JavaScript is disabled in your browser. Please enable JavaScript to view this website.
AB227652

Anti-TTF1/Nkx2-1 antibody [SP141]

Be the first to review this product! Submit a review

|

(14 Publications)

Anti-TTF1/Nkx2-1 antibody [SP141] (ab227652) is a rabbit monoclonal antibody detecting TTF1/Nkx2-1 in Flow Cytometry (Intra), IHC-P, IHC-Fr, ICC/IF. Suitable for Human, Mouse, Rat.

- Biophysical QC for unrivalled batch-batch consistency

View Alternative Names

NKX2A, TITF1, TTF1, NKX2-1, Homeobox protein Nkx-2.1, Homeobox protein NK-2 homolog A, Thyroid nuclear factor 1, Thyroid transcription factor 1, Thyroid-specific enhancer-binding protein, TTF-1, T/EBP

11 Images
Immunohistochemistry (Formalin/PFA-fixed paraffin-embedded sections) - Anti-TTF1/Nkx2-1 antibody [SP141] (AB227652)
  • IHC-P

Supplier Data

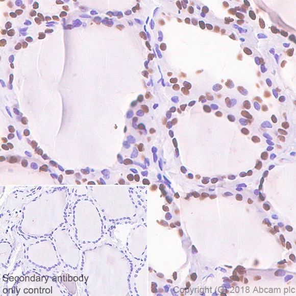
Immunohistochemistry (Formalin/PFA-fixed paraffin-embedded sections) - Anti-TTF1/Nkx2-1 antibody [SP141] (AB227652)

Formalin-fixed, paraffin-embedded human thyroid tissue stained for TTF1/Nkx2-1 using ab227652 at 1/100 dilution in immunohistochemical analysis.

Immunohistochemistry (Formalin/PFA-fixed paraffin-embedded sections) - Anti-TTF1/Nkx2-1 antibody [SP141] (AB227652)
  • IHC-P

Unknown

Immunohistochemistry (Formalin/PFA-fixed paraffin-embedded sections) - Anti-TTF1/Nkx2-1 antibody [SP141] (AB227652)

Immunohistochemistry (Formalin/PFA-fixed paraffin-embedded sections) analysis of Human thyroid tissue sections labeling TTF1/Nkx2-1 with ab227652 at 1/100 dilution (1.70 µg/ml). Heat mediated antigen retrieval was performed Heat mediated antigen retrieval with Tris-EDTA buffer (pH 9.0, epitope retrieval solution 2) for 10 mins. Rabbit specific IHC polymer detection kit HRP/DAB (ab209101) was used as the secondary antibody. Negative control : PBS instead of the primary antibody. Hematoxylin was used as a counterstain.

Flow Cytometry (Intracellular) - Anti-TTF1/Nkx2-1 antibody [SP141] (AB227652)
  • Flow Cyt (Intra)

Supplier Data

Flow Cytometry (Intracellular) - Anti-TTF1/Nkx2-1 antibody [SP141] (AB227652)

Flow cytometric analysis of HeLa (human epithelial cell line from cervix adenocarcinoma) cell line labeling TTF1/Nkx2-1 with ab227652 at 1/100 dilution (green) compared with a rabbit IgG negative control (blue).

Immunohistochemistry (Formalin/PFA-fixed paraffin-embedded sections) - Anti-TTF1/Nkx2-1 antibody [SP141] (AB227652)
  • IHC-P

Unknown

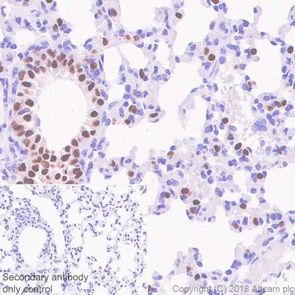
Immunohistochemistry (Formalin/PFA-fixed paraffin-embedded sections) - Anti-TTF1/Nkx2-1 antibody [SP141] (AB227652)

Immunohistochemistry (Formalin/PFA-fixed paraffin-embedded sections) analysis of Human lung tissue sections labeling TTF1/Nkx2-1 with ab227652 at 1/100 dilution (1.70 µg/ml). Heat mediated antigen retrieval was performed Heat mediated antigen retrieval with Tris-EDTA buffer (pH 9.0, epitope retrieval solution 2) for 10 mins. Rabbit specific IHC polymer detection kit HRP/DAB (ab209101) was used as the secondary antibody. Negative control : PBS instead of the primary antibody. Hematoxylin was used as a counterstain.

Immunohistochemistry (Formalin/PFA-fixed paraffin-embedded sections) - Anti-TTF1/Nkx2-1 antibody [SP141] (AB227652)
  • IHC-P

Supplier Data

Immunohistochemistry (Formalin/PFA-fixed paraffin-embedded sections) - Anti-TTF1/Nkx2-1 antibody [SP141] (AB227652)

Formalin-fixed, paraffin-embedded human lung tissue stained for TTF1/Nkx2-1 using ab227652 at 1/100 dilution in immunohistochemical analysis.

Immunohistochemistry (Formalin/PFA-fixed paraffin-embedded sections) - Anti-TTF1/Nkx2-1 antibody [SP141] (AB227652)
  • IHC-P

Supplier Data

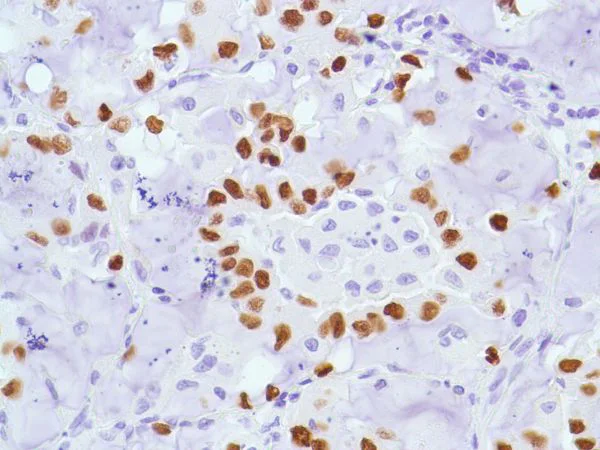
Immunohistochemistry (Formalin/PFA-fixed paraffin-embedded sections) - Anti-TTF1/Nkx2-1 antibody [SP141] (AB227652)

Formalin-fixed, paraffin-embedded human lung adenocarcinoma tissue stained for TTF1/Nkx2-1 using ab227652 at 1/100 dilution in immunohistochemical analysis.

Immunocytochemistry/ Immunofluorescence - Anti-TTF1/Nkx2-1 antibody [SP141] (AB227652)
  • ICC/IF

Unknown

Immunocytochemistry/ Immunofluorescence - Anti-TTF1/Nkx2-1 antibody [SP141] (AB227652)

Immunocytochemistry/ Immunofluorescence analysis of TT (Human thyroid carcinoma epithelial cell) cells labeling TTF1/Nkx2-1 with purified ab227652 at 1 : 25 (6.8 µg/ml). Cells were fixed in 4% paraformaldehyde and permeabilized with 0.1% Triton X-100. Cells were counterstained with ab195889 Anti-alpha Tubulin antibody [DM1A] - Microtubule Marker (Alexa Fluor® 594) 1 : 200 (2.5 µg/ml). Goat anti rabbit IgG (Alexa Fluor® 488, ab150077) was used as the secondary antibody at 1 : 1000 (2 µg/ml) dilution. DAPI (blue) was used as nuclear counterstain. PBS instead of the primary antibody was used as the secondary antibody only control.

Flow Cytometry (Intracellular) - Anti-TTF1/Nkx2-1 antibody [SP141] (AB227652)
  • Flow Cyt (Intra)

Unknown

Flow Cytometry (Intracellular) - Anti-TTF1/Nkx2-1 antibody [SP141] (AB227652)

Flow Cytometry analysis of TT (Human thyroid carcinoma epithelial cell) cells labeling TTF1/Nkx2-1 with purified ab227652 at 1 : 170 dilution (1 µg/ml) (red). Cells were fixed with 4% paraformaldehyde and permeabilised with 90% methanol. A Goat anti rabbit IgG (Alexa Fluor® 488, ab150077) secondary antibody was used at 1 : 2000 dilution. Isotype control - Rabbit monoclonal IgG (ab172730) / Black. Unlabeled control - Unlabelled cells / blue.

Immunohistochemistry (Frozen sections) - Anti-TTF1/Nkx2-1 antibody [SP141] (AB227652)
  • IHC-Fr

Unknown

Immunohistochemistry (Frozen sections) - Anti-TTF1/Nkx2-1 antibody [SP141] (AB227652)

Immunohistochemistry (Frozen sections) analysis of rat lung tissue sections labeling TTF1/Nkx2-1 with purified ab227652 at 1 : 20 (8.5 µg/ml). Heat mediated antigen retrieval was performed using sodium citrate buffer (10mM citrate pH 6.0 + 0.05% Tween-20). Fixed with 4% paraformaldehyde and permeabilised using 0.2% Triton X-100. Goat anti rabbit IgG (Alexa Fluor® 488, ab150077) was used as the secondary antibody. Negative control : PBS instead of the primary antibody. DAPI was used as a Nuclear stain.

Immunohistochemistry (Formalin/PFA-fixed paraffin-embedded sections) - Anti-TTF1/Nkx2-1 antibody [SP141] (AB227652)
  • IHC-P

Unknown

Immunohistochemistry (Formalin/PFA-fixed paraffin-embedded sections) - Anti-TTF1/Nkx2-1 antibody [SP141] (AB227652)

Immunohistochemistry (Formalin/PFA-fixed paraffin-embedded sections) analysis of Rat lung tissue sections labeling TTF1/Nkx2-1 with ab227652 at 1/100 dilution (1.70 µg/ml). Heat mediated antigen retrieval was performed Heat mediated antigen retrieval with Tris-EDTA buffer (pH 9.0, epitope retrieval solution 2) for 10 mins. Rabbit specific IHC polymer detection kit HRP/DAB (ab209101) was used as the secondary antibody. Negative control : PBS instead of the primary antibody. Hematoxylin was used as a counterstain.

Immunohistochemistry (Formalin/PFA-fixed paraffin-embedded sections) - Anti-TTF1/Nkx2-1 antibody [SP141] (AB227652)
  • IHC-P

Unknown

Immunohistochemistry (Formalin/PFA-fixed paraffin-embedded sections) - Anti-TTF1/Nkx2-1 antibody [SP141] (AB227652)

Immunohistochemistry (Formalin/PFA-fixed paraffin-embedded sections) analysis of Mouse lung tissue sections labeling TTF1/Nkx2-1 with ab227652 at 1/100 dilution (1.70 µg/ml). Heat mediated antigen retrieval was performed Heat mediated antigen retrieval with Tris-EDTA buffer (pH 9.0, epitope retrieval solution 2) for 10 mins. Rabbit specific IHC polymer detection kit HRP/DAB (ab209101) was used as the secondary antibody. Negative control : PBS instead of the primary antibody. Hematoxylin was used as a counterstain.

  • Carrier free

    Anti-TTF1/Nkx2-1 antibody [SP141] - BSA and Azide free

  • 519 Alexa Fluor® 488

    Alexa Fluor® 488 Anti-TTF1/Nkx2-1 antibody [SP141]

  • 665 Alexa Fluor® 647

    Alexa Fluor® 647 Anti-TTF1/Nkx2-1 antibody [SP141]

  • 565 Alexa Fluor® 555

    Alexa Fluor® 555 Anti-TTF1/Nkx2-1 antibody [SP141]

  • 617 Alexa Fluor® 594

    Alexa Fluor® 594 Anti-TTF1/Nkx2-1 antibody [SP141]

  • 578 PE

    PE Anti-TTF1/Nkx2-1 antibody [SP141]

  • 660 APC

    APC Anti-TTF1/Nkx2-1 antibody [SP141]

  • 775 Alexa Fluor® 750

    Alexa Fluor® 750 Anti-TTF1 antibody [SP141]

Key facts

Host species

Rabbit

Clonality

Monoclonal

Clone number

SP141

Isotype

IgG

Carrier free

No

Reacts with

Mouse, Rat, Human

Applications

Flow Cyt (Intra), ICC/IF, IHC-Fr, IHC-P

applications

Immunogen

The exact immunogen used to generate this antibody is proprietary information.

Reactivity data

{ "title": "Reactivity Data", "filters": { "stats": ["", "Species", "Dilution Info", "Notes"], "tabs": { "all-applications": {"fullname" : "All Applications", "shortname": "All Applications"}, "FlowCytIntra" : {"fullname" : "Flow Cytometry (Intracellular)", "shortname":"Flow Cyt (Intra)"}, "IHCP" : {"fullname" : "Immunohistochemistry (Formalin/PFA-fixed paraffin-embedded sections)", "shortname":"IHC-P"}, "ICCIF" : {"fullname" : "Immunocytochemistry/ Immunofluorescence", "shortname":"ICC/IF"}, "IHCFr" : {"fullname" : "Immunohistochemistry (Frozen sections)", "shortname":"IHC-Fr"} }, "product-promise": { "all": "all", "testedAndGuaranteed": "tested", "guaranteed": "expected", "predicted": "predicted", "notRecommended": "not-recommended" } }, "values": { "Human": { "FlowCytIntra-species-checked": "testedAndGuaranteed", "FlowCytIntra-species-dilution-info": "1/100", "FlowCytIntra-species-notes": "<p>Primary antibody incubation for 30 minutes at 4°C.</p>", "IHCP-species-checked": "testedAndGuaranteed", "IHCP-species-dilution-info": "1/100", "IHCP-species-notes": "<p>Perform heat mediated antigen retrieval with 1 mM EDTA buffer pH 8.0 before commencing with IHC staining protocol.</p><p>Primary antibody incubation for 30 minutes at room temperature.</p>", "ICCIF-species-checked": "testedAndGuaranteed", "ICCIF-species-dilution-info": "1/25", "ICCIF-species-notes": "<p></p>", "IHCFr-species-checked": "guaranteed", "IHCFr-species-dilution-info": "", "IHCFr-species-notes": "" }, "Mouse": { "FlowCytIntra-species-checked": "guaranteed", "FlowCytIntra-species-dilution-info": "", "FlowCytIntra-species-notes": "", "IHCP-species-checked": "testedAndGuaranteed", "IHCP-species-dilution-info": "1/100", "IHCP-species-notes": "<p>Perform heat mediated antigen retrieval with 1 mM EDTA buffer pH 8.0 before commencing with IHC staining protocol.</p><p>Primary antibody incubation for 30 minutes at room temperature.</p>", "ICCIF-species-checked": "guaranteed", "ICCIF-species-dilution-info": "", "ICCIF-species-notes": "", "IHCFr-species-checked": "guaranteed", "IHCFr-species-dilution-info": "", "IHCFr-species-notes": "" }, "Rat": { "FlowCytIntra-species-checked": "guaranteed", "FlowCytIntra-species-dilution-info": "", "FlowCytIntra-species-notes": "", "IHCP-species-checked": "testedAndGuaranteed", "IHCP-species-dilution-info": "1/100", "IHCP-species-notes": "<p>Perform heat mediated antigen retrieval with 1 mM EDTA buffer pH 8.0 before commencing with IHC staining protocol.</p><p>Primary antibody incubation for 30 minutes at room temperature.</p>", "ICCIF-species-checked": "guaranteed", "ICCIF-species-dilution-info": "", "ICCIF-species-notes": "", "IHCFr-species-checked": "testedAndGuaranteed", "IHCFr-species-dilution-info": "1/20", "IHCFr-species-notes": "<p></p>" } } }

Product details

What is this antibody validated in?
Anti-TTF1/Nkx2-1 antibody [SP141] (ab227652) is a rabbit recombinant monoclonal antibody and is validated for use in Flow Cytometry (Intra), Flow Cytometry (Flow Cyt), Immunohistochemistry (IHC-P), Immunohistochemistry (IHC-Fr), Immunocytochemistry/immunofluorescence (ICC/IF) in Human, Mouse, Rat samples.

Collaboration
Anti-TTF1/Nkx2-1 [SP141] (ab227652) is a clone from the portfolio of Spring Bioscience (Roche) SP clones which have been optimised for immunohistochemistry (IHC).

Other related products
We have a range of other formats of antibody clone [SP141] also available for your convenience: ab227652, Carrier free - ab242428, ab279633, Alexa Fluor® 488 - ab320462, Alexa Fluor® 647 - ab320463, Alexa Fluor® 555 - ab320464, Alexa Fluor® 594 - ab320465, PE - ab320466, APC - ab320467, Alexa Fluor® 750 - ab321437

Properties and storage information

Form
Liquid
Purification technique
Affinity purification Protein A
Storage buffer
pH: 7.6 Preservative: 0.099% Sodium azide Constituents: PBS, 1% BSA
Shipped at conditions
Blue Ice
Appropriate short-term storage duration
1-2 weeks
Appropriate short-term storage conditions
+4°C
Appropriate long-term storage conditions
-20°C
Aliquoting information
Upon delivery aliquot
Storage information
Avoid freeze / thaw cycle

Supplementary information

This supplementary information is collated from multiple sources and compiled automatically.

TTF1 also known as Nkx2-1 is a transcription factor with a molecular mass of approximately 38 kDa. It plays a significant role in regulating gene expression. This target is mainly expressed in tissues such as the thyroid lung and the brain. In the thyroid it activates genes associated with thyroid hormone synthesis while in the lung it regulates genes important for lung development and function. It is also referred to by other alternate names such as anti-TTF1 and NKX2.1.
Biological function summary

TTF1/Nkx2-1 is essential for organ-specific development and maintenance. It is a critical component of transcriptional complexes that modulate the expression of genes during the development of the thyroid and lung tissues. TTF1/Nkx2-1 impacts cellular processes by controlling genes involved in differentiation. Its regulatory functions play an important role in dictating cell fate decisions and maintaining organ identity.

Pathways

The activity of TTF1/Nkx2-1 integrates into the TGF-beta signaling and Wnt pathways. These pathways are imperative for cellular proliferation and differentiation. TTF1/Nkx2-1 possesses interactions with proteins like SMADs within the TGF-beta pathway influencing cellular responses. Similarly it interacts with beta-catenin in the Wnt pathway contributing to the modulation of gene expression relevant to developmental processes.

TTF1/Nkx2-1 has been associated with conditions like lung cancer and congenital hypothyroidism. Altered expression or mutations in this transcription factor can lead to these disorders. For instance in lung cancer the aberrant expression of TTF1/Nkx2-1 may involve proteins such as EGFR which contributes to tumorigenesis. In congenital hypothyroidism disruptions in TTF1/Nkx2-1 activity can affect thyroid hormone synthesis-related proteins impacting metabolic processes.

Product protocols

For this product, it's our understanding that no specific protocols are required. You can visit:

Target data

Transcription factor that binds and activates the promoter of thyroid specific genes such as thyroglobulin, thyroperoxidase, and thyrotropin receptor. Crucial in the maintenance of the thyroid differentiation phenotype. May play a role in lung development and surfactant homeostasis. Forms a regulatory loop with GRHL2 that coordinates lung epithelial cell morphogenesis and differentiation. Activates the transcription of GNRHR and plays a role in enhancing the circadian oscillation of its gene expression. Represses the transcription of the circadian transcriptional repressor NR1D1 (By similarity).
See full target information NKX2-1

Publications (14)

Recent publications for all applications. Explore the full list and refine your search

Physiological reports 13:e70459 PubMed40650429

2025

Hydrogel-embedded precision-cut lung slices support ex vivo culture of in vivo-induced premalignant lung lesions.

Applications

Unspecified application

Species

Unspecified reactive species

Caroline Hauer,Rachel Blomberg,Kayla Sompel,Chelsea M Magin,Meredith A Tennis

Journal of gastrointestinal and liver diseases : JGLD 34:30-39 PubMed40153818

2025

Programmed Cell Death-ligand 1 as Biomarker of Poor Prognosis in Patients with Gastrointestinal Stromal Tumour.

Applications

Unspecified application

Species

Unspecified reactive species

Duolikun Yasheng,Abuduwaili Aierken,Yiliang Li,Aikebaier Aili,Kelimu Abudureyimu

Laboratory investigation; a journal of technical methods and pathology 104:102151 PubMed39419350

2024

Liquid Biopsy in Lung Cancer: Nano-Flow Cytometry Detection of Non-Small Cell Lung Cancer in Blood.

Applications

Unspecified application

Species

Unspecified reactive species

Andong Zhang,Qiqi Gao,Chen Tian,Wentao Chen,Catherine Pan,Ling Wang,Jie Huang,Jing Zhang

Cancers 16: PubMed39199657

2024

Development of Ex Vivo Analysis for Examining Cell Composition, Immunological Landscape, Tumor and Immune Related Markers in Non-Small-Cell Lung Cancer.

Applications

Unspecified application

Species

Unspecified reactive species

Elena G Ufimtseva,Margarita S Gileva,Ruslan V Kostenko,Vadim V Kozlov,Lyudmila F Gulyaeva

Cell reports. Medicine 5:101566 PubMed38759649

2024

Bidirectional regulation of levodopa-induced dyskinesia by a specific neural ensemble in globus pallidus external segment.

Applications

Unspecified application

Species

Unspecified reactive species

Cong Shen,Bo Shen,Dechen Liu,Linlin Han,Kexin Zou,Linhua Gan,Jingyu Ren,Bin Wu,Yilin Tang,Jue Zhao,Yimin Sun,Fengtao Liu,Wenbo Yu,Haishan Yao,Jianjun Wu,Jian Wang

Scientific reports 14:3838 PubMed38360830

2024

BAMLET administration via drinking water inhibits intestinal tumor development and promotes long-term health.

Applications

Unspecified application

Species

Unspecified reactive species

Hien Thi Tran,Murphy Lam Yim Wan,Ines Ambite,Michele Cavalera,Mario Grossi,Jaromir Háček,Parisa Esmaeili,António N B M Carneiro,Arunima Chaudhuri,Shahram Ahmadi,Catharina Svanborg

Advanced science (Weinheim, Baden-Wurttemberg, Germany) 11:e2305913 PubMed38059822

2023

Regeneration of Thyroid Glands in the Spleen Restores Homeostasis in Thyroidectomy Mice.

Applications

Unspecified application

Species

Unspecified reactive species

Xue-Jiao Tian,Zhi-Jie Yin,Zhen-Jiang Li,Zhen-Zhen Wang,Zhen Xing,Chun-Yan Liu,Lin-Tao Wang,Chun-Ming Wang,Jun-Feng Zhang,Lei Dong

Respiratory research 24:237 PubMed37773064

2023

Mechanical stretch promotes apoptosis and impedes ciliogenesis of primary human airway basal stem cells.

Applications

Unspecified application

Species

Unspecified reactive species

Li-Qin Lin,Hai-Kang Zeng,Yu-Long Luo,Di-Fei Chen,Xiao-Qian Ma,Huan-Jie Chen,Xin-Yu Song,Hong-Kai Wu,Shi-Yue Li

Cell journal 25:372-382 PubMed37434454

2023

Decellularized Lung Extracellular Matrix Scaffold Promotes Human Embryonic Stem Cell Differentiation towards Alveolar Progenitors.

Applications

Unspecified application

Species

Unspecified reactive species

Afshin Noori,Mohammad Reza Mokhber Dezfouli,Sareh Rajabi,Fatemeh Ganji,Zahra Ghezelayagh,Elie El Agha,Hossein Baharvand,Sirous Sadeghian Chaleshtori,Yaser Tahamtani

Respiratory research 24:167 PubMed37349733

2023

NO-sensitive guanylyl cyclase discriminates pericyte-derived interstitial from intra-alveolar myofibroblasts in murine pulmonary fibrosis.

Applications

Unspecified application

Species

Unspecified reactive species

Annemarie Aue,Nils Englert,Leon Harrer,Fabian Schwiering,Annika Gaab,Peter König,Ralf Adams,Achim Schmidtko,Andreas Friebe,Dieter Groneberg
View all publications

Product promise

We are committed to supporting your work with high-quality reagents, and we're here for you every step of the way. In the unlikely event that one of our products does not perform as expected, you're protected by our Product Promise.
For full details, please see our Terms & Conditions

Please note: All products are 'FOR RESEARCH USE ONLY. NOT FOR USE IN DIAGNOSTIC OR THERAPEUTIC PROCEDURES'.

For licensing inquiries, please contact partnerships@abcam.com