JavaScript is disabled in your browser. Please enable JavaScript to view this website.
AB234669

Anti-TSSC3 antibody

4

(1 Review)

|

(1 Publication)

Rabbit Polyclonal TSSC3 antibody. Suitable for IHC-P and reacts with Human samples. Cited in 1 publication. Immunogen corresponding to Recombinant Full Length Protein corresponding to Human PHLDA2.

View Alternative Names

BWR1C, HLDA2, IPL, TSSC3, PHLDA2, Pleckstrin homology-like domain family A member 2, Beckwith-Wiedemann syndrome chromosomal region 1 candidate gene C protein, Imprinted in placenta and liver protein, Tumor-suppressing STF cDNA 3 protein, Tumor-suppressing subchromosomal transferable fragment candidate gene 3 protein, p17-Beckwith-Wiedemann region 1 C, p17-BWR1C

2 Images
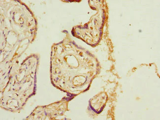
Immunohistochemistry (Formalin/PFA-fixed paraffin-embedded sections) - Anti-TSSC3 antibody (AB234669)
  • IHC-P

Supplier Data

Immunohistochemistry (Formalin/PFA-fixed paraffin-embedded sections) - Anti-TSSC3 antibody (AB234669)

Paraffin-embedded human placenta tissue stained for TSSC3 with ab234669 at 1/100 dilution in immunohistochemical analysis.

Immunohistochemistry (Formalin/PFA-fixed paraffin-embedded sections) - Anti-TSSC3 antibody (AB234669)
  • IHC-P

Supplier Data

Immunohistochemistry (Formalin/PFA-fixed paraffin-embedded sections) - Anti-TSSC3 antibody (AB234669)

Paraffin-embedded human prostate cancer tissue stained for TSSC3 with ab234669 at 1/100 dilution in immunohistochemical analysis.

Key facts

Host species

Rabbit

Clonality

Polyclonal

Isotype

IgG

Carrier free

No

Reacts with

Human

Applications

IHC-P

applications

Immunogen

Recombinant Full Length Protein corresponding to Human PHLDA2.

Q53GA4

Reactivity data

{ "title": "Reactivity Data", "filters": { "stats": ["", "Species", "Dilution Info", "Notes"], "tabs": { "all-applications": {"fullname" : "All Applications", "shortname": "All Applications"}, "IHCP" : {"fullname" : "Immunohistochemistry (Formalin/PFA-fixed paraffin-embedded sections)", "shortname":"IHC-P"} }, "product-promise": { "all": "all", "testedAndGuaranteed": "tested", "guaranteed": "expected", "predicted": "predicted", "notRecommended": "not-recommended" } }, "values": { "Human": { "IHCP-species-checked": "testedAndGuaranteed", "IHCP-species-dilution-info": "1/20 - 1/200", "IHCP-species-notes": "<p></p>" } } }

Properties and storage information

Form
Liquid
Purification technique
Affinity purification Immunogen
Storage buffer
pH: 7.3 Preservative: 0.02% Sodium azide Constituents: PBS, 50% Glycerol (glycerin, glycerine)
Shipped at conditions
Blue Ice
Appropriate short-term storage duration
1-2 weeks
Appropriate short-term storage conditions
+4°C
Appropriate long-term storage conditions
-20°C
Aliquoting information
Upon delivery aliquot
Storage information
Avoid freeze / thaw cycle

Supplementary information

This supplementary information is collated from multiple sources and compiled automatically.

TSSC3 also known as Tumor Suppressor Candidate 3 encodes a protein with a molecular weight of approximately 25 kDa. This protein is encoded by a gene located on human chromosome 11. TSSC3 undergoes expression in various tissues with high levels in the placenta and kidney. The protein functions as a pro-apoptotic factor playing a role in promoting apoptosis by influencing mitochondrial membrane potential and cytochrome c release.
Biological function summary

The protein encoded by TSSC3 acts in cellular processes that regulate apoptosis which is a mechanism of programmed cell death essential for maintaining cellular homeostasis. Though not part of a larger protein complex TSSC3 interacts with other mitochondrial proteins to execute its function as an apoptosis promoter. Its role in apoptosis suggests its importance in developmental processes and in the elimination of damaged cells thereby contributing to tissue health.

Pathways

TSSC3 modulates cellular apoptosis pathways including the intrinsic apoptotic pathway. Within these pathways TSSC3 interacts with proteins like BAX and BAK which influence mitochondrial membrane integrity and cytochrome c release. Through these interactions TSSC3 helps regulate the balance between cell survival and death influencing cell fate decisions in response to various stimuli.

TSSC3 has known associations with several cancers including Wilms' tumor and choriocarcinoma due to its tumor suppressor properties. When TSSC3 function is impaired or its expression reduced there is evidence suggesting an increase in tumorigenic activities. The relationship between TSSC3 and the p53 protein an important tumor suppressor further supports its role in cancer as they both influence apoptotic pathways that suppress abnormal cell proliferation.

Product protocols

For this product, it's our understanding that no specific protocols are required. You can visit:

Target data

Plays a role in regulating placenta growth. May act via its PH domain that competes with other PH domain-containing proteins, thereby preventing their binding to membrane lipids (By similarity).
See full target information PHLDA2

Publications (1)

Recent publications for all applications. Explore the full list and refine your search

International journal of molecular sciences 24: PubMed37298606

2023

Diagnostic Utility of TSSC3 and RB1 Immunohistochemistry in Hydatidiform Mole.

Applications

Unspecified application

Species

Unspecified reactive species

Wai Kit Chia,Pik Yuen Chia,Nor Haslinda Abdul Aziz,Salwati Shuib,Muaatamarulain Mustangin,Yoke Kqueen Cheah,Teck Yee Khong,Yin Ping Wong,Geok Chin Tan
View all publications

Product promise

We are committed to supporting your work with high-quality reagents, and we're here for you every step of the way. In the unlikely event that one of our products does not perform as expected, you're protected by our Product Promise.
For full details, please see our Terms & Conditions

Please note: All products are 'FOR RESEARCH USE ONLY. NOT FOR USE IN DIAGNOSTIC OR THERAPEUTIC PROCEDURES'.

For licensing inquiries, please contact partnerships@abcam.com