JavaScript is disabled in your browser. Please enable JavaScript to view this website.
AB133638

Anti-TTF1/Nkx2-1 antibody [EPR8190-6]

Be the first to review this product! Submit a review

|

(21 Publications)

Rabbit Recombinant Monoclonal TTF1 antibody. Suitable for WB, IHC-P and reacts with Mouse, Rat, Human samples. Cited in 21 publications.

View Alternative Names

NKX2A, TITF1, TTF1, NKX2-1, Homeobox protein Nkx-2.1, Homeobox protein NK-2 homolog A, Thyroid nuclear factor 1, Thyroid transcription factor 1, Thyroid-specific enhancer-binding protein, TTF-1, T/EBP

4 Images
Immunohistochemistry (Formalin/PFA-fixed paraffin-embedded sections) - Anti-TTF1/Nkx2-1 antibody [EPR8190-6] (AB133638)
  • IHC-P

Supplier Data

Immunohistochemistry (Formalin/PFA-fixed paraffin-embedded sections) - Anti-TTF1/Nkx2-1 antibody [EPR8190-6] (AB133638)

Immunohistochemistry (Formalin/PFA-fixed paraffin-embedded sections) analysis of human lung tissue sections labeling TTF1/Nkx2-1 with purified ab133638 at 1 : 100 (1.39 μg/ml). Heat mediated antigen retrieval was performed using Bond™ Epitope Retrieval Solution 2 (pH 9.0). Tissue was counterstained with Hematoxylin. Rabbit specific IHC polymer detection kit HRP/DAB (ab209101) secondary antibody was used. PBS instead of the primary antibody was used as the negative control. The immunostaining was performed on a Leica Biosystems BOND® RX instrument.

Immunohistochemistry (Formalin/PFA-fixed paraffin-embedded sections) - Anti-TTF1/Nkx2-1 antibody [EPR8190-6] (AB133638)
  • IHC-P

Supplier Data

Immunohistochemistry (Formalin/PFA-fixed paraffin-embedded sections) - Anti-TTF1/Nkx2-1 antibody [EPR8190-6] (AB133638)

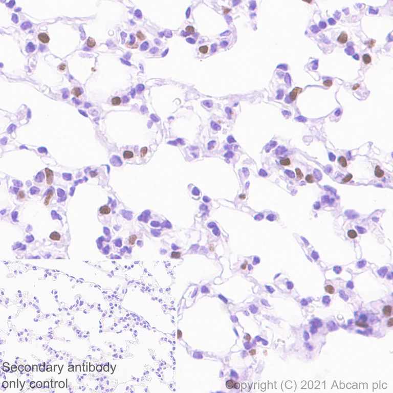
Immunohistochemistry (Formalin/PFA-fixed paraffin-embedded sections) analysis of rat lung tissue sections labeling TTF1/Nkx2-1 with purified ab133638 at 1 : 100 (1.39 μg/ml). Heat mediated antigen retrieval was performed using Bond™ Epitope Retrieval Solution 2 (pH 9.0). Tissue was counterstained with Hematoxylin. Rabbit specific IHC polymer detection kit HRP/DAB (ab209101) secondary antibody was used. PBS instead of the primary antibody was used as the negative control. The immunostaining was performed on a Leica Biosystems BOND® RX instrument.

Immunohistochemistry (Formalin/PFA-fixed paraffin-embedded sections) - Anti-TTF1/Nkx2-1 antibody [EPR8190-6] (AB133638)
  • IHC-P

Supplier Data

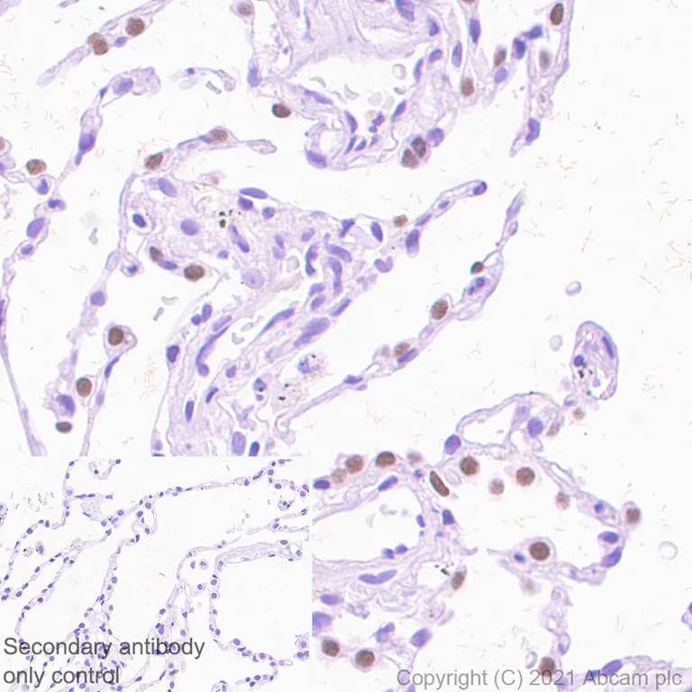
Immunohistochemistry (Formalin/PFA-fixed paraffin-embedded sections) - Anti-TTF1/Nkx2-1 antibody [EPR8190-6] (AB133638)

Immunohistochemistry (Formalin/PFA-fixed paraffin-embedded sections) analysis of mouse lung tissue sections labeling TTF1 with purified ab133638 at 1 : 100 (1.39 μg/ml). Heat mediated antigen retrieval was performed using Bond™ Epitope Retrieval Solution 2 (pH 9.0). Tissue was counterstained with Hematoxylin. Rabbit specific IHC polymer detection kit HRP/DAB (ab209101) secondary antibody was used. PBS instead of the primary antibody was used as the negative control. The immunostaining was performed on a Leica Biosystems BOND® RX instrument.

Western blot - Anti-TTF1/Nkx2-1 antibody [EPR8190-6] (AB133638)
  • WB

Supplier Data

Western blot - Anti-TTF1/Nkx2-1 antibody [EPR8190-6] (AB133638)

All lanes:

Western blot - Anti-TTF1/Nkx2-1 antibody [EPR8190-6] (ab133638) at 1/1000 dilution

Lane 1:

Human lung lysate at 15 µg

Lane 2:

Human thyroid lysate at 15 µg

Lane 3:

Rat lung lysate at 15 µg

Lane 4:

Mouse lung lysate at 20 µg

Secondary

All lanes:

Goat Anti-Rabbit IgG (HRP) with minimal cross-reactivity with human IgG at 1/2000 dilution

Predicted band size: 39 kDa

Observed band size: 38-42 kDa

false

  • Carrier free

    Anti-TTF1/Nkx2-1 antibody [EPR8190-6] - BSA and Azide free

Key facts

Host species

Rabbit

Clonality

Monoclonal

Clone number

EPR8190-6

Isotype

IgG

Carrier free

No

Reacts with

Mouse, Rat, Human

Applications

IHC-P, WB

applications

Immunogen

The exact immunogen used to generate this antibody is proprietary information.

Reactivity data

{ "title": "Reactivity Data", "filters": { "stats": ["", "Species", "Dilution Info", "Notes"], "tabs": { "all-applications": {"fullname" : "All Applications", "shortname": "All Applications"}, "WB" : {"fullname" : "Western blot", "shortname":"WB"}, "IHCP" : {"fullname" : "Immunohistochemistry (Formalin/PFA-fixed paraffin-embedded sections)", "shortname":"IHC-P"} }, "product-promise": { "all": "all", "testedAndGuaranteed": "tested", "guaranteed": "expected", "predicted": "predicted", "notRecommended": "not-recommended" } }, "values": { "Human": { "WB-species-checked": "testedAndGuaranteed", "WB-species-dilution-info": "1/1000 - 1/10000", "WB-species-notes": "<p></p>", "IHCP-species-checked": "testedAndGuaranteed", "IHCP-species-dilution-info": "1/100", "IHCP-species-notes": "<p><strong>For unpurified use at 1/500 - 1/1000.</strong></p>" }, "Mouse": { "WB-species-checked": "testedAndGuaranteed", "WB-species-dilution-info": "1/1000 - 1/10000", "WB-species-notes": "<p></p>", "IHCP-species-checked": "testedAndGuaranteed", "IHCP-species-dilution-info": "1/100", "IHCP-species-notes": "<p><strong>For unpurified use at 1/500 - 1/1000.</strong></p>" }, "Rat": { "WB-species-checked": "testedAndGuaranteed", "WB-species-dilution-info": "1/1000 - 1/10000", "WB-species-notes": "<p></p>", "IHCP-species-checked": "testedAndGuaranteed", "IHCP-species-dilution-info": "1/100", "IHCP-species-notes": "<p><strong>For unpurified use at 1/500 - 1/1000.</strong></p>" } } }

Product details

Patented technology
Our RabMAb® technology is a patented hybridoma-based technology for making rabbit monoclonal antibodies. For details on our patents, please refer to RabMAb® patents.

What are the advantages of a recombinant monoclonal antibody?
This product is a recombinant monoclonal antibody, which offers several advantages including:

  • - High batch-to-batch consistency and reproducibility
  • - Improved sensitivity and specificity
  • - Long-term security of supply
  • - Animal-free batch production

For more information, read more on recombinant antibodies.

Properties and storage information

Form
Liquid
Purification technique
Affinity purification Protein A
Storage buffer
pH: 7.2 - 7.4 Preservative: 0.01% Sodium azide Constituents: PBS, 40% Glycerol (glycerin, glycerine), 0.05% BSA
Shipped at conditions
Blue Ice
Appropriate short-term storage duration
1-2 weeks
Appropriate short-term storage conditions
+4°C
Appropriate long-term storage conditions
-20°C
Aliquoting information
Upon delivery aliquot
Storage information
Avoid freeze / thaw cycle|Stable for 12 months at -20°C

Supplementary information

This supplementary information is collated from multiple sources and compiled automatically.

TTF1 also known as Nkx2-1 is a transcription factor with a molecular mass of approximately 38 kDa. It plays a significant role in regulating gene expression. This target is mainly expressed in tissues such as the thyroid lung and the brain. In the thyroid it activates genes associated with thyroid hormone synthesis while in the lung it regulates genes important for lung development and function. It is also referred to by other alternate names such as anti-TTF1 and NKX2.1.
Biological function summary

TTF1/Nkx2-1 is essential for organ-specific development and maintenance. It is a critical component of transcriptional complexes that modulate the expression of genes during the development of the thyroid and lung tissues. TTF1/Nkx2-1 impacts cellular processes by controlling genes involved in differentiation. Its regulatory functions play an important role in dictating cell fate decisions and maintaining organ identity.

Pathways

The activity of TTF1/Nkx2-1 integrates into the TGF-beta signaling and Wnt pathways. These pathways are imperative for cellular proliferation and differentiation. TTF1/Nkx2-1 possesses interactions with proteins like SMADs within the TGF-beta pathway influencing cellular responses. Similarly it interacts with beta-catenin in the Wnt pathway contributing to the modulation of gene expression relevant to developmental processes.

TTF1/Nkx2-1 has been associated with conditions like lung cancer and congenital hypothyroidism. Altered expression or mutations in this transcription factor can lead to these disorders. For instance in lung cancer the aberrant expression of TTF1/Nkx2-1 may involve proteins such as EGFR which contributes to tumorigenesis. In congenital hypothyroidism disruptions in TTF1/Nkx2-1 activity can affect thyroid hormone synthesis-related proteins impacting metabolic processes.

Product protocols

For this product, it's our understanding that no specific protocols are required. You can visit:

Target data

Transcription factor that binds and activates the promoter of thyroid specific genes such as thyroglobulin, thyroperoxidase, and thyrotropin receptor. Crucial in the maintenance of the thyroid differentiation phenotype. May play a role in lung development and surfactant homeostasis. Forms a regulatory loop with GRHL2 that coordinates lung epithelial cell morphogenesis and differentiation. Activates the transcription of GNRHR and plays a role in enhancing the circadian oscillation of its gene expression. Represses the transcription of the circadian transcriptional repressor NR1D1 (By similarity).
See full target information NKX2-1

Publications (21)

Recent publications for all applications. Explore the full list and refine your search

The Journal of experimental medicine 221: PubMed38805014

2024

TET2-STAT3-CXCL5 nexus promotes neutrophil lipid transfer to fuel lung adeno-to-squamous transition.

Applications

Unspecified application

Species

Unspecified reactive species

Yun Xue,Yuting Chen,Sijia Sun,Xinyuan Tong,Yujia Chen,Shijie Tang,Xue Wang,Simin Bi,Yuqin Qiu,Qiqi Zhao,Zhen Qin,Qin Xu,Yingjie Ai,Leilei Chen,Beizhen Zhang,Zhijie Liu,Minbiao Ji,Meidong Lang,Luonan Chen,Guoliang Xu,Liang Hu,Dan Ye,Hongbin Ji

Cancer research 84:1410-1425 PubMed38335304

2024

Single-Cell Analysis Identifies NOTCH3-Mediated Interactions between Stromal Cells That Promote Microenvironment Remodeling and Invasion in Lung Adenocarcinoma.

Applications

Unspecified application

Species

Unspecified reactive species

Handan Xiang,Yidan Pan,Marc A Sze,Marta Wlodarska,Ling Li,Karyn Ann van de Mark,Haleema Qamar,Casey J Moure,Douglas E Linn,Josephine Hai,Ying Huo,James Clarke,Tze Guan Tan,Samantha Ho,Karen W Teng,Muhammad N Ramli,Michael Nebozhyn,Chunsheng Zhang,Julianne Barlow,Corinne E Gustafson,Savanna Gornisiewicz,Thomas P Albertson,Stephanie L Korle,Raphael Bueno,Lily Y Moy,Elisabeth H Vollmann,Derek Y Chiang,Philip E Brandish,Andrey Loboda

The Journal of experimental medicine 221: PubMed38284990

2024

EML4-ALK fusions drive lung adeno-to-squamous transition through JAK-STAT activation.

Applications

Unspecified application

Species

Unspecified reactive species

Zhen Qin,Meiting Yue,Shijie Tang,Fengying Wu,Honghua Sun,Yuan Li,Yongchang Zhang,Hiroki Izumi,Hsinyi Huang,Wanying Wang,Yun Xue,Xinyuan Tong,Shunta Mori,Tetsuro Taki,Koichi Goto,Yujuan Jin,Fei Li,Fu-Ming Li,Yijun Gao,Zhaoyuan Fang,Yisheng Fang,Liang Hu,Xiumin Yan,Guoliang Xu,Haiquan Chen,Susumu S Kobayashi,Andrea Ventura,Kwok-Kin Wong,Xueliang Zhu,Liang Chen,Shengxiang Ren,Luo-Nan Chen,Hongbin Ji

Nature communications 14:7069 PubMed37923710

2023

Selective activator of human ClpP triggers cell cycle arrest to inhibit lung squamous cell carcinoma.

Applications

Unspecified application

Species

Unspecified reactive species

Lin-Lin Zhou,Tao Zhang,Yun Xue,Chuan Yue,Yihui Pan,Pengyu Wang,Teng Yang,Meixia Li,Hu Zhou,Kan Ding,Jianhua Gan,Hongbin Ji,Cai-Guang Yang

International journal of biological sciences 19:2848-2859 PubMed37324952

2023

Liver X receptors and estrogen receptor β, two players in a rare subtype of NSCLC.

Applications

Unspecified application

Species

Unspecified reactive species

Wanfu Wu,Mozhgan Sarhadi,Xiaoyu Song,Jingling Xue,Yubing Dai,Jan-Ake Gustafsson

Cell reports. Medicine 4:100911 PubMed36657446

2023

Using patient-derived organoids to predict locally advanced or metastatic lung cancer tumor response: A real-world study.

Applications

Unspecified application

Species

Unspecified reactive species

Han-Min Wang,Chan-Yuan Zhang,Kai-Cheng Peng,Ze-Xin Chen,Jun-Wei Su,Yu-Fa Li,Wen-Feng Li,Qing-Yun Gao,Shi-Ling Zhang,Yu-Qing Chen,Qing Zhou,Cong Xu,Chong-Rui Xu,Zhen Wang,Jian Su,Hong-Hong Yan,Xu-Chao Zhang,Hua-Jun Chen,Yi-Long Wu,Jin-Ji Yang

Signal transduction and targeted therapy 8:16 PubMed36627278

2023

Oxidative stress-triggered Wnt signaling perturbation characterizes the tipping point of lung adeno-to-squamous transdifferentiation.

Applications

Unspecified application

Species

Unspecified reactive species

Zhaoyuan Fang,Xiangkun Han,Yueqing Chen,Xinyuan Tong,Yun Xue,Shun Yao,Shijie Tang,Yunjian Pan,Yihua Sun,Xue Wang,Yujuan Jin,Haiquan Chen,Liang Hu,Lijian Hui,Lin Li,Luonan Chen,Hongbin Ji

Cancer cell 41:88-105.e8 PubMed36525973

2022

KMT2D deficiency drives lung squamous cell carcinoma and hypersensitivity to RTK-RAS inhibition.

Applications

Unspecified application

Species

Unspecified reactive species

Yuanwang Pan,Han Han,Hai Hu,Hua Wang,Yueqiang Song,Yuan Hao,Xinyuan Tong,Ayushi S Patel,Selim Misirlioglu,Sittinon Tang,Hsin-Yi Huang,Ke Geng,Ting Chen,Angeliki Karatza,Fiona Sherman,Kristen E Labbe,Fan Yang,Alison Chafitz,Chengwei Peng,Chenchen Guo,Andre L Moreira,Vamsidhar Velcheti,Sally C M Lau,Pengfei Sui,Haiquan Chen,J Alan Diehl,Anil K Rustgi,Adam J Bass,John T Poirier,Xiaoyang Zhang,Hongbin Ji,Hua Zhang,Kwok-Kin Wong

Developmental cell 57:1866-1882.e10 PubMed35835117

2022

FoxA1 and FoxA2 control growth and cellular identity in NKX2-1-positive lung adenocarcinoma.

Applications

Unspecified application

Species

Unspecified reactive species

Grace Orstad,Gabriela Fort,Timothy J Parnell,Alex Jones,Chris Stubben,Brian Lohman,Katherine L Gillis,Walter Orellana,Rushmeen Tariq,Olaf Klingbeil,Klaus Kaestner,Christopher R Vakoc,Benjamin T Spike,Eric L Snyder

Proceedings of the National Academy of Sciences of the United States of America 119: PubMed35110400

2022

Loss of TET reprograms Wnt signaling through impaired demethylation to promote lung cancer development.

Applications

Unspecified application

Species

Unspecified reactive species

Qin Xu,Chao Wang,Jia-Xin Zhou,Zhi-Mei Xu,Juan Gao,Pengfei Sui,Colum P Walsh,Hongbin Ji,Guo-Liang Xu
View all publications

Product promise

We are committed to supporting your work with high-quality reagents, and we're here for you every step of the way. In the unlikely event that one of our products does not perform as expected, you're protected by our Product Promise.
For full details, please see our Terms & Conditions

Please note: All products are 'FOR RESEARCH USE ONLY. NOT FOR USE IN DIAGNOSTIC OR THERAPEUTIC PROCEDURES'.

For licensing inquiries, please contact partnerships@abcam.com