JavaScript is disabled in your browser. Please enable JavaScript to view this website.
AB204046

Anti-TTYH1 antibody

Be the first to review this product! Submit a review

|

(1 Publication)

Rabbit Polyclonal TTYH1 antibody. Suitable for IHC-P, WB and reacts with Human samples. Cited in 1 publication. Immunogen corresponding to Recombinant Fragment Protein within Human Protein tweety homolog 1 aa 250-400.

View Alternative Names

Protein tweety homolog 1, hTTY1, Volume-regulated anion channel subunit TTYH1, TTYH1

2 Images
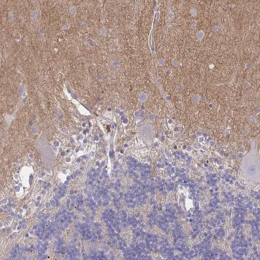
Immunohistochemistry (Formalin/PFA-fixed paraffin-embedded sections) - Anti-TTYH1 antibody (AB204046)
  • IHC-P

Supplier Data

Immunohistochemistry (Formalin/PFA-fixed paraffin-embedded sections) - Anti-TTYH1 antibody (AB204046)

Immunohistochemical analysis of paraffin-embedded human cerebellum tissue labeling TTYH1 in the neuropil with ab204046 at a 1/50 dilution.

Performed heat mediated antigen retrieval with citrate buffer pH 6 before commencing with IHC staining protocol.

Western blot - Anti-TTYH1 antibody (AB204046)
  • WB

Supplier Data

Western blot - Anti-TTYH1 antibody (AB204046)

All lanes:

Western blot - Anti-TTYH1 antibody (ab204046) at 0.4 µg/mL

All lanes:

Human cerebral cortex tissue lysate

Predicted band size: 49 kDa

false

Key facts

Host species

Rabbit

Clonality

Polyclonal

Isotype

IgG

Carrier free

No

Reacts with

Human

Applications

IHC-P, WB

applications

Immunogen

Recombinant Fragment Protein within Human Protein tweety homolog 1 aa 250-400. The exact immunogen used to generate this antibody is proprietary information.

Q9H313

Reactivity data

{ "title": "Reactivity Data", "filters": { "stats": ["", "Species", "Dilution Info", "Notes"], "tabs": { "all-applications": {"fullname" : "All Applications", "shortname": "All Applications"}, "IHCP" : {"fullname" : "Immunohistochemistry (Formalin/PFA-fixed paraffin-embedded sections)", "shortname":"IHC-P"}, "WB" : {"fullname" : "Western blot", "shortname":"WB"} }, "product-promise": { "all": "all", "testedAndGuaranteed": "tested", "guaranteed": "expected", "predicted": "predicted", "notRecommended": "not-recommended" } }, "values": { "Human": { "IHCP-species-checked": "testedAndGuaranteed", "IHCP-species-dilution-info": "1/50 - 1/200", "IHCP-species-notes": "<p></p> Perform heat-mediated antigen retrieval with citrate buffer pH 6 before commencing with IHC staining protocol.", "WB-species-checked": "testedAndGuaranteed", "WB-species-dilution-info": "0.04-0.4 µg/mL", "WB-species-notes": "<p></p>" }, "Mouse": { "IHCP-species-checked": "predicted", "IHCP-species-dilution-info": "", "IHCP-species-notes": "", "WB-species-checked": "predicted", "WB-species-dilution-info": "", "WB-species-notes": "" }, "Cow": { "IHCP-species-checked": "predicted", "IHCP-species-dilution-info": "", "IHCP-species-notes": "", "WB-species-checked": "predicted", "WB-species-dilution-info": "", "WB-species-notes": "" }, "Cynomolgus monkey": { "IHCP-species-checked": "predicted", "IHCP-species-dilution-info": "", "IHCP-species-notes": "", "WB-species-checked": "predicted", "WB-species-dilution-info": "", "WB-species-notes": "" } } }

Properties and storage information

Form
Liquid
Purification technique
Affinity purification Immunogen
Storage buffer
pH: 7.2 Preservative: 0.02% Sodium azide Constituents: PBS, 40% Glycerol (glycerin, glycerine)
Shipped at conditions
Blue Ice
Appropriate short-term storage duration
1-2 weeks
Appropriate short-term storage conditions
+4°C
Appropriate long-term storage conditions
-20°C
Aliquoting information
Upon delivery aliquot
Storage information
Avoid freeze / thaw cycle

Supplementary information

This supplementary information is collated from multiple sources and compiled automatically.

TTYH1 also known as Tweety homolog 1 is a transmembrane protein that belongs to the Tweety protein family. It has a mass of approximately 60 kDa. TTYH1 functions as a chloride channel and shows expression notably in the central nervous system particularly in the brain. Researchers observe its presence in several cell types including neurons and glial cells. Its expression pattern suggests a role linked to neural development and function.
Biological function summary

TTYH1 participates in the regulation of ion transport across cellular membranes. This function plays a significant role in maintaining cellular homeostasis and electrical excitability. TTYH1 supports chloride ion movement which influences cell volume regulation and neural signal transduction. TTYH1 might associate with other channel proteins and complexes that contribute to membrane potential and cell signaling processes impacting neurological processes.

Pathways

TTYH1 contributes to ion homeostasis and synaptic transmission processes within neural pathways. It interacts notably with proteins involved in the chloride ion transport pathway essential for maintaining proper neuronal activity. One of these other proteins is CLCN2 a chloride channel protein. TTYH1's function aligns with its role in maintaining the ion balance necessary for synaptic activity and effective neurotransmission.

Aberrant TTYH1 activity potentially links to neurological disorders including epilepsy and glioma. The abnormal function or expression of TTYH1 may impact the balance of ions within neurons which carries implications for neural excitability and seizure susceptibility in epilepsy. Additionally its expression in glioma suggests a role in the progression or pathology of tumor growth in the central nervous system. TTYH1's link with such conditions draws attention to its potential interactions with proteins like connexin43 which is involved in cell-to-cell communication and could further influence disease dynamics.

Product protocols

For this product, it's our understanding that no specific protocols are required. You can visit:

Target data

Calcium-independent, swelling-dependent volume-regulated anion channel (VRAC-swell) which plays a pivotal role in the process of regulatory volume decrease (RVD) in the brain through the efflux of anions like chloride and organic osmolytes like glutamate.. Isoform 3. Ca(2+)-independent, swelling-activated chloride channel, possibly involved in regulation of cell volume.
See full target information Protein tweety homolog 1

Publications (1)

Recent publications for all applications. Explore the full list and refine your search

eLife 11: PubMed35088712

2022

Paraxial mesoderm organoids model development of human somites.

Applications

Unspecified application

Species

Unspecified reactive species

Christoph Budjan,Shichen Liu,Adrian Ranga,Senjuti Gayen,Olivier Pourquié,Sahand Hormoz
View all publications

Product promise

We are committed to supporting your work with high-quality reagents, and we're here for you every step of the way. In the unlikely event that one of our products does not perform as expected, you're protected by our Product Promise.
For full details, please see our Terms & Conditions

Please note: All products are 'FOR RESEARCH USE ONLY. NOT FOR USE IN DIAGNOSTIC OR THERAPEUTIC PROCEDURES'.

For licensing inquiries, please contact partnerships@abcam.com