JavaScript is disabled in your browser. Please enable JavaScript to view this website.
AB131034

Anti-TUB 1 antibody [EPR8241]

Be the first to review this product! Submit a review

|

(2 Publications)

Rabbit Recombinant Monoclonal TUB antibody. Suitable for IHC-P, WB and reacts with Human, Mouse, Rat samples. Cited in 2 publications.

View Alternative Names

Tubby protein homolog, TUB

3 Images
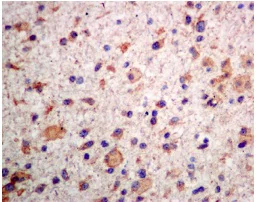
Immunohistochemistry (Formalin/PFA-fixed paraffin-embedded sections) - Anti-TUB 1 antibody [EPR8241] (AB131034)
  • IHC-P

Unknown

Immunohistochemistry (Formalin/PFA-fixed paraffin-embedded sections) - Anti-TUB 1 antibody [EPR8241] (AB131034)

Immunohistochemical analysis of paraffin-embedded Human astrocytoma tissue labelling TUB 1 with ab131034 antibody at 1/100 dilution.

Perform heat mediated antigen retrieval with citrate buffer pH 6 before commencing with IHC staining protocol.

Western blot - Anti-TUB 1 antibody [EPR8241] (AB131034)
  • WB

Unknown

Western blot - Anti-TUB 1 antibody [EPR8241] (AB131034)

All lanes:

Western blot - Anti-TUB 1 antibody [EPR8241] (ab131034) at 1/1000 dilution

Lane 1:

SH-SY5Y cell lysate at 10 µg

Lane 2:

Saos-2 cell lysate at 10 µg

Lane 3:

C6 cell lysate at 10 µg

Lane 4:

L6 cell lysate at 10 µg

Lane 5:

Neuro-2a cell lysate at 10 µg

Secondary

All lanes:

HRP labelled goat anti-rabbit at 1/2000 dilution

Predicted band size: 56 kDa

Observed band size: 60 kDa

false

OI-RD Scanning - Anti-TUB 1 antibody [EPR8241] (AB131034)
  • OI-RD Scanning

Unknown

OI-RD Scanning - Anti-TUB 1 antibody [EPR8241] (AB131034)

We have systematically measured KD (the equilibrium dissociation constant between the antibody and its antigen), of more than 840 recombinant antibodies to assess not only their individual KD values but also to see the average affinity of antibody. Based on the comparison with published literature values for mouse monoclonal antibodies, Recombinant antibodies appear to be on average 1-2 order of magnitude higher affinity.

  • Carrier free

    Anti-TUB 1 antibody [EPR8241] - BSA and Azide free

Key facts

Host species

Rabbit

Clonality

Monoclonal

Clone number

EPR8241

Isotype

IgG

Carrier free

No

Reacts with

Mouse, Rat, Human

Applications

WB, IHC-P

applications

Immunogen

The exact immunogen used to generate this antibody is proprietary information.

Reactivity data

{ "title": "Reactivity Data", "filters": { "stats": ["", "Species", "Dilution Info", "Notes"], "tabs": { "all-applications": {"fullname" : "All Applications", "shortname": "All Applications"}, "IHCP" : {"fullname" : "Immunohistochemistry (Formalin/PFA-fixed paraffin-embedded sections)", "shortname":"IHC-P"}, "IP" : {"fullname" : "Immunoprecipitation", "shortname":"IP"}, "WB" : {"fullname" : "Western blot", "shortname":"WB"} }, "product-promise": { "all": "all", "testedAndGuaranteed": "tested", "guaranteed": "expected", "predicted": "predicted", "notRecommended": "not-recommended" } }, "values": { "Human": { "IHCP-species-checked": "testedAndGuaranteed", "IHCP-species-dilution-info": "1/100 - 1/250", "IHCP-species-notes": "<p></p>", "IP-species-checked": "notRecommended", "IP-species-dilution-info": "", "IP-species-notes": "<p></p>", "WB-species-checked": "testedAndGuaranteed", "WB-species-dilution-info": "1/1000 - 1/10000", "WB-species-notes": "<p></p>" }, "Mouse": { "IHCP-species-checked": "guaranteed", "IHCP-species-dilution-info": "", "IHCP-species-notes": "", "IP-species-checked": "notRecommended", "IP-species-dilution-info": "", "IP-species-notes": "<p></p>", "WB-species-checked": "testedAndGuaranteed", "WB-species-dilution-info": "1/1000 - 1/10000", "WB-species-notes": "<p></p>" }, "Rat": { "IHCP-species-checked": "guaranteed", "IHCP-species-dilution-info": "", "IHCP-species-notes": "", "IP-species-checked": "notRecommended", "IP-species-dilution-info": "", "IP-species-notes": "<p></p>", "WB-species-checked": "testedAndGuaranteed", "WB-species-dilution-info": "1/1000 - 1/10000", "WB-species-notes": "<p></p>" } } }

Product details

Patented technology
Our RabMAb® technology is a patented hybridoma-based technology for making rabbit monoclonal antibodies. For details on our patents, please refer to RabMAb® patents.

What are the advantages of a recombinant monoclonal antibody?
This product is a recombinant monoclonal antibody, which offers several advantages including:

  • - High batch-to-batch consistency and reproducibility
  • - Improved sensitivity and specificity
  • - Long-term security of supply
  • - Animal-free batch production

For more information, read more on recombinant antibodies.

Properties and storage information

Form
Liquid
Purification technique
Affinity purification Protein A
Storage buffer
pH: 7.2 - 7.4 Preservative: 0.01% Sodium azide Constituents: PBS, 50% Tissue culture supernatant, 40% Glycerol (glycerin, glycerine), 0.05% BSA
Shipped at conditions
Blue Ice
Appropriate short-term storage conditions
+4°C
Appropriate long-term storage conditions
-20°C
Storage information
Stable for 12 months at -20°C

Supplementary information

This supplementary information is collated from multiple sources and compiled automatically.

TUB 1 also known as Tubby-like protein 1 is a monomeric protein with a mass of approximately 54 kDa. This protein has involvement in cellular processes due to its structural properties. TUB 1 expression occurs in various tissues including the brain and retina where it plays roles in critical functions. The precise mechanical role remains under investigation but there is evidence for its interaction with several cellular components.
Biological function summary

Tubby-like protein 1 is essential for maintaining cellular homeostasis. The protein associates with other molecules as part of a multi-protein complex exhibiting regulation of gene expression and involvement in signal transduction. TUB 1 assists in the response to external stimuli especially within neural tissues which suggests its contributions to neurological signaling pathways.

Pathways

Tubby-like protein 1 is significantly involved in signaling pathways related to neurodevelopment and vision such as the PI3K/Akt pathway. This protein works closely with PI3K signaling proteins contributing to cellular growth and survival. Through these pathways TUB 1 helps manage signal transduction processes along with other protein partners involved in neuronal function.

Researchers link Tubby-like protein 1 to obesity and retinitis pigmentosa. Mutations or dysregulations in TUB 1 can impact normal protein interactions affecting pathways associated with these conditions. The protein's interaction within these pathways together with leptin receptor and visual cycle proteins indicates a relationship with metabolic regulation and visual impairment disorders.

Product protocols

For this product, it's our understanding that no specific protocols are required. You can visit:

Target data

Functions in signal transduction from heterotrimeric G protein-coupled receptors. Binds to membranes containing phosphatidylinositol 4,5-bisphosphate. Can bind DNA (in vitro). May contribute to the regulation of transcription in the nucleus. Could be involved in the hypothalamic regulation of body weight (By similarity). Contribute to stimulation of phagocytosis of apoptotic retinal pigment epithelium (RPE) cells and macrophages.
See full target information TUB

Publications (2)

Recent publications for all applications. Explore the full list and refine your search

Cellular & molecular biology letters 29:100 PubMed38977961

2024

New mechanistic understanding of osteoclast differentiation and bone resorption mediated by P2X7 receptors and PI3K-Akt-GSK3β signaling.

Applications

Unspecified application

Species

Unspecified reactive species

Jiajia Lu,Xiaojian Shi,Qiang Fu,Yaguang Han,Lei Zhu,Zhibin Zhou,Yongchuan Li,Nan Lu

Disease markers 2021:3977189 PubMed34925640

2021

CircLDLR Promotes Papillary Thyroid Carcinoma Tumorigenicity by Regulating miR-637/LMO4 Axis.

Applications

Unspecified application

Species

Unspecified reactive species

Yuan-Ming Jiang,Wei Liu,Ling Jiang,Hongbin Chang
View all publications

Product promise

We are committed to supporting your work with high-quality reagents, and we're here for you every step of the way. In the unlikely event that one of our products does not perform as expected, you're protected by our Product Promise.
For full details, please see our Terms & Conditions

Please note: All products are 'FOR RESEARCH USE ONLY. NOT FOR USE IN DIAGNOSTIC OR THERAPEUTIC PROCEDURES'.

For licensing inquiries, please contact partnerships@abcam.com