JavaScript is disabled in your browser. Please enable JavaScript to view this website.
AB235537

Anti-TTC9C antibody

Be the first to review this product! Submit a review

|

(1 Publication)

Rabbit Polyclonal TTC9C antibody. Suitable for WB, IHC-P and reacts with Human samples. Cited in 1 publication. Immunogen corresponding to Recombinant Full Length Protein corresponding to Human TTC9C.

View Alternative Names

Tetratricopeptide repeat protein 9C, TPR repeat protein 9C, TTC9C

2 Images
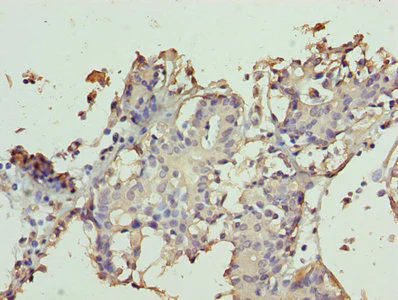
Immunohistochemistry (Formalin/PFA-fixed paraffin-embedded sections) - Anti-TTC9C antibody (AB235537)
  • IHC-P

Supplier Data

Immunohistochemistry (Formalin/PFA-fixed paraffin-embedded sections) - Anti-TTC9C antibody (AB235537)

Paraffin-embedded human breast cancer tissue stained for TTC9C using ab235537 at 1/100 dilution in immunohistochemical analysis.

Western blot - Anti-TTC9C antibody (AB235537)
  • WB

Supplier Data

Western blot - Anti-TTC9C antibody (AB235537)

All lanes:

Western blot - Anti-TTC9C antibody (ab235537) at 1/1000 dilution

All lanes:

THP-1 (Human monocytic leukemia cell line) whole cell lysate

Secondary

All lanes:

Goat polyclonal to rabbit IgG at 1/10000 dilution

Predicted band size: 20 kDa

false

Key facts

Host species

Rabbit

Clonality

Polyclonal

Isotype

IgG

Carrier free

No

Reacts with

Human

Applications

WB, IHC-P

applications

Immunogen

Recombinant Full Length Protein corresponding to Human TTC9C.

Q8N5M4

Reactivity data

{ "title": "Reactivity Data", "filters": { "stats": ["", "Species", "Dilution Info", "Notes"], "tabs": { "all-applications": {"fullname" : "All Applications", "shortname": "All Applications"}, "WB" : {"fullname" : "Western blot", "shortname":"WB"}, "IHCP" : {"fullname" : "Immunohistochemistry (Formalin/PFA-fixed paraffin-embedded sections)", "shortname":"IHC-P"} }, "product-promise": { "all": "all", "testedAndGuaranteed": "tested", "guaranteed": "expected", "predicted": "predicted", "notRecommended": "not-recommended" } }, "values": { "Human": { "WB-species-checked": "testedAndGuaranteed", "WB-species-dilution-info": "1/1000 - 1/5000", "WB-species-notes": "<p></p>", "IHCP-species-checked": "testedAndGuaranteed", "IHCP-species-dilution-info": "1/20 - 1/200", "IHCP-species-notes": "<p></p>" }, "Mouse": { "WB-species-checked": "predicted", "WB-species-dilution-info": "", "WB-species-notes": "", "IHCP-species-checked": "predicted", "IHCP-species-dilution-info": "", "IHCP-species-notes": "" }, "Rat": { "WB-species-checked": "predicted", "WB-species-dilution-info": "", "WB-species-notes": "", "IHCP-species-checked": "predicted", "IHCP-species-dilution-info": "", "IHCP-species-notes": "" }, "Cow": { "WB-species-checked": "predicted", "WB-species-dilution-info": "", "WB-species-notes": "", "IHCP-species-checked": "predicted", "IHCP-species-dilution-info": "", "IHCP-species-notes": "" }, "Cynomolgus monkey": { "WB-species-checked": "predicted", "WB-species-dilution-info": "", "WB-species-notes": "", "IHCP-species-checked": "predicted", "IHCP-species-dilution-info": "", "IHCP-species-notes": "" } } }

Properties and storage information

Form
Liquid
Purification technique
Affinity purification Protein G
Purification notes
Purity >95%.
Storage buffer
pH: 7.4 Preservative: 0.03% Proclin 300 Constituents: PBS, 50% Glycerol (glycerin, glycerine)
Shipped at conditions
Blue Ice
Appropriate short-term storage duration
1-2 weeks
Appropriate short-term storage conditions
+4°C
Appropriate long-term storage conditions
-20°C
Aliquoting information
Upon delivery aliquot
Storage information
Avoid freeze / thaw cycle

Supplementary information

This supplementary information is collated from multiple sources and compiled automatically.

Tetratricopeptide repeat domain 9C (TTC9C) also known as TPR repeat protein is a protein coding gene with an estimated molecular mass of approximately 42 kDa. It contains multiple tetratricopeptide repeat domains which suggest a role in protein-protein interactions. TTC9C is expressed in various tissues with significant expression observed in the brain and testis. Its expression pattern suggests a role in cellular activities related to these tissues.
Biological function summary

TTC9C participates in processes involving cell cycle regulation and signal transduction. It may act as part of a protein complex that coordinates these functions. Studies indicate its association with cellular growth and differentiation potentially influencing cellular responses through interactions with other signaling proteins. These aspects imply TTC9C has a role in maintaining cellular homeostasis and adapting to extracellular signals.

Pathways

Several pathway interactions involve TTC9C including the Wnt signaling pathway and the MAPK signaling pathway. In these pathways TTC9C could interact with key signaling molecules such as β-catenin in the Wnt pathway and MEK1/2 in the MAPK pathway. These interactions can affect processes like gene transcription and cell proliferation linking TTC9C to broader regulatory networks essential for normal cellular operations.

Research links TTC9C to neurological disorders and certain cancers. Abnormal expression or mutations in TTC9C are observed in conditions such as schizophrenia connecting it to proteins like DISC1 which also influence brain function. In cancer especially ovarian cancer TTC9C interactions with other oncogenic proteins might contribute to tumorigenesis processes. Understanding these connections might aid in developing therapeutic strategies targeting TTC9C-involved pathways.

Product protocols

For this product, it's our understanding that no specific protocols are required. You can visit:

Publications (1)

Recent publications for all applications. Explore the full list and refine your search

BMC cancer 23:1065 PubMed37932706

2023

A pan-cancer analysis revealing the role of LFNG, MFNG and RFNG in tumor prognosis and microenvironment.

Applications

Unspecified application

Species

Unspecified reactive species

Xun Gong,Chenglong Zheng,Haiying Jia,Yangruiyu Liu,Rui Yang,Zizhou Chen,Yihang Pan,Xiaowu Li,Yuchen Liu
View all publications

Product promise

We are committed to supporting your work with high-quality reagents, and we're here for you every step of the way. In the unlikely event that one of our products does not perform as expected, you're protected by our Product Promise.
For full details, please see our Terms & Conditions

Please note: All products are 'FOR RESEARCH USE ONLY. NOT FOR USE IN DIAGNOSTIC OR THERAPEUTIC PROCEDURES'.

For licensing inquiries, please contact partnerships@abcam.com