JavaScript is disabled in your browser. Please enable JavaScript to view this website.
AB52936

Anti-Tuberin antibody [EP1107Y]

Be the first to review this product! Submit a review

|

(5 Publications)

Knockout Tested Rabbit Recombinant Monoclonal Tuberin antibody. Suitable for IHC-P, IP, WB, ICC/IF, Flow Cyt (Intra) and reacts with Human samples. Cited in 5 publications.

View Alternative Names

TSC4, TSC2, Tuberin, Tuberous sclerosis 2 protein

10 Images
Immunohistochemistry (Formalin/PFA-fixed paraffin-embedded sections) - Anti-Tuberin antibody [EP1107Y] (AB52936)
  • IHC-P

Unknown

Immunohistochemistry (Formalin/PFA-fixed paraffin-embedded sections) - Anti-Tuberin antibody [EP1107Y] (AB52936)

Immunohistochemical analysis of paraffin-embedded human adenocarcinoma of uterus using ab52936 at a dilution of 1/100-1/250.

Perform heat mediated antigen retrieval with citrate buffer pH 6 before commencing with IHC staining protocol.

Immunocytochemistry/ Immunofluorescence - Anti-Tuberin antibody [EP1107Y] (AB52936)
  • ICC/IF

Supplier Data

Immunocytochemistry/ Immunofluorescence - Anti-Tuberin antibody [EP1107Y] (AB52936)

ab52936 stained HeLa cells. The cells were 4% formaldehyde fixed for 10 minutes at room temperature and then incubated in 1%BSA / 10% normal goat serum / 0.3M glycine in 0.1% PBS-Tween for 1hour at room temperature to permeabilise the cells and block non-specific protein-protein interactions. The cells were then incubated with the antibody (ab52936 at 1/100 dilution) overnight at +4°C. The secondary antibody (pseudo-colored green) was Goat Anti-Rabbit IgG H&L (Alexa Fluor® 488) preadsorbed (ab150081) used at a 1/1000 dilution for 1hour at room temperature. Alexa Fluor® 594 WGA was used to label plasma membranes (pseudo-colored red) at a 1/200 dilution for 1hour at room temperature. DAPI was used to stain the cell nuclei (pseudo-colored blue) at a concentration of 1.43μM for 1hour at room temperature.

Flow Cytometry (Intracellular) - Anti-Tuberin antibody [EP1107Y] (AB52936)
  • Flow Cyt (Intra)

Lab

Flow Cytometry (Intracellular) - Anti-Tuberin antibody [EP1107Y] (AB52936)

Overlay histogram showing SH-SY5Y (Human neuroblastoma epithelial cell) cells stained with ab52936 (red line). The cells were fixed with 4% Paraformaldehydeand then permeabilized with 90% Methanol. The secondary antibody used was Alexa Fluorr® 488 goat anti-rabbit IgG (H&L) ab150077 at 1/2000 dilution. Isotype control antibody (black line) was rabbit IgG (monoclonal). Unlabelled sample (blue line) was Cell without incubation with primary antibody and secondary antibody.

Flow Cytometry (Intracellular) - Anti-Tuberin antibody [EP1107Y] (AB52936)
  • Flow Cyt (Intra)

Unknown

Flow Cytometry (Intracellular) - Anti-Tuberin antibody [EP1107Y] (AB52936)

Overlay histogram showing HeLa cells stained with ab52936 (red line). The cells were fixed with 80% methanol (5 min)/ and then permeabilized with 0.1% PBS-Tween for 20 min. The cells were then incubated in 1x PBS / 10% normal goat serum / 0.3M glycine to block non-specific protein-protein interactions followed by the antibody (ab52936 1/10000 dilution) for 30 min at 22°C. The secondary antibody used was Alexa Fluor® 488 goat anti-rabbit IgG (H&L) (ab150077) at 1/2000 dilution for 30 min at 22°C. Isotype control antibody (black line) was rabbit IgG (monoclonal) (0.1μg/1x106 cells) used under the same conditions. Unlabelled sample (blue line) was also used as a control. Acquisition of >5000 events were collected using a 20mW Argon ion laser (488nm) and 525/30 bandpass filter. This antibody gave a positive signal in HeLa cells fixed with 4% formaldehyde (10 min)/permeabilized with 0.1% PBS-Tween for 20 min used under the same conditions.

Western blot - Anti-Tuberin antibody [EP1107Y] (AB52936)
  • WB

Unknown

Western blot - Anti-Tuberin antibody [EP1107Y] (AB52936)

The cell lysates was prepared in 1%SDS Hot lysis method.

All lanes:

Western blot - Anti-Tuberin antibody [EP1107Y] (ab52936) at 1/100000 dilution

All lanes:

SH-SY5Y cell lysate at 10 µg

Secondary

All lanes:

HRP-labelled goat anti-rabbit at 1/2000 dilution

Predicted band size: 201 kDa

Observed band size: ~200 kDa

false

Western blot - Anti-Tuberin antibody [EP1107Y] (AB52936)
  • WB

Lab

Western blot - Anti-Tuberin antibody [EP1107Y] (AB52936)

Blocking/Diluting Buffer and concentration :
5% NFDM/TBST

All lanes:

Western blot - Anti-Tuberin antibody [EP1107Y] (ab52936) at 1/20000 dilution

All lanes:

HeLa (Human cervix adenocarcinoma epithelial cell) whole cell lysate prepared in 1%SDS Hot lysis method at 15 µg

Secondary

All lanes:

Western blot - Goat Anti-Rabbit IgG H&L (HRP) (<a href='/en-us/products/secondary-antibodies/goat-rabbit-igg-h-l-hrp-ab97051'>ab97051</a>) at 1/20000 dilution

Predicted band size: 201 kDa

Observed band size: 200 kDa

false

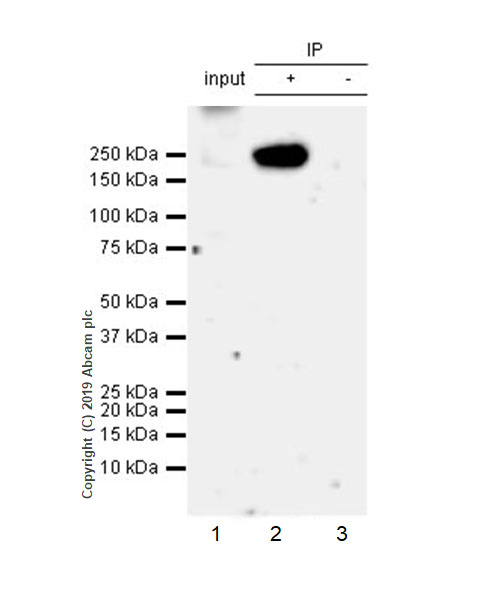
Immunoprecipitation - Anti-Tuberin antibody [EP1107Y] (AB52936)
  • IP

Lab

Immunoprecipitation - Anti-Tuberin antibody [EP1107Y] (AB52936)

Tuberin was immunoprecipitated from 0.35 mg HeLa (Human cervix adenocarcinoma epithelial cell) whole cell lysate 10 μg with ab52936 at 1/50 dilution (2μg). VeriBlot for IP Detection Reagent (HRP)(ab131366) was used at 1/5000 dilution.

Lane 1 : HeLa (Human cervix adenocarcinoma epithelial cell) whole cell lysate 10 μg

Lane 2 : ab52936 IP in HeLa whole cell lysate

Lane 3 : Rabbit monoclonal IgG (ab172730) instead of ab52936 in HeLa whole cell lysate

Blocking and dilution buffer and concentration : 5% NFDM/TBST.

All lanes:

Immunoprecipitation - Anti-Tuberin antibody [EP1107Y] (ab52936)

Predicted band size: 201 kDa

Observed band size: 200 kDa

false

Western blot - Anti-Tuberin antibody [EP1107Y] (AB52936)
  • WB

Supplier Data

Western blot - Anti-Tuberin antibody [EP1107Y] (AB52936)

Lane 1 : Wild-type HAP1 whole cell lysate (20 μg)
Lane 2 : Tuberin knockout HAP1 whole cell lysate (20 μg)
Lane 3 : HeLa whole cell lysate (20 μg)

Lanes 1 - 4 : Merged signal (red and green). Green - ab52936 observed at 180 kDa. Red - loading control, ab18058, observed at 130 kDa.

ab52936 was shown to specifically react with tuberin in wild-type HAP1 cells. No band was observed when tuberin knockout samples were used. Wild-type and tuberin knockout samples were subjected to SDS-PAGE. ab52936 and ab18058 (Mouse anti Vinculin loading control) were incubated overnight at 4°C at 1/1000 dilution and 1/10000 dilution respectively. Blots were developed with Goat anti-Rabbit IgG H&L (IRDye® 800CW) preabsorbed ab216773 and Goat anti-Mouse IgG H&L (IRDye® 680RD) preabsorbed ab216776 secondary antibodies at 1/10000 dilution for 1 hour at room temperature before imaging.

All lanes:

Western blot - Anti-Tuberin antibody [EP1107Y] (ab52936)

Predicted band size: 201 kDa

false

Western blot - Anti-Tuberin antibody [EP1107Y] (AB52936)
  • WB

Lab

Western blot - Anti-Tuberin antibody [EP1107Y] (AB52936)

Anti-TSC2 antibody [EP1107Y] (ab52936) staining at 1/20000 dilution, shown in green; Mouse anti-CANX [CANX/1543] (ab238078) loading control staining at 1/20000 dilution, shown in red. In Western blot, ab52936 detected a band observed at 200 kDa in wild-type MCF7 cell lysates with no change observed in the TSC2 knockout cell line ab286525. To generate this image, wild-type and TSC2 knockout MCF7 cell lysates were analysed. First, samples were run on an SDS-PAGE gel then transferred onto a nitrocellulose membrane. Membranes were blocked in 3 % milk in TBS-0.1 % Tween® 20 (TBS-T) before incubation with primary antibodies overnight at 4 °C. Blots were washed four times in TBS-T, incubated with secondary antibodies for 1 h at room temperature, washed again four times then imaged. Secondary antibodies used were Goat anti-Rabbit IgG H&L 800CW and Goat anti-Mouse IgG H&L 680RD at 1/20000 dilution.

All lanes:

Western blot - Anti-Tuberin antibody [EP1107Y] (ab52936) at 1/20000 dilution

Lane 1:

Wild-type MCF7 cell lysate at 20 µg

Lane 2:

Western blot - Human TSC2 knockout MCF7 cell line (<a href='/en-us/products/cell-lines/human-tsc2-knockout-mcf7-cell-line-ab286525'>ab286525</a>)

Lane 2:

TSC2 knockout MCF7 cell lysate at 20 µg

Lane 3:

Wild-type HAP1 cell lysate at 20 µg

Lane 4:

TSC2 knockout HAP1 cell lysate at 20 µg

Secondary

All lanes:

Goat anti-Rabbit IgG H&L 800CW and Goat anti-Mouse IgG H&L 680RD at 1/20000 dilution

Predicted band size: 201 kDa

Observed band size: 200 kDa

false

Western blot - Anti-Tuberin antibody [EP1107Y] (AB52936)
  • WB

Lab

Western blot - Anti-Tuberin antibody [EP1107Y] (AB52936)

Western blot : Anti-TSC2 antibody [EP1107Y] (ab52936) staining at 1/50000 dilution, shown in green; Mouse anti-CANX [CANX/1543] (ab238078) loading control staining at 1/20000 dilution, shown in magenta. In Western blot, ab52936 was shown to bind specifically to TSC2. A band was observed at 200 kDa in wild-type A549 cell lysates with no signal observed at this size in TSC2 knockout cell line. To generate this image, wild-type and TSC2 knockout A549 cell lysates were analysed. First, samples were run on an SDS-PAGE gel then transferred onto a nitrocellulose membrane. Membranes were blocked in 3 % milk in TBS-0.1 % Tween® 20 (TBS-T) before incubation with primary antibodies overnight at 4 °C. Blots were washed four times in TBS-T, incubated with secondary antibodies for 1 h at room temperature, washed again four times then imaged. Secondary antibodies used were Goat anti-Rabbit IgG H&L 800CW and Goat anti-Mouse IgG H&L 680RD at 1/20000 dilution.

All lanes:

Western blot - Anti-Tuberin antibody [EP1107Y] (ab52936) at 1/50000 dilution

Lane 1:

Wild-type A549 cell lysate at 20 µg

Lane 2:

TSC2 knockout A549 cell lysate at 20 µg

Lane 3:

Wild-type HAP1 cell lysate at 20 µg

Lane 4:

TSC2 knockout HAP1 cell lysate at 20 µg

Secondary

All lanes:

Goat anti-Rabbit IgG H&L 800CW and Goat anti-Mouse IgG H&L 680RD at 1/20000 dilution

false

Key facts

Host species

Rabbit

Clonality

Monoclonal

Clone number

EP1107Y

Isotype

IgG

Carrier free

No

Reacts with

Human

Applications

IHC-P, Flow Cyt (Intra), IP, ICC/IF, WB

applications

Immunogen

The exact immunogen used to generate this antibody is proprietary information.

Reactivity data

{ "title": "Reactivity Data", "filters": { "stats": ["", "Species", "Dilution Info", "Notes"], "tabs": { "all-applications": {"fullname" : "All Applications", "shortname": "All Applications"}, "IHCP" : {"fullname" : "Immunohistochemistry (Formalin/PFA-fixed paraffin-embedded sections)", "shortname":"IHC-P"}, "IP" : {"fullname" : "Immunoprecipitation", "shortname":"IP"}, "WB" : {"fullname" : "Western blot", "shortname":"WB"}, "ICCIF" : {"fullname" : "Immunocytochemistry/ Immunofluorescence", "shortname":"ICC/IF"}, "FlowCytIntra" : {"fullname" : "Flow Cytometry (Intracellular)", "shortname":"Flow Cyt (Intra)"} }, "product-promise": { "all": "all", "testedAndGuaranteed": "tested", "guaranteed": "expected", "predicted": "predicted", "notRecommended": "not-recommended" } }, "values": { "Human": { "IHCP-species-checked": "testedAndGuaranteed", "IHCP-species-dilution-info": "", "IHCP-species-notes": "<p></p> Perform heat-mediated antigen retrieval with citrate buffer pH 6 before commencing with IHC staining protocol.", "IP-species-checked": "testedAndGuaranteed", "IP-species-dilution-info": "1/70", "IP-species-notes": "<p></p>", "WB-species-checked": "testedAndGuaranteed", "WB-species-dilution-info": "1/20000 - 1/100000", "WB-species-notes": "<p></p>", "ICCIF-species-checked": "testedAndGuaranteed", "ICCIF-species-dilution-info": "1/100", "ICCIF-species-notes": "<p></p>", "FlowCytIntra-species-checked": "testedAndGuaranteed", "FlowCytIntra-species-dilution-info": "1/40", "FlowCytIntra-species-notes": "<p><a href='/en-us/products/primary-antibodies/rabbit-igg-monoclonal-epr25a-isotype-control-ab172730'>ab172730</a> - Rabbit monoclonal IgG, is suitable for use as an isotype control with this antibody.</p>" } } }

Product details

Patented technology
Our RabMAb® technology is a patented hybridoma-based technology for making rabbit monoclonal antibodies. For details on our patents, please refer to RabMAb® patents.

What are the advantages of a recombinant monoclonal antibody?
This product is a recombinant monoclonal antibody, which offers several advantages including:

  • - High batch-to-batch consistency and reproducibility
  • - Improved sensitivity and specificity
  • - Long-term security of supply
  • - Animal-free batch production

For more information, read more on recombinant antibodies.

Species reactivity
Rat: We have preliminary internal testing data to indicate this antibody may not react with this species.
Please contact us for more information.

Properties and storage information

Form
Liquid
Purification technique
Affinity purification Protein A
Storage buffer
pH: 7.2 - 7.4 Preservative: 0.01% Sodium azide Constituents: PBS, 50% Tissue culture supernatant, 40% Glycerol (glycerin, glycerine), 0.05% BSA
Shipped at conditions
Blue Ice
Appropriate short-term storage conditions
+4°C
Appropriate long-term storage conditions
-20°C
Storage information
Stable for 12 months at -20°C

Supplementary information

This supplementary information is collated from multiple sources and compiled automatically.

Tuberin also known as TSC2 is a tumor suppressor protein with a role in cell growth regulation. It has a molecular mass of approximately 200 kDa. This protein forms a critical component of the TSC1-TSC2 complex and is expressed widely in various tissues including the brain kidney heart and skin. Tuberin possesses GTPase-activating protein (GAP) activity targeting specifically the small GTPase protein Rheb which leads to inhibition of the mammalian target of rapamycin complex 1 (mTORC1).
Biological function summary

Tuberin helps control cell size and proliferation. It does this by modulating the mTOR signaling pathway. This modulation is essential for maintaining cellular homeostasis and energy balance particularly under conditions of nutrient scarcity. Tuberin as part of the TSC1-TSC2 complex also influences cell cycle progression and protein synthesis. Its functions are vital in preventing abnormal cell growth and division which is particularly important in organs where rapid cell turnover occurs.

Pathways

Tuberin plays a central role in the mTOR signaling pathway which affects cell growth autophagy and metabolism. It directly interacts with hamartin (TSC1) to form the TSC1-TSC2 complex which regulates Rheb activity. By inhibiting Rheb Tuberin helps control the mTORC1 pathway linking it to signals such as growth factors stress energy status and amino acid availability. This coordination is important for the proper balance between cell growth and catabolism.

Tuberin is mainly associated with Tuberous Sclerosis Complex (TSC) and certain forms of epilepsy. Mutations or loss of function in TSC2 can lead to benign tumor formations in multiple organs including the brain kidneys and skin. It is also implicated in the development of lymphangioleiomyomatosis (LAM) a rare lung disease. Tuberin's interaction with mTORC1 highlights its connection with these conditions as hyperactivation of the mTOR pathway contributes significantly to the pathogenesis.

Product protocols

For this product, it's our understanding that no specific protocols are required. You can visit:

Target data

Catalytic component of the TSC-TBC complex, a multiprotein complex that acts as a negative regulator of the canonical mTORC1 complex, an evolutionarily conserved central nutrient sensor that stimulates anabolic reactions and macromolecule biosynthesis to promote cellular biomass generation and growth (PubMed : 12172553, PubMed : 12271141, PubMed : 12842888, PubMed : 12906785, PubMed : 15340059, PubMed : 22819219, PubMed : 24529379, PubMed : 28215400, PubMed : 33436626, PubMed : 35772404). Within the TSC-TBC complex, TSC2 acts as a GTPase-activating protein (GAP) for the small GTPase RHEB, a direct activator of the protein kinase activity of mTORC1 (PubMed : 12172553, PubMed : 12820960, PubMed : 12842888, PubMed : 12906785, PubMed : 15340059, PubMed : 22819219, PubMed : 24529379, PubMed : 33436626). In absence of nutrients, the TSC-TBC complex inhibits mTORC1, thereby preventing phosphorylation of ribosomal protein S6 kinase (RPS6KB1 and RPS6KB2) and EIF4EBP1 (4E-BP1) by the mTORC1 signaling (PubMed : 12172553, PubMed : 12271141, PubMed : 12842888, PubMed : 12906785, PubMed : 22819219, PubMed : 24529379, PubMed : 28215400, PubMed : 35772404). The TSC-TBC complex is inactivated in response to nutrients, relieving inhibition of mTORC1 (PubMed : 12172553, PubMed : 24529379). Involved in microtubule-mediated protein transport via its ability to regulate mTORC1 signaling (By similarity). Also stimulates the intrinsic GTPase activity of the Ras-related proteins RAP1A and RAB5 (By similarity).
See full target information TSC2

Publications (5)

Recent publications for all applications. Explore the full list and refine your search

The Journal of biological chemistry 299:105455 PubMed37949232

2023

CBAP regulates the function of Akt-associated TSC protein complexes to modulate mTORC1 signaling.

Applications

Unspecified application

Species

Unspecified reactive species

Wei-Ting Liao,Yun-Jung Chiang,Hsin-Fang Yang-Yen,Li-Chung Hsu,Zee-Fen Chang,Jeffrey J Y Yen

Cell 184:655-674.e27 PubMed33497611

2021

G3BPs tether the TSC complex to lysosomes and suppress mTORC1 signaling.

Applications

Unspecified application

Species

Unspecified reactive species

Mirja Tamara Prentzell,Ulrike Rehbein,Marti Cadena Sandoval,Ann-Sofie De Meulemeester,Ralf Baumeister,Laura Brohée,Bianca Berdel,Mathias Bockwoldt,Bernadette Carroll,Suvagata Roy Chowdhury,Andreas von Deimling,Constantinos Demetriades,Gianluca Figlia,Mariana Eca Guimaraes de Araujo,Alexander M Heberle,Ines Heiland,Birgit Holzwarth,Lukas A Huber,Jacek Jaworski,Magdalena Kedra,Katharina Kern,Andrii Kopach,Viktor I Korolchuk,Ineke van 't Land-Kuper,Matylda Macias,Mark Nellist,Wilhelm Palm,Stefan Pusch,Jose Miguel Ramos Pittol,Michèle Reil,Anja Reintjes,Friederike Reuter,Julian R Sampson,Chloë Scheldeman,Aleksandra Siekierska,Eduard Stefan,Aurelio A Teleman,Laura E Thomas,Omar Torres-Quesada,Saskia Trump,Hannah D West,Peter de Witte,Sandra Woltering,Teodor E Yordanov,Justyna Zmorzynska,Christiane A Opitz,Kathrin Thedieck

Cancer research 76:844-54 PubMed26837766

2016

Mesenchymal Tumorigenesis Driven by TSC2 Haploinsufficiency Requires HMGA2 and Is Independent of mTOR Pathway Activation.

Applications

Unspecified application

Species

Unspecified reactive species

Jeanine D'Armiento,Takayuki Shiomi,Sarah Marks,Patrick Geraghty,Devipriya Sankarasharma,Kiran Chada

Journal of virology 89:7625-35 PubMed25972538

2015

Tuberous Sclerosis Complex Protein 2-Independent Activation of mTORC1 by Human Cytomegalovirus pUL38.

Applications

Unspecified application

Species

Human

Yadan Bai,Baoqin Xuan,Haiyan Liu,Jin Zhong,Dong Yu,Zhikang Qian

Molecular endocrinology (Baltimore, Md.) 27:1403-14 PubMed23820898

2013

Uterine-specific loss of Tsc2 leads to myometrial tumors in both the uterus and lungs.

Applications

WB

Species

Mouse

Hen Prizant,Aritro Sen,Allison Light,Sung-Nam Cho,Francesco J DeMayo,John P Lydon,Stephen R Hammes
View all publications

Product promise

We are committed to supporting your work with high-quality reagents, and we're here for you every step of the way. In the unlikely event that one of our products does not perform as expected, you're protected by our Product Promise.
For full details, please see our Terms & Conditions

Please note: All products are 'FOR RESEARCH USE ONLY. NOT FOR USE IN DIAGNOSTIC OR THERAPEUTIC PROCEDURES'.

For licensing inquiries, please contact partnerships@abcam.com