JavaScript is disabled in your browser. Please enable JavaScript to view this website.
AB250417

Anti-TTC4 antibody [EPR13381] - BSA and Azide free

Be the first to review this product! Submit a review

|

(0 Publication)

Rabbit Recombinant Monoclonal TTC4 antibody. Carrier free. Suitable for ICC/IF, IP, WB, IHC-P and reacts with Human samples.

View Alternative Names

My044, TTC4, Tetratricopeptide repeat protein 4, TPR repeat protein 4

6 Images
Immunohistochemistry (Formalin/PFA-fixed paraffin-embedded sections) - Anti-TTC4 antibody [EPR13381] - BSA and Azide free (AB250417)
  • IHC-P

Supplier Data

Immunohistochemistry (Formalin/PFA-fixed paraffin-embedded sections) - Anti-TTC4 antibody [EPR13381] - BSA and Azide free (AB250417)

This data was developed using ab181194, the same antibody clone in a different buffer formulation.

Immunohistochemical analysis of paraffin-embedded Human colon tissue labeling TTC4 with ab181194 at 1/100 dilution. Secondary antibody : anti rabbit IgG (HRP), prediluted. Counter stain : Hematoxylin.

Perform heat mediated antigen retrieval with EDTA buffer pH 9 before commencing with IHC staining protocol.

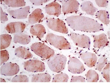
Immunohistochemistry (Formalin/PFA-fixed paraffin-embedded sections) - Anti-TTC4 antibody [EPR13381] - BSA and Azide free (AB250417)
  • IHC-P

Supplier Data

Immunohistochemistry (Formalin/PFA-fixed paraffin-embedded sections) - Anti-TTC4 antibody [EPR13381] - BSA and Azide free (AB250417)

This data was developed using ab181194, the same antibody clone in a different buffer formulation.

Immunohistochemical analysis of paraffin-embedded Human muscle tissue labeling TTC4 with ab181194 at 1/100 dilution. Secondary antibody : anti rabbit IgG (HRP), prediluted. Counter stain : Hematoxylin.

Perform heat mediated antigen retrieval with EDTA buffer pH 9 before commencing with IHC staining protocol.

Immunocytochemistry/ Immunofluorescence - Anti-TTC4 antibody [EPR13381] - BSA and Azide free (AB250417)
  • ICC/IF

Supplier Data

Immunocytochemistry/ Immunofluorescence - Anti-TTC4 antibody [EPR13381] - BSA and Azide free (AB250417)

This data was developed using ab181194, the same antibody clone in a different buffer formulation.

Immunofluorescent analysis of 4% paraformaldehyde fixed MCF7 cells labeling TTC4 with ab181194 at 1/200 dilution. Secondary antibody : Goat anti rabbit IgG (Alexa Fluor®488). Conterstained with Dapi (blue).

Western blot - Anti-TTC4 antibody [EPR13381] - BSA and Azide free (AB250417)
  • WB

Supplier Data

Western blot - Anti-TTC4 antibody [EPR13381] - BSA and Azide free (AB250417)

This data was developed using ab181194, the same antibody clone in a different buffer formulation.

All lanes:

Western blot - Anti-TTC4 antibody [EPR13381] (<a href='/en-us/products/primary-antibodies/ttc4-antibody-epr13381-ab181194'>ab181194</a>) at 1/10000 dilution

All lanes:

MCF7 cell lysate at 20 µg

Secondary

All lanes:

Goat Anti-Rabbit IgG, (H+L), Peroxidase conjugated at 1/1000 dilution

Predicted band size: 45 kDa

false

Immunoprecipitation - Anti-TTC4 antibody [EPR13381] - BSA and Azide free (AB250417)
  • IP

Supplier Data

Immunoprecipitation - Anti-TTC4 antibody [EPR13381] - BSA and Azide free (AB250417)

This data was developed using ab181194, the same antibody clone in a different buffer formulation.

Western blot analysis of TTC4 in immunoprecipitation pellets from 293T cell lysate.

Lane 1 : ab181194 used at 1/50 dilution.

Secondary antibody : Anti-Rabbit IgG (HRP), specific to the non-reduced form of IgG at 1/1500 dilution.

Lane 2 : Negative control

All lanes:

Immunoprecipitation - Anti-TTC4 antibody [EPR13381] (<a href='/en-us/products/primary-antibodies/ttc4-antibody-epr13381-ab181194'>ab181194</a>)

Predicted band size: 45 kDa

false

Western blot - Anti-TTC4 antibody [EPR13381] - BSA and Azide free (AB250417)
  • WB

Supplier Data

Western blot - Anti-TTC4 antibody [EPR13381] - BSA and Azide free (AB250417)

This data was developed using ab181194, the same antibody clone in a different buffer formulation.

All lanes:

Western blot - Anti-TTC4 antibody [EPR13381] (<a href='/en-us/products/primary-antibodies/ttc4-antibody-epr13381-ab181194'>ab181194</a>) at 1/50000 dilution

Lane 1:

293T cell lysate at 20 µg

Lane 2:

HepG2 cell lysate at 20 µg

Lane 3:

U87-MG cell lysate at 20 µg

Secondary

All lanes:

Goat Anti-Rabbit IgG, (H+L), Peroxidase conjugated at 1/1000 dilution

Predicted band size: 45 kDa

false

Key facts

Host species

Rabbit

Clonality

Monoclonal

Clone number

EPR13381

Isotype

IgG

Carrier free

Yes

Reacts with

Human

Applications

IHC-P, WB, ICC/IF, IP

applications

Immunogen

The exact immunogen used to generate this antibody is proprietary information.

Reactivity data

{ "title": "Reactivity Data", "filters": { "stats": ["", "Species", "Dilution Info", "Notes"], "tabs": { "all-applications": {"fullname" : "All Applications", "shortname": "All Applications"}, "ICCIF" : {"fullname" : "Immunocytochemistry/ Immunofluorescence", "shortname":"ICC/IF"}, "IP" : {"fullname" : "Immunoprecipitation", "shortname":"IP"}, "WB" : {"fullname" : "Western blot", "shortname":"WB"}, "IHCP" : {"fullname" : "Immunohistochemistry (Formalin/PFA-fixed paraffin-embedded sections)", "shortname":"IHC-P"} }, "product-promise": { "all": "all", "testedAndGuaranteed": "tested", "guaranteed": "expected", "predicted": "predicted", "notRecommended": "not-recommended" } }, "values": { "Human": { "ICCIF-species-checked": "testedAndGuaranteed", "ICCIF-species-dilution-info": "", "ICCIF-species-notes": "<p></p>", "IP-species-checked": "testedAndGuaranteed", "IP-species-dilution-info": "", "IP-species-notes": "<p></p>", "WB-species-checked": "testedAndGuaranteed", "WB-species-dilution-info": "", "WB-species-notes": "<p></p>", "IHCP-species-checked": "testedAndGuaranteed", "IHCP-species-dilution-info": "", "IHCP-species-notes": "<p></p>" } } }

Product details

ab250417 is the carrier-free version of ab181194.

Patented technology
Our RabMAb® technology is a patented hybridoma-based technology for making rabbit monoclonal antibodies. For details on our patents, please refer to RabMAb® patents.

What are the advantages of a recombinant monoclonal antibody?
This product is a recombinant monoclonal antibody, which offers several advantages including:

  • - High batch-to-batch consistency and reproducibility
  • - Improved sensitivity and specificity
  • - Long-term security of supply
  • - Animal-free batch production

For more information, read more on recombinant antibodies.

Conjugation ready
Our carrier-free antibodies are typically supplied in a PBS-only formulation, purified and free of BSA, sodium azide and glycerol. This conjugation-ready format is designed for use with fluorochromes, metal isotopes, oligonucleotides, and enzymes, which makes them ideal for antibody labelling, functional and cell-based assays, flow-based assays (e.g. mass cytometry) and Multiplex Imaging applications.

Use our conjugation kits for antibody conjugates that are ready-to-use in as little as 20 minutes with 1 minute hands-on-time and 100% antibody recovery: available for fluorescent dyes, HRP, biotin and gold.

Compatibility
This product is compatible with the Maxpar® Antibody Labeling Kit from Fluidigm, without the need for antibody preparation. Maxpar® is a trademark of Fluidigm Canada Inc.

Properties and storage information

Form
Liquid
Purification technique
Affinity purification Protein A
Storage buffer
pH: 7.2 - 7.4 Constituents: PBS
Shipped at conditions
Blue Ice
Appropriate short-term storage conditions
+4°C
Appropriate long-term storage conditions
+4°C
Storage information
Do Not Freeze

Supplementary information

This supplementary information is collated from multiple sources and compiled automatically.

TTC4 also known as Tetratricopeptide Repeat Protein 4 has a molecular mass of approximately 44 kDa. It functions as a molecular chaperone assisting in the folding and stability of other proteins. TTC4 contains tetratricopeptide repeat (TPR) motifs which play a role in protein-protein interactions. These motifs enable TTC4 to interact with various cellular proteins. It is expressed widely in human tissues with higher levels observed in the heart brain and testis.
Biological function summary

The tetratricopeptide repeats in TTC4 facilitate its role as a part of multiprotein complexes. This protein takes part in regulating important cellular processes like cell cycle control and stress response. TTC4 assists in stabilizing proteins during cellular stress ensuring proper cellular function under adverse conditions. It may also interact with heat shock proteins (HSPs) contributing to protein homeostasis in cells.

Pathways

This protein is involved in important cellular processes including the signal transduction pathways and protein quality control pathways. TTC4 is notably involved in the chaperone-mediated autophagy pathway where it regulates the turnover and recycling of damaged proteins. It relates to proteins such as Hsp70 which are central to cellular stress response mechanisms. This relationship plays an important role in maintaining protein stability and cellular function.

TTC4's role in maintaining cellular protein stability links it to conditions caused by protein misfolding. Misregulation in its function may contribute to neurodegenerative diseases such as Alzheimer's disease where excessive protein aggregation occurs. Additionally TTC4 interacts with proteins like Tau which are important in the pathogenesis of Alzheimer's. Aberrations in TTC4 might also influence cancer progression due to its involvement in cell cycle regulation linking it to proteins such as p53 known for its tumor suppressor role.

Product protocols

For this product, it's our understanding that no specific protocols are required. You can visit:

Target data

May act as a co-chaperone for HSP90AB1 (PubMed : 18320024). Promotes Sendai virus (SeV)-induced host cell innate immune responses (PubMed : 29251827).
See full target information TTC4

Product promise

We are committed to supporting your work with high-quality reagents, and we're here for you every step of the way. In the unlikely event that one of our products does not perform as expected, you're protected by our Product Promise.
For full details, please see our Terms & Conditions

Please note: All products are 'FOR RESEARCH USE ONLY. NOT FOR USE IN DIAGNOSTIC OR THERAPEUTIC PROCEDURES'.

For licensing inquiries, please contact partnerships@abcam.com