JavaScript is disabled in your browser. Please enable JavaScript to view this website.
AB251108

Anti-TSSK2 antibody [EPR16116] - BSA and Azide free

Be the first to review this product! Submit a review

|

(0 Publication)

Rabbit Recombinant Monoclonal TSSK2 antibody. Carrier free. Suitable for WB, IHC-P and reacts with Human, Mouse, Rat samples.

View Alternative Names

DGSG, SPOGA2, STK22B, TSSK2, Testis-specific serine/threonine-protein kinase 2, TSK-2, TSK2, TSSK-2, Testis-specific kinase 2, DiGeorge syndrome protein G, Serine/threonine-protein kinase 22B, DGS-G

3 Images
Immunohistochemistry (Formalin/PFA-fixed paraffin-embedded sections) - Anti-TSSK2 antibody [EPR16116] - BSA and Azide free (AB251108)
  • IHC-P

Supplier Data

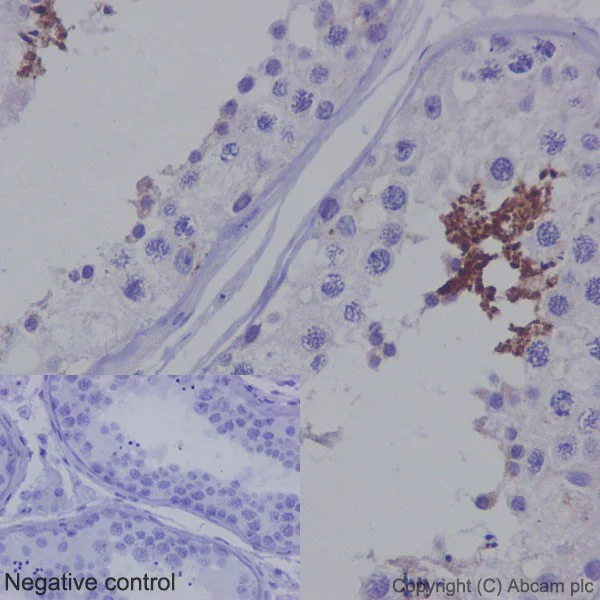
Immunohistochemistry (Formalin/PFA-fixed paraffin-embedded sections) - Anti-TSSK2 antibody [EPR16116] - BSA and Azide free (AB251108)

This data was developed using ab192026, the same antibody clone in a different buffer formulation.

Immunohistochemical analysis of paraffin-embedded Human testis tissue labeling TSSK2 with ab192026 at 1/1000 dilution, followed by prediluted HRP Polymer for Rabbit/Mouse IgG. Counter stained with Hematoxylin. The negative control utilised PBS instead of primary antibody.

Perform heat mediated antigen retrieval with Tris/EDTA buffer pH 9.0 before commencing with IHC staining protocol.

Western blot - Anti-TSSK2 antibody [EPR16116] - BSA and Azide free (AB251108)
  • WB

Supplier Data

Western blot - Anti-TSSK2 antibody [EPR16116] - BSA and Azide free (AB251108)

This data was developed using ab192026, the same antibody clone in a different buffer formulation.

Blocking and dilution buffer : 5% NFDM/TBST.

All lanes:

Western blot - Anti-TSSK2 antibody [EPR16116] (<a href='/en-us/products/primary-antibodies/tssk2-antibody-epr16116-ab192026'>ab192026</a>) at 1/1000 dilution

All lanes:

Human testis lysate at 10 µg

Secondary

All lanes:

Anti-Rabbit IgG (HRP), specific to the non-reduced form of IgG at 1/1000 dilution

Predicted band size: 41 kDa

Observed band size: 41 kDa

false

Western blot - Anti-TSSK2 antibody [EPR16116] - BSA and Azide free (AB251108)
  • WB

Supplier Data

Western blot - Anti-TSSK2 antibody [EPR16116] - BSA and Azide free (AB251108)

This data was developed using ab192026, the same antibody clone in a different buffer formulation.

Blocking and dilution buffer : 5% NFDM/TBST.

All lanes:

Western blot - Anti-TSSK2 antibody [EPR16116] (<a href='/en-us/products/primary-antibodies/tssk2-antibody-epr16116-ab192026'>ab192026</a>) at 1/1000 dilution

Lane 1:

Mouse testis lysate at 20 µg

Lane 2:

Rat testis lysate at 20 µg

Secondary

All lanes:

Goat Anti-Rabbit IgG, (H+L), Peroxidase conjugated at 1/1000 dilution

Predicted band size: 41 kDa

Observed band size: 41 kDa

false

Key facts

Host species

Rabbit

Clonality

Monoclonal

Clone number

EPR16116

Isotype

IgG

Carrier free

Yes

Reacts with

Mouse, Rat, Human

Applications

WB, IHC-P

applications

Immunogen

The exact immunogen used to generate this antibody is proprietary information.

Reactivity data

{ "title": "Reactivity Data", "filters": { "stats": ["", "Species", "Dilution Info", "Notes"], "tabs": { "all-applications": {"fullname" : "All Applications", "shortname": "All Applications"}, "WB" : {"fullname" : "Western blot", "shortname":"WB"}, "IHCP" : {"fullname" : "Immunohistochemistry (Formalin/PFA-fixed paraffin-embedded sections)", "shortname":"IHC-P"} }, "product-promise": { "all": "all", "testedAndGuaranteed": "tested", "guaranteed": "expected", "predicted": "predicted", "notRecommended": "not-recommended" } }, "values": { "Human": { "WB-species-checked": "testedAndGuaranteed", "WB-species-dilution-info": "", "WB-species-notes": "<p></p>", "IHCP-species-checked": "testedAndGuaranteed", "IHCP-species-dilution-info": "", "IHCP-species-notes": "<p></p>" }, "Mouse": { "WB-species-checked": "testedAndGuaranteed", "WB-species-dilution-info": "", "WB-species-notes": "<p></p>", "IHCP-species-checked": "guaranteed", "IHCP-species-dilution-info": "", "IHCP-species-notes": "" }, "Rat": { "WB-species-checked": "testedAndGuaranteed", "WB-species-dilution-info": "", "WB-species-notes": "<p></p>", "IHCP-species-checked": "guaranteed", "IHCP-species-dilution-info": "", "IHCP-species-notes": "" } } }

Product details

ab251108 is the carrier-free version of ab192026.

Patented technology
Our RabMAb® technology is a patented hybridoma-based technology for making rabbit monoclonal antibodies. For details on our patents, please refer to RabMAb® patents.

What are the advantages of a recombinant monoclonal antibody?
This product is a recombinant monoclonal antibody, which offers several advantages including:

  • - High batch-to-batch consistency and reproducibility
  • - Improved sensitivity and specificity
  • - Long-term security of supply
  • - Animal-free batch production

For more information, read more on recombinant antibodies.

Conjugation ready
Our carrier-free antibodies are typically supplied in a PBS-only formulation, purified and free of BSA, sodium azide and glycerol. This conjugation-ready format is designed for use with fluorochromes, metal isotopes, oligonucleotides, and enzymes, which makes them ideal for antibody labelling, functional and cell-based assays, flow-based assays (e.g. mass cytometry) and Multiplex Imaging applications.

Use our conjugation kits for antibody conjugates that are ready-to-use in as little as 20 minutes with 1 minute hands-on-time and 100% antibody recovery: available for fluorescent dyes, HRP, biotin and gold.

Compatibility
This product is compatible with the Maxpar® Antibody Labeling Kit from Fluidigm, without the need for antibody preparation. Maxpar® is a trademark of Fluidigm Canada Inc.

Properties and storage information

Form
Liquid
Purification technique
Affinity purification Protein A
Storage buffer
pH: 7.2 - 7.4 Constituents: PBS
Shipped at conditions
Blue Ice
Appropriate short-term storage conditions
+4°C
Appropriate long-term storage conditions
+4°C
Storage information
Do Not Freeze

Supplementary information

This supplementary information is collated from multiple sources and compiled automatically.

Testis-specific serine/threonine kinase 2 commonly known as TSSK2 is a serine/threonine protein kinase with a molecular weight of approximately 42 kDa. TSSK2 is predominantly expressed in testicular tissue where it plays an essential role in sperm development. The protein is characterized by a kinase domain that is important for its activity allowing it to transfer a phosphate group from ATP to serine/threonine residues on substrate proteins which affects their function and activity.
Biological function summary

The function of TSSK2 extends to supporting the process of spermatogenesis. It actively participates in sperm differentiation and maturation. TSSK2 does not typically form part of any larger protein complex but acts as an individual molecule with indispensable roles in sperm cell structure formation. Through its kinase activity it modifies other proteins critical for the development of functional sperm indicating its significant contribution to male fertility.

Pathways

TSSK2 engages in the meiosis and spermatogenesis pathways serving a purpose in cellular processes that are fundamental for male germ cell development. It interacts with proteins such as HSP90 a chaperone protein which assists in the folding and function of various protein kinases during sperm production. TSSK2's actions within these pathways highlight its functional relevance and linkage to essential reproductive processes.

TSSK2 shows known associations with male infertility particularly cases characterized by failure in sperm production or maturation. Its malfunction or deficiency can compromise spermatogenesis which may relate back to defective kinase activity. Furthermore TSSK2 interplays with other proteins such as CK2 another kinase which also impacts fertility highlighting the broader network of interactions in which TSSK2 participates. Understanding these associations provides insight into potential therapeutic targets for infertility.

Product protocols

For this product, it's our understanding that no specific protocols are required. You can visit:

Target data

Testis-specific serine/threonine-protein kinase required during spermatid development. Phosphorylates TSKS at 'Ser-288' and SPAG16. Involved in the late stages of spermatogenesis, during the reconstruction of the cytoplasm. During spermatogenesis, required for the transformation of a ring-shaped structure around the base of the flagellum originating from the chromatoid body.
See full target information TSSK2

Product promise

We are committed to supporting your work with high-quality reagents, and we're here for you every step of the way. In the unlikely event that one of our products does not perform as expected, you're protected by our Product Promise.
For full details, please see our Terms & Conditions

Please note: All products are 'FOR RESEARCH USE ONLY. NOT FOR USE IN DIAGNOSTIC OR THERAPEUTIC PROCEDURES'.

For licensing inquiries, please contact partnerships@abcam.com