JavaScript is disabled in your browser. Please enable JavaScript to view this website.
AB140225

Anti-TUBGCP2 antibody [GCP2-01]

Be the first to review this product! Submit a review

|

(1 Publication)

Mouse Monoclonal TUBGCP2 antibody. Suitable for Flow Cyt, WB and reacts with Human samples. Cited in 1 publication. Immunogen corresponding to Recombinant Fragment Protein within Mouse Tubgcp2 aa 1-200.

View Alternative Names

Gcp2, Gamma-tubulin complex component 2, GCP-2

2 Images
Flow Cytometry - Anti-TUBGCP2 antibody [GCP2-01] (AB140225)
  • Flow Cyt

Unknown

Flow Cytometry - Anti-TUBGCP2 antibody [GCP2-01] (AB140225)

Overlay histogram showing HeLa cells stained with ab140225 (red line). The cells were fixed with 80% methanol (5 min) and then permeabilized with 0.1% PBS-Tween for 20 min. The cells were then incubated in 1x PBS / 10% normal goat serum / 0.3M glycine to block non-specific protein-protein interactions followed by the antibody (ab140225, 0.1μg/1x106 cells) for 30 min at 22°C. The secondary antibody used was Alexa Fluor® 488 goat anti-mouse IgG (H&L) (ab150113) at 1/2000 dilution for 30 min at 22°C. Isotype control antibody (black line) was mouse IgG2b [PLPV219] (ab91366, 1μg/1x106 cells) used under the same conditions. Unlabelled sample (blue line) was also used as a control. Acquisition of >5,000 events were collected using a 20mW Argon ion laser (488nm) and 525/30 bandpass filter.

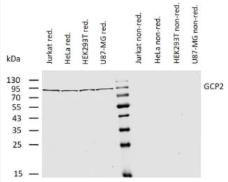
Western blot - Anti-TUBGCP2 antibody [GCP2-01] (AB140225)
  • WB

Supplier Data

Western blot - Anti-TUBGCP2 antibody [GCP2-01] (AB140225)

Western blotting analysis of TUBGCP2 using ab140225 on lysates of various cell lines under reducing and non-reducing conditions. Nitrocellulose membrane was probed with 2 μg/ml of ab140225 followed by IRDye800-conjugated anti-mouse secondary antibody. A specific band was detected for GCP2 at approximately 95 kDa.

All lanes:

Western blot - Anti-TUBGCP2 antibody [GCP2-01] (ab140225)

Predicted band size: 103 kDa

Observed band size: 95 kDa

false

Key facts

Host species

Mouse

Clonality

Monoclonal

Clone number

GCP2-01

Isotype

IgG2b

Carrier free

No

Reacts with

Human

Applications

Flow Cyt, WB

applications

Immunogen

Recombinant Fragment Protein within Mouse Tubgcp2 aa 1-200. The exact immunogen used to generate this antibody is proprietary information.

Q921G8

Specificity

ab140225 recognizes TUBGCP2 and phosphorylated TUBGCP2.

Reactivity data

{ "title": "Reactivity Data", "filters": { "stats": ["", "Species", "Dilution Info", "Notes"], "tabs": { "all-applications": {"fullname" : "All Applications", "shortname": "All Applications"}, "FlowCyt" : {"fullname" : "Flow Cytometry", "shortname":"Flow Cyt"}, "WB" : {"fullname" : "Western blot", "shortname":"WB"} }, "product-promise": { "all": "all", "testedAndGuaranteed": "tested", "guaranteed": "expected", "predicted": "predicted", "notRecommended": "not-recommended" } }, "values": { "Human": { "FlowCyt-species-checked": "testedAndGuaranteed", "FlowCyt-species-dilution-info": "0.1 µg for 10^6 Cells", "FlowCyt-species-notes": "<p><a href='/en-us/products/primary-antibodies/mouse-igg2b-kappa-monoclonal-7e10g10-isotype-control-ab170192'>ab170192</a> - Mouse monoclonal IgG2b, is suitable for use as an isotype control with this antibody.</p>", "WB-species-checked": "testedAndGuaranteed", "WB-species-dilution-info": "1-2 µg/mL", "WB-species-notes": "<p>reducing conditions.</p>" } } }

Properties and storage information

Form
Liquid
Purification technique
Affinity purification Protein A
Purification notes
ab140225 is purified from cell culture supernatant by protein A affinity chromatography to a purity of > 95% (by SDS-PAGE).
Storage buffer
pH: 7.4 Preservative: 0.1% Sodium azide Constituents: PBS
Shipped at conditions
Blue Ice
Appropriate short-term storage conditions
+4°C
Appropriate long-term storage conditions
-20°C
Storage information
Avoid freeze / thaw cycle|Store undiluted

Supplementary information

This supplementary information is collated from multiple sources and compiled automatically.

TUBGCP2 also known as Gamma-tubulin complex component 2 plays an important role in the nucleation of microtubules. It has a molecular mass of approximately 95 kDa. The protein is expressed in various tissues throughout the body with significant presence in cells undergoing division. TUBGCP2 belongs to the gamma-tubulin ring complex (γ-TuRC) which is essential for organizing microtubules at the centrosome.
Biological function summary

TUBGCP2 contributes to the formation and stability of the microtubule organizing center (MTOC). TUBGCP2 as part of the γ-TuRC interacts with other components like TUBGCP3 TUBGCP4 and TUBGCP5 creating a scaffold for microtubule attachment. This interaction facilitates the recruitment of tubulin and ensures accurate cell division which is necessary for proper chromosome segregation.

Pathways

TUBGCP2 plays an important role in the cell cycle and mitotic spindle formation. During the cell cycle TUBGCP2 together with proteins such as TUBGCP3 and spindle assembly checkpoint proteins ensures the correct alignment and separation of chromosomes. The protein also interacts with cell signaling pathways that control cell proliferation and division playing a role in maintaining genomic stability.

TUBGCP2 is implicated in cancer and neurodegenerative disorders. Altered expression of TUBGCP2 can lead to improper cell division contributing to the development of various cancers. Moreover its interaction with centrosomal proteins like pericentrin links it to neurological conditions where cell division errors and instability are involved highlighting the importance of TUBGCP2 in both oncogenic processes and neuronal health.

Product protocols

For this product, it's our understanding that no specific protocols are required. You can visit:

Target data

Gamma-tubulin complex is necessary for microtubule nucleation at the centrosome. Plays a role in neuronal migration.
See full target information Tubgcp2

Publications (1)

Recent publications for all applications. Explore the full list and refine your search

Journal of neuropathology and experimental neurology 74:723-42 PubMed26079448

2015

Overexpression and Nucleolar Localization of γ-Tubulin Small Complex Proteins GCP2 and GCP3 in Glioblastoma.

Applications

Unspecified application

Species

Human

Eduarda Dráberová,Luca D'Agostino,Valentina Caracciolo,Vladimíra Sládková,Tetyana Sulimenko,Vadym Sulimenko,Margaryta Sobol,Nicoletta F Maounis,Elias Tzelepis,Eleni Mahera,Leoš Křen,Agustin Legido,Antonio Giordano,Sverre Mörk,Pavel Hozák,Pavel Dráber,Christos D Katsetos
View all publications

Product promise

We are committed to supporting your work with high-quality reagents, and we're here for you every step of the way. In the unlikely event that one of our products does not perform as expected, you're protected by our Product Promise.
For full details, please see our Terms & Conditions

Please note: All products are 'FOR RESEARCH USE ONLY. NOT FOR USE IN DIAGNOSTIC OR THERAPEUTIC PROCEDURES'.

For licensing inquiries, please contact partnerships@abcam.com