JavaScript is disabled in your browser. Please enable JavaScript to view this website.
AB137061

Anti-TTF1/Nkx2-1 antibody [EPR8190-138]

Be the first to review this product! Submit a review

|

(1 Publication)

Rabbit Recombinant Monoclonal TTF1 antibody. Suitable for IHC-P, WB and reacts with Human, Mouse, Rat samples. Cited in 1 publication.

View Alternative Names

NKX2A, TITF1, TTF1, NKX2-1, Homeobox protein Nkx-2.1, Homeobox protein NK-2 homolog A, Thyroid nuclear factor 1, Thyroid transcription factor 1, Thyroid-specific enhancer-binding protein, TTF-1, T/EBP

9 Images
Immunohistochemistry (Formalin/PFA-fixed paraffin-embedded sections) - Anti-TTF1/Nkx2-1 antibody [EPR8190-138] (AB137061)
  • IHC-P

Unknown

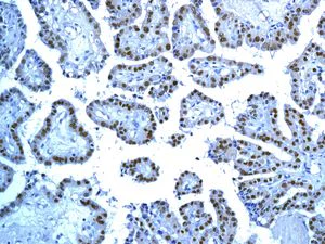
Immunohistochemistry (Formalin/PFA-fixed paraffin-embedded sections) - Anti-TTF1/Nkx2-1 antibody [EPR8190-138] (AB137061)

Immunohistochemical analysis of paraffin-embedded Human lung carcinoma tissue labelling TTF1/Nkx2-1 with ab137061 at 1/250 dilution.

Perform heat mediated antigen retrieval with citrate buffer pH 6 before commencing with IHC staining protocol.

Immunohistochemistry (Formalin/PFA-fixed paraffin-embedded sections) - Anti-TTF1/Nkx2-1 antibody [EPR8190-138] (AB137061)
  • IHC-P

Unknown

Immunohistochemistry (Formalin/PFA-fixed paraffin-embedded sections) - Anti-TTF1/Nkx2-1 antibody [EPR8190-138] (AB137061)

Immunohistochemical analysis of paraffin-embedded Human papillary thyroid carcinoma tissue labelling TTF1 with ab137061 at 1/250 dilution.

Perform heat mediated antigen retrieval with citrate buffer pH 6 before commencing with IHC staining protocol.

Immunohistochemistry (Formalin/PFA-fixed paraffin-embedded sections) - Anti-TTF1/Nkx2-1 antibody [EPR8190-138] (AB137061)
  • IHC-P

Unknown

Immunohistochemistry (Formalin/PFA-fixed paraffin-embedded sections) - Anti-TTF1/Nkx2-1 antibody [EPR8190-138] (AB137061)

Immunohistochemical analysis using ab137061 showing positive staining in Normal lung tissue.

Perform heat mediated antigen retrieval with citrate buffer pH 6 before commencing with IHC staining protocol.

Immunohistochemistry (Formalin/PFA-fixed paraffin-embedded sections) - Anti-TTF1/Nkx2-1 antibody [EPR8190-138] (AB137061)
  • IHC-P

Unknown

Immunohistochemistry (Formalin/PFA-fixed paraffin-embedded sections) - Anti-TTF1/Nkx2-1 antibody [EPR8190-138] (AB137061)

Immunohistochemical analysis using ab137061 showing positive staining in Thyroid gland tissue.

Perform heat mediated antigen retrieval with citrate buffer pH 6 before commencing with IHC staining protocol.

Immunohistochemistry (Formalin/PFA-fixed paraffin-embedded sections) - Anti-TTF1/Nkx2-1 antibody [EPR8190-138] (AB137061)
  • IHC-P

Unknown

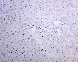
Immunohistochemistry (Formalin/PFA-fixed paraffin-embedded sections) - Anti-TTF1/Nkx2-1 antibody [EPR8190-138] (AB137061)

Immunohistochemical analysis using ab137061 showing negative staining in Normal liver tissue.

Perform heat mediated antigen retrieval with citrate buffer pH 6 before commencing with IHC staining protocol.

Immunohistochemistry (Formalin/PFA-fixed paraffin-embedded sections) - Anti-TTF1/Nkx2-1 antibody [EPR8190-138] (AB137061)
  • IHC-P

Unknown

Immunohistochemistry (Formalin/PFA-fixed paraffin-embedded sections) - Anti-TTF1/Nkx2-1 antibody [EPR8190-138] (AB137061)

Immunohistochemical analysis using ab137061 showing positive staining in Thyroid gland papillary carcinoma tissue.

Perform heat mediated antigen retrieval with citrate buffer pH 6 before commencing with IHC staining protocol.

Immunohistochemistry (Formalin/PFA-fixed paraffin-embedded sections) - Anti-TTF1/Nkx2-1 antibody [EPR8190-138] (AB137061)
  • IHC-P

Unknown

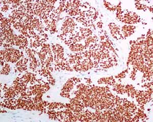
Immunohistochemistry (Formalin/PFA-fixed paraffin-embedded sections) - Anti-TTF1/Nkx2-1 antibody [EPR8190-138] (AB137061)

Immunohistochemical analysis using ab137061 showing positive staining in Small cell lung carcinoma tissue.

Perform heat mediated antigen retrieval with citrate buffer pH 6 before commencing with IHC staining protocol.

Immunohistochemistry (Formalin/PFA-fixed paraffin-embedded sections) - Anti-TTF1/Nkx2-1 antibody [EPR8190-138] (AB137061)
  • IHC-P

Unknown

Immunohistochemistry (Formalin/PFA-fixed paraffin-embedded sections) - Anti-TTF1/Nkx2-1 antibody [EPR8190-138] (AB137061)

Immunohistochemical analysis using ab137061 showing positive staining in Lung squamous carcinoma tissue.

Perform heat mediated antigen retrieval with citrate buffer pH 6 before commencing with IHC staining protocol.

Western blot - Anti-TTF1/Nkx2-1 antibody [EPR8190-138] (AB137061)
  • WB

Unknown

Western blot - Anti-TTF1/Nkx2-1 antibody [EPR8190-138] (AB137061)

All lanes:

Western blot - Anti-TTF1/Nkx2-1 antibody [EPR8190-138] (ab137061) at 1/1000 dilution

Lane 1:

Human fetal lung tissue lysate at 10 µg

Lane 2:

Human lung adenocarcinoma tissue lysate at 10 µg

Lane 3:

Rat lung tissue lysate at 10 µg

Lane 4:

Mouse lung tissue lysate at 10 µg

Secondary

All lanes:

HRP labelled Goat anti-Rabbit IgG at 1/2000 dilution

Predicted band size: 39 kDa

false

  • Carrier free

    Anti-TTF1/Nkx2-1 antibody [EPR8190-138] - BSA and Azide free

Key facts

Host species

Rabbit

Clonality

Monoclonal

Clone number

EPR8190-138

Isotype

IgG

Carrier free

No

Reacts with

Mouse, Rat, Human

Applications

WB, IHC-P

applications

Immunogen

The exact immunogen used to generate this antibody is proprietary information.

Reactivity data

{ "title": "Reactivity Data", "filters": { "stats": ["", "Species", "Dilution Info", "Notes"], "tabs": { "all-applications": {"fullname" : "All Applications", "shortname": "All Applications"}, "IHCP" : {"fullname" : "Immunohistochemistry (Formalin/PFA-fixed paraffin-embedded sections)", "shortname":"IHC-P"}, "ICCIF" : {"fullname" : "Immunocytochemistry/ Immunofluorescence", "shortname":"ICC/IF"}, "WB" : {"fullname" : "Western blot", "shortname":"WB"} }, "product-promise": { "all": "all", "testedAndGuaranteed": "tested", "guaranteed": "expected", "predicted": "predicted", "notRecommended": "not-recommended" } }, "values": { "Human": { "IHCP-species-checked": "testedAndGuaranteed", "IHCP-species-dilution-info": "1/250 - 1/500", "IHCP-species-notes": "<p></p>", "ICCIF-species-checked": "notRecommended", "ICCIF-species-dilution-info": "", "ICCIF-species-notes": "<p></p>", "WB-species-checked": "testedAndGuaranteed", "WB-species-dilution-info": "1/1000 - 1/10000", "WB-species-notes": "<p></p>" }, "Mouse": { "IHCP-species-checked": "guaranteed", "IHCP-species-dilution-info": "", "IHCP-species-notes": "", "ICCIF-species-checked": "notRecommended", "ICCIF-species-dilution-info": "", "ICCIF-species-notes": "<p></p>", "WB-species-checked": "testedAndGuaranteed", "WB-species-dilution-info": "1/1000 - 1/10000", "WB-species-notes": "<p></p>" }, "Rat": { "IHCP-species-checked": "guaranteed", "IHCP-species-dilution-info": "", "IHCP-species-notes": "", "ICCIF-species-checked": "notRecommended", "ICCIF-species-dilution-info": "", "ICCIF-species-notes": "<p></p>", "WB-species-checked": "testedAndGuaranteed", "WB-species-dilution-info": "1/1000 - 1/10000", "WB-species-notes": "<p></p>" } } }

Product details

Patented technology
Our RabMAb® technology is a patented hybridoma-based technology for making rabbit monoclonal antibodies. For details on our patents, please refer to RabMAb® patents.

What are the advantages of a recombinant monoclonal antibody?
This product is a recombinant monoclonal antibody, which offers several advantages including:

  • - High batch-to-batch consistency and reproducibility
  • - Improved sensitivity and specificity
  • - Long-term security of supply
  • - Animal-free batch production

For more information, read more on recombinant antibodies.

Properties and storage information

Form
Liquid
Purification technique
Affinity purification Protein A
Storage buffer
pH: 7.2 - 7.4 Preservative: 0.01% Sodium azide Constituents: PBS, 50% Tissue culture supernatant, 40% Glycerol (glycerin, glycerine), 0.05% BSA
Shipped at conditions
Blue Ice
Appropriate short-term storage conditions
+4°C
Appropriate long-term storage conditions
-20°C

Supplementary information

This supplementary information is collated from multiple sources and compiled automatically.

TTF1 also known as Nkx2-1 is a transcription factor with a molecular mass of approximately 38 kDa. It plays a significant role in regulating gene expression. This target is mainly expressed in tissues such as the thyroid lung and the brain. In the thyroid it activates genes associated with thyroid hormone synthesis while in the lung it regulates genes important for lung development and function. It is also referred to by other alternate names such as anti-TTF1 and NKX2.1.
Biological function summary

TTF1/Nkx2-1 is essential for organ-specific development and maintenance. It is a critical component of transcriptional complexes that modulate the expression of genes during the development of the thyroid and lung tissues. TTF1/Nkx2-1 impacts cellular processes by controlling genes involved in differentiation. Its regulatory functions play an important role in dictating cell fate decisions and maintaining organ identity.

Pathways

The activity of TTF1/Nkx2-1 integrates into the TGF-beta signaling and Wnt pathways. These pathways are imperative for cellular proliferation and differentiation. TTF1/Nkx2-1 possesses interactions with proteins like SMADs within the TGF-beta pathway influencing cellular responses. Similarly it interacts with beta-catenin in the Wnt pathway contributing to the modulation of gene expression relevant to developmental processes.

TTF1/Nkx2-1 has been associated with conditions like lung cancer and congenital hypothyroidism. Altered expression or mutations in this transcription factor can lead to these disorders. For instance in lung cancer the aberrant expression of TTF1/Nkx2-1 may involve proteins such as EGFR which contributes to tumorigenesis. In congenital hypothyroidism disruptions in TTF1/Nkx2-1 activity can affect thyroid hormone synthesis-related proteins impacting metabolic processes.

Product protocols

For this product, it's our understanding that no specific protocols are required. You can visit:

Target data

Transcription factor that binds and activates the promoter of thyroid specific genes such as thyroglobulin, thyroperoxidase, and thyrotropin receptor. Crucial in the maintenance of the thyroid differentiation phenotype. May play a role in lung development and surfactant homeostasis. Forms a regulatory loop with GRHL2 that coordinates lung epithelial cell morphogenesis and differentiation. Activates the transcription of GNRHR and plays a role in enhancing the circadian oscillation of its gene expression. Represses the transcription of the circadian transcriptional repressor NR1D1 (By similarity).
See full target information NKX2-1

Publications (1)

Recent publications for all applications. Explore the full list and refine your search

Molecular cancer therapeutics 15:2521-2529 PubMed27496134

2016

Preclinical Modeling of KIF5B-RET Fusion Lung Adenocarcinoma.

Applications

Unspecified application

Species

Unspecified reactive species

Qingling Huang,Valentina E Schneeberger,Noreen Luetteke,Chengliu Jin,Roha Afzal,Mikalai M Budzevich,Rikesh J Makanji,Gary V Martinez,Tao Shen,Lichao Zhao,Kar-Ming Fung,Eric B Haura,Domenico Coppola,Jie Wu
View all publications

Product promise

We are committed to supporting your work with high-quality reagents, and we're here for you every step of the way. In the unlikely event that one of our products does not perform as expected, you're protected by our Product Promise.
For full details, please see our Terms & Conditions

Please note: All products are 'FOR RESEARCH USE ONLY. NOT FOR USE IN DIAGNOSTIC OR THERAPEUTIC PROCEDURES'.

For licensing inquiries, please contact partnerships@abcam.com