JavaScript is disabled in your browser. Please enable JavaScript to view this website.
AB181116

Anti-TTF2 antibody [EPR12756]

4

(2 Reviews)

|

(1 Publication)

Rabbit Recombinant Monoclonal TTF2 antibody. Suitable for WB, ICC/IF, Flow Cyt (Intra), IHC-P and reacts with Human samples. Cited in 1 publication.

View Alternative Names

Transcription termination factor 2, Lodestar homolog, RNA polymerase II termination factor, Transcription release factor 2, F2, HuF2, TTF2

5 Images
Immunocytochemistry/ Immunofluorescence - Anti-TTF2 antibody [EPR12756] (AB181116)
  • ICC/IF

Supplier Data

Immunocytochemistry/ Immunofluorescence - Anti-TTF2 antibody [EPR12756] (AB181116)

Immunofluorescent analysis of acetone-fixed Jurkat cells labeling TTF2 with ab181116 at 1/100 (green) dilution. Goat anti rabbit IgG (Alexa Fluor® 488) was used for secondary antibody staining at a dilution of 1/200. Counter stain : Dapi (blue)

Immunohistochemistry (Formalin/PFA-fixed paraffin-embedded sections) - Anti-TTF2 antibody [EPR12756] (AB181116)
  • IHC-P

Supplier Data

Immunohistochemistry (Formalin/PFA-fixed paraffin-embedded sections) - Anti-TTF2 antibody [EPR12756] (AB181116)

Immunohistochemical analysis of paraffin embedded Human adenocarcinoma of endometrium tissue labeling TTF2 with ab181116 at 1/250. Prediluted (ready to use) HRP Polymer for Rabbit IgG was used as a secondary antibody. Counter stain : Hematoxylin

Perform heat mediated antigen retrieval with EDTA buffer pH 9 before commencing with IHC staining protocol.

Western blot - Anti-TTF2 antibody [EPR12756] (AB181116)
  • WB

Supplier Data

Western blot - Anti-TTF2 antibody [EPR12756] (AB181116)

All lanes:

Western blot - Anti-TTF2 antibody [EPR12756] (ab181116) at 1/5000 dilution

Lane 1:

Daudi cell line lysate at 20 µg

Lane 2:

HeLa cell line lysate at 20 µg

Lane 3:

Jurkat cell line lysate at 20 µg

Secondary

All lanes:

Goat Anti-Rabbit IgG, (H+L), Peroxidase conjugated antibody at 1/1000 dilution

Predicted band size: 130 kDa

false

Flow Cytometry (Intracellular) - Anti-TTF2 antibody [EPR12756] (AB181116)
  • Flow Cyt (Intra)

Supplier Data

Flow Cytometry (Intracellular) - Anti-TTF2 antibody [EPR12756] (AB181116)

Intracellular flow cytometric analysis of 2% paraformaldehyde-fixed Jurkat cells labeling TTF2 with ab181116 at 1/60 dilution, followed byGoat anti rabbit IgG (FITC) at 1/150 dilution (pink).Rabbit monoclonal IgG was used as Isotype control (green).

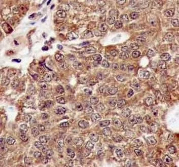
Immunohistochemistry (Formalin/PFA-fixed paraffin-embedded sections) - Anti-TTF2 antibody [EPR12756] (AB181116)
  • IHC-P

Supplier Data

Immunohistochemistry (Formalin/PFA-fixed paraffin-embedded sections) - Anti-TTF2 antibody [EPR12756] (AB181116)

Immunohistochemical analysis of paraffin embedded Human pancreas tissue labeling TTF2 with ab181116 at 1/250 dilution. Prediluted (ready to use) HRP Polymer for Rabbit IgG was used as a secondary antibody. Counter stain : Hematoxylin

Perform heat mediated antigen retrieval with EDTA buffer pH 9 before commencing with IHC staining protocol.

Key facts

Host species

Rabbit

Clonality

Monoclonal

Clone number

EPR12756

Isotype

IgG

Carrier free

No

Reacts with

Human

Applications

WB, Flow Cyt (Intra), ICC/IF, IHC-P

applications

Immunogen

The exact immunogen used to generate this antibody is proprietary information.

Reactivity data

{ "title": "Reactivity Data", "filters": { "stats": ["", "Species", "Dilution Info", "Notes"], "tabs": { "all-applications": {"fullname" : "All Applications", "shortname": "All Applications"}, "WB" : {"fullname" : "Western blot", "shortname":"WB"}, "ICCIF" : {"fullname" : "Immunocytochemistry/ Immunofluorescence", "shortname":"ICC/IF"}, "FlowCytIntra" : {"fullname" : "Flow Cytometry (Intracellular)", "shortname":"Flow Cyt (Intra)"}, "IHCP" : {"fullname" : "Immunohistochemistry (Formalin/PFA-fixed paraffin-embedded sections)", "shortname":"IHC-P"} }, "product-promise": { "all": "all", "testedAndGuaranteed": "tested", "guaranteed": "expected", "predicted": "predicted", "notRecommended": "not-recommended" } }, "values": { "Human": { "WB-species-checked": "testedAndGuaranteed", "WB-species-dilution-info": "1/1000 - 1/10000", "WB-species-notes": "<p></p>", "ICCIF-species-checked": "testedAndGuaranteed", "ICCIF-species-dilution-info": "1/50 - 1/100", "ICCIF-species-notes": "<p></p>", "FlowCytIntra-species-checked": "testedAndGuaranteed", "FlowCytIntra-species-dilution-info": "1/60", "FlowCytIntra-species-notes": "<p><a href='/en-us/products/primary-antibodies/rabbit-igg-monoclonal-epr25a-isotype-control-ab172730'>ab172730</a> - Rabbit monoclonal IgG, is suitable for use as an isotype control with this antibody.</p>", "IHCP-species-checked": "testedAndGuaranteed", "IHCP-species-dilution-info": "1/100 - 1/250", "IHCP-species-notes": "<p></p>" }, "Mouse": { "WB-species-checked": "predicted", "WB-species-dilution-info": "", "WB-species-notes": "", "ICCIF-species-checked": "predicted", "ICCIF-species-dilution-info": "", "ICCIF-species-notes": "", "FlowCytIntra-species-checked": "predicted", "FlowCytIntra-species-dilution-info": "", "FlowCytIntra-species-notes": "", "IHCP-species-checked": "predicted", "IHCP-species-dilution-info": "", "IHCP-species-notes": "" }, "Rat": { "WB-species-checked": "predicted", "WB-species-dilution-info": "", "WB-species-notes": "", "ICCIF-species-checked": "predicted", "ICCIF-species-dilution-info": "", "ICCIF-species-notes": "", "FlowCytIntra-species-checked": "predicted", "FlowCytIntra-species-dilution-info": "", "FlowCytIntra-species-notes": "", "IHCP-species-checked": "predicted", "IHCP-species-dilution-info": "", "IHCP-species-notes": "" } } }

Product details

Patented technology
Our RabMAb® technology is a patented hybridoma-based technology for making rabbit monoclonal antibodies. For details on our patents, please refer to RabMAb® patents.

What are the advantages of a recombinant monoclonal antibody?
This product is a recombinant monoclonal antibody, which offers several advantages including:

  • - High batch-to-batch consistency and reproducibility
  • - Improved sensitivity and specificity
  • - Long-term security of supply
  • - Animal-free batch production

For more information, read more on recombinant antibodies.

Properties and storage information

Form
Liquid
Purification technique
Affinity purification Protein A
Storage buffer
Preservative: 0.01% Sodium azide Constituents: PBS, 40% Glycerol (glycerin, glycerine), 0.05% BSA
Shipped at conditions
Blue Ice
Appropriate short-term storage duration
1-2 weeks
Appropriate short-term storage conditions
+4°C
Appropriate long-term storage conditions
-20°C
Aliquoting information
Upon delivery aliquot
Storage information
Avoid freeze / thaw cycle

Supplementary information

This supplementary information is collated from multiple sources and compiled automatically.

TTF2 also known as transcription termination factor 2 is a protein involved in the removal of RNA polymerase II from chromatin during the process of transcription termination. The protein has a molecular mass of approximately 87 kDa. TTF2 shows expression in various tissues including high levels in the testis and lower levels in the brain and heart. Its activity is essential for ensuring that proper termination signals within the genomic DNA are recognized and that transcription is concluded accurately without inappropriate elongation.
Biological function summary

TTF2 plays a significant role in the dissociation of the transcription machinery ensuring effective recycling of RNA polymerase II for reuse in new transcription cycles. TTF2 is not a part of a multi-protein complex but works closely with other factors in post-transcriptional regulation. This protein facilitates the resetting of the chromatin environment which is important for the maintenance of gene expression fidelity across cellular processes.

Pathways

TTF2 interacts with several important transcriptional regulation pathways. It plays an integral role in the RNA polymerase II transcription termination pathway ensuring proper end of transcription. Furthermore its functional association with proteins like RNA polymerase II and termination-related cofactors emphasizes its role in efficient transcriptional control and regulatory processes that affect gene expression.

TTF2 has been implicated in various cancers where transcriptional misregulation is a contributing factor. Changes or anomalies in TTF2 expression or function can disrupt normal transcription termination leading to aberrant gene expression and possibly promoting oncogenesis. Additionally TTF2's interaction with RNA polymerase II highlights its potential involvement in neurodegenerative disorders where precise gene regulation is affected. Understanding TTF2's role in these contexts can benefit the development of targeted therapeutic strategies.

Product protocols

For this product, it's our understanding that no specific protocols are required. You can visit:

Target data

DsDNA-dependent ATPase which acts as a transcription termination factor by coupling ATP hydrolysis with removal of RNA polymerase II from the DNA template. May contribute to mitotic transcription repression. May also be involved in pre-mRNA splicing.
See full target information TTF2

Publications (1)

Recent publications for all applications. Explore the full list and refine your search

Cancer cell international 25:49 PubMed39962568

2025

Comprehensive network pharmacology and experimental study to investigate the effect and mechanism of solasonine on breast carcinoma treatment.

Applications

Unspecified application

Species

Unspecified reactive species

Wenkai Ge,Min Gao,Yingqi Dai,Gang Zheng,Li Yang,Wenshu Zuo,Xingsong Tian
View all publications

Product promise

We are committed to supporting your work with high-quality reagents, and we're here for you every step of the way. In the unlikely event that one of our products does not perform as expected, you're protected by our Product Promise.
For full details, please see our Terms & Conditions

Please note: All products are 'FOR RESEARCH USE ONLY. NOT FOR USE IN DIAGNOSTIC OR THERAPEUTIC PROCEDURES'.

For licensing inquiries, please contact partnerships@abcam.com