JavaScript is disabled in your browser. Please enable JavaScript to view this website.
AB96764

Anti-TTC11/FIS1 antibody

4

(2 Reviews)

|

(28 Publications)

Rabbit Polyclonal TTC11/FIS1 antibody. Suitable for WB, IHC-P, ICC/IF and reacts with Human, Mouse samples. Cited in 28 publications. Immunogen corresponding to Recombinant Fragment Protein within Human FIS1 aa 1-150.

View Alternative Names

TTC11, CGI-135, FIS1, Mitochondrial fission 1 protein, FIS1 homolog, Tetratricopeptide repeat protein 11, hFis1, TPR repeat protein 11

8 Images
Immunocytochemistry/ Immunofluorescence - Anti-TTC11/FIS1 antibody (AB96764)
  • ICC/IF

Supplier Data

Immunocytochemistry/ Immunofluorescence - Anti-TTC11/FIS1 antibody (AB96764)

Immunofluorescence analysis of 2% paraformaldehyde/culture medium fixed at 37°C for 30 min HeLa cells labelling FIS1 protein at mitochondria using ab96764 at a 1/2000 dilution (Green). The nuclear counterstain is Hoechst 33342 (Blue). Scale bar= 10 µm.

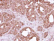
Immunohistochemistry (Formalin/PFA-fixed paraffin-embedded sections) - Anti-TTC11/FIS1 antibody (AB96764)
  • IHC-P

Unknown

Immunohistochemistry (Formalin/PFA-fixed paraffin-embedded sections) - Anti-TTC11/FIS1 antibody (AB96764)

Immunohistochemical analysis of TTC11/FIS1 in paraffin-embedded NCIN87 xenograft, using ab96764 antibody at 1/100 dilution.

Immunocytochemistry/ Immunofluorescence - Anti-TTC11/FIS1 antibody (AB96764)
  • ICC/IF

Unknown

Immunocytochemistry/ Immunofluorescence - Anti-TTC11/FIS1 antibody (AB96764)

ICC/IF image of ab96764 stained HeLa cells. The cells were 4% formaldehyde fixed (10 min) and then incubated in 1%BSA / 10% normal goat serum / 0.3M glycine in 0.1% PBS-Tween for 1h to permeabilise the cells and block non-specific protein-protein interactions. The cells were then incubated with the antibody (ab96764, 1µg/ml) overnight at +4°C. The secondary antibody (green) was ab96899, DyLight® 488 goat anti-rabbit IgG (H+L) used at a 1/250 dilution for 1h.Alexa Fluor® 594 WGA was used to label plasma membranes (red) at a 1/200 dilution for 1h. DAPI was used to stain the cell nuclei (blue) at a concentration of 1.43µM.

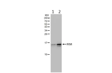
Western blot - Anti-TTC11/FIS1 antibody (AB96764)
  • WB

Supplier Data

Western blot - Anti-TTC11/FIS1 antibody (AB96764)

Samples were separated by 15% SDS-PAGE.

All lanes:

Western blot - Anti-TTC11/FIS1 antibody (ab96764) at 1/10000 dilution

Lane 1:

A549 whole cell extracts at 30 µg

Lane 2:

HeLa whole cell extracts at 30 µg

Secondary

All lanes:

HRP-conjugated anti-rabbit IgG antibody

Predicted band size: 17 kDa

false

Western blot - Anti-TTC11/FIS1 antibody (AB96764)
  • WB

Unknown

Western blot - Anti-TTC11/FIS1 antibody (AB96764)

15% SDS-PAGE

All lanes:

Western blot - Anti-TTC11/FIS1 antibody (ab96764) at 1/10000 dilution

All lanes:

Raji whole cell lysate at 30 µg

Predicted band size: 17 kDa

false

Western blot - Anti-TTC11/FIS1 antibody (AB96764)
  • WB

Supplier Data

Western blot - Anti-TTC11/FIS1 antibody (AB96764)

Samples were separated by 15% SDS-PAGE.

All lanes:

Western blot - Anti-TTC11/FIS1 antibody (ab96764) at 1/10000 dilution

Lane 1:

293T Whole cell extract at 30 µg

Lane 2:

A431 Whole cell extract at 30 µg

Lane 3:

HeLa Whole cell extract at 30 µg

Lane 4:

HepG2 Whole cell extract at 30 µg

Predicted band size: 17 kDa

false

Western blot - Anti-TTC11/FIS1 antibody (AB96764)
  • WB

Supplier Data

Western blot - Anti-TTC11/FIS1 antibody (AB96764)

Samples were separated by 15% SDS-PAGE.

All lanes:

Western blot - Anti-TTC11/FIS1 antibody (ab96764) at 1/5000 dilution

Lane 1:

Non-transfected (-) HeLa whole cell extracts at 30 µg

Lane 2:

FIS1 shRNA transfected (+) HeLa whole cell extracts at 30 µg

Secondary

All lanes:

HRP-conjugated anti-rabbit IgG antibody

Predicted band size: 17 kDa

false

Western blot - Anti-TTC11/FIS1 antibody (AB96764)
  • WB

Supplier Data

Western blot - Anti-TTC11/FIS1 antibody (AB96764)

Samples were separated by 15% SDS-PAGE.

All lanes:

Western blot - Anti-TTC11/FIS1 antibody (ab96764) at 1/5000 dilution

All lanes:

Mouse liver tissue extracts at 50 µg

Secondary

All lanes:

HRP-conjugated anti-rabbit IgG antibody

Predicted band size: 17 kDa

false

Key facts

Host species

Rabbit

Clonality

Polyclonal

Isotype

IgG

Carrier free

No

Reacts with

Mouse, Human

Applications

WB, ICC/IF, IHC-P

applications

Immunogen

Recombinant Fragment Protein within Human FIS1 aa 1-150. The exact immunogen used to generate this antibody is proprietary information.

Q9Y3D6

Reactivity data

{ "title": "Reactivity Data", "filters": { "stats": ["", "Species", "Dilution Info", "Notes"], "tabs": { "all-applications": {"fullname" : "All Applications", "shortname": "All Applications"}, "WB" : {"fullname" : "Western blot", "shortname":"WB"}, "IHCP" : {"fullname" : "Immunohistochemistry (Formalin/PFA-fixed paraffin-embedded sections)", "shortname":"IHC-P"}, "ICCIF" : {"fullname" : "Immunocytochemistry/ Immunofluorescence", "shortname":"ICC/IF"} }, "product-promise": { "all": "all", "testedAndGuaranteed": "tested", "guaranteed": "expected", "predicted": "predicted", "notRecommended": "not-recommended" } }, "values": { "Human": { "WB-species-checked": "testedAndGuaranteed", "WB-species-dilution-info": "1/500 - 1/20000", "WB-species-notes": "<p></p>", "IHCP-species-checked": "testedAndGuaranteed", "IHCP-species-dilution-info": "1/100 - 1/1000", "IHCP-species-notes": "<p></p>", "ICCIF-species-checked": "testedAndGuaranteed", "ICCIF-species-dilution-info": "1/500 - 1/2000", "ICCIF-species-notes": "<p></p>" }, "Mouse": { "WB-species-checked": "testedAndGuaranteed", "WB-species-dilution-info": "1/500 - 1/20000", "WB-species-notes": "<p></p>", "IHCP-species-checked": "guaranteed", "IHCP-species-dilution-info": "", "IHCP-species-notes": "", "ICCIF-species-checked": "guaranteed", "ICCIF-species-dilution-info": "", "ICCIF-species-notes": "" }, "Rat": { "WB-species-checked": "predicted", "WB-species-dilution-info": "", "WB-species-notes": "", "IHCP-species-checked": "predicted", "IHCP-species-dilution-info": "", "IHCP-species-notes": "", "ICCIF-species-checked": "predicted", "ICCIF-species-dilution-info": "", "ICCIF-species-notes": "" }, "Cow": { "WB-species-checked": "predicted", "WB-species-dilution-info": "", "WB-species-notes": "", "IHCP-species-checked": "predicted", "IHCP-species-dilution-info": "", "IHCP-species-notes": "", "ICCIF-species-checked": "predicted", "ICCIF-species-dilution-info": "", "ICCIF-species-notes": "" } } }

Properties and storage information

Form
Liquid
Purification technique
Affinity purification Immunogen
Storage buffer
pH: 7 Preservative: 0.025% Proclin 300 Constituents: PBS, 20% Glycerol (glycerin, glycerine)
Shipped at conditions
Blue Ice
Appropriate short-term storage conditions
+4°C
Appropriate long-term storage conditions
-20°C
Aliquoting information
Upon delivery aliquot
Storage information
Avoid freeze / thaw cycle

Supplementary information

This supplementary information is collated from multiple sources and compiled automatically.

TTC11 also known as FIS1 is a protein that plays an important role in mitochondrial dynamics. It has a molecular weight of approximately 17 kDa. The FIS1 protein is expressed in various tissues suggesting it has a broad functional impact across different cell types. Through its structure it facilitates mitochondrial fission by interacting with other mitochondrial proteins. This process ensures proper distribution and health of mitochondria within the cell.
Biological function summary

FIS1 is critical in controlling mitochondrial size and quantity. It is part of a complex that includes proteins like DRP1 which is heavily involved in promoting the division of mitochondria. By working with DRP1 FIS1 helps maintain cellular energy levels and dynamics by ensuring that mitochondria are appropriately divided and distributed. This role impacts overall cell health and function.

Pathways

FIS1 is integral to the pathways regulating mitochondrial fission and fusion. It interacts closely within the pathway involving DRP1 and MFF both of which are critical in these processes. Furthermore FIS1's interactions in these pathways help balance mitochondrial fission and fusion maintaining cellular energy homeostasis and proper mitochondrial function.

Defects in FIS1 function relate to neurodegenerative diseases such as Alzheimer's disease and Charcot-Marie-Tooth disease. In these contexts abnormal interactions with DRP1 can lead to impaired mitochondrial dynamics contributing to disease progression. Research into these relationships continues to uncover the important role FIS1 plays in maintaining cellular health and its potential as a therapeutic target.

Product protocols

For this product, it's our understanding that no specific protocols are required. You can visit:

Target data

Involved in the fragmentation of the mitochondrial network and its perinuclear clustering (PubMed : 12783892, PubMed : 12861026, PubMed : 14996942, PubMed : 23283981). Plays a minor role in the recruitment and association of the fission mediator dynamin-related protein 1 (DNM1L) to the mitochondrial surface and mitochondrial fission (PubMed : 12861026, PubMed : 16118244, PubMed : 23283981, PubMed : 23530241, PubMed : 24196833). May not be essential for the assembly of functional fission complexes and the subsequent membrane scission event (PubMed : 23530241, PubMed : 24196833). Also mediates peroxisomal fission (PubMed : 16107562). May act when the products of fission are directed toward mitochondrial homeostasis, mitophagy, or apoptosis (PubMed : 24196833). Can induce cytochrome c release from the mitochondrion to the cytosol, ultimately leading to apoptosis (PubMed : 12783892).
See full target information FIS1

Publications (28)

Recent publications for all applications. Explore the full list and refine your search

Physiological reports 13:e70350 PubMed40323180

2025

Mild hyperbaric oxygen enhances recovery of the plantaris muscle atrophy induced by cast immobilization of the hindlimb in male rats.

Applications

Unspecified application

Species

Unspecified reactive species

Ai Takemura,Tatsuro Egawa,Ryo Takagi,Ryota Iyama,Zhao Haiyu,Shinichiro Suzuki,Reika Fujino,Takuya Fukunaga,Tatsuya Hayashi,Satoshi Fujita

Cell reports 43:115001 PubMed39580803

2024

AMPK regulates Bcl2-L-13-mediated mitophagy induction for cardioprotection.

Applications

Unspecified application

Species

Unspecified reactive species

Tomokazu Murakawa,Jumpei Ito,Mara-Camelia Rusu,Manabu Taneike,Shigemiki Omiya,Javier Moncayo-Arlandi,Chiaki Nakanishi,Ryuta Sugihara,Hiroki Nishida,Kentaro Mine,Roland Fleck,Min Zhang,Kazuhiko Nishida,Ajay M Shah,Osamu Yamaguchi,Yasushi Sakata,Kinya Otsu

Frontiers in physiology 15:1420276 PubMed39282091

2024

Temporal expression of mitochondrial life cycle markers during acute and chronic overload of rat plantaris muscles.

Applications

Unspecified application

Species

Unspecified reactive species

Jon-Philippe K Hyatt,Emilie J Lu,Gary E McCall

Cellular and molecular life sciences : CMLS 81:344 PubMed39133273

2024

Exosomes derived from BMSCs in osteogenic differentiation promote type H blood vessel angiogenesis through miR-150-5p mediated metabolic reprogramming of endothelial cells.

Applications

Unspecified application

Species

Unspecified reactive species

Feng Wu,Chengchao Song,Guanqi Zhen,Qin Jin,Wei Li,Xiongjie Liang,Wenbo Xu,Wenhui Guo,Yang Yang,Wei Dong,Anlong Jiang,Pengyu Kong,Jinglong Yan

International journal of nanomedicine 17:5431-5446 PubMed36426375

2022

Activation of Dynamin-Related Protein 1 and Induction of Mitochondrial Apoptosis by Exosome-Rifampicin Nanoparticles Exerts Anti-Osteosarcoma Effect.

Applications

Unspecified application

Species

Unspecified reactive species

Wenkai Chen,Wenping Lin,Naichun Yu,Linlin Zhang,Zuoxing Wu,Yongjie Chen,Zongguang Li,Fengqing Gong,Na Li,Xiaohui Chen,Xu He,Yue Wu,Xiangchen Zeng,Yuting Yueh,Ren Xu,Guangrong Ji

Frontiers in endocrinology 13:928591 PubMed35992111

2022

Hyperglycemia aggravates ischemic brain damage ERK1/2 activated cell autophagy and mitochondrial fission.

Applications

Unspecified application

Species

Unspecified reactive species

Ping Liu,Xiao Yang,Jianguo Niu,Changchun Hei

International journal of molecular sciences 23: PubMed35682609

2022

Mitochondrial Dysfunction in Spinocerebellar Ataxia Type 3 Is Linked to VDAC1 Deubiquitination.

Applications

Unspecified application

Species

Unspecified reactive species

Tina Harmuth,Jonasz J Weber,Anna J Zimmer,Anna S Sowa,Jana Schmidt,Julia C Fitzgerald,Ludger Schöls,Olaf Riess,Jeannette Hübener-Schmid

Physiological reports 10:e15281 PubMed35439362

2022

Mitochondrial fusion- and fission-related protein expression in the regulation of skeletal muscle mass.

Applications

Unspecified application

Species

Unspecified reactive species

Daiki Nakano,Shuichi Machida

Evidence-based complementary and alternative medicine : eCAM 2022:3849441 PubMed35463064

2022

Electroacupuncture Attenuates Learning and Memory Impairment via PI3K/Akt Pathway in an Amyloid -Induced Alzheimer's Disease Mouse Model.

Applications

Unspecified application

Species

Unspecified reactive species

Si-Mai Shao,Kyung Hye Park,Ye Yuan,Zijuan Zhang,Yanwen You,Zhenqiang Zhang,Li Hao

The journal of physiological sciences : JPS 71:32 PubMed34663205

2021

Shen Qi Li Xin formula improves chronic heart failure through balancing mitochondrial fission and fusion via upregulation of PGC-1α.

Applications

Unspecified application

Species

Unspecified reactive species

Yan-Bo Sui,Jian Xiu,Jin-Xuan Wei,Pei-Pei Pan,Bi-Hong Sun,Li Liu
View all publications

Product promise

We are committed to supporting your work with high-quality reagents, and we're here for you every step of the way. In the unlikely event that one of our products does not perform as expected, you're protected by our Product Promise.
For full details, please see our Terms & Conditions

Please note: All products are 'FOR RESEARCH USE ONLY. NOT FOR USE IN DIAGNOSTIC OR THERAPEUTIC PROCEDURES'.

For licensing inquiries, please contact partnerships@abcam.com