JavaScript is disabled in your browser. Please enable JavaScript to view this website.
AB204411

Anti-TTF1/Transcription termination factor 1 antibody

Be the first to review this product! Submit a review

|

(5 Publications)

Rabbit Polyclonal TTF1 antibody. Suitable for IHC-P, WB, ICC/IF and reacts with Human samples. Cited in 5 publications. Immunogen corresponding to Recombinant Fragment Protein within Human TTF1 aa 350-500.

View Alternative Names

Transcription termination factor 1, TTF-1, RNA polymerase I termination factor, Transcription termination factor I, TTF-I, TTF1

5 Images
Immunohistochemistry (Formalin/PFA-fixed paraffin-embedded sections) - Anti-TTF1/Transcription termination factor 1 antibody (AB204411)
  • IHC-P

Supplier Data

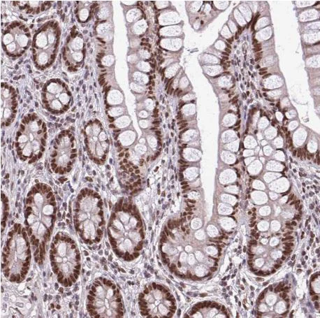
Immunohistochemistry (Formalin/PFA-fixed paraffin-embedded sections) - Anti-TTF1/Transcription termination factor 1 antibody (AB204411)

Paraffin embedded human small intestine tissue stained for TTF1/Transcription termination factor 1 using ab204411 at 1/1000 dilution in immunohistochemical analysis.

Heat mediated antigen retrieval was performed with citrate buffer pH 6 before the IHC staining protocol.

Immunohistochemistry (Formalin/PFA-fixed paraffin-embedded sections) - Anti-TTF1/Transcription termination factor 1 antibody (AB204411)
  • IHC-P

Supplier Data

Immunohistochemistry (Formalin/PFA-fixed paraffin-embedded sections) - Anti-TTF1/Transcription termination factor 1 antibody (AB204411)

Paraffin embedded human testis tissue stained for TTF1/Transcription termination factor 1 using ab204411 at 1/1000 dilution in immunohistochemical analysis.

Heat mediated antigen retrieval was performed with citrate buffer pH 6 before the IHC staining protocol.

Immunocytochemistry/ Immunofluorescence - Anti-TTF1/Transcription termination factor 1 antibody (AB204411)
  • ICC/IF

Supplier Data

Immunocytochemistry/ Immunofluorescence - Anti-TTF1/Transcription termination factor 1 antibody (AB204411)

Immunofluorescent analysis of PFA/Triton X-100 fixed and permeabilized MCF7 cells labeling TTF1/Transcription termination factor 1 with ab204411 at 4 μg/ml (green).

Immunohistochemistry (Formalin/PFA-fixed paraffin-embedded sections) - Anti-TTF1/Transcription termination factor 1 antibody (AB204411)
  • IHC-P

Supplier Data

Immunohistochemistry (Formalin/PFA-fixed paraffin-embedded sections) - Anti-TTF1/Transcription termination factor 1 antibody (AB204411)

Paraffin embedded human emdometrium tissue stained for TTF1/Transcription termination factor 1 using ab204411 at 1/1000 dilution in immunohistochemical analysis.

Heat mediated antigen retrieval was performed with citrate buffer pH 6 before the IHC staining protocol.

Western blot - Anti-TTF1/Transcription termination factor 1 antibody (AB204411)
  • WB

Supplier Data

Western blot - Anti-TTF1/Transcription termination factor 1 antibody (AB204411)

Lane 1:

Western blot - Anti-TTF1/Transcription termination factor 1 antibody (ab204411)

Lane 2:

Western blot - Anti-TTF1/Transcription termination factor 1 antibody (ab204411) at 0.4 µg/mL

All lanes:

MOLT-4 cell lysate

Predicted band size: 103 kDa

false

Key facts

Host species

Rabbit

Clonality

Polyclonal

Isotype

IgG

Carrier free

No

Reacts with

Human

Applications

IHC-P, WB, ICC/IF

applications

Immunogen

Recombinant Fragment Protein within Human TTF1 aa 350-500. The exact immunogen used to generate this antibody is proprietary information.

Q15361

Reactivity data

{ "title": "Reactivity Data", "filters": { "stats": ["", "Species", "Dilution Info", "Notes"], "tabs": { "all-applications": {"fullname" : "All Applications", "shortname": "All Applications"}, "IHCP" : {"fullname" : "Immunohistochemistry (Formalin/PFA-fixed paraffin-embedded sections)", "shortname":"IHC-P"}, "WB" : {"fullname" : "Western blot", "shortname":"WB"}, "ICCIF" : {"fullname" : "Immunocytochemistry/ Immunofluorescence", "shortname":"ICC/IF"} }, "product-promise": { "all": "all", "testedAndGuaranteed": "tested", "guaranteed": "expected", "predicted": "predicted", "notRecommended": "not-recommended" } }, "values": { "Human": { "IHCP-species-checked": "testedAndGuaranteed", "IHCP-species-dilution-info": "1/500 - 1/1000", "IHCP-species-notes": "<p></p> Perform heat-mediated antigen retrieval with citrate buffer pH 6 before commencing with IHC staining protocol.", "WB-species-checked": "testedAndGuaranteed", "WB-species-dilution-info": "0.04-0.4 µg/mL", "WB-species-notes": "<p></p>", "ICCIF-species-checked": "testedAndGuaranteed", "ICCIF-species-dilution-info": "0.25-2 µg/mL", "ICCIF-species-notes": "<p></p>" } } }

Properties and storage information

Form
Liquid
Purification technique
Affinity purification Immunogen
Storage buffer
pH: 7.2 Preservative: 0.02% Sodium azide Constituents: PBS, 40% Glycerol (glycerin, glycerine)
Shipped at conditions
Blue Ice
Appropriate short-term storage duration
1-2 weeks
Appropriate short-term storage conditions
+4°C
Appropriate long-term storage conditions
-20°C
Aliquoting information
Upon delivery aliquot
Storage information
Avoid freeze / thaw cycle

Supplementary information

This supplementary information is collated from multiple sources and compiled automatically.

TTF1 also known as Transcription Termination Factor 1 plays a critical role in transcription termination of ribosomal RNA genes. This protein with a molecular mass of approximately 90 kDa specifically binds to terminator sequences facilitating the release of paused RNA polymerase I. TTF1 is widely expressed in eukaryotic cells particularly in tissues with high rates of ribosomal RNA synthesis like the nucleolus within the nucleus. Its presence is essential for the proper termination and recycling of the transcription machinery enhancing the efficiency of ribosomal RNA production.
Biological function summary

TTF1 influences the regulation and expression of ribosomal RNA by forming a complex with other factors to ensure successful transcription termination and reinitiation. It interacts with co-factors such as Nucleolin and facilitates the looping of DNA which is a necessary component of efficient termination. This function supports cellular growth and proliferation by maintaining high levels of ribosome synthesis which is essential for protein translation.

Pathways

TTF1 is significantly associated with the nucleolar transcription termination pathway and is integral to the modulation of ribosomal RNA synthesis. It works alongside proteins such as RNA Polymerase I and Transcription Initiation Factor SL1 forming a relationship that ensures efficient transcriptional processes. TTF1 helps maintain the balance between transcription initiation elongation and termination important for the homeostasis of cell proliferation and growth pathways.

TTF1 dysregulation relates to oncogenesis and certain ribosomopathies where abnormal ribosome function can occur. Overexpression or mutation of TTF1 can lead to increased ribosome production contributing to the unrestrained growth seen in certain cancers. It collaborates with proteins such as c-Myc which is known for promoting cell proliferation and is frequently upregulated in cancerous cells. Understanding TTF1's role offers insights into potential therapeutic targets for treating these conditions.

Product protocols

For this product, it's our understanding that no specific protocols are required. You can visit:

Target data

Multifunctional nucleolar protein that terminates ribosomal gene transcription, mediates replication fork arrest and regulates RNA polymerase I transcription on chromatin. Plays a dual role in rDNA regulation, being involved in both activation and silencing of rDNA transcription. Interaction with BAZ2A/TIP5 recovers DNA-binding activity.
See full target information TTF1

Publications (5)

Recent publications for all applications. Explore the full list and refine your search

Cell reports 44:115597 PubMed40257863

2025

Requirements for the neurodevelopmental disorder-associated gene ZNF292 in human cortical interneuron development and function.

Applications

Unspecified application

Species

Unspecified reactive species

Komal Kaushik,Gareth Chapman,Ramachandran Prakasam,Faiza Batool,Maamoon Saleh,Julianna Determan,James E Huettner,Kristen L Kroll

iScience 27:109967 PubMed38827400

2024

Defining cis-regulatory elements and transcription factors that control human cortical interneuron development.

Applications

Unspecified application

Species

Unspecified reactive species

Gareth Chapman,Julianna Determan,Haley Jetter,Komal Kaushik,Ramachandran Prakasam,Kristen L Kroll

Advanced science (Weinheim, Baden-Wurttemberg, Germany) 10:e2206603 PubMed37085943

2023

Highly Mimetic Ex Vivo Lung-Cancer Spheroid-Based Physiological Model for Clinical Precision Therapeutics.

Applications

Unspecified application

Species

Unspecified reactive species

Ming-You Shie,Hsin-Yuan Fang,Kai-Wen Kan,Chia-Che Ho,Chih-Yen Tu,Pei-Chih Lee,Po-Ren Hsueh,Chia-Hung Chen,Alvin Kai-Xing Lee,Ni Tien,Jian-Xun Chen,Yu-Cheng Shen,Jan-Gowth Chang,Yu-Fang Shen,Ting-Ju Lin,Ben Wang,Mien-Chie Hung,Der-Yang Cho,Yi-Wen Chen

Scientific reports 12:15636 PubMed36115870

2022

Regulation of human cortical interneuron development by the chromatin remodeling protein CHD2.

Applications

Unspecified application

Species

Unspecified reactive species

E M A Lewis,G Chapman,K Kaushik,J Determan,I Antony,K Meganathan,M Narasimhan,P Gontarz,B Zhang,K L Kroll

Oncology letters 14:593-598 PubMed28693210

2017

Resistance to epithelial growth factor receptor tyrosine kinase inhibitors in a patient with transformation from lung adenocarcinoma to small cell lung cancer: A case report.

Applications

Unspecified application

Species

Unspecified reactive species

Liying Fang,Jian He,Jingwen Xia,Liang Dong,Xiujuan Zhang,Yaqin Chai,Ying Li,Mengjie Niu,Tianxing Hang,Shengqing Li
View all publications

Product promise

We are committed to supporting your work with high-quality reagents, and we're here for you every step of the way. In the unlikely event that one of our products does not perform as expected, you're protected by our Product Promise.
For full details, please see our Terms & Conditions

Please note: All products are 'FOR RESEARCH USE ONLY. NOT FOR USE IN DIAGNOSTIC OR THERAPEUTIC PROCEDURES'.

For licensing inquiries, please contact partnerships@abcam.com