JavaScript is disabled in your browser. Please enable JavaScript to view this website.
AB155810

Anti-TSR2 antibody

Be the first to review this product! Submit a review

|

(1 Publication)

Rabbit Polyclonal TSR2 antibody. Suitable for WB, IHC-P and reacts with Human samples. Cited in 1 publication. Immunogen corresponding to Recombinant Fragment Protein within Human TSR2 aa 1 to C-terminus.

View Alternative Names

Pre-rRNA-processing protein TSR2 homolog, TSR2

2 Images
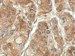
Immunohistochemistry (Formalin/PFA-fixed paraffin-embedded sections) - Anti-TSR2 antibody (AB155810)
  • IHC-P

Unknown

Immunohistochemistry (Formalin/PFA-fixed paraffin-embedded sections) - Anti-TSR2 antibody (AB155810)

Immunohistochemical analysis of paraffin embedded Human Cal27 xenograft tissue, labeling TSR2 using ab155810 at 1/500 dilution.

Western blot - Anti-TSR2 antibody (AB155810)
  • WB

Unknown

Western blot - Anti-TSR2 antibody (AB155810)

12% SDS PAGE

All lanes:

Western blot - Anti-TSR2 antibody (ab155810) at 1/2000 dilution

Lane 1:

A549 whole cell lysate at 30 µg

Lane 2:

H1299 whole cell lysate at 30 µg

Lane 3:

HCT116 whole cell lysate at 30 µg

Lane 4:

MCF7 whole cell lysate at 30 µg

Predicted band size: 21 kDa

false

Key facts

Host species

Rabbit

Clonality

Polyclonal

Isotype

IgG

Carrier free

No

Reacts with

Human

Applications

WB, IHC-P

applications

Immunogen

Recombinant Fragment Protein within Human TSR2 aa 1 to C-terminus. The exact immunogen used to generate this antibody is proprietary information.

Q969E8

Reactivity data

{ "title": "Reactivity Data", "filters": { "stats": ["", "Species", "Dilution Info", "Notes"], "tabs": { "all-applications": {"fullname" : "All Applications", "shortname": "All Applications"}, "WB" : {"fullname" : "Western blot", "shortname":"WB"}, "IHCP" : {"fullname" : "Immunohistochemistry (Formalin/PFA-fixed paraffin-embedded sections)", "shortname":"IHC-P"} }, "product-promise": { "all": "all", "testedAndGuaranteed": "tested", "guaranteed": "expected", "predicted": "predicted", "notRecommended": "not-recommended" } }, "values": { "Human": { "WB-species-checked": "testedAndGuaranteed", "WB-species-dilution-info": "1/500 - 1/3000", "WB-species-notes": "<p></p>", "IHCP-species-checked": "testedAndGuaranteed", "IHCP-species-dilution-info": "1/100 - 1/1000", "IHCP-species-notes": "<p></p>" } } }

Properties and storage information

Form
Liquid
Purification technique
Affinity purification Immunogen
Storage buffer
pH: 7 Preservative: 0.01% Thimerosal (merthiolate) Constituents: 20% Glycerol (glycerin, glycerine), 1.21% Tris, 0.75% Glycine
Shipped at conditions
Blue Ice
Appropriate short-term storage conditions
+4°C
Appropriate long-term storage conditions
-20°C
Aliquoting information
Upon delivery aliquot
Storage information
Avoid freeze / thaw cycle

Supplementary information

This supplementary information is collated from multiple sources and compiled automatically.

TSR2 also known as Testis-Specific Protein TSR2 is a ribosome biogenesis factor and a protein involved in the maturation of precursor rRNA. It has a molecular mass of approximately 24 kDa. TSR2 localizes mainly in the nucleolus of the cell where rRNA synthesis and modification occur. Expression of TSR2 is observed in various tissues but it shows higher levels in tissues with high cellular turnover such as testes suggesting a role in rapidly dividing cells.
Biological function summary

TSR2 plays a significant role in the late stages of ribosome biogenesis. It associates with pre-40S ribosomal subunits and aids in their processing. As part of the ribonucleoprotein complex TSR2 ensures the accurate and efficient production of ribosomes. It stabilizes certain RNA structures and guides ribosomal RNA through necessary maturation processes. Proper function of TSR2 is essential for maintaining protein synthesis rates in cells.

Pathways

TSR2 is particularly important in the ribosome biogenesis pathway which is critical for the production of functional ribosomes in eukaryotic cells. It links with proteins such as RPS26 and late-acting ribosome biogenesis factors that contribute to ribosomal RNA processing. TSR2's place in the pathway ensures effective translation initiation and overall cellular protein synthesis.

TSR2 has connections to Diamond-Blackfan Anemia a rare genetic disorder characterized by failure of the bone marrow to produce red blood cells. Mutations or malfunctions in TSR2 disrupt ribosome biogenesis leading to defective erythropoiesis. In such cases TSR2 interaction with RPS26 becomes critical as this ribosomal protein is also implicated in the disease. Researchers continue to explore TSR2's involvement in other ribosomopathies highlighting its significance in hematological health.

Product protocols

For this product, it's our understanding that no specific protocols are required. You can visit:

Target data

May be involved in 20S pre-rRNA processing.
See full target information TSR2

Publications (1)

Recent publications for all applications. Explore the full list and refine your search

Cell 173:90-103.e19 PubMed29551269

2018

Ribosome Levels Selectively Regulate Translation and Lineage Commitment in Human Hematopoiesis.

Applications

Unspecified application

Species

Unspecified reactive species

Rajiv K Khajuria,Mathias Munschauer,Jacob C Ulirsch,Claudia Fiorini,Leif S Ludwig,Sean K McFarland,Nour J Abdulhay,Harrison Specht,Hasmik Keshishian,D R Mani,Marko Jovanovic,Steven R Ellis,Charles P Fulco,Jesse M Engreitz,Sabina Schütz,John Lian,Karen W Gripp,Olga K Weinberg,Geraldine S Pinkus,Lee Gehrke,Aviv Regev,Eric S Lander,Hanna T Gazda,Winston Y Lee,Vikram G Panse,Steven A Carr,Vijay G Sankaran
View all publications

Product promise

We are committed to supporting your work with high-quality reagents, and we're here for you every step of the way. In the unlikely event that one of our products does not perform as expected, you're protected by our Product Promise.
For full details, please see our Terms & Conditions

Please note: All products are 'FOR RESEARCH USE ONLY. NOT FOR USE IN DIAGNOSTIC OR THERAPEUTIC PROCEDURES'.

For licensing inquiries, please contact partnerships@abcam.com