like protein 5

1 Images
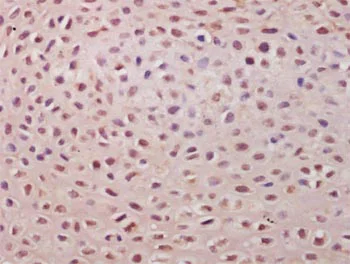
Immunohistochemistry (Formalin/PFA-fixed paraffin-embedded sections) - Anti-TSPYL5 antibody (AB203657)
  • IHC-P

Supplier Data

Immunohistochemistry (Formalin/PFA-fixed paraffin-embedded sections) - Anti-TSPYL5 antibody (AB203657)

Immunohistochemical analysis of formalin-fixed, paraffin-embedded mouse embryo tissue labeling TSPYL5 with ab203657 at 1/200 dilution followed by conjugation to the secondary antibody and DAB staining.

Key facts

Host species

Rabbit

Clonality

Polyclonal

Isotype

IgG

Carrier free

No

Reacts with

Mouse

Applications

IHC-P

applications

Immunogen

Synthetic Peptide within Human TSPYL5 aa 250-350 conjugated to Keyhole Limpet Haemocyanin. The exact immunogen used to generate this antibody is proprietary information.

Q86VY4

Reactivity data

{ "title": "Reactivity Data", "filters": { "stats": ["", "Species", "Dilution Info", "Notes"], "tabs": { "all-applications": {"fullname" : "All Applications", "shortname": "All Applications"}, "IHCP" : {"fullname" : "Immunohistochemistry (Formalin/PFA-fixed paraffin-embedded sections)", "shortname":"IHC-P"} }, "product-promise": { "all": "all", "testedAndGuaranteed": "tested", "guaranteed": "expected", "predicted": "predicted", "notRecommended": "not-recommended" } }, "values": { "Mouse": { "IHCP-species-checked": "testedAndGuaranteed", "IHCP-species-dilution-info": "1/100 - 1/500", "IHCP-species-notes": "<p>When using a fluorescent probe the recommended dilution is 1/50 – 1/200.</p>" } } }

Properties and storage information

Form
Liquid
Purification technique
Affinity purification Protein A
Storage buffer
pH: 7.4 Preservative: 0.02% Proclin 300 Constituents: 50% Glycerol (glycerin, glycerine), 48.98% TBS, 1X, 1% BSA
Shipped at conditions
Blue Ice
Appropriate short-term storage duration
1-2 weeks
Appropriate short-term storage conditions
+4°C
Appropriate long-term storage conditions
-20°C
Aliquoting information
Upon delivery aliquot
Storage information
Avoid freeze / thaw cycle

Supplementary information

This supplementary information is collated from multiple sources and compiled automatically.

The TSPYL5 protein also known as Testis-Specific Y-encoded-Like Protein 5 plays a role as a transcription regulator. It is encoded by the TSPYL5 gene and has a molecular mass of approximately 70 kDa. TSPYL5 is expressed in various human tissues with higher levels detected in the testis brain and epithelial tissues. Researchers have noted its presence in different cancer cell lines highlighting its significance in cancer research.
Biological function summary

The functions of TSPYL5 impact cellular processes including cell growth and survival. While not recognized as part of a specific protein complex TSPYL5 appears to influence transcriptional regulation by interacting with other molecular players. It shows interaction with chromatin and may modulate gene expression patterns that are important for cellular homeostasis.

Pathways

TSPYL5 integrates into pathways that regulate cellular proliferation and apoptosis. The protein plays a role within the stress-induced transcriptional regulation pathway and the cell cycle control pathway. In these contexts it can interact with other key proteins such as p53 and HDAC1 influencing the cellular response to various internal and external stimuli.

TSPYL5 has connections to cancer development especially in prostate and breast cancer. The protein might contribute to tumorigenesis by altering gene expression profiles that control cell cycle and apoptosis linking it with common oncogenes and tumor suppressors. These activities connect TSPYL5 to proteins such as p21 and RB1 which are also involved in regulating cell growth and death highlighting its role as a potential therapeutic target in cancer treatment.

Product protocols

For this product, it's our understanding that no specific protocols are required. You can visit:

Target data

Involved in modulation of cell growth and cellular response to gamma radiation probably via regulation of the Akt signaling pathway. Involved in regulation of p53/TP53. Suppresses p53/TP53 protein levels and promotes its ubiquitination; the function is dependent on USP7 and independent on MDM2. Proposed to displace p53/TP53 from interaction with USP7.
See full target information TSPYL5

Publications (4)

Recent publications for all applications. Explore the full list and refine your search

International journal of molecular sciences 25: PubMed38203210

2024

Insights into the Cellular Localization and Functional Properties of TSPYL5 Protein.

Applications

Unspecified application

Species

Unspecified reactive species

Sergey A Silonov,Eugene Y Smirnov,Eva A Shmidt,Irina M Kuznetsova,Konstantin K Turoverov,Alexander V Fonin

Oncology reports 44:449-456 PubMed32627024

2020

TSPYL5 activates endoplasmic reticulum stress to inhibit cell proliferation, migration and invasion in colorectal cancer.

Applications

Unspecified application

Species

Unspecified reactive species

Chao Huang,Chunping He,Peng Ruan,Rui Zhou

Cancer cell international 20:10 PubMed31938018

2020

LINC00908 negatively regulates microRNA-483-5p to increase TSPYL5 expression and inhibit the development of prostate cancer.

Applications

Unspecified application

Species

Unspecified reactive species

Li Fan,Hai Li,Yun Zhang

Oncology letters 17:365-371 PubMed30655776

2019

MicroRNA-24-3p regulates Hodgkin's lymphoma cell proliferation, migration and invasion by targeting DEDD.

Applications

Unspecified application

Species

Unspecified reactive species

Jing Wang,Kai Yin,Xianping Lv,Qiankun Yang,Ming Shao,Xin Liu,Hui Sun
View all publications

Product promise

We are committed to supporting your work with high-quality reagents, and we're here for you every step of the way. In the unlikely event that one of our products does not perform as expected, you're protected by our Product Promise.
For full details, please see our Terms & Conditions

Please note: All products are 'FOR RESEARCH USE ONLY. NOT FOR USE IN DIAGNOSTIC OR THERAPEUTIC PROCEDURES'.

For licensing inquiries, please contact partnerships@abcam.com