JavaScript is disabled in your browser. Please enable JavaScript to view this website.
AB247709

Anti-TUBA1B antibody [EPR1333] - BSA and Azide free

Be the first to review this product! Submit a review

|

(1 Publication)

Rabbit Recombinant Monoclonal Alpha-tubulin 1 antibody. Carrier free. Suitable for IHC-P, WB, ICC/IF, Flow Cyt (Intra) and reacts with Mouse, Human, Rat samples. Cited in 1 publication.

View Alternative Names

Tubulin alpha-1B chain, Alpha-tubulin ubiquitous, Tubulin K-alpha-1, Tubulin alpha-ubiquitous chain, TUBA1B

5 Images
Flow Cytometry (Intracellular) - Anti-TUBA1B antibody [EPR1333] - BSA and Azide free (AB247709)
  • Flow Cyt (Intra)

Unknown

Flow Cytometry (Intracellular) - Anti-TUBA1B antibody [EPR1333] - BSA and Azide free (AB247709)

Intracellular Flow Cytometry analysis of Jurkat (Human T cell leukemia T lymphocyte) cells labeling TUBA1B with purified ab108629 at 1/20 dilution (5μg/ml) (Red). Cells were fixed with 4% Paraformaldehyde and permeabilised with 90% Methanol. A Goat anti rabbit IgG (Alexa Fluor® 488, ab150077) secondary antibody was used at 1/2000. Isotype control - Rabbit monoclonal IgG (Black). Unlabeled control - Cell without incubation with primary antibody and secondary antibody (Blue).

This data was developed using the same antibody clone in a different buffer formulation containing PBS, BSA, glycerol, and sodium azide (ab108629).

Immunocytochemistry/ Immunofluorescence - Anti-TUBA1B antibody [EPR1333] - BSA and Azide free (AB247709)
  • ICC/IF

Unknown

Immunocytochemistry/ Immunofluorescence - Anti-TUBA1B antibody [EPR1333] - BSA and Azide free (AB247709)

Immunocytochemistry/ Immunofluorescence analysis of Jurkat (Human T cell leukemia T lymphocyte) cells labeling TUBA1B with purified ab108629 at 1/50 dilution (2.56 μg/ml). Cells were fixed in 4% Paraformaldehyde and permeabilized with 0.1% tritonX-100. Cells were counterstained with ab195889 Anti-alpha Tubulin antibody [DM1A] - Microtubule Marker (Alexa Fluor® 594) 1/200 (2.5 μg/ml). Goat anti rabbit IgG (Alexa Fluor® 488, ab150077) was used as the secondary antibody at 1/1000 (2 μg/ml) dilution. DAPI (blue) was used as nuclear counterstain. PBS instead of the primary antibody was used as the secondary antibody only control.

This data was developed using the same antibody clone in a different buffer formulation containing PBS, BSA, glycerol, and sodium azide (ab108629).

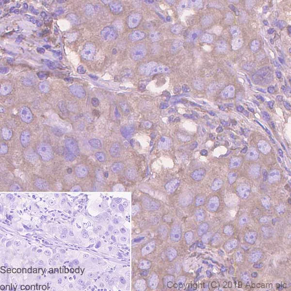
Immunohistochemistry (Formalin/PFA-fixed paraffin-embedded sections) - Anti-TUBA1B antibody [EPR1333] - BSA and Azide free (AB247709)
  • IHC-P

Unknown

Immunohistochemistry (Formalin/PFA-fixed paraffin-embedded sections) - Anti-TUBA1B antibody [EPR1333] - BSA and Azide free (AB247709)

Immunohistochemistry (Formalin/PFA-fixed paraffin-embedded sections) analysis of human breast carcinoma tissue sections labeling TUBA1B with purified ab108629 at 1/2000 dilution (0.06 μg/ml). Heat mediated antigen retrieval using Bond™ Epitope Retrieval Solution 2 (pH 9.0). Rabbit specific IHC polymer detection kit HRP/DAB (ab209101) was used as the secondary antibody. Negative control : PBS instead of the primary antibody. Hematoxylin was used as a counterstain.

This data was developed using the same antibody clone in a different buffer formulation containing PBS, BSA, glycerol, and sodium azide (ab108629).

Immunohistochemistry (Formalin/PFA-fixed paraffin-embedded sections) - Anti-TUBA1B antibody [EPR1333] - BSA and Azide free (AB247709)
  • IHC-P

Unknown

Immunohistochemistry (Formalin/PFA-fixed paraffin-embedded sections) - Anti-TUBA1B antibody [EPR1333] - BSA and Azide free (AB247709)

Immunohistochemistry (Formalin/PFA-fixed paraffin-embedded sections) analysis of rat liver tissue sections labeling TUBA1B with purified ab108629 at 1/2000 dilution (0.06 μg/ml). Heat mediated antigen retrieval using Bond™ Epitope Retrieval Solution 2 (pH 9.0). Rabbit specific IHC polymer detection kit HRP/DAB (ab209101) was used as the secondary antibody. Negative control : PBS instead of the primary antibody. Hematoxylin was used as a counterstain.

This data was developed using the same antibody clone in a different buffer formulation containing PBS, BSA, glycerol, and sodium azide (ab108629).

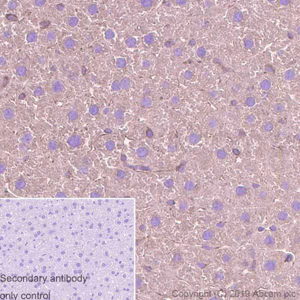
Immunohistochemistry (Formalin/PFA-fixed paraffin-embedded sections) - Anti-TUBA1B antibody [EPR1333] - BSA and Azide free (AB247709)
  • IHC-P

Unknown

Immunohistochemistry (Formalin/PFA-fixed paraffin-embedded sections) - Anti-TUBA1B antibody [EPR1333] - BSA and Azide free (AB247709)

Immunohistochemistry (Formalin/PFA-fixed paraffin-embedded sections) analysis of mouse liver tissue sections labeling TUBA1B with purified ab108629 at 1/2000 dilution (0.06 μg/ml). Heat mediated antigen retrieval using Bond™ Epitope Retrieval Solution 2 (pH 9.0). Rabbit specific IHC polymer detection kit HRP/DAB (ab209101) was used as the secondary antibody. Negative control : PBS instead of the primary antibody. Hematoxylin was used as a counterstain.

This data was developed using the same antibody clone in a different buffer formulation containing PBS, BSA, glycerol, and sodium azide (ab108629).

  • Unconjugated

    Anti-TUBA1B antibody [EPR1333] - Loading Control

Key facts

Host species

Rabbit

Clonality

Monoclonal

Clone number

EPR1333

Isotype

IgG

Carrier free

Yes

Reacts with

Mouse, Rat, Human

Applications

Flow Cyt (Intra), ICC/IF, IHC-P, WB

applications

Immunogen

The exact immunogen used to generate this antibody is proprietary information.

Reactivity data

{ "title": "Reactivity Data", "filters": { "stats": ["", "Species", "Dilution Info", "Notes"], "tabs": { "all-applications": {"fullname" : "All Applications", "shortname": "All Applications"}, "IHCP" : {"fullname" : "Immunohistochemistry (Formalin/PFA-fixed paraffin-embedded sections)", "shortname":"IHC-P"}, "IP" : {"fullname" : "Immunoprecipitation", "shortname":"IP"}, "WB" : {"fullname" : "Western blot", "shortname":"WB"}, "ICCIF" : {"fullname" : "Immunocytochemistry/ Immunofluorescence", "shortname":"ICC/IF"}, "FlowCytIntra" : {"fullname" : "Flow Cytometry (Intracellular)", "shortname":"Flow Cyt (Intra)"} }, "product-promise": { "all": "all", "testedAndGuaranteed": "tested", "guaranteed": "expected", "predicted": "predicted", "notRecommended": "not-recommended" } }, "values": { "Human": { "IHCP-species-checked": "guaranteed", "IHCP-species-dilution-info": "", "IHCP-species-notes": "", "IP-species-checked": "notRecommended", "IP-species-dilution-info": "", "IP-species-notes": "<p></p>", "WB-species-checked": "guaranteed", "WB-species-dilution-info": "", "WB-species-notes": "<p></p>", "ICCIF-species-checked": "testedAndGuaranteed", "ICCIF-species-dilution-info": "", "ICCIF-species-notes": "<p></p>", "FlowCytIntra-species-checked": "testedAndGuaranteed", "FlowCytIntra-species-dilution-info": "", "FlowCytIntra-species-notes": "<p></p>" }, "Mouse": { "IHCP-species-checked": "testedAndGuaranteed", "IHCP-species-dilution-info": "", "IHCP-species-notes": "<p></p>", "IP-species-checked": "notRecommended", "IP-species-dilution-info": "", "IP-species-notes": "<p></p>", "WB-species-checked": "guaranteed", "WB-species-dilution-info": "", "WB-species-notes": "<p></p>", "ICCIF-species-checked": "guaranteed", "ICCIF-species-dilution-info": "", "ICCIF-species-notes": "", "FlowCytIntra-species-checked": "guaranteed", "FlowCytIntra-species-dilution-info": "", "FlowCytIntra-species-notes": "" }, "Rat": { "IHCP-species-checked": "predicted", "IHCP-species-dilution-info": "", "IHCP-species-notes": "", "IP-species-checked": "notRecommended", "IP-species-dilution-info": "", "IP-species-notes": "<p></p>", "WB-species-checked": "guaranteed", "WB-species-dilution-info": "", "WB-species-notes": "<p></p>", "ICCIF-species-checked": "predicted", "ICCIF-species-dilution-info": "", "ICCIF-species-notes": "", "FlowCytIntra-species-checked": "predicted", "FlowCytIntra-species-dilution-info": "", "FlowCytIntra-species-notes": "" } } }

Product details

ab247709 is the carrier-free version of ab108629.

Patented technology
Our RabMAb® technology is a patented hybridoma-based technology for making rabbit monoclonal antibodies. For details on our patents, please refer to RabMAb® patents.

What are the advantages of a recombinant monoclonal antibody?
This product is a recombinant monoclonal antibody, which offers several advantages including:

  • - High batch-to-batch consistency and reproducibility
  • - Improved sensitivity and specificity
  • - Long-term security of supply
  • - Animal-free batch production

For more information, read more on recombinant antibodies.

Conjugation ready
Our carrier-free antibodies are typically supplied in a PBS-only formulation, purified and free of BSA, sodium azide and glycerol. This conjugation-ready format is designed for use with fluorochromes, metal isotopes, oligonucleotides, and enzymes, which makes them ideal for antibody labelling, functional and cell-based assays, flow-based assays (e.g. mass cytometry) and Multiplex Imaging applications.

Use our conjugation kits for antibody conjugates that are ready-to-use in as little as 20 minutes with 1 minute hands-on-time and 100% antibody recovery: available for fluorescent dyes, HRP, biotin and gold.

Compatibility
This product is compatible with the Maxpar® Antibody Labeling Kit from Fluidigm, without the need for antibody preparation. Maxpar® is a trademark of Fluidigm Canada Inc.

Properties and storage information

Form
Liquid
Purification technique
Affinity purification Protein A
Storage buffer
pH: 7.2 - 7.4 Constituents: PBS
Shipped at conditions
Blue Ice
Appropriate short-term storage conditions
+4°C
Appropriate long-term storage conditions
+4°C
Storage information
Do Not Freeze

Supplementary information

This supplementary information is collated from multiple sources and compiled automatically.

TUBA1B also known as tubulin alpha-1B chain is a subunit of microtubules that plays a structural role in the cellular cytoskeleton. It has a molecular mass of about 50 kDa. TUBA1B distributes widely across various tissues with elevated expression in neuronal cells. It characterizes by its involvement in the assembly and stabilization of microtubules which are essential for maintaining cell shape promoting intracellular transport and facilitating chromosome segregation during cell division.
Biological function summary

TUBA1B contributes significantly to the formation and function of the cytoskeletal microtubule network. It functions as part of the heterodimeric complex pairing with beta-tubulin to form the building blocks of microtubules. These structures are central to diverse cellular activities such as intracellular trafficking axonal transport in neurons and the migration and division of cells. In this implicit role TUBA1B influences the dynamics and stability of microtubule polymers impacting the cell’s ability to respond to mechanical and environmental stimuli.

Pathways

TUBA1B is integral to the mitotic spindle assembly pathway and neuronal signaling. In the context of these pathways TUBA1B's interactions with proteins like dynein and kinesin facilitate its role in intracellular transport and spindle orientation during cell division. TUBA1B also participates in neuronal development pathways where its association with tau and other microtubule-associated proteins contributes to the formation of neuronal axons and dendrites.

Alterations in TUBA1B have been linked to certain neurodevelopmental disorders and cancers such as lissencephaly and glioblastoma. In lissencephaly mutations in TUBA1B disrupt proper neuronal migration contributing to the abnormal brain development associated with the disorder. In glioblastoma TUBA1B's aberrant expression impacts microtubule dynamics aiding in cancer cell proliferation and resistance to therapies. These pathological conditions often involve interactions with other proteins including those found in the microtubule-associated protein family such as MAP2 and MAPT which further influence disease progression.

Product protocols

For this product, it's our understanding that no specific protocols are required. You can visit:

Target data

Tubulin is the major constituent of microtubules, protein filaments consisting of alpha- and beta-tubulin heterodimers (PubMed : 38305685, PubMed : 34996871, PubMed : 38609661). Microtubules grow by the addition of GTP-tubulin dimers to the microtubule end, where a stabilizing cap forms (PubMed : 38305685, PubMed : 34996871, PubMed : 38609661). Below the cap, tubulin dimers are in GDP-bound state, owing to GTPase activity of alpha-tubulin (PubMed : 34996871, PubMed : 38609661).
See full target information TUBA1B

Publications (1)

Recent publications for all applications. Explore the full list and refine your search

Oncology letters 26:409 PubMed37600337

2023

Renal epithelioid angiomyolipoma: A case report.

Applications

Unspecified application

Species

Unspecified reactive species

Hongyun Li,Xuebei Zhang,Qingli Zhao,Jin Wang,Xiaoqing Yang,Shengliang Huang
View all publications

Product promise

We are committed to supporting your work with high-quality reagents, and we're here for you every step of the way. In the unlikely event that one of our products does not perform as expected, you're protected by our Product Promise.
For full details, please see our Terms & Conditions

Please note: All products are 'FOR RESEARCH USE ONLY. NOT FOR USE IN DIAGNOSTIC OR THERAPEUTIC PROCEDURES'.

For licensing inquiries, please contact partnerships@abcam.com