JavaScript is disabled in your browser. Please enable JavaScript to view this website.
AB219068

Anti-TTK/Mps1 antibody [3G7]

Be the first to review this product! Submit a review

|

(2 Publications)

Mouse Monoclonal TTK/Mps1 antibody. Suitable for IHC-P, WB and reacts with Human samples. Cited in 2 publications. Immunogen corresponding to Recombinant Fragment Protein within Human TTK aa 1-200.

View Alternative Names

MPS1, MPS1L1, TTK, Dual specificity protein kinase TTK, Phosphotyrosine picked threonine-protein kinase, PYT

4 Images
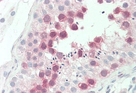
Immunohistochemistry (Formalin/PFA-fixed paraffin-embedded sections) - Anti-TTK/Mps1 antibody [3G7] (AB219068)
  • IHC-P

Supplier Data

Immunohistochemistry (Formalin/PFA-fixed paraffin-embedded sections) - Anti-TTK/Mps1 antibody [3G7] (AB219068)

Immunohistochemical analysis of formalin-fixed, paraffin-embedded human testis tissue labeling TTK/Mps1 with ab219068 at 10 μg/ml.

Western blot - Anti-TTK/Mps1 antibody [3G7] (AB219068)
  • WB

Supplier Data

Western blot - Anti-TTK/Mps1 antibody [3G7] (AB219068)

All lanes:

Western blot - Anti-TTK/Mps1 antibody [3G7] (ab219068) at 1/500 dilution

All lanes:

HeLa cell lysate

Predicted band size: 97 kDa

false

Western blot - Anti-TTK/Mps1 antibody [3G7] (AB219068)
  • WB

Supplier Data

Western blot - Anti-TTK/Mps1 antibody [3G7] (AB219068)

All lanes:

Western blot - Anti-TTK/Mps1 antibody [3G7] (ab219068) at 1/500 dilution

All lanes:

K562 cell lysate

Predicted band size: 97 kDa

false

Western blot - Anti-TTK/Mps1 antibody [3G7] (AB219068)
  • WB

Supplier Data

Western blot - Anti-TTK/Mps1 antibody [3G7] (AB219068)

All lanes:

Western blot - Anti-TTK/Mps1 antibody [3G7] (ab219068) at 1/500 dilution

Lane 1:

TTK/Mps1-transfected 293T cell lysate

Lane 2:

Non-transfected 293T cell lysate

Predicted band size: 97 kDa

false

Key facts

Host species

Mouse

Clonality

Monoclonal

Clone number

3G7

Isotype

IgG2a

Light chain type

kappa

Carrier free

No

Reacts with

Human

Applications

IHC-P, WB

applications

Immunogen

Recombinant Fragment Protein within Human TTK aa 1-200. The exact immunogen used to generate this antibody is proprietary information.

P33981

Reactivity data

{ "title": "Reactivity Data", "filters": { "stats": ["", "Species", "Dilution Info", "Notes"], "tabs": { "all-applications": {"fullname" : "All Applications", "shortname": "All Applications"}, "IHCP" : {"fullname" : "Immunohistochemistry (Formalin/PFA-fixed paraffin-embedded sections)", "shortname":"IHC-P"}, "WB" : {"fullname" : "Western blot", "shortname":"WB"} }, "product-promise": { "all": "all", "testedAndGuaranteed": "tested", "guaranteed": "expected", "predicted": "predicted", "notRecommended": "not-recommended" } }, "values": { "Human": { "IHCP-species-checked": "testedAndGuaranteed", "IHCP-species-dilution-info": "10 µg/mL", "IHCP-species-notes": "<p></p>", "WB-species-checked": "testedAndGuaranteed", "WB-species-dilution-info": "", "WB-species-notes": "<p></p>" }, "Cynomolgus monkey": { "IHCP-species-checked": "predicted", "IHCP-species-dilution-info": "", "IHCP-species-notes": "", "WB-species-checked": "predicted", "WB-species-dilution-info": "", "WB-species-notes": "" } } }

Properties and storage information

Form
Liquid
Purification technique
Affinity purification Protein A
Storage buffer
pH: 7.4 Constituents: 100% PBS
Shipped at conditions
Blue Ice
Appropriate short-term storage duration
1-2 weeks
Appropriate short-term storage conditions
+4°C
Appropriate long-term storage conditions
-20°C
Aliquoting information
Upon delivery aliquot
Storage information
Avoid freeze / thaw cycle

Supplementary information

This supplementary information is collated from multiple sources and compiled automatically.

TTK also known as Mps1 is a dual-specificity protein kinase with a molecular mass of approximately 97 kDa. It plays a mechanical role in the regulation of the cell cycle by phosphorylating various substrates required for accurate chromosome alignment and segregation during mitosis. TTK/Mps1 is expressed in many tissues but shows the highest levels in rapidly dividing cells such as in the testis and in tumors. The presence of this protein in proliferative tissues suggests its involvement in cell cycle control mechanisms.
Biological function summary

TTK/Mps1 protein is essential for maintaining genomic stability. It functions as part of the mitotic checkpoint complex (MCC) which prevents cells from prematurely advancing from metaphase to anaphase until all chromosomes are correctly aligned on the mitotic spindle. By doing so TTK/Mps1 ensures proper chromosomal attachment and tension at kinetochores reducing the likelihood of aneuploidy. This regulation highlights its critical role in preventing genetic variation during cell division.

Pathways

TTK/Mps1 is an important component of the spindle assembly checkpoint (SAC) pathway which plays an important role in cell cycle regulation. It works closely with other proteins such as BUBR1 BUB3 and MAD2 to halt cell cycle progression until chromosomal alignment is verified. In addition TTK/Mps1 interacts with the aurora kinase A (AURKA) pathway which is instrumental in centrosome maturation and spindle assembly further emphasizing its role in ensuring accurate mitosis.

Aberrations in TTK/Mps1 activity are associated with cancer and aneuploidy. Overexpression or amplification of TTK/Mps1 is frequently observed in various tumors linking it with cancer progression and poor prognosis. Its interaction with other proteins like p53 a well-known tumor suppressor is significant in understanding its role in oncogenesis. Therapeutic targeting of TTK/Mps1 is being explored to exploit its critical function in rapidly proliferating cancer cells aiming to induce mitotic catastrophe and mitigate tumor growth.

Product protocols

For this product, it's our understanding that no specific protocols are required. You can visit:

Target data

Involved in mitotic spindle assembly checkpoint signaling, a process that delays anaphase until chromosomes are bioriented on the spindle, and in the repair of incorrect mitotic kinetochore-spindle microtubule attachments (PubMed : 18243099, PubMed : 28441529, PubMed : 29162720). Phosphorylates MAD1L1 to promote the mitotic spindle assembly checkpoint (PubMed : 18243099, PubMed : 29162720). Phosphorylates CDCA8/Borealin leading to enhanced AURKB activity at the kinetochore (PubMed : 18243099). Phosphorylates SKA3 at 'Ser-34' leading to dissociation of the SKA complex from microtubules and destabilization of microtubule-kinetochore attachments (PubMed : 28441529). Phosphorylates KNL1, KNTC1 and autophosphorylates (PubMed : 28441529).
See full target information TTK

Publications (2)

Recent publications for all applications. Explore the full list and refine your search

Archives of medical science : AMS 18:775-785 PubMed35591845

2021

Phosphotyrosine picked threonine kinase stimulates proliferation of human osteosarcoma cells and .

Applications

Unspecified application

Species

Unspecified reactive species

Zhe-Xiang Wang,Shao-Chun Ren,Jing Ren

Neoplasma 66:946-953 PubMed31607131

2019

TTK contributes to tumor growth and metastasis of clear cell renal cell carcinoma by inducing cell proliferation and invasion.

Applications

Unspecified application

Species

Unspecified reactive species

X D Liu,D W Yao,F Xin
View all publications

Product promise

We are committed to supporting your work with high-quality reagents, and we're here for you every step of the way. In the unlikely event that one of our products does not perform as expected, you're protected by our Product Promise.
For full details, please see our Terms & Conditions

Please note: All products are 'FOR RESEARCH USE ONLY. NOT FOR USE IN DIAGNOSTIC OR THERAPEUTIC PROCEDURES'.

For licensing inquiries, please contact partnerships@abcam.com