JavaScript is disabled in your browser. Please enable JavaScript to view this website.
AB237048

Anti-TTI2 antibody

Be the first to review this product! Submit a review

|

(1 Publication)

Rabbit Polyclonal TTI2 antibody. Suitable for WB, IHC-P, ICC/IF and reacts with Rat, Human samples. Cited in 1 publication. Immunogen corresponding to Recombinant Fragment Protein within Human TTI2 aa 150-300.

View Alternative Names

C8orf41, TTI2, TELO2-interacting protein 2

4 Images
Immunohistochemistry (Formalin/PFA-fixed paraffin-embedded sections) - Anti-TTI2 antibody (AB237048)
  • IHC-P

Supplier Data

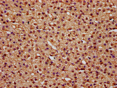
Immunohistochemistry (Formalin/PFA-fixed paraffin-embedded sections) - Anti-TTI2 antibody (AB237048)

Paraffin-embedded human adrenal gland tissue stained for TTI2 using ab237048 at 1/100 dilution in immunohistochemical analysis.

After dewaxing and hydration, antigen retrieval was mediated by high pressure in a citrate buffer (pH 6.0). Section was blocked with 10% normal goat serum 30 minutes at RT. Then primary antibody (1% BSA) was incubated at 4°C overnight. The primary is detected by a biotinylated secondary antibody and visualized using an HRP conjugated SP system.

Immunohistochemistry (Formalin/PFA-fixed paraffin-embedded sections) - Anti-TTI2 antibody (AB237048)
  • IHC-P

Supplier Data

Immunohistochemistry (Formalin/PFA-fixed paraffin-embedded sections) - Anti-TTI2 antibody (AB237048)

Paraffin-embedded human colon cancer tissue stained for TTI2 using ab237048 at 1/100 dilution in immunohistochemical analysis.

After dewaxing and hydration, antigen retrieval was mediated by high pressure in a citrate buffer (pH 6.0). Section was blocked with 10% normal goat serum 30 minutes at RT. Then primary antibody (1% BSA) was incubated at 4°C overnight. The primary is detected by a biotinylated secondary antibody and visualized using an HRP conjugated SP system.

Western blot - Anti-TTI2 antibody (AB237048)
  • WB

Supplier Data

Western blot - Anti-TTI2 antibody (AB237048)

All lanes:

Western blot - Anti-TTI2 antibody (ab237048) at 1/500 dilution

Lane 1:

HeLa (Human epithelial cell line from cervix adenocarcinoma) whole cell lysate

Lane 2:

HepG2 (Human liver hepatocellular carcinoma cell line) whole cell lysate

Lane 3:

PC-3 (Human prostate adenocarcinoma cell line) whole cell lysate

Lane 4:

Rat kidney tissue lysate

Secondary

All lanes:

Goat polyclonal to rabbit IgG at 1/50000 dilution

Predicted band size: 57 kDa

false

Immunocytochemistry/ Immunofluorescence - Anti-TTI2 antibody (AB237048)
  • ICC/IF

Supplier Data

Immunocytochemistry/ Immunofluorescence - Anti-TTI2 antibody (AB237048)

A549 (Human lung carcinoma cell line) cells stained for TTI2 (green) using ab237048 at 1/33 dilution in ICC/IF, followed by an Alexa-Fluor®488-conjugated Goat Anti-Rabbit IgG (H+L) secondary antibody.

The cells were fixed in 4% formaldehyde, permeabilized using 0.2% Triton X-100 and blocked in 10% normal goat serum. The cells were then incubated with the antibody overnight at 4°C.

Key facts

Host species

Rabbit

Clonality

Polyclonal

Isotype

IgG

Carrier free

No

Reacts with

Rat, Human

Applications

ICC/IF, WB, IHC-P

applications

Immunogen

Recombinant Fragment Protein within Human TTI2 aa 150-300. The exact immunogen used to generate this antibody is proprietary information.

Q6NXR4

Reactivity data

{ "title": "Reactivity Data", "filters": { "stats": ["", "Species", "Dilution Info", "Notes"], "tabs": { "all-applications": {"fullname" : "All Applications", "shortname": "All Applications"}, "WB" : {"fullname" : "Western blot", "shortname":"WB"}, "IHCP" : {"fullname" : "Immunohistochemistry (Formalin/PFA-fixed paraffin-embedded sections)", "shortname":"IHC-P"}, "ICCIF" : {"fullname" : "Immunocytochemistry/ Immunofluorescence", "shortname":"ICC/IF"} }, "product-promise": { "all": "all", "testedAndGuaranteed": "tested", "guaranteed": "expected", "predicted": "predicted", "notRecommended": "not-recommended" } }, "values": { "Human": { "WB-species-checked": "testedAndGuaranteed", "WB-species-dilution-info": "1/500 - 1/5000", "WB-species-notes": "<p></p>", "IHCP-species-checked": "testedAndGuaranteed", "IHCP-species-dilution-info": "1/20 - 1/200", "IHCP-species-notes": "<p></p>", "ICCIF-species-checked": "testedAndGuaranteed", "ICCIF-species-dilution-info": "1/50 - 1/200", "ICCIF-species-notes": "<p></p>" }, "Rat": { "WB-species-checked": "testedAndGuaranteed", "WB-species-dilution-info": "1/500 - 1/5000", "WB-species-notes": "<p></p>", "IHCP-species-checked": "guaranteed", "IHCP-species-dilution-info": "", "IHCP-species-notes": "", "ICCIF-species-checked": "guaranteed", "ICCIF-species-dilution-info": "", "ICCIF-species-notes": "" } } }

Properties and storage information

Form
Liquid
Purification technique
Affinity purification Protein G
Purification notes
Purity >95%
Storage buffer
pH: 7.4 Preservative: 0.03% Proclin 300 Constituents: PBS, 50% Glycerol (glycerin, glycerine)
Shipped at conditions
Blue Ice
Appropriate short-term storage duration
1-2 weeks
Appropriate short-term storage conditions
+4°C
Appropriate long-term storage conditions
-20°C
Aliquoting information
Upon delivery aliquot
Storage information
Avoid freeze / thaw cycle

Supplementary information

This supplementary information is collated from multiple sources and compiled automatically.

TTI2 also known as TELO2 interacting protein 2 is a protein with a molecular mass of approximately 56 kDa. It plays a mechanical role as part of the TTT complex which also includes TELO2 and TTI1. TTI2 is essential for the stability and maturation of the phosphoinositide 3-kinase-related kinase (PIKK) family. It is mostly expressed in human tissues with significant levels in heart brain and liver. Researchers study TTI2 because of its involvement in cellular processes that ensure the cell responds effectively to stress and repair mechanisms.
Biological function summary

TTI2 acts as a stabilizing factor within the TTT complex providing structural support required for maturation and stabilization of PIKKs. This complex is important for protein folding and quality control within cells. TTI2 facilitates protein-protein interactions necessary for the assembly of functional PIKK complexes like ATM and mTOR which regulate cellular responses to DNA damage and nutrient signals. Through these functions TTI2 influences cell cycle regulation and growth.

Pathways

TTI2 contributes significantly to the DNA damage response and mTOR signaling pathways. In the DNA damage response pathway its role within the TTT complex supports the activity of ATM protein an important kinase involved in repairing damaged DNA. In the mTOR signaling pathway TTI2 assists in the regulation of metabolism and growth acting in concert with other components of the TTT complex to maintain proper cell function and survival. This interaction connects TTI2 to various proteins like TTI1 and TELO2 reinforcing its importance within these pathways.

TTI2 has associations with cancer and neurological disorders. Dysregulation of TTI2 may impact the stability of PIKKs leading to impaired DNA damage response which can contribute to cancer development. Additionally limited TTI2 function has links to neurodegenerative diseases due to its role in maintaining neuronal cell health through mTOR signaling. The protein's interactions with ATM in cancer and mTOR in neurological disorders underline its relevance to these conditions connecting TTI2 to broader pathways that when disrupted lead to disease.

Product protocols

For this product, it's our understanding that no specific protocols are required. You can visit:

Target data

Regulator of the DNA damage response (DDR). Part of the TTT complex that is required to stabilize protein levels of the phosphatidylinositol 3-kinase-related protein kinase (PIKK) family proteins. The TTT complex is involved in the cellular resistance to DNA damage stresses, like ionizing radiation (IR), ultraviolet (UV) and mitomycin C (MMC). Together with the TTT complex and HSP90 may participate in the proper folding of newly synthesized PIKKs.
See full target information TTI2

Publications (1)

Recent publications for all applications. Explore the full list and refine your search

Clinical and experimental pharmacology & physiology 52:e70046 PubMed40365957

2025

MRGPRX2-Mediated Mast Cell Degranulation by Monomethyl Methacrylate: Unveiling a Pathway in Bone Cement Implantation Syndrome.

Applications

Unspecified application

Species

Unspecified reactive species

Yasuyuki Suzuki,Liu Shuang,Erika Takemasa,Yasushi Takasaki,Toshihiro Yorozuya,Masaki Mogi
View all publications

Product promise

We are committed to supporting your work with high-quality reagents, and we're here for you every step of the way. In the unlikely event that one of our products does not perform as expected, you're protected by our Product Promise.
For full details, please see our Terms & Conditions

Please note: All products are 'FOR RESEARCH USE ONLY. NOT FOR USE IN DIAGNOSTIC OR THERAPEUTIC PROCEDURES'.

For licensing inquiries, please contact partnerships@abcam.com