JavaScript is disabled in your browser. Please enable JavaScript to view this website.
AB238929

Anti-TTC11/FIS1 antibody [EPR8412] - BSA and Azide free

Be the first to review this product! Submit a review

|

(1 Publication)

Rabbit Recombinant Monoclonal TTC11/FIS1 antibody. Carrier free. Suitable for IHC-P, WB and reacts with Human samples. Cited in 1 publication.

View Alternative Names

TTC11, CGI-135, FIS1, Mitochondrial fission 1 protein, FIS1 homolog, Tetratricopeptide repeat protein 11, hFis1, TPR repeat protein 11

2 Images
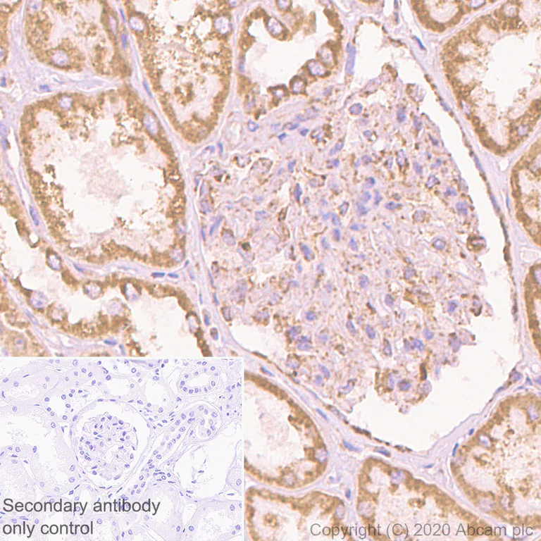
Immunohistochemistry (Formalin/PFA-fixed paraffin-embedded sections) - Anti-TTC11/FIS1 antibody [EPR8412] - BSA and Azide free (AB238929)
  • IHC-P

Lab

Immunohistochemistry (Formalin/PFA-fixed paraffin-embedded sections) - Anti-TTC11/FIS1 antibody [EPR8412] - BSA and Azide free (AB238929)

Immunohistochemistry (Formalin/PFA-fixed paraffin-embedded sections) analysis of human kidney tissue sections labeling TTC11/FIS1 with Purified ab156865 at 1/8000 dilution (0.08 μg/mL). Heat mediated antigen retrieval was performed using Heat mediated antigen retrieval using Bond™ Epitope Retrieval Solution 2 (pH 9.0) . Tissue was counterstained with Hematoxylin. Rabbit specific IHC polymer detection kit HRP/DAB (ab209101) secondary antibody was used. PBS instead of the primary antibody was used as the negative control. M3

This data was developed using ab156865, the same antibody clone in a different buffer formulation.

Western blot - Anti-TTC11/FIS1 antibody [EPR8412] - BSA and Azide free (AB238929)
  • WB

Unknown

Western blot - Anti-TTC11/FIS1 antibody [EPR8412] - BSA and Azide free (AB238929)

This data was developed using ab156865, the same antibody clone in a different buffer formulation.

All lanes:

Western blot - Anti-TTC11/FIS1 antibody [EPR8412] (<a href='/en-us/products/primary-antibodies/ttc11-fis1-antibody-epr8412-ab156865'>ab156865</a>) at 1/10000 dilution

Lane 1:

Jurkat (Human T cell leukemia T lymphocyte) whole cell lysate at 20 µg

Lane 2:

Raji (Human Burkitt's lymphoma B lymphocyte) whole cell lysate at 20 µg

Lane 3:

HEK-293 (Human embryonic kidney epithelial cell) whole cell lysate at 20 µg

Lane 4:

HepG2 (Human hepatocellular carcinoma epithelial cell) whole cell lysate at 20 µg

Secondary

All lanes:

Western blot - Goat Anti-Rabbit IgG H&L (HRP) (<a href='/en-us/products/secondary-antibodies/goat-rabbit-igg-h-l-hrp-ab97051'>ab97051</a>) at 1/20000 dilution

Predicted band size: 17 kDa

Observed band size: 15 kDa

false

Key facts

Host species

Rabbit

Clonality

Monoclonal

Clone number

EPR8412

Isotype

IgG

Carrier free

Yes

Reacts with

Human

Applications

WB, IHC-P

applications

Immunogen

The exact immunogen used to generate this antibody is proprietary information.

Reactivity data

{ "title": "Reactivity Data", "filters": { "stats": ["", "Species", "Dilution Info", "Notes"], "tabs": { "all-applications": {"fullname" : "All Applications", "shortname": "All Applications"}, "IHCP" : {"fullname" : "Immunohistochemistry (Formalin/PFA-fixed paraffin-embedded sections)", "shortname":"IHC-P"}, "WB" : {"fullname" : "Western blot", "shortname":"WB"} }, "product-promise": { "all": "all", "testedAndGuaranteed": "tested", "guaranteed": "expected", "predicted": "predicted", "notRecommended": "not-recommended" } }, "values": { "Human": { "IHCP-species-checked": "testedAndGuaranteed", "IHCP-species-dilution-info": "", "IHCP-species-notes": "<p></p>", "WB-species-checked": "testedAndGuaranteed", "WB-species-dilution-info": "", "WB-species-notes": "<p></p>" } } }

Product details

ab238929 is the carrier-free version of ab156865.

We are constantly working hard to ensure we provide our customers with best in class antibodies. As a result of this work we are pleased to now offer this antibody in purified format. We are in the process of updating our datasheets. The purified format is designated 'PUR' on our product labels. If you have any questions regarding this update, please contact our Scientific Support team.

Species reactivity
Mouse, Rat: We have preliminary internal testing data to indicate this antibody may not react with these species.
Please contact us for more information.

Patented technology
Our RabMAb® technology is a patented hybridoma-based technology for making rabbit monoclonal antibodies. For details on our patents, please refer to RabMAb® patents.

What are the advantages of a recombinant monoclonal antibody?
This product is a recombinant monoclonal antibody, which offers several advantages including:

  • - High batch-to-batch consistency and reproducibility
  • - Improved sensitivity and specificity
  • - Long-term security of supply
  • - Animal-free batch production

For more information, read more on recombinant antibodies.

Conjugation ready
Our carrier-free antibodies are typically supplied in a PBS-only formulation, purified and free of BSA, sodium azide and glycerol. This conjugation-ready format is designed for use with fluorochromes, metal isotopes, oligonucleotides, and enzymes, which makes them ideal for antibody labelling, functional and cell-based assays, flow-based assays (e.g. mass cytometry) and Multiplex Imaging applications.

Use our conjugation kits for antibody conjugates that are ready-to-use in as little as 20 minutes with 1 minute hands-on-time and 100% antibody recovery: available for fluorescent dyes, HRP, biotin and gold.

Compatibility
This product is compatible with the Maxpar® Antibody Labeling Kit from Fluidigm, without the need for antibody preparation. Maxpar® is a trademark of Fluidigm Canada Inc.

Properties and storage information

Form
Liquid
Purification technique
Affinity purification Protein A
Storage buffer
pH: 7.2 - 7.4 Constituents: PBS
Shipped at conditions
Blue Ice
Appropriate short-term storage conditions
+4°C
Appropriate long-term storage conditions
+4°C
Storage information
Do Not Freeze

Supplementary information

This supplementary information is collated from multiple sources and compiled automatically.

TTC11 also known as FIS1 is a protein that plays an important role in mitochondrial dynamics. It has a molecular weight of approximately 17 kDa. The FIS1 protein is expressed in various tissues suggesting it has a broad functional impact across different cell types. Through its structure it facilitates mitochondrial fission by interacting with other mitochondrial proteins. This process ensures proper distribution and health of mitochondria within the cell.
Biological function summary

FIS1 is critical in controlling mitochondrial size and quantity. It is part of a complex that includes proteins like DRP1 which is heavily involved in promoting the division of mitochondria. By working with DRP1 FIS1 helps maintain cellular energy levels and dynamics by ensuring that mitochondria are appropriately divided and distributed. This role impacts overall cell health and function.

Pathways

FIS1 is integral to the pathways regulating mitochondrial fission and fusion. It interacts closely within the pathway involving DRP1 and MFF both of which are critical in these processes. Furthermore FIS1's interactions in these pathways help balance mitochondrial fission and fusion maintaining cellular energy homeostasis and proper mitochondrial function.

Defects in FIS1 function relate to neurodegenerative diseases such as Alzheimer's disease and Charcot-Marie-Tooth disease. In these contexts abnormal interactions with DRP1 can lead to impaired mitochondrial dynamics contributing to disease progression. Research into these relationships continues to uncover the important role FIS1 plays in maintaining cellular health and its potential as a therapeutic target.

Product protocols

For this product, it's our understanding that no specific protocols are required. You can visit:

Target data

Involved in the fragmentation of the mitochondrial network and its perinuclear clustering (PubMed : 12783892, PubMed : 12861026, PubMed : 14996942, PubMed : 23283981). Plays a minor role in the recruitment and association of the fission mediator dynamin-related protein 1 (DNM1L) to the mitochondrial surface and mitochondrial fission (PubMed : 12861026, PubMed : 16118244, PubMed : 23283981, PubMed : 23530241, PubMed : 24196833). May not be essential for the assembly of functional fission complexes and the subsequent membrane scission event (PubMed : 23530241, PubMed : 24196833). Also mediates peroxisomal fission (PubMed : 16107562). May act when the products of fission are directed toward mitochondrial homeostasis, mitophagy, or apoptosis (PubMed : 24196833). Can induce cytochrome c release from the mitochondrion to the cytosol, ultimately leading to apoptosis (PubMed : 12783892).
See full target information FIS1

Publications (1)

Recent publications for all applications. Explore the full list and refine your search

Nature genetics 57:1142-1154 PubMed40229600

2025

Longitudinal single-cell multiomic atlas of high-risk neuroblastoma reveals chemotherapy-induced tumor microenvironment rewiring.

Applications

Unspecified application

Species

Unspecified reactive species

Wenbao Yu,Rumeysa Biyik-Sit,Yasin Uzun,Chia-Hui Chen,Anusha Thadi,Jonathan H Sussman,Minxing Pang,Chi-Yun Wu,Liron D Grossmann,Peng Gao,David W Wu,Aliza Yousey,Mei Zhang,Christina S Turn,Zhan Zhang,Shovik Bandyopadhyay,Jeffrey Huang,Tasleema Patel,Changya Chen,Daniel Martinez,Lea F Surrey,Michael D Hogarty,Kathrin Bernt,Nancy R Zhang,John M Maris,Kai Tan
View all publications

Product promise

We are committed to supporting your work with high-quality reagents, and we're here for you every step of the way. In the unlikely event that one of our products does not perform as expected, you're protected by our Product Promise.
For full details, please see our Terms & Conditions

Please note: All products are 'FOR RESEARCH USE ONLY. NOT FOR USE IN DIAGNOSTIC OR THERAPEUTIC PROCEDURES'.

For licensing inquiries, please contact partnerships@abcam.com