JavaScript is disabled in your browser. Please enable JavaScript to view this website.
AB56676

Anti-Tubulin antibody [4D1] - Loading Control

5

(5 Reviews)

|

(42 Publications)

Mouse Monoclonal Alpha-tubulin 1 acetyl K40 antibody. Suitable for Flow Cyt, WB, IHC-P and reacts with Human samples. Cited in 42 publications. Immunogen corresponding to Recombinant Full Length Protein corresponding to Human TUBA1B acetyl K40.

View Alternative Names

Tubulin alpha-1B chain, Alpha-tubulin ubiquitous, Tubulin K-alpha-1, Tubulin alpha-ubiquitous chain, TUBA1B

4 Images
Flow Cytometry - Anti-Tubulin antibody [4D1] - Loading Control (AB56676)
  • Flow Cyt

Unknown

Flow Cytometry - Anti-Tubulin antibody [4D1] - Loading Control (AB56676)

Overlay histogram showing HeLa cells stained with ab56676 (red line). The cells were fixed with 4% paraformaldehyde (10 min) and then permeabilized with 0.1% PBS-Tween for 20 min. The cells were then incubated in 1x PBS / 10% normal goat serum / 0.3M glycine to block non-specific protein-protein interactions followed by the antibody (ab56676, 2μg/1x106 cells) for 30 min at 22°C. The secondary antibody used was DyLight® 488 goat anti-mouse IgG (H+L) (ab96879) at 1/500 dilution for 30 min at 22°C. Isotype control antibody (black line) was mouse IgG2b [PLPV219] (ab91366, 2μg/1x106 cells) used under the same conditions. Acquisition of >5,000 events was performed. This antibody gave a positive signal in HeLa cells fixed with 80% methanol (5 min)/permeabilized with 0.1% PBS-Tween for 20 min used under the same conditions.
This image was generated using the ascites version of the product.

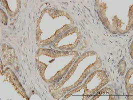
Immunohistochemistry (Formalin/PFA-fixed paraffin-embedded sections) - Anti-Tubulin antibody [4D1] - Loading Control (AB56676)
  • IHC-P

Unknown

Immunohistochemistry (Formalin/PFA-fixed paraffin-embedded sections) - Anti-Tubulin antibody [4D1] - Loading Control (AB56676)

Tubulin antibody (ab56676) used in immunohistochemistry at 3ug/ml on formalin fixed and paraffin embedded human prostate.

This image was generated using the ascites version of the product.

Western blot - Anti-Tubulin antibody [4D1] - Loading Control (AB56676)
  • WB

Unknown

Western blot - Anti-Tubulin antibody [4D1] - Loading Control (AB56676)

Tubulin antibody (ab56676) at 1ug/lane + A-431 cell lysate at 25ug/lane.

This image was generated using the ascites version of the product.

All lanes:

Western blot - Anti-Tubulin antibody [4D1] - Loading Control (ab56676)

Predicted band size: 50 kDa

false

Western blot - Anti-Tubulin antibody [4D1] - Loading Control (AB56676)
  • WB

AbReview20573****

Western blot - Anti-Tubulin antibody [4D1] - Loading Control (AB56676)

Blocking Step : 5% BSA for 2 hours at 23°C

This image was generated using the ascites version of the product.

All lanes:

Western blot - Anti-Tubulin antibody [4D1] - Loading Control (ab56676) at 1 µg/mL

Lane 1:

Whole tissue lysate of rabbit heart at 20 µg

Lane 2:

Whole tissue lysate of rabbit heart at 40 µg

Lane 3:

Whole tissue lysate of rabbit heart at 60 µg

Lane 4:

Whole tissue lysate of rabbit heart at 80 µg

Lane 5:

Whole tissue lysate of rabbit heart at 100 µg

Lane 6:

Whole tissue lysate of rabbit heart at 120 µg

Secondary

All lanes:

An HRP-conjugated Donkey anti-mouse IgG polyclonal at 1/50000 dilution

Predicted band size: 50 kDa

Observed band size: 47 kDa

true

Exposure time: 1s

This image is courtesy of an Abreview submitted by Xun Ai

Key facts

Host species

Mouse

Clonality

Monoclonal

Clone number

4D1

Isotype

IgG2b

Light chain type

kappa

Carrier free

No

Reacts with

Human

Applications

Flow Cyt, IHC-P, WB

applications

Immunogen

Recombinant Full Length Protein corresponding to Human TUBA1B acetyl K40.

P68363

Reactivity data

{ "title": "Reactivity Data", "filters": { "stats": ["", "Species", "Dilution Info", "Notes"], "tabs": { "all-applications": {"fullname" : "All Applications", "shortname": "All Applications"}, "FlowCyt" : {"fullname" : "Flow Cytometry", "shortname":"Flow Cyt"}, "WB" : {"fullname" : "Western blot", "shortname":"WB"}, "IHCP" : {"fullname" : "Immunohistochemistry (Formalin/PFA-fixed paraffin-embedded sections)", "shortname":"IHC-P"} }, "product-promise": { "all": "all", "testedAndGuaranteed": "tested", "guaranteed": "expected", "predicted": "predicted", "notRecommended": "not-recommended" } }, "values": { "Human": { "FlowCyt-species-checked": "testedAndGuaranteed", "FlowCyt-species-dilution-info": "", "FlowCyt-species-notes": "<p><a href='/en-us/products/primary-antibodies/mouse-igg2b-kappa-monoclonal-7e10g10-isotype-control-ab170192'>ab170192</a> - Mouse monoclonal IgG2b, is suitable for use as an isotype control with this antibody.</p>", "WB-species-checked": "testedAndGuaranteed", "WB-species-dilution-info": "", "WB-species-notes": "<p></p>", "IHCP-species-checked": "testedAndGuaranteed", "IHCP-species-dilution-info": "", "IHCP-species-notes": "<p></p>" } } }

You may be interested in:

AB314606

TUBA1B ELISA Kit

0

0 Reviews

View product

We recommend this product because it’s often used in the same experiment or related research.

We advise that you always check the datasheet to ensure it fits your experiments, or contact ourtechnical teamfor help.

Product details

This product was changed from ascites to tissue culture supernatant on 15 May 2019. Please note that the dilutions may need to be adjusted accordingly. If you have any questions, please do not hesitate to contact our scientific support team.

Properties and storage information

Form
Liquid
Purity
Tissue culture supernatant
Purification notes
Purified from TCS.
Storage buffer
pH: 7.4 Constituents: PBS
Shipped at conditions
Blue Ice
Appropriate short-term storage conditions
+4°C
Appropriate long-term storage conditions
-20°C
Aliquoting information
Upon delivery aliquot
Storage information
Avoid freeze / thaw cycle

Supplementary information

This supplementary information is collated from multiple sources and compiled automatically.

Tubulin sometimes called DM1B is a globular protein essential for the formation of microtubules. It has a molecular mass of approximately 55 kDa. Tubulin is expressed in most eukaryotic cells and exists as two closely related subunits alpha-tubulin and beta-tubulin. These subunits polymerize to form linear microtubule structures. Anti-tubulin antibodies such as anti-tubulin Alexa 34 can detect these microtubule markers in cells allowing researchers to visualize cytoskeletal organization.
Biological function summary

This core component of microtubule assembly is important for maintaining cell shape enabling intracellular transport and segregating chromosomes during cell division. As part of a complex tubulin interacts with various microtubule-associated proteins (MAPs) that regulate its dynamic assembly and disassembly. This regulation is important for processes like axonal transport in neurons and the movement of cilia and flagella in other cell types.

Pathways

Tubulin plays a significant role in the mitotic spindle assembly part of the cell cycle. This process is vital for the accurate segregation of chromosomes to daughter cells. Tubulin interacts with the kinesin and dynein motor proteins within this pathway which are essential for intracellular transport and mitosis. Another key pathway involving tubulin is the intracellular trafficking facilitated by motor proteins which is necessary for maintaining cell homeostasis and function.

Aberrant regulation or mutations in tubulin can lead to conditions such as cancer and neurodegenerative diseases. In cancer altered tubulin dynamics contribute to uncontrolled cell proliferation. Neurodegenerative disorders such as Alzheimer’s disease show involvement with tubulin through abnormal microtubule stability often linked to the MAP tau protein. Anti-tubulin antibodies including LAMP1 can help in research related to these conditions by offering methods to study tubulin distribution and function in diseased cells.

Product protocols

For this product, it's our understanding that no specific protocols are required. You can visit:

Target data

Tubulin is the major constituent of microtubules, a cylinder consisting of laterally associated linear protofilaments composed of alpha- and beta-tubulin heterodimers (PubMed : 34996871). Microtubules grow by the addition of GTP-tubulin dimers to the microtubule end, where a stabilizing cap forms (PubMed : 34996871). Below the cap, tubulin dimers are in GDP-bound state, owing to GTPase activity of alpha-tubulin (PubMed : 34996871).
See full target information TUBA1B acetyl K40

Publications (42)

Recent publications for all applications. Explore the full list and refine your search

JCI insight 7: PubMed35015734

2022

A single-domain i-body, AD-114, attenuates renal fibrosis through blockade of CXCR4.

Applications

Unspecified application

Species

Unspecified reactive species

Qinghua Cao,Chunling Huang,Hao Yi,Anthony J Gill,Angela Chou,Michael Foley,Chris G Hosking,Kevin K Lim,Cristina F Triffon,Ying Shi,Xin-Ming Chen,Carol A Pollock

Molecular therapy oncolytics 23:582-592 PubMed34938858

2021

Improved lentiviral vector titers from a multi-gene knockout packaging line.

Applications

Unspecified application

Species

Unspecified reactive species

Jiaying Han,Kevin Tam,Curtis Tam,Roger P Hollis,Donald B Kohn

Breast cancer research and treatment 188:53-63 PubMed34117958

2021

The prognostic significance of Flap Endonuclease 1 (FEN1) in breast ductal carcinoma in situ.

Applications

Unspecified application

Species

Unspecified reactive species

Abdulbaqi Al-Kawaz,Islam M Miligy,Michael S Toss,Omar J Mohammed,Andrew R Green,Srinivasan Madhusudan,Emad A Rakha

Frontiers in cell and developmental biology 9:652791 PubMed33768098

2021

Modulated Start-Up Mode of Cancer Cell Migration Through Spinophilin-Tubular Networks.

Applications

Unspecified application

Species

Unspecified reactive species

Soyoung Hwang,Peter Chang-Whan Lee,Dong Min Shin,Jeong Hee Hong

Molecular biology reports 48:1985-1994 PubMed33619662

2021

Impact of Reck expression and promoter activity in neuronal in vitro differentiation.

Applications

Unspecified application

Species

Unspecified reactive species

Marina Trombetta-Lima,Thais Assis-Ribas,Ricardo C Cintra,Joana D Campeiro,Juliano R Guerreiro,Sheila M B Winnischofer,Isis C C Nascimento,Henning Ulrich,Mirian A F Hayashi,Mari C Sogayar

Cell death and differentiation 28:1493-1511 PubMed33230261

2020

Aberrant transcriptional and post-transcriptional regulation of SPAG5, a YAP-TAZ-TEAD downstream effector, fuels breast cancer cell proliferation.

Applications

Unspecified application

Species

Unspecified reactive species

Valeria Canu,Sara Donzelli,Andrea Sacconi,Federica Lo Sardo,Claudio Pulito,Noa Bossel,Anna Di Benedetto,Paola Muti,Claudio Botti,Eytan Domany,Silvio Bicciato,Sabrina Strano,Yosef Yarden,Giovanni Blandino

General physiology and biophysics 39:499-503 PubMed33084603

2020

Lack of functional wolframin causes drop in plasmalemmal sodium-calcium exchanger type 1 expression at early stage in rat model of Wolfram syndrome.

Applications

Unspecified application

Species

Unspecified reactive species

Simona Kureková,Mario Plaas,Michal Cagalinec

Nature : PubMed32879487

2020

The innate immunity protein IFITM3 modulates γ-secretase in Alzheimer's disease.

Applications

Unspecified application

Species

Unspecified reactive species

Ji-Yeun Hur,Georgia R Frost,Xianzhong Wu,Christina Crump,Si Jia Pan,Eitan Wong,Marilia Barros,Thomas Li,Pengju Nie,Yujia Zhai,Jen Chyong Wang,Julia Tcw,Lei Guo,Andrew McKenzie,Chen Ming,Xianxiao Zhou,Minghui Wang,Yotam Sagi,Alan E Renton,Bianca T Esposito,Yong Kim,Katherine R Sadleir,Ivy Trinh,Robert A Rissman,Robert Vassar,Bin Zhang,Douglas S Johnson,Eliezer Masliah,Paul Greengard,Alison Goate,Yue-Ming Li

International journal of molecular sciences 21: PubMed32326036

2020

Antagonistic Roles of GRK2 and GRK5 in Cardiac Aldosterone Signaling Reveal GRK5-Mediated Cardioprotection via Mineralocorticoid Receptor Inhibition.

Applications

Unspecified application

Species

Unspecified reactive species

Jennifer Maning,Katie A McCrink,Celina M Pollard,Victoria L Desimine,Jennifer Ghandour,Arianna Perez,Natalie Cora,Krysten E Ferraino,Barbara M Parker,Ava R Brill,Beatrix Aukszi,Anastasios Lymperopoulos

Scientific reports 9:16178 PubMed31700077

2019

Direct interaction between the hepatitis B virus core and envelope proteins analyzed in a cellular context.

Applications

Unspecified application

Species

Unspecified reactive species

Florentin Pastor,Charline Herrscher,Romuald Patient,Sebastien Eymieux,Alain Moreau,Julien Burlaud-Gaillard,Florian Seigneuret,Hugues de Rocquigny,Philippe Roingeard,Christophe Hourioux
View all publications

Product promise

We are committed to supporting your work with high-quality reagents, and we're here for you every step of the way. In the unlikely event that one of our products does not perform as expected, you're protected by our Product Promise.
For full details, please see our Terms & Conditions

Associated Products

Select an associated product type
Alternative Product
Primary Antibodies

AB6160

Anti-Tubulin antibody [YL1/2] - Loading Control

primary-antibodies

tubulin-antibody-yl1-2-loading-control-ab6160

5

(38 reviews)

Alternative Product
Primary Antibodies

AB6161

Anti-Tubulin antibody [YOL1/34] - Loading Control

primary-antibodies

tubulin-antibody-yol1-34-loading-control-ab6161

5

(21 reviews)

Alternative Product
Primary Antibodies

AB195883

Alexa Fluor® 488 Anti-Tubulin antibody [YOL1/34] - Microtubule Marker

primary-antibodies

alexa-fluor-488-tubulin-antibody-yol1-34-microtubule-marker-ab195883

4

(1 reviews)

Alternative Product
Primary Antibodies

AB185224

Anti-Tubulin antibody [EPR13797] - Loading Control

primary-antibodies

tubulin-antibody-epr13797-loading-control-ab185224

0

(0 reviews)

Alternative Product
Primary Antibodies

AB184966

Anti-Tubulin antibody [EPR13798] - Loading Control

primary-antibodies

tubulin-antibody-epr13798-loading-control-ab184966

0

(0 reviews)

Alternative Product
Primary Antibodies

AB210797

Anti-Tubulin antibody [EPR13796] - Loading Control

primary-antibodies

tubulin-antibody-epr13796-loading-control-ab210797

0

(1 reviews)

Alternative Product
Primary Antibodies

AB264519

Anti-Tubulin antibody [YL1/2] - BSA and Azide free

primary-antibodies

tubulin-antibody-yl1-2-bsa-and-azide-free-ab264519

0

(0 reviews)

Alternative Product
Primary Antibodies

AB195884

Alexa Fluor® 647 Anti-Tubulin antibody [YOL1/34] - Microtubule Marker

primary-antibodies

alexa-fluor-647-tubulin-antibody-yol1-34-microtubule-marker-ab195884

0

(0 reviews)

Please note: All products are 'FOR RESEARCH USE ONLY. NOT FOR USE IN DIAGNOSTIC OR THERAPEUTIC PROCEDURES'.

For licensing inquiries, please contact partnerships@abcam.com