JavaScript is disabled in your browser. Please enable JavaScript to view this website.
AB255612

Anti-Tuberin antibody [EPR22886-235]

Be the first to review this product! Submit a review

|

(0 Publication)

Rabbit Recombinant Monoclonal Tuberin antibody. Suitable for IP, WB and reacts with Human, Mouse samples.

View Alternative Names

TSC4, TSC2, Tuberin, Tuberous sclerosis 2 protein

5 Images
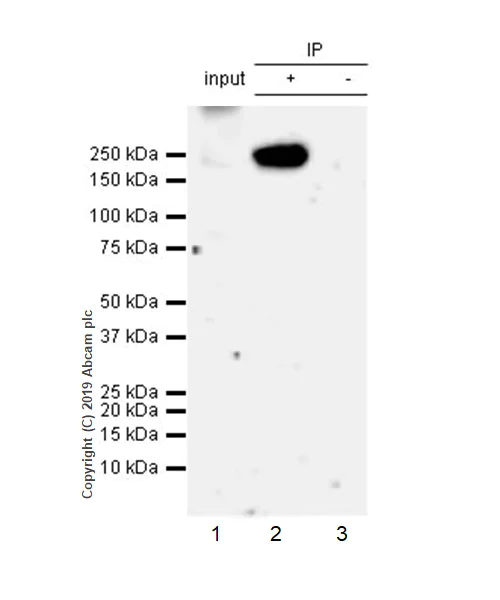
Immunoprecipitation - Anti-Tuberin antibody [EPR22886-235] (AB255612)
  • IP

Unknown

Immunoprecipitation - Anti-Tuberin antibody [EPR22886-235] (AB255612)

Tuberin was immunoprecipitated from 0.35 mg HeLa (human cervix adenocarcinoma epithelial cell) whole cell lysate 10μg with ab255612 at 1/30 dilution (2μg in 0.35mg lysates). Western blot was performed on the immunoprecipitate using ab255612. VeriBlot for IP Detection Reagent (HRP) (ab131366) was used at 1/5000 dilution.

Lane 1 : HeLa (human cervix adenocarcinoma epithelial cell) whole cell lysate 10μg

Lane 2 : ab255612 IP in HeLa whole cell lysate

Lane 3 : Rabbit monoclonal IgG (ab172730) instead of ab255612 in HeLa whole cell lysate.

Blocking and dilution buffer and concentration : 5% NFDM/TBST.

Exposure time : 3 minutes.

All lanes:

Immunoprecipitation - Anti-Tuberin antibody [EPR22886-235] (ab255612)

Predicted band size: 201 kDa

Observed band size: 200 kDa

false

Western blot - Anti-Tuberin antibody [EPR22886-235] (AB255612)
  • WB

Lab

Western blot - Anti-Tuberin antibody [EPR22886-235] (AB255612)

Western blot : Anti-TSC2 antibody [EPR22886-235] (ab255612) staining at 1/1000 dilution, shown in green; Mouse anti-CANX [CANX/1543] (ab238078) loading control staining at 1/20000 dilution, shown in magenta. In Western blot, ab255612 was shown to bind specifically to TSC2. A band was observed at 200 kDa in wild-type A549 cell lysates with no signal observed at this size in TSC2 knockout cell line. To generate this image, wild-type and TSC2 knockout A549 cell lysates were analysed. First, samples were run on an SDS-PAGE gel then transferred onto a nitrocellulose membrane. Membranes were blocked in 3 % milk in TBS-0.1 % Tween® 20 (TBS-T) before incubation with primary antibodies overnight at 4 °C. Blots were washed four times in TBS-T, incubated with secondary antibodies for 1 h at room temperature, washed again four times then imaged. Secondary antibodies used were Goat anti-Rabbit IgG H&L 800CW and Goat anti-Mouse IgG H&L 680RD at 1/20000 dilution.

All lanes:

Western blot - Anti-Tuberin antibody [EPR22886-235] (ab255612) at 1/1000 dilution

Lane 1:

Wild-type A549 cell lysate at 20 µg

Lane 2:

TSC2 knockout A549 cell lysate at 20 µg

Lane 3:

Wild-type HAP1 cell lysate at 20 µg

Lane 4:

TSC2 knockout HAP1 cell lysate at 20 µg

Secondary

All lanes:

Goat anti-Rabbit IgG H&L 800CW and Goat anti-Mouse IgG H&L 680RD at 1/20000 dilution

false

Western blot - Anti-Tuberin antibody [EPR22886-235] (AB255612)
  • WB

Lab

Western blot - Anti-Tuberin antibody [EPR22886-235] (AB255612)

The molecular weight observed is consistent with what has been described in the literature (PMID : 30774414; 10335945).

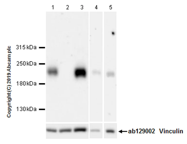
ab255612 was shown to specifically react with Tuberin in wild-type HAP1 cells as signal was lost in Tuberin knockout cells. Wild-type and Tuberin knockout samples were subjected to SDS-PAGE. ab255612 and ab129002 (Recombinant Anti-Vinculin antibody [EPR8185]) were incubated 1 hour at room temperature at 1/1000 dilution and 1/200,000 dilution respectively. Blots were developed with Goat Anti-Rabbit IgG, (H+L), Peroxidase conjugated (ab97051) secondary antibody at 1/20,000 dilution for 1 hour at room temperature before imaging. The blot was developed on a BIO-RAD® ChemiDoc MP instrument using the ECL technique.

Blocking and dilution buffer : 5% NFDM/TBST.

Exposire times.

Lanes 1-3 : 81 seconds; Lane 4 : 3 minutes.

All lanes:

Western blot - Anti-Tuberin antibody [EPR22886-235] (ab255612) at 1/1000 dilution

Lane 1:

Wild-type HAP1 whole cell lysate at 20 µg

Lane 2:

Tuberin knockout HAP1 whole cell lysate at 20 µg

Lane 3:

HeLa (human cervix adenocarcinoma epithelial cell), whole cell lysate at 20 µg

Lane 4:

HepG2 (human hepatocellular carcinoma epithelial cell), whole cell lysate at 20 µg

Lane 5:

A549 (human lung carcinoma epithelial cell), whole cell lysate at 20 µg

Secondary

All lanes:

Western blot - Goat Anti-Rabbit IgG H&L (HRP) (<a href='/en-us/products/secondary-antibodies/goat-rabbit-igg-h-l-hrp-ab97051'>ab97051</a>) at 1/20000 dilution

Predicted band size: 201 kDa

Observed band size: 200 kDa

false

Western blot - Anti-Tuberin antibody [EPR22886-235] (AB255612)
  • WB

Lab

Western blot - Anti-Tuberin antibody [EPR22886-235] (AB255612)

Blocking and dilution buffer : 5% NFDM/TBST.

The molecular weight observed is consistent with what has been described in the literature (PMID : 30774414; 10335945).

This blot was developed using a higher sensitivity ECL substrate.

All lanes:

Western blot - Anti-Tuberin antibody [EPR22886-235] (ab255612) at 1/1000 dilution

Lane 1:

Human testis tissue lysate at 20 µg

Lane 2:

C2C12 (mouse myoblasts myoblast), whole cell lysate at 20 µg

Secondary

Lane 1:

Western blot - VeriBlot for IP Detection Reagent (HRP) (<a href='/en-us/products/reagents/veriblot-for-ip-detection-reagent-hrp-ab131366'>ab131366</a>) at 1/1000 dilution

Lane 2:

Western blot - Goat Anti-Rabbit IgG H&L (HRP) (<a href='/en-us/products/secondary-antibodies/goat-rabbit-igg-h-l-hrp-ab97051'>ab97051</a>) at 1/20000 dilution

Predicted band size: 201 kDa

Observed band size: 200 kDa

false

Exposure time: 3min

Western blot - Anti-Tuberin antibody [EPR22886-235] (AB255612)
  • WB

Lab

Western blot - Anti-Tuberin antibody [EPR22886-235] (AB255612)

Blocking and dilution buffer : 5% NFDM/TBST.

The molecular weight observed is consistent with what has been described in the literature (PMID : 30774414; 10335945).

All lanes:

Western blot - Anti-Tuberin antibody [EPR22886-235] (ab255612) at 1/1000 dilution

Lane 1:

Mouse brain tissue lysate at 20 µg

Lane 2:

RAW264.7 (mouse Abelson murine leukemia virus-induced tumor macrophage), whole cell lysate at 20 µg

Secondary

All lanes:

Western blot - Goat Anti-Rabbit IgG H&L (HRP) (<a href='/en-us/products/secondary-antibodies/goat-rabbit-igg-h-l-hrp-ab97051'>ab97051</a>) at 1/20000 dilution

Predicted band size: 201 kDa

Observed band size: 200 kDa

false

Exposure time: 3min

  • Carrier free

    Anti-Tuberin antibody [EPR22886-235] - BSA and Azide free

Key facts

Host species

Rabbit

Clonality

Monoclonal

Clone number

EPR22886-235

Isotype

IgG

Carrier free

No

Reacts with

Mouse, Human

Applications

IP, WB

applications

Immunogen

The exact immunogen used to generate this antibody is proprietary information.

Reactivity data

{ "title": "Reactivity Data", "filters": { "stats": ["", "Species", "Dilution Info", "Notes"], "tabs": { "all-applications": {"fullname" : "All Applications", "shortname": "All Applications"}, "IP" : {"fullname" : "Immunoprecipitation", "shortname":"IP"}, "FlowCyt" : {"fullname" : "Flow Cytometry", "shortname":"Flow Cyt"}, "WB" : {"fullname" : "Western blot", "shortname":"WB"}, "IHCP" : {"fullname" : "Immunohistochemistry (Formalin/PFA-fixed paraffin-embedded sections)", "shortname":"IHC-P"}, "ICCIF" : {"fullname" : "Immunocytochemistry/ Immunofluorescence", "shortname":"ICC/IF"} }, "product-promise": { "all": "all", "testedAndGuaranteed": "tested", "guaranteed": "expected", "predicted": "predicted", "notRecommended": "not-recommended" } }, "values": { "Human": { "IP-species-checked": "testedAndGuaranteed", "IP-species-dilution-info": "1/30", "IP-species-notes": "<p></p>", "FlowCyt-species-checked": "notRecommended", "FlowCyt-species-dilution-info": "", "FlowCyt-species-notes": "<p></p>", "WB-species-checked": "testedAndGuaranteed", "WB-species-dilution-info": "1/1000", "WB-species-notes": "<p></p>", "IHCP-species-checked": "notRecommended", "IHCP-species-dilution-info": "", "IHCP-species-notes": "<p></p>", "ICCIF-species-checked": "notRecommended", "ICCIF-species-dilution-info": "", "ICCIF-species-notes": "<p></p>" }, "Mouse": { "IP-species-checked": "guaranteed", "IP-species-dilution-info": "", "IP-species-notes": "", "FlowCyt-species-checked": "notRecommended", "FlowCyt-species-dilution-info": "", "FlowCyt-species-notes": "", "WB-species-checked": "testedAndGuaranteed", "WB-species-dilution-info": "1/1000", "WB-species-notes": "<p></p>", "IHCP-species-checked": "notRecommended", "IHCP-species-dilution-info": "", "IHCP-species-notes": "<p></p>", "ICCIF-species-checked": "notRecommended", "ICCIF-species-dilution-info": "", "ICCIF-species-notes": "" } } }

Product details

Patented technology
Our RabMAb® technology is a patented hybridoma-based technology for making rabbit monoclonal antibodies. For details on our patents, please refer to RabMAb® patents.

What are the advantages of a recombinant monoclonal antibody?
This product is a recombinant monoclonal antibody, which offers several advantages including:

  • - High batch-to-batch consistency and reproducibility
  • - Improved sensitivity and specificity
  • - Long-term security of supply
  • - Animal-free batch production

For more information, read more on recombinant antibodies.

Properties and storage information

Form
Liquid
Purification technique
Affinity purification Protein A
Storage buffer
pH: 7.2 - 7.4 Preservative: 0.01% Sodium azide Constituents: PBS, 40% Glycerol (glycerin, glycerine), 0.05% BSA
Shipped at conditions
Blue Ice
Appropriate short-term storage duration
1-2 weeks
Appropriate short-term storage conditions
+4°C
Appropriate long-term storage conditions
-20°C
Aliquoting information
Upon delivery aliquot
Storage information
Avoid freeze / thaw cycle

Supplementary information

This supplementary information is collated from multiple sources and compiled automatically.

Tuberin also known as TSC2 is a tumor suppressor protein with a role in cell growth regulation. It has a molecular mass of approximately 200 kDa. This protein forms a critical component of the TSC1-TSC2 complex and is expressed widely in various tissues including the brain kidney heart and skin. Tuberin possesses GTPase-activating protein (GAP) activity targeting specifically the small GTPase protein Rheb which leads to inhibition of the mammalian target of rapamycin complex 1 (mTORC1).
Biological function summary

Tuberin helps control cell size and proliferation. It does this by modulating the mTOR signaling pathway. This modulation is essential for maintaining cellular homeostasis and energy balance particularly under conditions of nutrient scarcity. Tuberin as part of the TSC1-TSC2 complex also influences cell cycle progression and protein synthesis. Its functions are vital in preventing abnormal cell growth and division which is particularly important in organs where rapid cell turnover occurs.

Pathways

Tuberin plays a central role in the mTOR signaling pathway which affects cell growth autophagy and metabolism. It directly interacts with hamartin (TSC1) to form the TSC1-TSC2 complex which regulates Rheb activity. By inhibiting Rheb Tuberin helps control the mTORC1 pathway linking it to signals such as growth factors stress energy status and amino acid availability. This coordination is important for the proper balance between cell growth and catabolism.

Tuberin is mainly associated with Tuberous Sclerosis Complex (TSC) and certain forms of epilepsy. Mutations or loss of function in TSC2 can lead to benign tumor formations in multiple organs including the brain kidneys and skin. It is also implicated in the development of lymphangioleiomyomatosis (LAM) a rare lung disease. Tuberin's interaction with mTORC1 highlights its connection with these conditions as hyperactivation of the mTOR pathway contributes significantly to the pathogenesis.

Product protocols

For this product, it's our understanding that no specific protocols are required. You can visit:

Target data

Catalytic component of the TSC-TBC complex, a multiprotein complex that acts as a negative regulator of the canonical mTORC1 complex, an evolutionarily conserved central nutrient sensor that stimulates anabolic reactions and macromolecule biosynthesis to promote cellular biomass generation and growth (PubMed : 12172553, PubMed : 12271141, PubMed : 12842888, PubMed : 12906785, PubMed : 15340059, PubMed : 22819219, PubMed : 24529379, PubMed : 28215400, PubMed : 33436626, PubMed : 35772404). Within the TSC-TBC complex, TSC2 acts as a GTPase-activating protein (GAP) for the small GTPase RHEB, a direct activator of the protein kinase activity of mTORC1 (PubMed : 12172553, PubMed : 12820960, PubMed : 12842888, PubMed : 12906785, PubMed : 15340059, PubMed : 22819219, PubMed : 24529379, PubMed : 33436626). In absence of nutrients, the TSC-TBC complex inhibits mTORC1, thereby preventing phosphorylation of ribosomal protein S6 kinase (RPS6KB1 and RPS6KB2) and EIF4EBP1 (4E-BP1) by the mTORC1 signaling (PubMed : 12172553, PubMed : 12271141, PubMed : 12842888, PubMed : 12906785, PubMed : 22819219, PubMed : 24529379, PubMed : 28215400, PubMed : 35772404). The TSC-TBC complex is inactivated in response to nutrients, relieving inhibition of mTORC1 (PubMed : 12172553, PubMed : 24529379). Involved in microtubule-mediated protein transport via its ability to regulate mTORC1 signaling (By similarity). Also stimulates the intrinsic GTPase activity of the Ras-related proteins RAP1A and RAB5 (By similarity).
See full target information TSC2

Product promise

We are committed to supporting your work with high-quality reagents, and we're here for you every step of the way. In the unlikely event that one of our products does not perform as expected, you're protected by our Product Promise.
For full details, please see our Terms & Conditions

Please note: All products are 'FOR RESEARCH USE ONLY. NOT FOR USE IN DIAGNOSTIC OR THERAPEUTIC PROCEDURES'.

For licensing inquiries, please contact partnerships@abcam.com