JavaScript is disabled in your browser. Please enable JavaScript to view this website.
AB216648

Anti-TTF1/Nkx2-1 antibody [EP1584Y] - BSA and Azide free

5

(1 Review)

|

(19 Publications)

Rabbit Recombinant Monoclonal TTF1 antibody. Carrier free. Suitable for IHC-P, WB and reacts with Mouse, Human, Rat samples. Cited in 19 publications.

View Alternative Names

NKX2A, TITF1, TTF1, NKX2-1, Homeobox protein Nkx-2.1, Homeobox protein NK-2 homolog A, Thyroid nuclear factor 1, Thyroid transcription factor 1, Thyroid-specific enhancer-binding protein, TTF-1, T/EBP

5 Images
Immunohistochemistry (Formalin/PFA-fixed paraffin-embedded sections) - Anti-TTF1/Nkx2-1 antibody [EP1584Y] - BSA and Azide free (AB216648)
  • IHC-P

Unknown

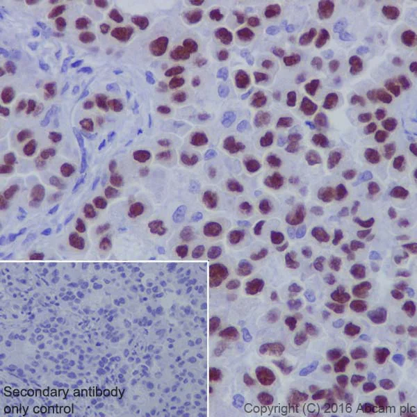
Immunohistochemistry (Formalin/PFA-fixed paraffin-embedded sections) - Anti-TTF1/Nkx2-1 antibody [EP1584Y] - BSA and Azide free (AB216648)

This IHC data was generated using the same anti-TTF1/Nkx2-1 antibody clone, EP1584Y, in a different buffer formulation (cat# ab76013).

Immunohistochemistry (Formalin/PFA-fixed paraffin-embedded sections) analysis of human lung carcinoma tissue sections labeling TTF1/Nkx2-1 with purified ab76013 at 1/250 dilution (0.6 μg/ml). Heat mediated antigen retrieval was performed using EDTA Buffer, PH9. Hematoxylin was used to counter stain. ab97051, a Goat Anti-Rabbit IgG H&L (HRP) secondary antibody was used at 1/500 dilution. PBS instead of the primary antibody was used as the negative control.

Immunohistochemistry (Formalin/PFA-fixed paraffin-embedded sections) - Anti-TTF1/Nkx2-1 antibody [EP1584Y] - BSA and Azide free (AB216648)
  • IHC-P

Unknown

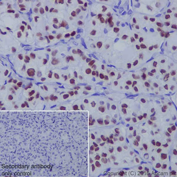
Immunohistochemistry (Formalin/PFA-fixed paraffin-embedded sections) - Anti-TTF1/Nkx2-1 antibody [EP1584Y] - BSA and Azide free (AB216648)

Immunohistochemistry (Formalin/PFA-fixed paraffin-embedded sections) analysis of human thyroid carcinoma tissue sections labeling TTF1/Nkx2-1 with purified ab76013 at 1/250 dilution (0.6 μg/ml). Heat mediated antigen retrieval was performed using EDTA Buffer, PH9. Hematoxylin was used to counter stain. ab97051, a Goat Anti-Rabbit IgG H&L (HRP) secondary antibody was used at 1/500 dilution. PBS instead of the primary antibody was used as the negative control.

This data was developed using the same antibody clone in a different buffer formulation containing PBS, BSA, glycerol, and sodium azide (ab76013).

Immunohistochemistry - Anti-TTF1/Nkx2-1 antibody [EP1584Y] - BSA and Azide free (AB216648)
  • IHC

Lab

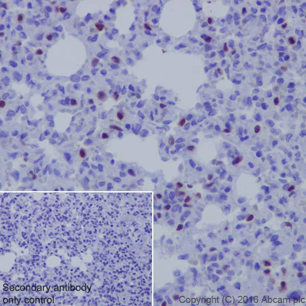
Immunohistochemistry - Anti-TTF1/Nkx2-1 antibody [EP1584Y] - BSA and Azide free (AB216648)

This data was developed using the same antibody clone in a different buffer formulation containing PBS, BSA, glycerol, and sodium azide (ab76013).

Immunohistochemical analysis of formalin fixed paraffin embedded human thyroid labelling TTF1 with ab76013 at a concentration of 0.1 μg/ml. The immunostaining was performed on a Ventana DISCOVERY ULTRA (Roche Tissue Diagnostics) instrument with a OptiView DAB IHC Detection Kit. Heat mediated antigen retrieval was performed with DISCOVERY cell conditioning solution (CC1) 100°C, pH 8.5 for 32 mins.

ab76013 anti-TTF1 [EP1584Y] was incubated for 16 mins at 37°C. Sections were counterstained with Hematoxylin II. Image inset shows absence of staining in secondary antibody only control.

Customers are encouraged to optimise antigen retrieval conditions, antibody concentration, incubation times and temperature for best results in their own IHC assay workflow (automated and manual).

Immunohistochemistry (Formalin/PFA-fixed paraffin-embedded sections) - Anti-TTF1/Nkx2-1 antibody [EP1584Y] - BSA and Azide free (AB216648)
  • IHC-P

Unknown

Immunohistochemistry (Formalin/PFA-fixed paraffin-embedded sections) - Anti-TTF1/Nkx2-1 antibody [EP1584Y] - BSA and Azide free (AB216648)

Immunohistochemistry (Formalin/PFA-fixed paraffin-embedded sections) analysis of rat lung tissue sections labeling TTF1/Nkx2-1 with purified ab76013 at 1/250 dilution (0.6 μg/ml). Heat mediated antigen retrieval was performed using EDTA Buffer, PH9. Hematoxylin was used to counter stain. ab97051, a Goat Anti-Rabbit IgG H&L (HRP) secondary antibody was used at 1/500 dilution. PBS instead of the primary antibody was used as the negative control.

This data was developed using the same antibody clone in a different buffer formulation containing PBS, BSA, glycerol, and sodium azide (ab76013).

Western blot - Anti-TTF1/Nkx2-1 antibody [EP1584Y] - BSA and Azide free (AB216648)
  • WB

Lab

Western blot - Anti-TTF1/Nkx2-1 antibody [EP1584Y] - BSA and Azide free (AB216648)

This data was developed using ab76013, the same antibody clone in a different buffer formulation. Different batches of ab76013 were tested on HeLa (Human cervix adenocarcinoma epithelial cell) lysate at 0.05 µg/ml. 15 µg of lysate was loaded in each lane. Bands observed at 40 kDa.

All lanes:

Western blot - Anti-TTF1/Nkx2-1 antibody [EP1584Y] (<a href='/en-us/products/primary-antibodies/ttf1-nkx2-1-antibody-ep1584y-ab76013'>ab76013</a>)

Predicted band size: 39 kDa

false

  • Unconjugated

    Anti-TTF1/Nkx2-1 antibody [EP1584Y]

  • Biotin

    Biotin Anti-TTF1/Nkx2-1 antibody [EP1584Y]

Key facts

Host species

Rabbit

Clonality

Monoclonal

Clone number

EP1584Y

Isotype

IgG

Carrier free

Yes

Reacts with

Mouse, Rat, Human

Applications

WB, IHC-P

applications

Immunogen

The exact immunogen used to generate this antibody is proprietary information.

Reactivity data

{ "title": "Reactivity Data", "filters": { "stats": ["", "Species", "Dilution Info", "Notes"], "tabs": { "all-applications": {"fullname" : "All Applications", "shortname": "All Applications"}, "IHCP" : {"fullname" : "Immunohistochemistry (Formalin/PFA-fixed paraffin-embedded sections)", "shortname":"IHC-P"}, "IP" : {"fullname" : "Immunoprecipitation", "shortname":"IP"}, "FlowCyt" : {"fullname" : "Flow Cytometry", "shortname":"Flow Cyt"}, "WB" : {"fullname" : "Western blot", "shortname":"WB"}, "ICCIF" : {"fullname" : "Immunocytochemistry/ Immunofluorescence", "shortname":"ICC/IF"} }, "product-promise": { "all": "all", "testedAndGuaranteed": "tested", "guaranteed": "expected", "predicted": "predicted", "notRecommended": "not-recommended" } }, "values": { "Human": { "IHCP-species-checked": "testedAndGuaranteed", "IHCP-species-dilution-info": "", "IHCP-species-notes": "<p></p>", "IP-species-checked": "notRecommended", "IP-species-dilution-info": "", "IP-species-notes": "<p></p>", "FlowCyt-species-checked": "notRecommended", "FlowCyt-species-dilution-info": "", "FlowCyt-species-notes": "<p></p>", "WB-species-checked": "testedAndGuaranteed", "WB-species-dilution-info": "", "WB-species-notes": "<p></p>", "ICCIF-species-checked": "notRecommended", "ICCIF-species-dilution-info": "", "ICCIF-species-notes": "<p></p>" }, "Mouse": { "IHCP-species-checked": "testedAndGuaranteed", "IHCP-species-dilution-info": "", "IHCP-species-notes": "<p></p>", "IP-species-checked": "notRecommended", "IP-species-dilution-info": "", "IP-species-notes": "<p></p>", "FlowCyt-species-checked": "notRecommended", "FlowCyt-species-dilution-info": "", "FlowCyt-species-notes": "<p></p>", "WB-species-checked": "testedAndGuaranteed", "WB-species-dilution-info": "", "WB-species-notes": "<p></p>", "ICCIF-species-checked": "notRecommended", "ICCIF-species-dilution-info": "", "ICCIF-species-notes": "<p></p>" }, "Rat": { "IHCP-species-checked": "testedAndGuaranteed", "IHCP-species-dilution-info": "", "IHCP-species-notes": "<p></p>", "IP-species-checked": "notRecommended", "IP-species-dilution-info": "", "IP-species-notes": "<p></p>", "FlowCyt-species-checked": "notRecommended", "FlowCyt-species-dilution-info": "", "FlowCyt-species-notes": "<p></p>", "WB-species-checked": "testedAndGuaranteed", "WB-species-dilution-info": "", "WB-species-notes": "<p></p>", "ICCIF-species-checked": "notRecommended", "ICCIF-species-dilution-info": "", "ICCIF-species-notes": "<p></p>" } } }

Product details

ab216648 is the carrier-free version of ab76013.

Patented technology
Our RabMAb® technology is a patented hybridoma-based technology for making rabbit monoclonal antibodies. For details on our patents, please refer to RabMAb® patents.

What are the advantages of a recombinant monoclonal antibody?
This product is a recombinant monoclonal antibody, which offers several advantages including:

  • - High batch-to-batch consistency and reproducibility
  • - Improved sensitivity and specificity
  • - Long-term security of supply
  • - Animal-free batch production

For more information, read more on recombinant antibodies.

Conjugation ready
Our carrier-free antibodies are typically supplied in a PBS-only formulation, purified and free of BSA, sodium azide and glycerol. This conjugation-ready format is designed for use with fluorochromes, metal isotopes, oligonucleotides, and enzymes, which makes them ideal for antibody labelling, functional and cell-based assays, flow-based assays (e.g. mass cytometry) and Multiplex Imaging applications.

Use our conjugation kits for antibody conjugates that are ready-to-use in as little as 20 minutes with 1 minute hands-on-time and 100% antibody recovery: available for fluorescent dyes, HRP, biotin and gold.

Compatibility
This product is compatible with the Maxpar® Antibody Labeling Kit from Fluidigm, without the need for antibody preparation. Maxpar® is a trademark of Fluidigm Canada Inc.

Properties and storage information

Form
Liquid
Purification technique
Affinity purification Protein A
Storage buffer
pH: 7.2 - 7.4 Constituents: PBS
Shipped at conditions
Blue Ice
Appropriate short-term storage conditions
+4°C
Appropriate long-term storage conditions
+4°C
Storage information
Do Not Freeze

Supplementary information

This supplementary information is collated from multiple sources and compiled automatically.

TTF1 also known as Nkx2-1 is a transcription factor with a molecular mass of approximately 38 kDa. It plays a significant role in regulating gene expression. This target is mainly expressed in tissues such as the thyroid lung and the brain. In the thyroid it activates genes associated with thyroid hormone synthesis while in the lung it regulates genes important for lung development and function. It is also referred to by other alternate names such as anti-TTF1 and NKX2.1.
Biological function summary

TTF1/Nkx2-1 is essential for organ-specific development and maintenance. It is a critical component of transcriptional complexes that modulate the expression of genes during the development of the thyroid and lung tissues. TTF1/Nkx2-1 impacts cellular processes by controlling genes involved in differentiation. Its regulatory functions play an important role in dictating cell fate decisions and maintaining organ identity.

Pathways

The activity of TTF1/Nkx2-1 integrates into the TGF-beta signaling and Wnt pathways. These pathways are imperative for cellular proliferation and differentiation. TTF1/Nkx2-1 possesses interactions with proteins like SMADs within the TGF-beta pathway influencing cellular responses. Similarly it interacts with beta-catenin in the Wnt pathway contributing to the modulation of gene expression relevant to developmental processes.

TTF1/Nkx2-1 has been associated with conditions like lung cancer and congenital hypothyroidism. Altered expression or mutations in this transcription factor can lead to these disorders. For instance in lung cancer the aberrant expression of TTF1/Nkx2-1 may involve proteins such as EGFR which contributes to tumorigenesis. In congenital hypothyroidism disruptions in TTF1/Nkx2-1 activity can affect thyroid hormone synthesis-related proteins impacting metabolic processes.

Product protocols

For this product, it's our understanding that no specific protocols are required. You can visit:

Target data

Transcription factor that binds and activates the promoter of thyroid specific genes such as thyroglobulin, thyroperoxidase, and thyrotropin receptor. Crucial in the maintenance of the thyroid differentiation phenotype. May play a role in lung development and surfactant homeostasis. Forms a regulatory loop with GRHL2 that coordinates lung epithelial cell morphogenesis and differentiation. Activates the transcription of GNRHR and plays a role in enhancing the circadian oscillation of its gene expression. Represses the transcription of the circadian transcriptional repressor NR1D1 (By similarity).
See full target information NKX2-1

Publications (19)

Recent publications for all applications. Explore the full list and refine your search

The Journal of neuroscience : the official journal of the Society for Neuroscience 35:12869-89 PubMed26377473

2015

Prox1 Regulates the Subtype-Specific Development of Caudal Ganglionic Eminence-Derived GABAergic Cortical Interneurons.

Applications

Unspecified application

Species

Unspecified reactive species

Goichi Miyoshi,Allison Young,Timothy Petros,Theofanis Karayannis,Melissa McKenzie Chang,Alfonso Lavado,Tomohiko Iwano,Miho Nakajima,Hiroki Taniguchi,Z Josh Huang,Nathaniel Heintz,Guillermo Oliver,Fumio Matsuzaki,Robert P Machold,Gord Fishell

Scientific reports 5:12258 PubMed26193445

2015

Association of astrocytes with neurons and astrocytes derived from distinct progenitor domains in the subpallium.

Applications

IHC-FoFr

Species

Mouse

Makio Torigoe,Kenta Yamauchi,Yan Zhu,Hiroaki Kobayashi,Fujio Murakami

Development (Cambridge, England) 142:1267-78 PubMed25804737

2015

Duration of culture and sonic hedgehog signaling differentially specify PV versus SST cortical interneuron fates from embryonic stem cells.

Applications

Unspecified application

Species

Unspecified reactive species

Jennifer A Tyson,Ethan M Goldberg,Asif M Maroof,Qing Xu,Timothy J Petros,Stewart A Anderson

European journal of cardio-thoracic surgery : offi 46:e103-12 PubMed25312525

2014

Lung mesenchymal cells function as an inductive microenvironment for human lung cancer propagating cells†.

Applications

Unspecified application

Species

Unspecified reactive species

Luca Ampollini,Denise Madeddu,Angela Falco,Caterina Frati,Bruno Lorusso,Gallia Graiani,Francesca Saccani,Andrea Gervasi,Pietro Rossetti,Sabrina Bonomini,Letizia Gnetti,Costanza Annamaria Lagrasta,Enrico Maria Silini,Eugenio Quaini,Piergiorgio Petronini,Roberta Alfieri,Michele Rusca,Paolo Carbognani,Federico Quaini

Cancer research 74:5978-88 PubMed25217522

2014

Modeling lung cancer evolution and preclinical response by orthotopic mouse allografts.

Applications

Unspecified application

Species

Unspecified reactive species

Chiara Ambrogio,Francisco J Carmona,August Vidal,Mattia Falcone,Patricia Nieto,Octavio A Romero,Sara Puertas,Miguel Vizoso,Ernest Nadal,Teresa Poggio,Montserrat Sánchez-Céspedes,Manel Esteller,Francisca Mulero,Claudia Voena,Roberto Chiarle,Mariano Barbacid,David Santamaría,Alberto Villanueva

Cerebral cortex (New York, N.Y. : 1991) 26:131-43 PubMed25146370

2014

The Role of Sonic Hedgehog in the Specification of Human Cortical Progenitors In Vitro.

Applications

Unspecified application

Species

Human

Nevena V Radonjić,Fani Memi,Juan Alberto Ortega,Nicole Glidden,Haiying Zhan,Nada Zecevic

Frontiers in neuroanatomy 8:82 PubMed25165435

2014

The complexity of the calretinin-expressing progenitors in the human cerebral cortex.

Applications

Unspecified application

Species

Unspecified reactive species

Nevena V Radonjić,Juan A Ortega,Fani Memi,Krista Dionne,Igor Jakovcevski,Nada Zecevic

Cell death & disease 5:e1311 PubMed24991763

2014

Ketamine alters cortical integration of GABAergic interneurons and induces long-term sex-dependent impairments in transgenic Gad67-GFP mice.

Applications

WB

Species

Mouse

C Aligny,C Roux,N Dourmap,Y Ramdani,J-C Do-Rego,S Jégou,P Leroux,I Leroux-Nicollet,S Marret,B J Gonzalez

Cancer discovery 4:781-9 PubMed24740995

2014

Obligate progression precedes lung adenocarcinoma dissemination.

Applications

IHC

Species

Unspecified reactive species

Deborah R Caswell,Chen-Hua Chuang,Dian Yang,Shin-Heng Chiou,Shashank Cheemalavagu,Caroline Kim-Kiselak,Andrew Connolly,Monte M Winslow

Proceedings of the National Academy of Sciences of 111:E1723-30 PubMed24706852

2014

Generation of multiciliated cells in functional airway epithelia from human induced pluripotent stem cells.

Applications

Unspecified application

Species

Unspecified reactive species

Amy L Firth,Carl T Dargitz,Susan J Qualls,Tushar Menon,Rebecca Wright,Oded Singer,Fred H Gage,Ajai Khanna,Inder M Verma
View all publications

Product promise

We are committed to supporting your work with high-quality reagents, and we're here for you every step of the way. In the unlikely event that one of our products does not perform as expected, you're protected by our Product Promise.
For full details, please see our Terms & Conditions

Please note: All products are 'FOR RESEARCH USE ONLY. NOT FOR USE IN DIAGNOSTIC OR THERAPEUTIC PROCEDURES'.

For licensing inquiries, please contact partnerships@abcam.com