JavaScript is disabled in your browser. Please enable JavaScript to view this website.
AB212886

Anti-TTF1/Nkx2-1 antibody [8G7G3/1] - BSA and Azide free

Be the first to review this product! Submit a review

|

(1 Publication)

Mouse Monoclonal TTF1 antibody. Carrier free. Suitable for IHC-P and reacts with Human samples. Cited in 1 publication. Immunogen corresponding to Recombinant Full Length Protein corresponding to Rat Nkx2-1.

View Alternative Names

NKX2A, TITF1, TTF1, NKX2-1, Homeobox protein Nkx-2.1, Homeobox protein NK-2 homolog A, Thyroid nuclear factor 1, Thyroid transcription factor 1, Thyroid-specific enhancer-binding protein, TTF-1, T/EBP

2 Images
Immunohistochemistry (Formalin/PFA-fixed paraffin-embedded sections) - Anti-TTF1/Nkx2-1 antibody [8G7G3/1] - BSA and Azide free (AB212886)
  • IHC-P

Supplier Data

Immunohistochemistry (Formalin/PFA-fixed paraffin-embedded sections) - Anti-TTF1/Nkx2-1 antibody [8G7G3/1] - BSA and Azide free (AB212886)

Immunohistochemical analysisn of formalin fixed, paraffin embedded Human thyroid tissue labeling TTF1/Nkx2-1 with ab212886 at 1 μg/ml.

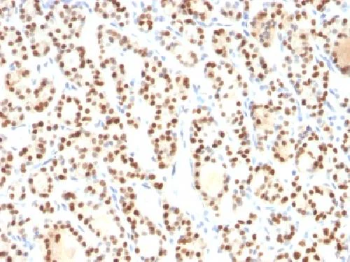
Immunohistochemistry (Formalin/PFA-fixed paraffin-embedded sections) - Anti-TTF1/Nkx2-1 antibody [8G7G3/1] - BSA and Azide free (AB212886)
  • IHC-P

Supplier Data

Immunohistochemistry (Formalin/PFA-fixed paraffin-embedded sections) - Anti-TTF1/Nkx2-1 antibody [8G7G3/1] - BSA and Azide free (AB212886)

Immunohistochemical analysisn of formalin fixed, paraffin embedded Human lung adenocarcinoma tissue labeling TTF1/Nkx2-1 with ab212886 at 1 μg/ml.

Key facts

Host species

Mouse

Clonality

Monoclonal

Clone number

8G7G3/1

Isotype

IgG1

Light chain type

kappa

Carrier free

Yes

Reacts with

Human

Applications

IHC-P

applications

Immunogen

Recombinant Full Length Protein corresponding to Rat Nkx2-1.

P23441

Reactivity data

{ "title": "Reactivity Data", "filters": { "stats": ["", "Species", "Dilution Info", "Notes"], "tabs": { "all-applications": {"fullname" : "All Applications", "shortname": "All Applications"}, "IHCP" : {"fullname" : "Immunohistochemistry (Formalin/PFA-fixed paraffin-embedded sections)", "shortname":"IHC-P"} }, "product-promise": { "all": "all", "testedAndGuaranteed": "tested", "guaranteed": "expected", "predicted": "predicted", "notRecommended": "not-recommended" } }, "values": { "Human": { "IHCP-species-checked": "testedAndGuaranteed", "IHCP-species-dilution-info": "0.5-1 µg/mL", "IHCP-species-notes": "<p></p> Perform heat-mediated antigen retrieval with citrate buffer pH 6 before commencing with IHC staining protocol." } } }

Properties and storage information

Form
Liquid
Purification technique
Affinity purification Protein A/G
Purification notes
purified from Bioreactor Concentrates
Storage buffer
pH: 7.2 - 7.4 Constituents: PBS
Shipped at conditions
Blue Ice
Appropriate short-term storage duration
1-2 weeks
Appropriate short-term storage conditions
+4°C
Appropriate long-term storage conditions
-20°C
Aliquoting information
Upon delivery aliquot
Storage information
Avoid freeze / thaw cycle

Supplementary information

This supplementary information is collated from multiple sources and compiled automatically.

TTF1 also known as Nkx2-1 is a transcription factor with a molecular mass of approximately 38 kDa. It plays a significant role in regulating gene expression. This target is mainly expressed in tissues such as the thyroid lung and the brain. In the thyroid it activates genes associated with thyroid hormone synthesis while in the lung it regulates genes important for lung development and function. It is also referred to by other alternate names such as anti-TTF1 and NKX2.1.
Biological function summary

TTF1/Nkx2-1 is essential for organ-specific development and maintenance. It is a critical component of transcriptional complexes that modulate the expression of genes during the development of the thyroid and lung tissues. TTF1/Nkx2-1 impacts cellular processes by controlling genes involved in differentiation. Its regulatory functions play an important role in dictating cell fate decisions and maintaining organ identity.

Pathways

The activity of TTF1/Nkx2-1 integrates into the TGF-beta signaling and Wnt pathways. These pathways are imperative for cellular proliferation and differentiation. TTF1/Nkx2-1 possesses interactions with proteins like SMADs within the TGF-beta pathway influencing cellular responses. Similarly it interacts with beta-catenin in the Wnt pathway contributing to the modulation of gene expression relevant to developmental processes.

TTF1/Nkx2-1 has been associated with conditions like lung cancer and congenital hypothyroidism. Altered expression or mutations in this transcription factor can lead to these disorders. For instance in lung cancer the aberrant expression of TTF1/Nkx2-1 may involve proteins such as EGFR which contributes to tumorigenesis. In congenital hypothyroidism disruptions in TTF1/Nkx2-1 activity can affect thyroid hormone synthesis-related proteins impacting metabolic processes.

Product protocols

For this product, it's our understanding that no specific protocols are required. You can visit:

Target data

Transcription factor that binds and activates the promoter of thyroid specific genes such as thyroglobulin, thyroperoxidase, and thyrotropin receptor. Crucial in the maintenance of the thyroid differentiation phenotype. May play a role in lung development and surfactant homeostasis. Forms a regulatory loop with GRHL2 that coordinates lung epithelial cell morphogenesis and differentiation. Activates the transcription of GNRHR and plays a role in enhancing the circadian oscillation of its gene expression. Represses the transcription of the circadian transcriptional repressor NR1D1 (By similarity).
See full target information NKX2-1

Publications (1)

Recent publications for all applications. Explore the full list and refine your search

International journal of molecular medicine 43:890-900 PubMed30535488

2018

Adipose extracellular matrix promotes skin wound healing by inducing the differentiation of adipose‑derived stem cells into fibroblasts.

Applications

Unspecified application

Species

Unspecified reactive species

Zhi-Qiang Zhou,Yi Chen,Mi Chai,Ran Tao,Yong-Hong Lei,Yi-Qing Jia,Jun Shu,Jing Ren,Guo Li,Wen-Xin Wei,Yu-Di Han,Yan Han
View all publications

Product promise

We are committed to supporting your work with high-quality reagents, and we're here for you every step of the way. In the unlikely event that one of our products does not perform as expected, you're protected by our Product Promise.
For full details, please see our Terms & Conditions

Please note: All products are 'FOR RESEARCH USE ONLY. NOT FOR USE IN DIAGNOSTIC OR THERAPEUTIC PROCEDURES'.

For licensing inquiries, please contact partnerships@abcam.com