JavaScript is disabled in your browser. Please enable JavaScript to view this website.
AB156865

Anti-TTC11/FIS1 antibody [EPR8412]

  • BOND RX™ Validated
  • RabMAb
  • Recombinant
  • KO Validated
  • What is this?

5

(3 Reviews)

|

(28 Publications)

Rabbit Recombinant Monoclonal TTC11/FIS1 antibody. Suitable for IHC-P, WB and reacts with Human samples. Cited in 28 publications.

View Alternative Names

TTC11, CGI-135, FIS1, Mitochondrial fission 1 protein, FIS1 homolog, Tetratricopeptide repeat protein 11, hFis1, TPR repeat protein 11

3 Images
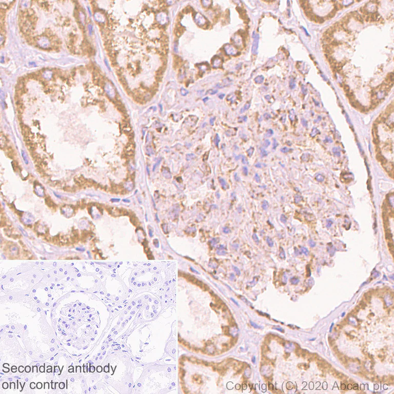
Immunohistochemistry (Formalin/PFA-fixed paraffin-embedded sections) - Anti-TTC11/FIS1 antibody [EPR8412] (AB156865)
  • IHC-P

Lab

Immunohistochemistry (Formalin/PFA-fixed paraffin-embedded sections) - Anti-TTC11/FIS1 antibody [EPR8412] (AB156865)

Immunohistochemistry (Formalin/PFA-fixed paraffin-embedded sections) analysis of human kidney tissue sections labeling TTC11/FIS1 with Purified ab156865 at 1/8000 dilution (0.08 µg/mL). Heat mediated antigen retrieval was performed using Heat mediated antigen retrieval using Bond™ Epitope Retrieval Solution 2 (pH 9.0) . Tissue was counterstained with Hematoxylin. Rabbit specific IHC polymer detection kit HRP/DAB (ab209101) secondary antibody was used. PBS instead of the primary antibody was used as the negative control. M3

Western blot - Anti-TTC11/FIS1 antibody [EPR8412] (AB156865)
  • WB

Unknown

Western blot - Anti-TTC11/FIS1 antibody [EPR8412] (AB156865)

All lanes:

Western blot - Anti-TTC11/FIS1 antibody [EPR8412] (ab156865) at 1/10000 dilution

Lane 1:

Jurkat (Human T cell leukemia T lymphocyte) whole cell lysate at 20 µg

Lane 2:

Raji (Human Burkitt's lymphoma B lymphocyte) whole cell lysate at 20 µg

Lane 3:

HEK-293 (Human embryonic kidney epithelial cell) whole cell lysate at 20 µg

Lane 4:

HepG2 (Human hepatocellular carcinoma epithelial cell) whole cell lysate at 20 µg

Secondary

All lanes:

Western blot - Goat Anti-Rabbit IgG H&L (HRP) (<a href='/en-us/products/secondary-antibodies/goat-rabbit-igg-h-l-hrp-ab97051'>ab97051</a>) at 1/20000 dilution

Predicted band size: 17 kDa

Observed band size: 15 kDa

false

Western blot - Anti-TTC11/FIS1 antibody [EPR8412] (AB156865)
  • WB

Lab

Western blot - Anti-TTC11/FIS1 antibody [EPR8412] (AB156865)

Western blot : Rabbit Monoclonal[EPR8412] to TTC11/FIS1 156865 staining at 1/10000 dilution, shown in green; Mouse anti GAPDH (ab8245) loading control staining at 1/20,000 dilution, shown in magenta. A band was observed at 16 kDa in Wild-type Jurkat cell lysates with no signal observed at this size in FIS1 knockout Jurkat cell line. To generate this image, samples were run on an SDS-PAGE gel then transferred onto a nitrocellulose membrane. Membranes were blocked in 3pc Milk in TBS-0.1 % Tween® 20 (TBS-T) before incubation with primary antibodies overnight at 4°C. Blots were washed four times in TBS-T, incubated with secondary antibodies for 1 h at room temperature, washed again four times then imaged. Secondary antibodies used were Goat anti-Rabbit 800CW & Goat anti-Mouse 680RD at 1/20,000 dilution.

All lanes:

Western blot - Anti-TTC11/FIS1 antibody [EPR8412] (ab156865) at 1/10000 dilution

Lane 1:

Wild-type Jurkat at 20 µg

Lane 2:

FIS1 knockout Jurkat at 20 µg

Lane 3:

HeLa at 20 µg

Secondary

All lanes:

Goat anti-Rabbit 800CW & Goat anti-Mouse 680RD at 1/20000 dilution

Predicted band size: 17 kDa

Observed band size: 16 kDa

false

Key facts

Host species

Rabbit

Clonality

Monoclonal

Clone number

EPR8412

Isotype

IgG

Carrier free

No

Reacts with

Human

Applications

WB, IHC-P

applications

Immunogen

The exact immunogen used to generate this antibody is proprietary information.

Reactivity data

{ "title": "Reactivity Data", "filters": { "stats": ["", "Species", "Dilution Info", "Notes"], "tabs": { "all-applications": {"fullname" : "All Applications", "shortname": "All Applications"}, "IHCP" : {"fullname" : "Immunohistochemistry (Formalin/PFA-fixed paraffin-embedded sections)", "shortname":"IHC-P"}, "WB" : {"fullname" : "Western blot", "shortname":"WB"} }, "product-promise": { "all": "all", "testedAndGuaranteed": "tested", "guaranteed": "expected", "predicted": "predicted", "notRecommended": "not-recommended" } }, "values": { "Human": { "IHCP-species-checked": "testedAndGuaranteed", "IHCP-species-dilution-info": "1/8000", "IHCP-species-notes": "<p></p> Perform heat-mediated antigen retrieval before commencing with IHC staining protocol.", "WB-species-checked": "testedAndGuaranteed", "WB-species-dilution-info": "1/10000", "WB-species-notes": "<p></p>" }, "Cow": { "IHCP-species-checked": "predicted", "IHCP-species-dilution-info": "", "IHCP-species-notes": "", "WB-species-checked": "predicted", "WB-species-dilution-info": "", "WB-species-notes": "" } } }

Product details

We are constantly working hard to ensure we provide our customers with best in class antibodies. As a result of this work we are pleased to now offer this antibody in purified format. We are in the process of updating our datasheets. The purified format is designated 'PUR' on our product labels. If you have any questions regarding this update, please contact our Scientific Support team.

Species reactivity
Mouse, Rat: We have preliminary internal testing data to indicate this antibody may not react with these species.
Please contact us for more information.

Patented technology
Our RabMAb® technology is a patented hybridoma-based technology for making rabbit monoclonal antibodies. For details on our patents, please refer to RabMAb® patents.

What are the advantages of a recombinant monoclonal antibody?
This product is a recombinant monoclonal antibody, which offers several advantages including:

  • - High batch-to-batch consistency and reproducibility
  • - Improved sensitivity and specificity
  • - Long-term security of supply
  • - Animal-free batch production

For more information, read more on recombinant antibodies.

Properties and storage information

Form
Liquid
Purification technique
Affinity purification Protein A
Storage buffer
pH: 7.2 - 7.4 Preservative: 0.01% Sodium azide Constituents: PBS, 40% Glycerol (glycerin, glycerine), 0.05% BSA
Shipped at conditions
Blue Ice
Appropriate short-term storage conditions
+4°C
Appropriate long-term storage conditions
-20°C
Aliquoting information
Upon delivery aliquot
Storage information
Avoid freeze / thaw cycle

Supplementary information

This supplementary information is collated from multiple sources and compiled automatically.

TTC11 also known as FIS1 is a protein that plays an important role in mitochondrial dynamics. It has a molecular weight of approximately 17 kDa. The FIS1 protein is expressed in various tissues suggesting it has a broad functional impact across different cell types. Through its structure it facilitates mitochondrial fission by interacting with other mitochondrial proteins. This process ensures proper distribution and health of mitochondria within the cell.
Biological function summary

FIS1 is critical in controlling mitochondrial size and quantity. It is part of a complex that includes proteins like DRP1 which is heavily involved in promoting the division of mitochondria. By working with DRP1 FIS1 helps maintain cellular energy levels and dynamics by ensuring that mitochondria are appropriately divided and distributed. This role impacts overall cell health and function.

Pathways

FIS1 is integral to the pathways regulating mitochondrial fission and fusion. It interacts closely within the pathway involving DRP1 and MFF both of which are critical in these processes. Furthermore FIS1's interactions in these pathways help balance mitochondrial fission and fusion maintaining cellular energy homeostasis and proper mitochondrial function.

Defects in FIS1 function relate to neurodegenerative diseases such as Alzheimer's disease and Charcot-Marie-Tooth disease. In these contexts abnormal interactions with DRP1 can lead to impaired mitochondrial dynamics contributing to disease progression. Research into these relationships continues to uncover the important role FIS1 plays in maintaining cellular health and its potential as a therapeutic target.

Product protocols

For this product, it's our understanding that no specific protocols are required. You can visit:

Target data

Involved in the fragmentation of the mitochondrial network and its perinuclear clustering (PubMed : 12783892, PubMed : 12861026, PubMed : 14996942, PubMed : 23283981). Plays a minor role in the recruitment and association of the fission mediator dynamin-related protein 1 (DNM1L) to the mitochondrial surface and mitochondrial fission (PubMed : 12861026, PubMed : 16118244, PubMed : 23283981, PubMed : 23530241, PubMed : 24196833). May not be essential for the assembly of functional fission complexes and the subsequent membrane scission event (PubMed : 23530241, PubMed : 24196833). Also mediates peroxisomal fission (PubMed : 16107562). May act when the products of fission are directed toward mitochondrial homeostasis, mitophagy, or apoptosis (PubMed : 24196833). Can induce cytochrome c release from the mitochondrion to the cytosol, ultimately leading to apoptosis (PubMed : 12783892).
See full target information FIS1

Publications (28)

Recent publications for all applications. Explore the full list and refine your search

Advanced science (Weinheim, Baden-Wurttemberg, Germany) 12:e2404107 PubMed39555688

2024

WAC Facilitates Mitophagy-mediated MSC Osteogenesis and New Bone Formation via Protecting PINK1 from Ubiquitination-Dependent Degradation.

Applications

Unspecified application

Species

Unspecified reactive species

Shuai Fan,Jinteng Li,Guan Zheng,Ziyue Ma,Xiaoshuai Peng,Zhongyu Xie,Wenjie Liu,Wenhui Yu,Jiajie Lin,Zepeng Su,Peitao Xu,Peng Wang,Yanfeng Wu,Huiyong Shen,Guiwen Ye

Journal of experimental & clinical cancer research : CR 43:273 PubMed39350223

2024

Targeting DNM1L/DRP1-FIS1 axis inhibits high-grade glioma progression by impeding mitochondrial respiratory cristae remodeling.

Applications

Unspecified application

Species

Unspecified reactive species

Xiaodong Li,Jingjing Tie,Yuze Sun,Chengrong Gong,Shizhou Deng,Xiyu Chen,Shujiao Li,Yaoliang Wang,Zhenhua Wang,Feifei Wu,Hui Liu,Yousheng Wu,Guopeng Zhang,Qingdong Guo,Yanling Yang,Yayun Wang

iScience 27:110280 PubMed39055921

2024

Pim-1 kinase protects the liver from ischemia reperfusion injury by regulating dynamics-related protein 1.

Applications

Unspecified application

Species

Unspecified reactive species

Yan-Dong Sun,Qing-Guo Xu,De-Shu Dai,Shu-Xian Wang,Xin-Qiang Li,Shang-Heng Shi,Peng Jiang,Yan Jin,Xin Wang,Yong Zhang,Feng Wang,Peng Liu,Bing-Liang Zhang,Tian-Xiang Li,Chuan-Shen Xu,Bin Wu,Jin-Zhen Cai

iScience 27:109502 PubMed38591009

2024

CircTMEM165 facilitates endothelial repair by modulating mitochondrial fission via miR-192/SCP2 and .

Applications

Unspecified application

Species

Unspecified reactive species

Yan Liu,Yanyan Yang,Min Li,Xiuxiu Fu,Xiangqin He,Xiaoxin Li,Jae Youl Cho,Pei-Feng Li,Tao Yu

Cell death & disease 14:827 PubMed38092752

2023

Fasting regulates mitochondrial function through lncRNA PRKCQ-AS1-mediated IGF2BPs in papillary thyroid carcinoma.

Applications

Unspecified application

Species

Unspecified reactive species

Xiaoping Zhang,Yong Zhong,Lin Liu,Chengyou Jia,Haidong Cai,Jianshe Yang,Bo Wu,Zhongwei Lv

Molecular psychiatry 28:4622-4631 PubMed37723283

2023

Mitochondrial health index correlates with plasma circulating cell-free mitochondrial DNA in bipolar disorder.

Applications

Unspecified application

Species

Unspecified reactive species

Rafaela C Cordeiro,Camila N C Lima,Gabriel R Fries,Giovana Zunta-Soares,Jair C Soares,João Quevedo,Giselli Scaini

Cell death & disease 14:585 PubMed37660127

2023

BCL2L13 promotes mitophagy through DNM1L-mediated mitochondrial fission in glioblastoma.

Applications

Unspecified application

Species

Unspecified reactive species

Jiwei Wang,Anbin Chen,Zhiwei Xue,Junzhi Liu,Ying He,Guowei Liu,Zhimin Zhao,Wenjie Li,Qing Zhang,Anjing Chen,Jian Wang,Xingang Li,Xinyu Wang,Bin Huang

Cellular and molecular life sciences : CMLS 80:213 PubMed37464072

2023

DUSP1 interacts with and dephosphorylates VCP to improve mitochondrial quality control against endotoxemia-induced myocardial dysfunction.

Applications

Unspecified application

Species

Unspecified reactive species

Hang Zhu,Jin Wang,Ting Xin,Shanshan Chen,Ruiying Hu,Yukun Li,Mingming Zhang,Hao Zhou

International journal of molecular sciences 24: PubMed37373507

2023

Taurine Protects against the Fatty Liver Hemorrhagic Syndrome in Laying Hens through the Regulation of Mitochondrial Homeostasis.

Applications

Unspecified application

Species

Unspecified reactive species

Jishuang San,Jianmin Hu,Huiping Pang,Wenjun Zuo,Na Su,Zimeng Guo,Gaofeng Wu,Jiancheng Yang

Molecular brain 16:36 PubMed37098623

2023

Tibial fracture surgery in elderly mice caused postoperative neurocognitive disorder via SOX2OT lncRNA in the hippocampus.

Applications

Unspecified application

Species

Unspecified reactive species

Zhibin Xiao,Xiajing Zhang,Guangyao Li,Li Sun,Jiangjing Li,Ziwei Jing,Qingya Qiu,Guangxiang He,Changjun Gao,Xude Sun
View all publications

Product promise

We are committed to supporting your work with high-quality reagents, and we're here for you every step of the way. In the unlikely event that one of our products does not perform as expected, you're protected by our Product Promise.
For full details, please see our Terms & Conditions

Please note: All products are 'FOR RESEARCH USE ONLY. NOT FOR USE IN DIAGNOSTIC OR THERAPEUTIC PROCEDURES'.

For licensing inquiries, please contact partnerships@abcam.com